MRGPRX2 Recombinant Monoclonal Antibody
-
中文名稱:MRGPRX2 Recombinant Monoclonal Antibody
-
貨號:CSB-RA839361MA1HU
-
規格:¥1320
-
圖片:
-
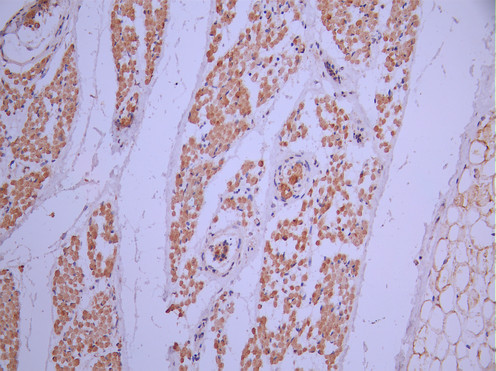
IHC image of CSB-RA839361MA1HU diluted at 1:50 and staining in paraffin-embedded human skin tissue performed on a Leica BondTM system. After dewaxing and hydration, antigen retrieval was mediated by high pressure in a citrate buffer (pH 6.0). Section was blocked with 10% normal goat serum 30min at RT. Then primary antibody (1% BSA) was incubated at 4°C overnight. The primary is detected by a Anti-Human lgG, Fcy Fragment Specific labeled by HRP and visualized using 0.05% DAB.
-
-
其他:
產品詳情
-
Uniprot No.:
-
基因名:
-
別名:G protein coupled receptor MRGX 2 antibody; G protein coupled receptor MRGX2 antibody; Mas related G protein coupled receptor member X2 antibody; Mas related gene MRGX 2 antibody; Mas related gene MRGX2 antibody; MAS related GPR member X2 antibody; Mas-related G-protein coupled receptor member X antibody; Mas-related G-protein coupled receptor member X2 antibody; MRGPRX 2 antibody; MRGPRX2 antibody; MRGX 2 antibody; MRGX2 antibody; MRGX2_HUMAN antibody
-
反應種屬:Human
-
免疫原:Recombinant Human MRGPRX2 protein
-
免疫原種屬:Homo sapiens (Human)
-
標記方式:Non-conjugated
-
克隆類型:Monoclonal
-
抗體亞型:hIgG1
-
純化方式:Affinity-chromatography
-
克隆號:6C3
-
濃度:It differs from different batches. Please contact us to confirm it.
-
保存緩沖液:Preservative: 0.03% Proclin 300
Constituents: 50% Glycerol, 0.01M PBS, PH 7.4 -
產品提供形式:Liquid
-
應用范圍:ELISA, IHC
-
推薦稀釋比:
Application Recommended Dilution IHC 1:50-1:200 -
Protocols:
-
儲存條件:Upon receipt, store at -20°C or -80°C. Avoid repeated freeze.
-
貨期:Basically, we can dispatch the products out in 1-3 working days after receiving your orders. Delivery time maybe differs from different purchasing way or location, please kindly consult your local distributors for specific delivery time.
-
用途:For Research Use Only. Not for use in diagnostic or therapeutic procedures.
相關產品
靶點詳情
-
功能:Mast cell-specific receptor for basic secretagogues, i.e. cationic amphiphilic drugs, as well as endo- or exogenous peptides, consisting of a basic head group and a hydrophobic core. Recognizes and binds small molecules containing a cyclized tetrahydroisoquinoline (THIQ), such as non-steroidal neuromuscular blocking drugs (NMBDs), including tubocurarine and atracurium. In response to these compounds, mediates pseudo-allergic reactions characterized by histamine release, inflammation and airway contraction. Acts as a receptor for a number of other ligands, including peptides and alkaloids, such as cortistatin-14, proadrenomedullin N-terminal peptides PAMP-12 and, at lower extent, PAMP-20, antibacterial protein LL-37, PMX-53 peptide, beta-defensins, and complanadine A.
-
基因功能參考文獻:
- Low levels of MRGPRX2 were detected in non-asthma lung mast cells, but its expression was significantly up-regulated in asthma lung mast cells. PMID: 29295703
- the present study demonstrates that FceRI and MRGPRX2 function can be inversely regulated by SCF in an acute scenario, suggesting that the signaling requirements differ profoundly between the routes. PMID: 28859248
- The authors discuss the possibility that MRGPRX2 responds to various as-yet-unidentified endogenous ligands that have specific characteristics, and propose that MRGPRX2 plays an important role in regulating inflammatory responses to endogenous harmful stimuli, such as protein breakdown products released from damaged or dying cells. PMID: 29484687
- these peptides are identified as fragments of albumin. The isolated fragments activate MRGPRX2 and degranulate MRGPRX2 expressing LAD 2 cells in dose-dependent manner. The isolated basic peptides generated from human albumin are able to degranulate mast cells via the MRGPRX2. PMID: 28844982
- The results showed a kind of mechanism that sinomenine-induced anaphylactoid reactions were mediated by MRGPRX2 via activating PLC molecular signaling pathways to provoke mast cells Ca(2+) mobilization and degranulation. PMID: 28987593
- data suggest that mast cells play important roles in both gingival homeostasis and periodontal disease by orchestrating an interaction between gingival epithelial cells and neutrophils via MRGPRX2-mediated degranulation PMID: 28694291
- MRGX2 is related to nociception, adrenal gland secretion and mast cell degranulation. (Review) PMID: 26106044
- contributes to larger and longer lasting wheal reactions to intradermally injected neuropeptides in patients with chronic urticaria PMID: 24954276
- Ectopic expression of MrgX2 in rat basophilic leukemia RBL-2H3 cells and murine bone marrow mast cells renders these cells responsive to human beta-defensin for degranulation. PMID: 23698749
- identified MrgX2 as a novel G protein-coupled receptor for the antibacterial peptide LL-37 and demonstrated that unlike most G protein-coupled receptors it is resistant to agonist-induced receptor phosphorylation, desensitization, and internalization. PMID: 22069323
- cortistatin-14 shown to be a high affinity ligand for G protein coupled receptor MrgX2 which is expressed in dorsal root ganglion PMID: 12915402
- MRGX2 amino acid substitutions may alter the interactions between MRGX2 protein and its ligand, thus, potentially led to adaptive changes of the pain-perception-related nervous system during human evolution. PMID: 15862286
顯示更多
收起更多
-
亞細胞定位:Cell membrane; Multi-pass membrane protein.
-
蛋白家族:G-protein coupled receptor 1 family, Mas subfamily
-
組織特異性:Mainly expressed in mast cells. Has a limited expression profile, both peripheral and within the central nervous system, with highest levels in dorsal root ganglion. Detected in blood vessels, scattered lymphocytes, and gastrointestinal ganglia (at protei
-
數據庫鏈接:
Most popular with customers
-
-
YWHAB Recombinant Monoclonal Antibody
Applications: ELISA, WB, IHC, IF, FC
Species Reactivity: Human, Mouse, Rat
-
Phospho-YAP1 (S127) Recombinant Monoclonal Antibody
Applications: ELISA, WB, IHC
Species Reactivity: Human
-
-
-
-
-















