MRAS Recombinant Monoclonal Antibody
-
中文名稱:MRAS重組抗體
-
貨號:CSB-RA014781MA1HU
-
規格:¥1320
-
圖片:
-
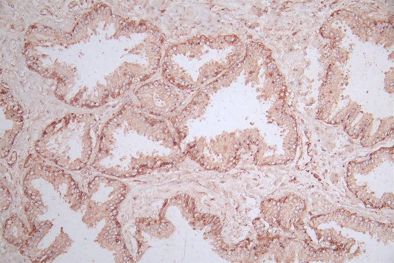
IHC image of CSB-RA014781MA1HU diluted at 1:600 and staining in paraffin-embedded human prostate tissue performed on a Leica BondTM system. After dewaxing and hydration, antigen retrieval was mediated by high pressure in a citrate buffer (pH 6.0). Section was blocked with 10% normal goat serum 30min at RT. Then primary antibody (1% BSA) was incubated at 4°C overnight. The primary is detected by a Goat anti-Mouse IgG labeled by HRP and visualized using 0.05% DAB.
-
Immunofluorescence staining of Hela cell with CSB-RA014781MA1HU at 1:200, counter-stained with DAPI. The cells were fixed in 4% formaldehyde and blocked in 10% normal Goat Serum. The cells were then incubated with the antibody overnight at 4C. The secondary antibody was FITC-conjugated AffiniPure Goat Anti-Mouse IgG(H+L).
-
-
其他:
產品詳情
-
產品描述:CSB-RA014781MA1HU MRAS重組單克隆抗體是針對MRAS靶點研發的高特異性科研試劑,經ELISA、免疫組化(IHC)和免疫熒光(IF)等多平臺嚴格驗證,在IHC應用中推薦1:20-1:200稀釋度,IF實驗建議1:20-1:200稀釋比例。該抗體通過抗原親和力純化工藝制備,展現出優異的靶標結合特異性,在多種組織樣本中均能實現清晰的細胞膜/細胞質定位信號,且背景干擾低,重復性穩定。MRAS作為RAS癌基因家族成員,參與調控MAPK信號通路,在細胞增殖、分化及腫瘤發生發展中具有重要作用。本產品適用于探究MRAS在腫瘤微環境中的表達模式、癌癥相關信號通路調控機制以及細胞功能研究,可配合病理學分析、分子互作實驗及細胞模型構建,為腫瘤生物學基礎研究提供精準的實驗工具。
-
Uniprot No.:
-
基因名:
-
別名:FLJ42964 antibody; M ras antibody; M-ras antibody; Mras antibody; Muscle and microspikes Ras antibody; Muscle RAS oncogene homolog antibody; Muscle Ras oncogene homologue antibody; Muscle Ras viral oncogene homolog antibody; R ras3 antibody; R-ras3 antibody; Ras related protein MRas antibody; Ras related protein RRas3 antibody; Ras-related protein M-Ras antibody; Ras-related protein R-Ras3 antibody; RASM_HUMAN antibody; Related Ras viral oncogene homolog 3 antibody; RRas3 antibody; XRas antibody
-
反應種屬:Human
-
免疫原:Recombinant Human MRAS protein
-
免疫原種屬:Homo sapiens (Human)
-
標記方式:Non-conjugated
-
克隆類型:Monoclonal
-
抗體亞型:Mouse IgG2a
-
純化方式:Affinity-chromatography
-
克隆號:17H12
-
濃度:It differs from different batches. Please contact us to confirm it.
-
保存緩沖液:Preservative: 0.03% Proclin 300
Constituents: 50% Glycerol, 0.01M PBS, PH 7.4 -
產品提供形式:Liquid
-
應用范圍:ELISA, IHC, IF
-
推薦稀釋比:
Application Recommended Dilution IHC 1:20-1:200 IF 1:20-1:200 -
Protocols:
-
儲存條件:Upon receipt, store at -20°C or -80°C. Avoid repeated freeze.
-
貨期:Basically, we can dispatch the products out in 1-3 working days after receiving your orders. Delivery time maybe differs from different purchasing way or location, please kindly consult your local distributors for specific delivery time.
-
用途:For Research Use Only. Not for use in diagnostic or therapeutic procedures.
相關產品
靶點詳情
-
功能:Serves as an important signal transducer for a novel upstream stimuli in controlling cell proliferation. Activates the MAP kinase pathway.
-
基因功能參考文獻:
- acute coronary syndrome in Czechs (30.4% vs 29.4% carriers of the minor T allele of MRAS[recessive model], p = 0.54; OR 1.05; 95% CI 0.89-1.24 for males and 32.1% vs 29.7% carriers of the minor T allele, p = 0.28; OR 1.12; 95% CI 0.91-1.37 for females) PMID: 29264877
- Results discovered for the first time that MRAS is recurrently mutated, indicating that MRAS mutations could drive tumorigenesis of Type IV gastric neoplasm. PMID: 27891760
- The association of the MARS rs6782181 polymorphism and serum lipid levels is different between the Mulao and Han populations, or between males and females in the both ethnic groups. PMID: 25973078
- The MRAS gene loci might have a minor effect in conferring susceptibility to coronary artery disease in the Chinese population. PMID: 25800439
- Both MRAS and SHOC2 play a key role in polarized migration. PMID: 24211266
- implicated in a novel pathway of neuronal differentiation by coupling specific trophic factors to the MAPK cascade through the activation of B-Raf PMID: 12138204
- These findings proved a crucial role of the cross-talk between two Ras-family GTPases M-Ras and Rap1, mediated by RA-GEF-2, in adhesion signaling. PMID: 17538012
- Identification of one new CAD risk locus on 3q22.3 in MRAS, and suggestive association with a locus on 12q24.31 near HNF1A-C12orf43. PMID: 19198612
顯示更多
收起更多
-
亞細胞定位:Cell membrane; Lipid-anchor; Cytoplasmic side.
-
蛋白家族:Small GTPase superfamily, Ras family
-
組織特異性:Expression highly restricted to the brain and heart.
-
數據庫鏈接:
Most popular with customers
-
YWHAB Recombinant Monoclonal Antibody
Applications: ELISA, WB, IHC, IF, FC
Species Reactivity: Human, Mouse, Rat
-
Phospho-YAP1 (S127) Recombinant Monoclonal Antibody
Applications: ELISA, WB, IHC
Species Reactivity: Human
-
-
-
-
-
-















