NFKBIE Recombinant Monoclonal Antibody
-
中文名稱:NFKBIE Recombinant Monoclonal Antibody
-
貨號:CSB-RA288692A0HU
-
規格:¥1320
-
圖片:
-
Western Blot
Positive WB detected in: THP-1 whole cell lysate(30μg), K562 whole cell lysate(30μg)
All lanes: IkB epsilon antibody at 1:1000
Secondary
Goat polyclonal to rabbit IgG at 1/40000 dilution
Predicted band size: 53 kDa
Observed band size: 53 kDa
Exposure time:1min40s -
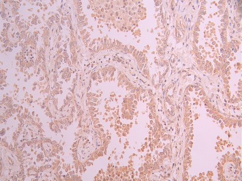
IHC image of CSB-RA288692A0HU diluted at 1:100 and staining in paraffin-embedded human lung cancer performed on a Leica BondTM system. After dewaxing and hydration, antigen retrieval was mediated by high pressure in a citrate buffer (pH 6.0). Section was blocked with 10% normal goat serum 30min at RT. Then primary antibody (1% BSA) was incubated at 4°C overnight. The primary is detected by a Goat anti-rabbit polymer IgG labeled by HRP and visualized using 0.05% DAB.
-
IHC image of CSB-RA288692A0HU diluted at 1:100 and staining in paraffin-embedded human thyroid tissue performed on a Leica BondTM system. After dewaxing and hydration, antigen retrieval was mediated by high pressure in a citrate buffer (pH 6.0). Section was blocked with 10% normal goat serum 30min at RT. Then primary antibody (1% BSA) was incubated at 4°C overnight. The primary is detected by a Goat anti-rabbit polymer IgG labeled by HRP and visualized using 0.05% DAB.
-
Immunofluorescence staining of A431 cell with CSB-RA288692A0HU at 1:50, counter-stained with DAPI. The cells were fixed in 4% formaldehyde, permeabilized using 0.2% Triton X-100 and blocked in 10% normal Goat Serum. The cells were then incubated with the antibody overnight at 4°C. The secondary antibody was Alexa Fluor 488-congugated AffiniPure Goat Anti-Rabbit IgG(H+L).
-
Overlay Peak curve showing Raji cells stained with CSB-RA288692A0HU (red line) at 1:100. The cells were fixed in 4% formaldehyde and permeated by 0.2% TritonX-100 for 10min. Then 10% normal goat serum to block non-specific protein-protein interactions followed by the antibody (1ug/1*106cells) for 45min at 4℃. The secondary antibody used was FITC-conjugated goat anti-rabbit IgG (H+L) at 1/200 dilution for 35min at 4℃.Control antibody (green line) was Rabbit IgG (1ug/1*106cells) used under the same conditions. Acquisition of >10,000 events was performed.
-
-
其他:
產品詳情
-
Uniprot No.:
-
基因名:
-
別名:NF-kappa-B inhibitor epsilon (NF-kappa-BIE) (I-kappa-B-epsilon) (IkB-E) (IkB-epsilon) (IkappaBepsilon), NFKBIE, IKBE
-
反應種屬:Human
-
免疫原:A synthesized peptide from human NFKBIE protein
-
免疫原種屬:Homo sapiens (Human)
-
標記方式:Non-conjugated
-
克隆類型:Monoclonal
-
抗體亞型:Rabbit IgG
-
純化方式:Affinity-chromatography
-
克隆號:5F3
-
濃度:It differs from different batches. Please contact us to confirm it.
-
保存緩沖液:Preservative: 0.03% Proclin 300
Constituents: 50% Glycerol, 0.01M PBS, PH 7.4 -
產品提供形式:Liquid
-
應用范圍:ELISA, WB, IHC, IF, FC
-
推薦稀釋比:
Application Recommended Dilution WB 1:500-1:2000 IHC 1:50-1:200 IF 1:50-1:200 FC 1:50-1:200 -
Protocols:
-
儲存條件:Upon receipt, store at -20°C or -80°C. Avoid repeated freeze.
-
貨期:Basically, we can dispatch the products out in 1-3 working days after receiving your orders. Delivery time maybe differs from different purchasing way or location, please kindly consult your local distributors for specific delivery time.
-
用途:For Research Use Only. Not for use in diagnostic or therapeutic procedures.
相關產品
靶點詳情
-
功能:Inhibits NF-kappa-B by complexing with and trapping it in the cytoplasm. Inhibits DNA-binding of NF-kappa-B p50-p65 and p50-c-Rel complexes.
-
基因功能參考文獻:
- identify NFKBIE aberrations as a common genetic event across B-cell malignancies and highlight NFKBIE deletions as a novel poor-prognostic marker in PMBL. PMID: 27670424
- We suggest that the impairment of NFKBIE gene function can reduce the uptake of methotrexate into cells, suggesting that the gene is an important factor for rheumatoid arthritis outcome PMID: 26587663
- A NFKBIE polymorphism was associated with increased risk of pneumococcal meningitis. PMID: 26870821
- results show that Gal-1 acts by inhibiting the stimulation of the LPS-induced IkappaBzeta expression, an NF-kappaB regulator involved in IL-6 gene transcription. PMID: 26226212
- Newly identified alterations included recurrent promoter mutations of NFKBIE, encoding NF-kappaB inhibitor varepsilon (IkappaBvarepsilon), in 14.5% of samples of desmoplastic melanoma PMID: 26343386
- Vitamin C forestalls cigarette smoke induced NF-kappaB activation in alveolar epithelial cells. PMID: 23615073
- we identified two gene loci associated with rheumatoid arthritis susceptibility- NFKBIE and RTKN2 PMID: 23028356
- Protein phosphatase 6 subunit with conserved Sit4-associated protein domain targets IkappaBepsilon PMID: 16769727
- An NFKBIE SNP associated with susceptibility to pneumococcal disease but not pneumococcal empyema. PMID: 17463416
- Expression levels of GGT1 and possibly NFKBIE might be useful as biomarkers of genetic susceptibility to arsenite. PMID: 17976673
- Genomic mutation of the NFKBIE gene in primary Hodgkin/ Reed Sternberg cells PMID: 14595753
顯示更多
收起更多
-
亞細胞定位:Cytoplasm.
-
蛋白家族:NF-kappa-B inhibitor family
-
組織特異性:Highly expressed in spleen, testis and lung, followed by kidney, pancreas, heart, placenta and brain. Also expressed in granulocytes and macrophages.
-
數據庫鏈接:
Most popular with customers
-
-
YWHAB Recombinant Monoclonal Antibody
Applications: ELISA, WB, IHC, IF, FC
Species Reactivity: Human, Mouse, Rat
-
Phospho-YAP1 (S127) Recombinant Monoclonal Antibody
Applications: ELISA, WB, IHC
Species Reactivity: Human
-
-
-
-
-















