NCL Recombinant Monoclonal Antibody
-
中文名稱:NCL Recombinant Monoclonal Antibody
-
貨號:CSB-RA997430A0HU
-
規格:¥1320
-
圖片:
-
Western Blot
Positive WB detected in: Hela whole cell lysate(30μg), HEK293 whole cell lysate(30μg), A549 whole cell lysate(30μg), THP-1 whole cell lysate(30μg), U-87MG whole cell lysate(30μg), Rat brain tissue lysate(30μg)
All lanes: NCL antibody at 1:1000
Secondary
Goat polyclonal to rabbit IgG at 1/40000 dilution
Predicted band size: 77 kDa
Observed band size: 100 kDa
Exposure time:10s -
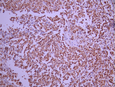
IHC image of CSB-RA997430A0HU diluted at 1:100 and staining in paraffin-embedded human liver cancer performed on a Leica BondTM system. After dewaxing and hydration, antigen retrieval was mediated by high pressure in a citrate buffer (pH 6.0). Section was blocked with 10% normal goat serum 30min at RT. Then primary antibody (1% BSA) was incubated at 4°C overnight. The primary is detected by a Goat anti-rabbit polymer IgG labeled by HRP and visualized using 0.05% DAB.
-
Immunofluorescence staining of HeLa cell with CSB-RA997430A0HU at 1:50 , counter-stained with DAPI. The cells were fixed in 4% formaldehyde, permeabilized using 0.2% Triton X-100 and blocked in 10% normal Goat Serum. The cells were then incubated with the antibody overnight at 4°C. The secondary antibody was Alexa Fluor 488-congugated AffiniPure Goat Anti-Rabbit IgG(H+L).
-
Overlay Peak curve showing jurkat cells stained with CSB-RA997430A0HU (red line) at 1:100. The cells were fixed in 4% formaldehyde and permeated by 0.2% TritonX-100 for 10min. Then 10% normal goat serum to block non-specific protein-protein interactions followed by the antibody (1ug/1*106cells) for 45min at 4℃. The secondary antibody used was FITC-conjugated goat anti-rabbit IgG (H+L) at 1/200 dilution for 35min at 4℃.Control antibody (green line) was Rabbit IgG (1ug/1*106cells) used under the same conditions. Acquisition of >10, 000 events was performed.
-
-
其他:
產品詳情
-
Uniprot No.:
-
基因名:
-
別名:C23 antibody; FLJ45706 antibody; MS1116 antibody; NCL antibody; Nucl antibody; NUCL_HUMAN antibody; Nucleolin antibody; Protein C23 antibody
-
反應種屬:Human, Rat
-
免疫原:A synthesized peptide from human NCL protein
-
免疫原種屬:Homo sapiens (Human)
-
標記方式:Non-conjugated
-
克隆類型:Monoclonal
-
抗體亞型:Rabbit IgG
-
純化方式:Affinity-chromatography
-
克隆號:25D2
-
濃度:It differs from different batches. Please contact us to confirm it.
-
保存緩沖液:Rabbit IgG in 10mM phosphate buffered saline , pH 7.4, 150mM sodium chloride, 0.05% BSA, 0.02% sodium azide and 50% glycerol.
-
產品提供形式:Liquid
-
應用范圍:ELISA, WB, IHC, IF, FC
-
推薦稀釋比:
Application Recommended Dilution WB 1:500-1:5000 IHC 1:50-1:200 IF 1:50-1:200 FC 1:50-1:200 -
Protocols:
-
儲存條件:Upon receipt, store at -20°C or -80°C. Avoid repeated freeze.
-
貨期:Basically, we can dispatch the products out in 1-3 working days after receiving your orders. Delivery time maybe differs from different purchasing way or location, please kindly consult your local distributors for specific delivery time.
-
用途:For Research Use Only. Not for use in diagnostic or therapeutic procedures.
相關產品
靶點詳情
-
功能:Nucleolin is the major nucleolar protein of growing eukaryotic cells. It is found associated with intranucleolar chromatin and pre-ribosomal particles. It induces chromatin decondensation by binding to histone H1. It is thought to play a role in pre-rRNA transcription and ribosome assembly. May play a role in the process of transcriptional elongation. Binds RNA oligonucleotides with 5'-UUAGGG-3' repeats more tightly than the telomeric single-stranded DNA 5'-TTAGGG-3' repeats.
-
基因功能參考文獻:
- Data show that NCL phosphorylation offers specificity to its protein-protein, protein-RNA interactions, resulting in the PARN deadenylase regulation, and hence gene expression, during cellular stress responses. PMID: 29168431
- Depletion of endogenous NCL in cells by siRNA targeting during H5N1 infection resulted in significantly increased viral polymerase activity. PMID: 29974255
- nucleolin interacts with the viral nucleoprotein PMID: 27373907
- This review focus on the contribution of nucleolin for cancer disease and on the development of therapeutic strategies targeting this protein. [review] PMID: 29650282
- Results found that prostate circulating tumor cells (CTCs) as a population have an increased level of total nucleolin expression compared to white blood cells. Additionally, there was a distinct nucleolin staining pattern and localization in CTCs. PMID: 28153390
- this results show that nucleolin increases colony formation and anchorage-independent growth of ErbB2-overexpressing cells, and that nucleolin overexpression in ErbB2-positive breast cancer patients is associated with reduced patient survival rates and increased disease-risk PMID: 27542246
- C23 has a role in promoting tumorigenesis via suppressing p53 activity PMID: 27506938
- NCL was associated with bipolar disorder. PMID: 28195573
- Nucleolin both forms an mRNP complex with the eIF4G and CSF-1 mRNA, and is co-localized with the eIF4G in the cytoplasm further supporting nucleolin's role in translational regulation. PMID: 28131007
- Identified the regulator of ribosome production nucleolin (NCL) as over-expressed in AML blasts. Moreover, we found in two series that high NCL mRNA expression level was associated with a poor overall survival, particular in elderly patients. PMID: 28103300
- Data suggest a 216-nucleotide proximal cis-element in LIF mRNA exhibits mRNA destabilizing potential; on exposure to carcinogen PMA (phorbol-12-myristate-13-acetate), this cis-element exhibits mRNA stabilizing activity. PMA induces nucleo-cytoplasmic translocation of both nucleolin and PCBP1, 2 trans-acting factors that bind to and stabilize LIF mRNA. [LIF = leukemia inhibitory factor; PCBP1 = poly(rC) binding protein 1] PMID: 28512205
- Data suggest that C11orf98 microprotein, NPM1, and nucleolin interact and colocalize in the cell nucleolus. (C11orf98 = chromosome 11 open reading frame 98 protein; NPM1 = nucleophosmin 1) PMID: 28589727
- nucleolin inhibition is a new anti-pancreatic cancer therapeutic strategy that dually blocks tumor progression and normalizes tumor vasculature in pancreatic ductal adenocarcinoma PMID: 27754848
- It has been found that during microtubule growth phases, nucleolin affects both the speed and life time of microtubule polymerization. PMID: 27309529
- Interaction of Host Nucleolin with Influenza A Virus Nucleoprotein in the Early Phase of Infection Limits the Late Viral Gene Expression PMID: 27711134
- A yeast display library based on an engineered IgG1 CH2 scaffold with diversified loop regions was constructed, and CH2 binders were isolated by panning against nucleolin. PMID: 28202413
- A portion of HS-anMan colocalized with nucleolin at small discrete sites, while most of the nucleolin and nascent RNA was dispersed. In U87 cells, HS-anMan, nucleolin and nascent RNA reassembled after prolonged hypoxia. PMID: 28300561
- our findings identified a novel role of NCL in influenza virus life cycle and established NCL as one of the host cell surface proteins for the entry of influenza A virus. PMID: 27085069
- C23 on the cell surface may be a kind of indispensable component in activation of EGFR signaling, by which C23 can participate in the growth and invasion of cervical tumors PMID: 26254615
- These data suggest that nucleolin could be an effective treatment target and prognostic factor for patients with non-small cell lung cancer PMID: 26846099
- These findings demonstrate that nucleolin expression is down-regulated by miR-194 and miR-206 and upregulated by HuR. PMID: 27221739
- Nucleolin overexpression is associated with ependymoma. PMID: 26615563
- Nucleolin stabilizes oncostatin-M mRNA by binding to a GC-rich element in its 3'UTR. PMID: 26399567
- Data show that nucleolin (NCL) antagonist N6L inhibits cell growth with different sensitivity depending to NCL localization. PMID: 26540346
- HAUSP-nucleolin interaction is regulated by p53-Mdm2 complex in response to DNA damage. PMID: 26238070
- These results suggested a clear link between nucleolin expression (including cell membrane nucleolin) and the stem cell-like phenotype in breast cancer, namely in the triple negative molecular subtype. PMID: 26283155
- Identification of NCL as a prominent host factor capable of binding with high affinity to the G4 structures present in the LTR promoter of HIV-1. PMID: 26354862
- NCL overexpression is involved in liver carcinogenesis. PMID: 25938538
- NCL is implicated in the initiation and transduction of EGFR and CXCR4 signaling in the esophageal squamous cell carcinomas.NCL is expressed in the esophageal squamous cell carcinoma tissues with metastasis in the cell membrane, cytoplasm and nucleus. PMID: 25631630
- Data suggest that NCL (nucleolin) is re-localized during lytic KSHV (Kaposi sarcoma-associated herpesvirus) infection and protects IL6 (interleukin-6) mRNA from SOX (KSHV cytoplasmic mRNA-specific endonuclease) degradation in cytoplasm. PMID: 25965334
- The involvement of cell surface nucleolin in the initiation of CCR6 signaling in human hepatocellular carcinoma.Expression of nucleolin and CCR6 correlates with overall survival in hepatocellular carcinoma patients. PMID: 25698534
- C23 protein meditates bone morphogenetic protein-2-mediated epithelial-to-mesenchymal transition via up-regulation of Erk1/Erk2 and Akt in gastric cancer.Correlations between C23, BMPRII expression and prognosis of gastric cancer patients. PMID: 25698539
- study dissects nucleolin-mediated activation of surface AC133 and its cognate gene CD133, via specific interaction of nucleolin with the tissue-dependent CD133 promoter P1 PMID: 26183533
- Inhibition of C23 expression was shown to increase the radiosensitivity of NSCLC cells, as implied by the relevance to the notably decreased DNA-PKcs phosphorylation activity at the S2056 and T2609 clusters. PMID: 25921135
- the multiple functions of NCL that are associated to its multiple cellular localization can participate to the development of cancer. PMID: 25866190
- Nucleolin down-regulation is involved in ADP-induced cell cycle arrest in S phase and cell apoptosis in vascular endothelial cells. PMID: 25290311
- This study uncovered a new role for nucleolin in restricting microtubule nucleation and anchoring at centrosomes in interphase cells. PMID: 25590348
- C1q exists as the C1 complex (C1qC1r2C1s2), and C1q binding to ligands activates the C1r/C1s proteases. Incubation of nucleoli with C1 caused degradation of the nucleolar proteins nucleolin and nucleophosmin 1. T PMID: 26231209
- Increasing expression of nucleolin may be associated with aggressive characteristics of human hepatocellular carcinoma. PMID: 25230759
- Lrrc34, a novel nucleolar protein, interacts with npm1 and ncl and has an impact on pluripotent stem cells PMID: 24991885
- Data show that nucleolin and endogenous galectin-3 exist in the same complexes in the nucleolus, the cytoplasm, and on the cell surface of melanoma cells. PMID: 25169435
- Induced expression of NCL with mutated CK2 phosphorylation sites stabilizes p53, results in higher expression of Bcl2 (B-cell lymphoma 2) homology 3 (BH3)-only apoptotic markers and causes a dominant-negative effect on cell viability. PMID: 25313645
- Combined inhibition of nucleolin and ras prevents EGFR activation in glioblastoma cells, additively reducing tumorigenicity. PMID: 25261371
- nucleolin may interact with more G protein-coupled receptors, at least chemokine receptor. Our study will lay a new foundation for cancer therapy by antagonizing nucleolin and CXCR4. PMID: 25326811
- Studies identify nucleolin as an unconventional epigenetic regulator in leukemia cells and demonstrate nucleolin-NFkappaB-DNMT1 axis as a new molecular pathway underlying AML leukemogenesis. PMID: 25015109
- Nucleolin was overexpressed in HCCLM9 cells at the protein and mRNA level. So nucleolin is a novel potential biomarker for the metastasis of hepatocellular carcinoma and a possible therapeutic target for the treatment of hepatocellular carcinoma patients. PMID: 24927373
- results for the first time demonstrate that nucleolin-SUMO at K294R plays a critical role in its nucleus sequestration and gadd45alpha mRNA binding activity. PMID: 25561743
- this study identified a novel role of the cleavage form of NCL generated by MMP7 in stabilizing MMP9 mRNA. PMID: 24632608
- Authors show that the largely nuclear P-protein isoform P3 can localize to nucleoli and forms specific interactions with nucleolin. PMID: 25428867
- Transient nucleolar localization of FMRP underlies a strong nucleocytoplasmic translocation, in a complex with nucleolin in order to regulate translation of its target mRNAs. PMID: 24658146
顯示更多
收起更多
-
亞細胞定位:Nucleus, nucleolus. Cytoplasm. Note=Localized in cytoplasmic mRNP granules containing untranslated mRNAs.
-
數據庫鏈接:
Most popular with customers
-
-
YWHAB Recombinant Monoclonal Antibody
Applications: ELISA, WB, IHC, IF, FC
Species Reactivity: Human, Mouse, Rat
-
Phospho-YAP1 (S127) Recombinant Monoclonal Antibody
Applications: ELISA, WB, IHC
Species Reactivity: Human
-
-
-
-
-















