MYD88 Recombinant Monoclonal Antibody
-
中文名稱:MYD88 Recombinant Monoclonal Antibody
-
貨號:CSB-RA138699A0HU
-
規格:¥1320
-
圖片:
-
Western Blot
Positive WB detected in: Jurkat whole cell lysate(30μg), K562 whole cell lysate(30μg)
All lanes: MyD88 antibody at 1:1000
Secondary
Goat polyclonal to rabbit IgG at 1/40000 dilution
Predicted band size: 33 kDa
Observed band size: 35 kDa
Exposure time:2min -
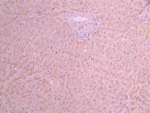
IHC image of CSB-RA138699A0HU diluted at 1:100 and staining in paraffin-embedded human liver tissue performed on a Leica BondTM system. After dewaxing and hydration, antigen retrieval was mediated by high pressure in a citrate buffer (pH 6.0). Section was blocked with 10% normal goat serum 30min at RT. Then primary antibody (1% BSA) was incubated at 4°C overnight. The primary is detected by a Goat anti-rabbit polymer IgG labeled by HRP and visualized using 0.05% DAB.
-
Immunofluorescence staining of HepG2 cell with CSB-RA138699A0HU at 1:50, counter-stained with DAPI. The cells were fixed in 4% formaldehyde, permeabilized using 0.2% Triton X-100 and blocked in 10% normal Goat Serum. The cells were then incubated with the antibody overnight at 4°C. The secondary antibody was Alexa Fluor 488-congugated AffiniPure Goat Anti-Rabbit IgG(H+L).
-
Overlay Peak curve showing jurkat cells stained with CSB-RA138699A0HU (red line) at 1:100. The cells were fixed in 4% formaldehyde and permeated by 0.2% TritonX-100 for 10min. Then 10% normal goat serum to block non-specific protein-protein interactions followed by the antibody (1ug/1*106cells) for 45min at 4℃. The secondary antibody used was FITC-conjugated goat anti-rabbit IgG (H+L) at 1/200 dilution for 35min at 4℃.Control antibody (green line) was Rabbit IgG (1ug/1*106cells) used under the same conditions. Acquisition of >10,000 events was performed.
-
-
其他:
產品詳情
-
Uniprot No.:
-
基因名:
-
別名:Myeloid differentiation primary response protein MyD88, MYD88
-
反應種屬:Human
-
免疫原:A synthesized peptide from human MYD88 protein
-
免疫原種屬:Homo sapiens (Human)
-
標記方式:Non-conjugated
-
克隆類型:Monoclonal
-
抗體亞型:Rabbit IgG
-
純化方式:Affinity-chromatography
-
克隆號:10F7
-
濃度:It differs from different batches. Please contact us to confirm it.
-
保存緩沖液:Preservative: 0.03% Proclin 300
Constituents: 50% Glycerol, 0.01M PBS, PH 7.4 -
產品提供形式:Liquid
-
應用范圍:ELISA, WB, IHC, IF, FC
-
推薦稀釋比:
Application Recommended Dilution WB 1:500-1:2000 IHC 1:50-1:200 IF 1:50-1:200 FC 1:50-1:200 -
Protocols:
-
儲存條件:Upon receipt, store at -20°C or -80°C. Avoid repeated freeze.
-
貨期:Basically, we can dispatch the products out in 1-3 working days after receiving your orders. Delivery time maybe differs from different purchasing way or location, please kindly consult your local distributors for specific delivery time.
-
用途:For Research Use Only. Not for use in diagnostic or therapeutic procedures.
相關產品
靶點詳情
-
功能:Adapter protein involved in the Toll-like receptor and IL-1 receptor signaling pathway in the innate immune response. Acts via IRAK1, IRAK2, IRF7 and TRAF6, leading to NF-kappa-B activation, cytokine secretion and the inflammatory response. Increases IL-8 transcription. Involved in IL-18-mediated signaling pathway. Activates IRF1 resulting in its rapid migration into the nucleus to mediate an efficient induction of IFN-beta, NOS2/INOS, and IL12A genes. Upon TLR8 activation by GU-rich single-stranded RNA (GU-rich RNA) derived from viruses such as SARS-CoV-2, SARS-CoV and HIV-1, induces IL1B release through NLRP3 inflammasome activation. MyD88-mediated signaling in intestinal epithelial cells is crucial for maintenance of gut homeostasis and controls the expression of the antimicrobial lectin REG3G in the small intestine.
-
基因功能參考文獻:
- MYD88(L265P) mutation does not appear to be a determinant of outcome, and its presence may not be a disease-defining feature in Waldenstrom macroglobulinemia. PMID: 29080258
- A summary of recent progress on elucidating the molecular and cellular processes affected by the oncogenic L265P mutation of MYD88 (review) . PMID: 30203262
- the results of the present study showed significantly higher mRNA expression levels for MYD88 180days post-transplantation in the graft dysfunction group compared to well functioning graft group PMID: 29452169
- the expression levels of TLR4/MyD88 were positively correlated with the metastatic potential of breast cancer cells and tumors. The expression levels of TLR4/MyD88 may be used as a biomarker to evaluate the prognosis and guide the treatment of patients with breast cancer. PMID: 30066873
- AGAP2-AS1 was upregulated and transcriptionally induced by SP1 in breast cancer..ChIP assays showed that AGAP2-AS1-bound CBP increased the enrichment of H3K27ac at the promoter region of MyD88, thus resulting in the upregulation of MyD88. Gain- and loss-of-function assays confirmed that the NF-kappaB pathway was activated by MyD88 and AGAP2-AS1 PMID: 30157918
- Activates the NFkappaB pathway through the Tolllike receptor 4 (TLR4)/myeloid differentiation factor 88 (MyD88)/IkappaBalpha axis. PMID: 29916535
- explored the detection method and clinical relevance of MYD88 mutations in Chinese patients with Chronic Lymphocytic Leukemia PMID: 29242635
- The combination of Ligusticum chuanxiong and Radix Paeoniae protects against focal cerebral ischaemia via TLR4/MyD88/MAPK/NF-kappaB signalling pathway in rat model of middle cerebral artery stroke. PMID: 29193143
- MYD88 Gene Polymorphism is not associated with Chronic Lymphocytic Leukemia. PMID: 29286214
- 17.6% of cases with primary CNS diffuse large B-cell lymphoma had homozygous/hemizygous MYD88 mutations, which has not been previously reported PMID: 28856744
- MyD88 mutation status did not correlate with overall survival (OS), post-ASCT OS, or progression-free survival (PFS) for Diffuse Large B Cell Lymphoma Patients undergoing Autologous Stem Cell Transplantation. PMID: 28847710
- Inducible activation of MyD88 and CD40 in CAR T cells with a small-molecule drug not only enhances their effector function, resulting in potent antitumor activity in preclinical solid tumors, but also enables their remote control post infusion. PMID: 28801306
- loss of MyD88 is essential for retinoic acid-facilitated differentiation of human embryonal carcinoma cells. PMID: 28885616
- Study supports that MYD88 status is a necessary biomarker in patients with primary cutaneous large B-cell lymphomas for diagnosis, prognosis, and management. PMID: 27189828
- Among age >65 patients, the MyD88 L265P mutation portended a worse overall survival compared with the MyD88 wild type PMID: 29258950
- Results show that MyD88 protein is necessary to activate autophagy in HSV-1-infected THP-1 cells. PMID: 27509841
- confirmed the high prevalence of MYD88 L265P mutation in Waldenstrom macroglobulinaemia patients, as well as in smouldering Waldenstrom macroglobulinaemia; patients with asymptomatic IgM gammopathies carrying the MYD88 L265P mutation showed a trend towards a shorter time to Waldenstrom macroglobulinaemia progression PMID: 27605200
- interleukin-1 receptor 1/MyD88 signalling has roles in the development and progression of pulmonary hypertension PMID: 27418552
- Results from whole exome sequencing has led to the identification of the MYD88L265P somatic variants in Waldenstrom's Macroglobulinemia, occurring in about 90% of the patients. [review] PMID: 28423722
- Among genotyped patients, nonresponders associated with wild-type MYD88 and mutated CXCR4 status. Median time to response was 4 weeks PMID: 27836860
- The authors demonstrated that EV71 infection upregulates miR-21, which in turn suppresses EV71-triggered type I IFN production, thus promoting EV71 replication. Furthermore, they demonstrated that miR-21 targets the myeloid differentiation factor 88(MyD88) and interleukin-1 receptor-associated kinase 1(IRAK1), which are involved in EV71-induced type I IFN production. PMID: 28506791
- The findings show that among suspected MYD88(WT) WM cases, an alternative clinicopathological diagnosis is common and can impact clinical care. WM patients with MYD88(WT) disease have a high incidence of associated DLBCL events and significantly shorter survival versus those with MYD88(MUT) disease. PMID: 29181840
- our study shows that MYD88 L265P mutation is associated with poor prognosis and high risk of progression in PCNSL patients. PMID: 27161435
- This study highlights the relative heterogeneity of MYD88-mutant diffuse large B-cell lymphoma (DLBCL), adding to the field's knowledge of the theranostic importance of MYD88 mutations, but also of associated alterations, emphasizing the usefulness of genomic profiling to best stratify patients for targeted therapy PMID: 27923841
- mutated MYD88 can be used to identify malignant pleural effusions in WM patients. WM patients with a suspected malignant pleural effusion should be considered for MYD88 mutation testing as part of their workup to establish the aetiology of their pleural effusion. PMID: 27748515
- MYD88 L265P mutations, but no other variants, identify a subgroup of diffuse large B-cell lymphoma mainly of activated B-cell like origin, with extranodal involvement and poor outcome. PMID: 26792260
- DNA was extracted from CD138+ or CD19+CD138+ sorted cells isolated from the bone marrows of IgM amyloidosis patients. The study reports of MYD88 L265P somatic mutation in IgM-associated light-chain amyloidosis patients. PMID: 27034430
- BTK-inhibitor ibrutinib and FK866 resulted in a significant and synergistic anti-Waldenstrom macroglobulinemia cell death, regardless of MYD88 and CXCR4 mutational status. PMID: 27287071
- Study found evidence of alterations in the expression of the initial elements of the TLR4 signalling pathway (TLR4, MyD88 and NF-kappaB) in the PFC of patients with schizophrenia. These alterations seem to depend on the presence/absence of antipsychotic treatment at death. Moreover, a polymorphism within the MyD88 gene was significantly associated with schizophrenia risk. PMID: 27070349
- The present study demonstrates that MYD-88 L265P mutation may represent the only sensitive marker for the differentiation of CBL-MZ from probable WM. PMID: 27734522
- Aqueous fluid from the second patient with intraocular B-cell lymphoma demonstrated a less common mutation in the MYD88 gene associated with B-cell lymphoma. PMID: 29122821
- Studies indicate that ibrutinib is active in patients with Waldenstrom macroglobulinemia (WM) and is affected by MYD88 and CXCR4 mutation status. PMID: 28294689
- Moreover, anchoring of MyD88 to the cell membrane augments signaling supporting the importance of membrane localization in MyD88-mediated signaling. PMID: 29155181
- MyD88 cysteine residues functionally modulate MyD88-dependent NF-kappaB activation, suggesting a link between MyD88 thiol oxidation state and immune signaling. PMID: 27720842
- the expression of certain TAM components was reduced as a result of prolonged degradation of MYD88 by Porphyromonas gingivalis infection. PMID: 28076786
- MYD88 expression in subcutaneous adipose tissue of obese subjects could be associated with the development of components of Metabolic syndrome. PMID: 28075222
- Patients with primary breast and primary female genital tract diffuse large B cell lymphoma have a high frequency of MYD88 mutations. PMID: 28803429
- Mutation in the MYD88 gene is associated with lymphoplasmacytic lymphoma and chronic lymphocytic leukemia. PMID: 27840426
- the polymorphisms in TLR-MyD88-NF-kappaB signaling pathway confer genetic susceptibility to Type 2 diabetes mellitus and diabetic nephropathy. PMID: 27062898
- Here the authors show that MAL TIR domains spontaneously and reversibly form filaments in vitro. They also form cofilaments with TLR4 TIR domains and induce formation of MyD88 assemblies. PMID: 28759049
- data show that in pericytes, MyD88 and IRAK4 are key regulators of 2 major injury responses: inflammatory and fibrogenic. PMID: 27869651
- Data indicate that 64 patients (57.1%) carried the myeloid differentiation factor 88 protein (MYD88) L265P mutation and 14 patients (12.5%) carried the chemokine (C-X-C motif) receptor 4 (CXCR4) WHIM-like mutation. PMID: 28280994
- HCK represents a novel target for therapeutic development in MYD88-mutated Waldenstrom macroglobulinemia and activated-B cell diffuse large B-cell lymphoma, and possibly other diseases driven by mutated MYD88. PMID: 27143257
- We found an that enhanced expression of the TLR4-MyD88-NF-kB pathway occurs in GDM placentae, which positively correlates with heightened local IR in placentae and higher maternal hyperglycemia. The TLR4/MyD88/NF-kB pathway may play a potential role in the development of IR in placentae of GDM. PMID: 27340831
- We found that over-expression of CRNDE in astrocytes increased the expression of key factors in the toll-like receptor signaling pathway, especially toll-like receptor-3-mediated MyD88-independent pathway.We speculated that CRNDE might trigger inflammation to regulate tumorigenesis and tumor development through the toll-like receptor pathway PMID: 28621230
- Data suggest that, in monocytes and macrophages, the interleukin-1B- (IL1B)-stimulated trans-autophosphorylation of IRAK4 (interleukin-1 receptor-associated kinase 4) is initiated by MYD88-induced dimerization of IRAK4. In contrast, IRAK1 (interleukin-1 receptor-associated kinase 1) is inactive in unstimulated monocytes/macrophages and is converted to an active protein kinase in response to IL1B. PMID: 28512203
- our data suggest a new role of MyD88 in the development of glucose intolerance and hepatic steatosis. PMID: 27196572
- In patient population from Southeast Serbia Myd 88 L265 mutation was not responsible for the development of diffuse large B-cell non Hodgkin lymphoma. PMID: 27837631
- FSTL1 displays anti-inflammatory effects against oxidized low-density lipoprotein-induced pro-inflammatory cytokine production via a mechanism that involves the TLR4/MyD88/NF-kappaB and MAPK signaling pathways. PMID: 27569284
- The incidence of MYD88 and CD79B mutations in patients with CD5(+) DLBCL is lower than that in patients with DLBCL-SS, suggesting that CD5(+) DLBCL is not the same disease as DLBCL-SS in terms of gene mutation status. PMID: 27915469
顯示更多
收起更多
-
相關疾病:MYD88 deficiency (MYD88D)
-
亞細胞定位:Cytoplasm. Nucleus.
-
組織特異性:Ubiquitous.
-
數據庫鏈接:
Most popular with customers
-
-
YWHAB Recombinant Monoclonal Antibody
Applications: ELISA, WB, IHC, IF, FC
Species Reactivity: Human, Mouse, Rat
-
Phospho-YAP1 (S127) Recombinant Monoclonal Antibody
Applications: ELISA, WB, IHC
Species Reactivity: Human
-
-
-
-
-















