NFYA Recombinant Monoclonal Antibody
-
中文名稱:NFYA Recombinant Monoclonal Antibody
-
貨號:CSB-RA102164A0HU
-
規格:¥1320
-
圖片:
-
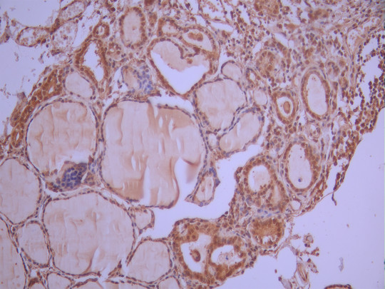
IHC image of CSB-RA102164A0HU diluted at 1:100 and staining in paraffin-embedded human thyroid tissue performed on a Leica BondTM system. After dewaxing and hydration, antigen retrieval was mediated by high pressure in a citrate buffer (pH 6.0). Section was blocked with 10% normal goat serum 30min at RT. Then primary antibody (1% BSA) was incubated at 4°C overnight. The primary is detected by a Goat anti-rabbit polymer IgG labeled by HRP and visualized using 0.05% DAB.
-
Overlay Peak curve showing SH-SY5Y cells stained with CSB-RA102164A0HU (red line) at 1:100. The cells were fixed in 4% formaldehyde and permeated by 0.2% TritonX-100 for 10min. Then 10% normal goat serum to block non-specific protein-protein interactions followed by the antibody (1ug/1*106cells) for 45min at 4℃. The secondary antibody used was FITC-conjugated goat anti-rabbit IgG (H+L) at 1/200 dilution for 35min at 4℃.Control antibody (green line) was Rabbit IgG (1ug/1*106cells) used under the same conditions. Acquisition of >10, 000 events was performed.
-
-
其他:
產品詳情
-
Uniprot No.:
-
基因名:
-
別名:CAAT box DNA binding protein subunit A antibody; CAAT box DNA-binding protein subunit A antibody; CBF A antibody; CBF B antibody; CBFA antibody; CBFB antibody; CCAAT binding transcription factor subunit B antibody; FLJ11236 antibody; HAP 2 antibody; HAP2 antibody; HAP2 CCAAT binding protein antibody; NF YA antibody; NF-YA antibody; NFY protein chain A antibody; NFYA antibody; NFYA_HUMAN antibody; NUCLEAR FACTOR BINDING TO Y BOX OF HLA GENES antibody; Nuclear transcription factor Y alpha antibody; Nuclear transcription factor Y antibody; Nuclear transcription factor Y subunit A antibody; Nuclear transcription factor Y subunit alpha antibody; Sez10 antibody; Transcription factor NF Y A subunit antibody
-
反應種屬:Human
-
免疫原:A synthesized peptide from human NFYA protein
-
免疫原種屬:Homo sapiens (Human)
-
標記方式:Non-conjugated
-
克隆類型:Monoclonal
-
抗體亞型:Rabbit IgG
-
純化方式:Affinity-chromatography
-
克隆號:16F10
-
濃度:It differs from different batches. Please contact us to confirm it.
-
保存緩沖液:Rabbit IgG in 10mM phosphate buffered saline , pH 7.4, 150mM sodium chloride, 0.05% BSA, 0.02% sodium azide and 50% glycerol.
-
產品提供形式:Liquid
-
應用范圍:ELISA, IHC, FC
-
推薦稀釋比:
Application Recommended Dilution IHC 1:50-1:200 FC 1:50-1:200 -
Protocols:
-
儲存條件:Upon receipt, store at -20°C or -80°C. Avoid repeated freeze.
-
貨期:Basically, we can dispatch the products out in 1-3 working days after receiving your orders. Delivery time maybe differs from different purchasing way or location, please kindly consult your local distributors for specific delivery time.
-
用途:For Research Use Only. Not for use in diagnostic or therapeutic procedures.
相關產品
靶點詳情
-
功能:Component of the sequence-specific heterotrimeric transcription factor (NF-Y) which specifically recognizes a 5'-CCAAT-3' box motif found in the promoters of its target genes. NF-Y can function as both an activator and a repressor, depending on its interacting cofactors. NF-YA positively regulates the transcription of the core clock component ARNTL/BMAL1.
-
基因功能參考文獻:
- Results from a study on gene expression variability markers in early-stage human embryos shows that NFYA is a putative expression variability marker for the 3-day, 8-cell embryo stage. PMID: 26288249
- Our results identified for the first time one of the mechanisms responsible for NF-Y expression, which may be involved in the aberrant expression and activity observed in tumor cells and other pathological conditions. PMID: 29505822
- Suggest NF-YAs and lamin A expression levels as novel potential biomarkers useful to identify G1 endometrial carcinoma patients with risk of recurrence. PMID: 27974701
- increased expression of NF-YA may promote a malignant phenotype in OS cells via modulation of FASN expression. PMID: 27840951
- The findings indicate that overexpression of NF-YA contributes to tumor angiogenesis through EZH2-STAT3 signaling in human melanoma cells, highlighting NF-YA as a potential therapeutic target in human melanoma. PMID: 27109360
- Data indicate that specific cancer-driving nodes are generally under NF-YA/B control. PMID: 26646448
- Presence of NF-Y transcription factor plays a pivotal role in transcriptional regulation of ID genes in development. PMID: 26509926
- our results indicate that NF-YA alternative splicing is an influential muscle cell determinant, through direct regulation of selected cell cycle blocking genes, and, directly and indirectly, of muscle-specific transcription factors PMID: 26921500
- A direct non-transcriptional role of NF-Y in the overall efficiency of DNA replication, specifically in the DNA elongation process. PMID: 26732297
- enhanced CDCA8 promoter activities by NF-Y overexpression and reduced CDCA8 transcription by NF-Y knockdown further verified that NF-Y is a positive regulator of CDCA8 transcription. PMID: 26170459
- Data show that Zinc-fingers and homeoboxes 2 (ZHX2) represses nuclear transcription factor Y alpha (NF-Y)-mediated activation of multidrug resistance 1 (MDR1) transcription. PMID: 25473899
- NF-Y inhibits NT2/D1 cell growth in p53-independent manner and decreases SOX2 expression. PMID: 25756534
- Stimulation of the lymphocytes with phytohemagglutinin, restores normal OGG1 levels and repair rates. MAP kinase c-Jun N-terminal kinase (JNK) and the recruitment of the transcription factor NFYA to the promoter region of OGG1 are shown to be involved. PMID: 25463392
- Association of p21 with NF-YA suppresses the expression of PLK1 and prevents mitotic death in response to DNA damage. PMID: 24407240
- NF-YA binds directly over the CCAAT sequence. PMID: 23595228
- NF-Y recruits the developmentally regulated, erythroid transcription activator GATA-2 and general repressor BCL11A to modulate transcription of the gamma-globin gene. PMID: 23071749
- The crystal structure of NF-Y bound to a 25 bp CCAAT oligonucleotide shows that the histone-fold domains dimer binds to the DNA sugar-phosphate backbone, mimicking the nucleosome H2A/H2B-DNA assembly; NF-YA both binds to NF-YB/NF-YC and inserts an alpha helix deeply into the DNA minor groove, providing sequence-specific contacts to the CCAAT box. PMID: 23332751
- NFYA could be a target of mutant TBP in SCA17. PMID: 22530004
- This study unveils a new role for NF-Y in the regulation of human proteasome genes. PMID: 22285817
- Sp1, CREB, HNF-1, and NF-Y, known to be responsive to hormones and diet, regulate NAGS transcription PMID: 22383952
- Findings establish that NF-Y acts upstream of E2F1 in p53-mediated apoptosis. PMID: 20952509
- A novel mechanism involving coordinated regulation of nuclear levels and acetylation of NF-YA and Bcl6 activates RGS4 transcription. PMID: 20630860
- The phospho-DeltaNp63alpha forms protein-protein complexes with NF-YA transcription factor regulate the transcription of DDIT3 gene implicated in the programmed cell death of head and neck squamous cell carcinoma cells upon cisplatin exposure. PMID: 20023394
- the immediate-early ICP0 gene may be among the first genes to be induced during the early events in HSV-1 reactivation, and NF-Y is important for this induction, and other factors induce the ICP22 promoter. PMID: 19828605
- immunodepletion of Oct-1 and NF-YA proteins or mutations in the OCT-1 and CAAT motifs disrupt BRCA1 binding to the GADD45 promoter PMID: 11777930
- NF-YA increases during CaCo-2 differentiation and that the constitutive expression of NF-YA, obtained in stably transfected CaCo-2 cells, results in the expression of differentiation markers PMID: 12392713
- confirms the important transactivating role of NF-YA isoforms for the cystathionine beta synthase 1b promoter via its synergism with Sp1 PMID: 12427542
- p300 binds to multiple NF-Y trimers to regulate cyclin B2 promoter function PMID: 12482752
- role in inhibiting von Willebrand factor promoter activation through recruitment of histone deacetylases PMID: 12511565
- NF-Y is a developmentally regulated inducer of the HOXB4 gene in hematopoietic cells. PMID: 12791656
- NF-YA is phosphorylated in a pathway involving Cdk2 PMID: 12857729
- Histone deacetylase inhibitors can induce Gadd45 through its promoter without the need for functional p53, and both Oct-1 and NF-Y concertedly participate in trichostatin A-induced activation of the gadd45 promoter. PMID: 14586402
- NF-YA has a role in regulating the induction of human OGG1 following administration of DNA-alkylating agents PMID: 14688259
- p53 negatively regulates Chk2 gene transcription through modulation of NF-Y function and that this regulation may be important for reentry of cells into the cell cycle after DNA damage is repaired. PMID: 15044452
- NF-Y has a role in regulating EPHX1 expression through its interaction with C/EBPalpha PMID: 15150264
- transforming growth factor beta type II receptor promoter activity and acetylation of Sp1 by recruitment of PCAF/p300 to a Sp1.NF-Y complex are induced by Trichostatin A PMID: 15647279
- These results indicate that 1,25(OH)2D3 may affect transcription of the human PTH gene both by competitive binding of VDR and NF-Y, and by modulating transcriptional activity of NF-Y. PMID: 15707954
- NF-Ya is a potent cellular regulator of hematopoietic stem cell self-renewal PMID: 16081537
- Data suggest that the cell specifity of HIV-1 expression and replication may be regulated, in part, through the control of TRBP1 expression by NF-Y factors. PMID: 16343534
- cyclin B2 expression in colorectal adenocarcinoma is dependent on NF-Y PMID: 17289878
- Our data indicate that multiple CCAAT control elements are involved in the regulation of the SOX3 promoter, suggesting that NF-Y functions as a key regulator of SOX3 gene expression. PMID: 17910945
- NF-Y is an important mediator of EBV stress response in switching from a latent to lytic state PMID: 18281530
- p53 overexpression strongly downregulates the transcriptional efficiency driven by an H ferritin promoter construct containing only the NF-Y recognition sequence. PMID: 18372207
- NF-Y is a fundamental switch at the heart of decision between gene activation and repression in CCAAT regulated genes. PMID: 18446193
- Transcription factors Sp3, ZBP-89 and NF-Y are capable of binding to the SOX18 promoter region. PMID: 18496767
- The existence of a functional binding site for the tumor suppressor p53 near the proximal CCAAT box and the fact that the basal expression of annexin A1 in human colon adenocarcinoma cells is driven by p53 at the transcriptional level, is shown. PMID: 18541673
- Genome-wide occupancy of SREBP1 and its partners NFY and SP1 reveals novel functional roles and combinatorial regulation of distinct classes of genes. PMID: 18654640
- O-GlcNAc of Sp1 serine/threonine-rich region interrupts a physical interaction between Sp1 and NF-YA, thus inhibiting Sp1-NF-Y cooperative activation of gene transcription. PMID: 19302979
- review: role of the C/EBPbeta isoforms in breast cancer PMID: 19351437
- NF-Y (complex of NFYA, NFYB, and NFYC) was initially described as the factor binding to the Y box of MHC class II genes, an essential element of MHC class II gene enhancers and promoters. PMID: 3476205
顯示更多
收起更多
-
亞細胞定位:Nucleus.
-
蛋白家族:NFYA/HAP2 subunit family
-
數據庫鏈接:
Most popular with customers
-
-
YWHAB Recombinant Monoclonal Antibody
Applications: ELISA, WB, IHC, IF, FC
Species Reactivity: Human, Mouse, Rat
-
-
-
-
-
-















