PAX8 Recombinant Monoclonal Antibody
-
中文名稱:PAX8重組抗體
-
貨號:CSB-RA248028A0HU
-
規格:¥1320
-
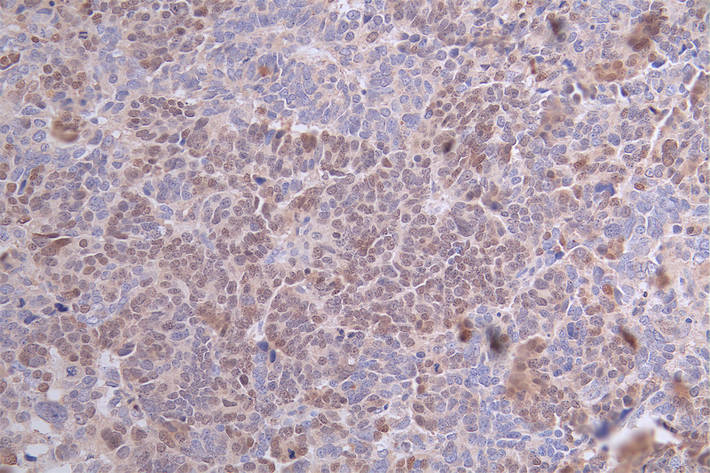
圖片:
-
IHC image of CSB-RA248028A0HU diluted at 1:100 and staining in paraffin-embedded human ovarian cancer performed on a Leica BondTM system. After dewaxing and hydration, antigen retrieval was mediated by high pressure in a citrate buffer (pH 6.0). Section was blocked with 10% normal goat serum 30min at RT. Then primary antibody (1% BSA) was incubated at 4°C overnight. The primary is detected by a Goat anti-rabbit polymer IgG labeled by HRP and visualized using 0.59% DAB.
-
-
其他:
產品詳情
-
產品描述:CSB-RA248028A0HU PAX8重組單克隆抗體是采用基因重組技術制備的高特異性科研試劑,可精準識別PAX8蛋白抗原表位。該抗體經ELISA與免疫組化(IHC)雙重驗證,在石蠟包埋組織切片中推薦使用1:50-1:200稀釋度,能清晰呈現細胞核內靶蛋白定位。PAX8作為重要的轉錄調控因子,在甲狀腺濾泡細胞、腎單位前體細胞及苗勒氏管上皮細胞的分化發育中起關鍵作用,其表達特征常被用于相關組織起源性腫瘤的研究。本產品適用于探索胚胎發育過程中的基因調控網絡、甲狀腺功能異常機制分析,以及婦科腫瘤與腎臟疾病的分子病理學研究,特別適合需要高重復性的組織特異性標記實驗。采用單克隆抗體技術確保批次間高度一致性,為甲狀腺轉錄調控研究和腫瘤生物標志物檢測提供可靠工具。
-
Uniprot No.:
-
基因名:
-
別名:Paired box protein Pax-8, PAX8
-
反應種屬:Human
-
免疫原:A synthesized peptide derived from Human PAX8
-
免疫原種屬:Homo sapiens (Human)
-
標記方式:Non-conjugated
-
克隆類型:Monoclonal
-
抗體亞型:Rabbit IgG
-
純化方式:Affinity-chromatography
-
克隆號:17F10
-
濃度:It differs from different batches. Please contact us to confirm it.
-
保存緩沖液:Rabbit IgG in 10mM phosphate buffered saline , pH 7.4, 150mM sodium chloride, 0.05% BSA, 0.02% sodium azide and 50% glycerol.
-
產品提供形式:Liquid
-
應用范圍:ELISA, IHC
-
推薦稀釋比:
Application Recommended Dilution IHC 1:50-1:200 -
Protocols:
-
儲存條件:Upon receipt, store at -20°C or -80°C. Avoid repeated freeze.
-
貨期:Basically, we can dispatch the products out in 1-3 working days after receiving your orders. Delivery time maybe differs from different purchasing way or location, please kindly consult your local distributors for specific delivery time.
-
用途:For Research Use Only. Not for use in diagnostic or therapeutic procedures.
相關產品
靶點詳情
-
功能:Transcription factor for the thyroid-specific expression of the genes exclusively expressed in the thyroid cell type, maintaining the functional differentiation of such cells.
-
基因功能參考文獻:
- PAX8-PPARG fusions may not play major roles in the tumorigenesis of paediatric follicular thyroid carcinoma. PMID: 28621837
- Identify several novel PAX8 mutations in congenital hypothyroidism patients that impair the binding or activating abilities of PAX8 at the promoters of the target genes thyroglobulin and thyroperoxidase. PMID: 28060725
- Data suggest that candidate genes and pathways regulated by PAX8 that could be additional targets for the therapy of ovarian carcinoma. PMID: 27259239
- PAX8 has a cell specific role in governing proliferation and migration in nontransformed ovarian surface epithelium cells compared to the oviductal cells, but its reduction in serous cancer cell lines provides a common mechanism for reducing cell survival. PMID: 27129161
- findings proved that iodinated TG in thyroid follicular lumen regulated TTF-1 and PAX8 expression through thyroid stimulating hormone/thyroid stimulating hormone receptor (TSH/TSHR) mediated cAMP-PKA and PLC-PKC signaling pathways. PMID: 28322461
- Case Report: primary seminal vesicle carcinoma strong and diffuse nuclear labeling for PAX8. PMID: 28506732
- PAX8 is expressed in both benign and malignant mesothelium, and that BAP1 loss is highly specific for malignant peritoneal neoplasms, in the differential with both benign mesothelial proliferations and ovarian serous tumors. PMID: 28877056
- Although the exact biological function remains to be explored, our findings suggest a possible association of PAX8eQTLs in lncRNA AC016683.6 with the hepatocellular carcinoma prognosis in the Chinese population. PMID: 28339471
- findings point to significant PTC-associated dysregulation of several PAX8 target genes, supporting the notion that PAX8-regulated molecular cascades play important roles during thyroid tumorigenesis PMID: 27249794
- Putative PAX8 target genes are enriched for common serous epithelial ovarian cancer risk variants. PMID: 28103614
- We conclude that PAX8 immunostain is negative in most cervical cell carcinomas and is less frequently expressed in endocervical adenocarcinomas as compared with the previously reported high sensitivity for ovarian and endometrial adenocarcinomas PMID: 27362905
- Study postulated that both TTF-1 and PAX-8 when co-expressed and have anti-proliferative and anti-tumorigenic properties up to a threshold expression level and beyond that, are able to induce pro-tumorigenic effects in thyroid carcinomas. PMID: 27573549
- Direct sequencing of the PAX8 gene revealed a novel single nucleotide substitution (c.162 A>T) in exon 2 that resulted in the substitution of the normal serine 54 with a cysteine (S54C), which segregated with elevated serum TSH levels. PMID: 27207603
- This is the first report of PAX8 aberrant transcript production in cervical cancer. Reported PAX8 isoforms possess differential transactivation properties; therefore, besides being a helpful marker for detection of cancer, PAX8 isoforms can plausibly exert differential regulation properties during carcinogenesis PMID: 27175788
- PAX2, PAX8, CDX2 immunostains was preformed to the TMA slides. PMID: 26797858
- Pax8 gene Rearrangement is associated with Breast Cancer. PMID: 27797226
- PAX8 was negative in all cases of pulmonary neuroendocrine carcinoma (PNEC) while positive in 86.4% of thymic cases (TNEC). TTF-1 positivity was associated with high sensitivity but low specificity for PNEC, and adding PAX8 negativity significantly increased the specificity. PAX8 positivity alone showed essentially 100% specificity and 86.4% sensitivity for TNEC. PMID: 27761900
- Study suggested that PAX8 eQTLs SNPs (rs4848320 and rs1110839) located in lncRNA PAX8-AS1 might predict decreased risk of cervical cancer. PMID: 27225188
- High Levels of mRNA of both PAX8 are associated with benign than in malignant thyroid lesions. PMID: 26370671
- results indicate that presence of PAX8 immunoreactivity in an undifferentiated brain tumor lacking gliofibrillary acidic protein expression should prompt consideration of a metastatic tumor PMID: 26371431
- rete ovarii were positive for PAX-8, weakly positive for SF-1, and negative for PAX-2 and GATA-3 PMID: 26352548
- showing that the PAX8 mutation rate is very low in thyroid dysgenesis patients in China PMID: 26617871
- a substantial minority of solitary fibrous tumors express nuclear PAX8 and PAX2 PMID: 26404914
- PAX8 staining is useful for distinguishing between primary thyroid squamous cell carcinoma and invasion or metastasis from extrathyroidal squamous cell carcinoma. PMID: 26354716
- PAX8 is expressed in the majority of benign, premalignant, and malignant endocervical glandular lesions. PMID: 26910219
- PAX8 mutation rate among congenital hypothyroidism patients PMID: 26362610
- the novel interplay between PAX8 and Neuropilin-2 PMID: 26030152
- Heterozygous transition in exon 3 of PAX8 gene is associated with hyroid hypoplasia. PMID: 25720050
- miR-146b-3p binds to the 3'-untranslated region of PAX8 and sodium/iodide symporter. miR-146b and PAX8 regulate each other and share common target genes. PMID: 26282166
- we examined PAX8-PPARgamma rearrangement in 24 follicular thyroid carcinoma samples from Japanese patients. The fusion gene was detected in only one of 24 follicular thyroid carcinomas (4%). PMID: 25708358
- PAX8 protein expression was associated with germinal layers in forebrain and hindbrain development...and PAX8 expression is linked to better prognosis in medulloblastomas PMID: 25287489
- PAX2 and PAX8 are useful biomarker in the differential diagnosis of ovarian serous and mucinous tumors PMID: 24992169
- immunohistochemical marker, which allows to differentiate seminal vesicle from prostate gland epithelium in prostate needle biopsies PMID: 25153494
- PAX6 and PAX8 positivity was seen in of metastatic pancreatic neuroendocrine tumors to the liver PMID: 25433656
- In this series, PAX8/PPARgamma rearrangement found in thyroid nodules had a 100% predictive value for differentiated thyroid cancer PMID: 24798894
- Compared with RAS or PAX8/PPARG-positive TCs, BRAFV600E or RET/PTC-positive Thyroid cancers were more often associated with stage III/IV disease and recurrence. PMID: 26258321
- PAX8 (mAb) was a specific marker in differentiating primary and extragenital metastatic mucinous ovarian tumours. PMID: 25827135
- PAX8 is frequently expressed by ovarian surface epithelial cells, and endogenous levels of PAX8 expression are non-transforming. PMID: 26079312
- Case Report: novel PAX8 mutation is responsible for a severe form of dominantly inherited congenital hypothyroidism. The mutation seems to be associated with abnormalities of the urogenital tract. PMID: 23647375
- PAX8 immunoexpression was noticed in five and three cases of alveolar rhabdomyosarcomas and embryonal rhabdomyosarcomas, respectively. About one-third of malignant rhabdoid tumors were PAX2-positive and PAX8-positive. PMID: 24897005
- PAX8 is expressed in the vast majority of uterine adenocarcinomas, and that the level of expression based on combined extent and intensity is highest in endometrial serous carcinoma and lowest in endocervical adenocarcinoma. PMID: 25083965
- useful in distinguishing thymic carcinoma from poorly differentiated lung carcinoma PMID: 23958552
- We reviewed the reliability of PAX8 to determine tumor type or primary site in 135 current clinical pelvic or abdominal lesions PMID: 24857336
- The 5'-flanking region of the Wnt4 gene is responsive to Pax8. Pax8 modulates the expression of Wnt4 in thyroid cells. PMID: 25270402
- our results indicate that PAX8 plays an important role in the tumorigenic phenotype of ovarian cancer cells and identifies PAX8 as a potential new target for the treatment of ovarian cancer. PMID: 24766781
- PAX8 is expressed in the carcinomatous components of nearly all uterine malignant mesodermal mixed tumors, with expression in sarcomatous and undifferentiated components being less common and less extensive. PMID: 24901404
- This study confirms that PAX-8 expression is a useful diagnostic marker for renal cell carcinoma PMID: 25315900
- PAX8 is increased in the majority of glioblastomas and promoted cell survival. PMID: 24602166
- R133W-PAX8 variant is associated with phenotype ranging from congenital hypothyroidism with thyroid hypoplasia to mild subclinical hypothyroidism. PMID: 25146893
- Data shows that PAX8 provides signals for growth and motility of non-small cell lung cancer cells and is necessary for MET and RON expression. PMID: 24628993
顯示更多
收起更多
-
相關疾病:Hypothyroidism, congenital, non-goitrous, 2 (CHNG2)
-
亞細胞定位:Nucleus.
-
組織特異性:Expressed in the excretory system, thyroid gland and Wilms tumors.
-
數據庫鏈接:
Most popular with customers
-
-
YWHAB Recombinant Monoclonal Antibody
Applications: ELISA, WB, IHC, IF, FC
Species Reactivity: Human, Mouse, Rat
-
Phospho-YAP1 (S127) Recombinant Monoclonal Antibody
Applications: ELISA, WB, IHC
Species Reactivity: Human
-
-
-
-
-















