KRT5 Recombinant Monoclonal Antibody
-
中文名稱:KRT5 Recombinant Monoclonal Antibody
-
貨號:CSB-RA557526A0HU
-
規格:¥1320
-
圖片:
-
Western Blot
, Positive WB detected in:A431 whole cell lysate(30μg)
All lanes: Cytokeratin 5 antibody at 1:1000
Secondary
Goat polyclonal to rabbit IgG at 1/40000 dilution
Predicted band size: 62 kDa
Observed band size:62 kDa
Exposure time:180s -
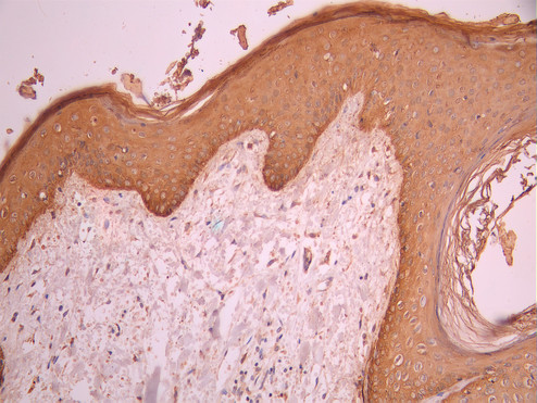
IHC image of CSB-RA557526A0HU diluted at 1:100 and staining in paraffin-embedded human skin tissue performed on a Leica BondTM system. After dewaxing and hydration, antigen retrieval was mediated by high pressure in a citrate buffer (pH 6.0). Section was blocked with 10% normal goat serum 30min at RT. Then primary antibody (1% BSA) was incubated at 4°C overnight. The primary is detected by a Goat anti-rabbit polymer IgG labeled by HRP and visualized using 0.05% DAB.
-
Overlay Peak curve showing Hela cells stained with CSB-RA557526A0HU (red line) at 1:100. The cells were fixed in 4% formaldehyde and permeated by 0.2% TritonX-100 for 10min. Then 10% normal goat serum to block non-specific protein-protein interactions followed by the antibody (1ug/1*106cells) for 45min at 4℃. The secondary antibody used was FITC-conjugated goat anti-rabbit IgG (H+L) at 1/200 dilution for 35min at 4℃.Control antibody (green line) was Rabbit IgG (1ug/1*106cells) used under the same conditions. Acquisition of >10, 000 events was performed.
-
-
其他:
產品詳情
-
Uniprot No.:
-
基因名:KRT5
-
別名:58 kDa cytokeratin antibody; CK-5 antibody; CK5 antibody; Cytokeratin-5 antibody; Cytokeratin5 antibody; DDD antibody; DDD1 antibody; EBS2 antibody; epidermolysis bullosa simplex 2 Dowling-Meara/Kobner/Weber-Cockayne types antibody; K2C5_HUMAN antibody; K5 antibody; keratin 5 (epidermolysis bullosa simplex, Dowling-Meara/Kobner/Weber-Cockayne types) antibody; Keratin 5 antibody; Keratin antibody; keratin complex 2, basic, gene 5 antibody; keratin, type II cytoskeletal 5 antibody; Keratin-5 antibody; Keratin5 antibody; KRT 5 antibody; Krt5 antibody; KRT5A antibody; type II cytoskeletal 5 antibody; Type-II keratin Kb5 antibody
-
反應種屬:Human, Rat
-
免疫原:A synthesized peptide from human KRT5 protein
-
免疫原種屬:Homo sapiens (Human)
-
標記方式:Non-conjugated
-
克隆類型:Monoclonal
-
抗體亞型:Rabbit IgG
-
純化方式:Affinity-chromatography
-
克隆號:9A9
-
濃度:It differs from different batches. Please contact us to confirm it.
-
保存緩沖液:Rabbit IgG in 10mM phosphate buffered saline , pH 7.4, 150mM sodium chloride, 0.05% BSA, 0.02% sodium azide and 50% glycerol.
-
產品提供形式:Liquid
-
應用范圍:ELISA, WB, IHC, FC
-
推薦稀釋比:
Application Recommended Dilution WB 1:500-1:5000 IHC 1:50-1:200 FC 1:50-1:200 -
Protocols:
-
儲存條件:Upon receipt, store at -20°C or -80°C. Avoid repeated freeze.
-
貨期:Basically, we can dispatch the products out in 1-3 working days after receiving your orders. Delivery time maybe differs from different purchasing way or location, please kindly consult your local distributors for specific delivery time.
-
用途:For Research Use Only. Not for use in diagnostic or therapeutic procedures.
相關產品
靶點詳情
-
基因功能參考文獻:
- Cytokeratin 5/6 and CK8/18 immunohistochemistry on 150 cases of triple negative breast cancers was performed and association with various clinicopathological features was evaluated. PMID: 29884220
- Data indicate that cytokeratin 5/6 (CK5/6) is an independent prognostic biomarker in urothelial carcinoma and therefore can be used in the prognostic stratification of the patients with bladder cancer. PMID: 29587848
- CK5/6 expression changed according to the morphological components in adenoid cystic carcinoma of the breast. PMID: 29517206
- EGFR and CK5/6 expression could serve as biomarkers for identifying triple-negative breast cancer patients with poor survival PMID: 28648939
- Basal cell carcinoma (BCC) typically shows patchy CD56 expression and diffuse CK5/6 positivity. These 2 markers can be used to distinguish between BCC and Merkel cell carcinoma in challenging cases. PMID: 28403527
- Negative staining for CK5/6 and p63 can be helpful to distinguish Well-differentiated neuroendocrine tumors (WDNETs) from cutaneous adnexal neoplasms. It is important to consider WDNETs in the differential diagnosis of cutaneous adnexal neoplasms as low-grade tumors may be the first sign of aggressive metastatic disease PMID: 28417484
- this study adds a further 10 novel mutations to the catalogued genotype-phenotype correlations in epidermolysis bullosa simplex and demonstrates a potential modifying effect of SNPs on the phenotype. We therefore support the notion of full DNA sequencing of both KRT5 and KRT14 genes so as to not miss any variants in the genes contributing to the phenotype. PMID: 28561874
- Flat Intraurothelial Neoplasia Exhibiting Diffuse Immunoreactivity for CD44 and Cytokeratin 5 (Urothelial Stem Cell/Basal Cell Markers): A Variant of Intraurothelial Neoplasia Commonly Associated With Muscle-invasive Urothelial Carcinoma PMID: 26990746
- Dual small interfering RNA (siRNA) silencing of RARalpha and RARgamma reversed RA blockade of P4-induced CK5. Using promoter deletion analysis, we identified a region 1.1 kb upstream of the CK5 transcriptional start site that is necessary for P4 activation and contains a putative progesterone response element (PRE PMID: 28692043
- Cytokeratin 5/6 protein expression as a frequent feature of high-grade serous ovarian carcinoma with various staining patterns. Cytokeratin 5/6 in combination with ER-alpha proved to be a negative prognostic marker. PMID: 28414091
- The proportion of serous ovarian carcinomas with high K5/6 or high K5 immunostaining was significantly increased following neoadjuvant chemotherapy. K5 can be used to predict serous ovarian cancer prognosis and identify cancer cells that are resistant to chemotherapy. PMID: 28147318
- CK5 and p40 are good diagnostic markers for squamous cell carcinoma and superior to p63 PMID: 26447895
- The expression of CK5/6 and of P63 suggests a squamous differentiation including in the basaloid thyroid lymphoepithelial complexes PMID: 27130144
- Immunocytochemistry using this antibody cocktail comprises five antibodies recognising p63, and cytokeratins ( 7, 18, 5 and 14) showed good sensitivity and specificity for diagnosing breast cancers. Thus, this method is useful for mammary cytology using FNA PMID: 27060708
- the consistency test results indicated the inter-observer agreement was more robust in MS images for HER2 , CK5/6 and ER than that in RGB images for HER2 , CK5/6 and ER . PMID: 26537585
- the luminal cells of adenoid cystic carcinoma show a unique aberrant staining pattern for cytokeratin 5/6 that may aid in the differential diagnosis PMID: 27240462
- Results provide further accumulation of case series of EBS-MP and DPR may provide more accurate diagnostic criteria for genetic disorders of the K5/K14 pair, previously believed to be independent disorders. PMID: 26286811
- The results introduce a case of special generalized DDD with a family history that clinically resembles dyschromatosis universalis hereditaria (DUH), and suggest that KRT5 may be the candidate gene. PMID: 26440693
- Authors herein defined two distinct HNSCCs groups (EGFR(+) and K5(+)) with several sub-classes, identifiable by the additional assessment of p53, Bcl2 and CD117. PMID: 26708602
- identification of 29 different mutations in KRT5 and KRT14, 11 of which were novel, in a Polish cohort of epidermolysis bullosa simplex patients PMID: 26432462
- KRT5 protein mutation may predispose to a severe lethal variant of epidermolysis bullosa simplex. PMID: 26743602
- study showed that 34betaE12 is the most appropriate negative marker to combine with alpha-methylacyl coenzyme A racemase as a positive marker for the diagnosis of prostate adenocarcinoma[34betaE12] PMID: 20189848
- Different staining patterns can be seen with CK5/6 and p63; however, if they are used together with TTF-1 they can be used in subtyping lung neoplasms. PMID: 25944390
- CK5/6 have roles in biologically aggressive tumors likely to display resistance to trastuzumab ab initio in women diagnosed with HER2+ cancer PMID: 25742793
- Keratinocytes adhesion and stiffness depends on KRT5 protein missense mutation. PMID: 25961909
- There were differences between CK5/6, p63,CK34betaE12 and TTF-1 expression with tumor differentiation in squamous cell carcinoma or adenocarcinomas PMID: 25063315
- in silico analysis of all epidermolysis bullosa simplex causing point mutations on the 2B domain of K5 and K14; result showed all pathogenic point mutations exert their dominant negative effect on the K5/K14 coiled-coil heterodimer complex by altering interchain interaction,leading to changes in stability and assembly competence of the heterodimer complex PMID: 25017986
- CK5/6, IMP3 and TTF1 immunostaining appears to be useful to improve the accuracy of cytological diagnoses between reactive mesothelial cells, metastatic adenocarcinoma of lung and non-lung origin in pleural effusion. PMID: 25337222
- immunoreactivity cytokeratin 5 and CD44 commonly immunostained Nested/microcystic urothelial carcinoma (US) and some invasive high grade UC PMID: 25143125
- plectin interacts with keratins 5 and 14 in a process associated with epidermolysis bullosa simplex PMID: 24940650
- We present six cases from two unrelated Spanish families each with several affected members with epidermolysis bullosa simplex with mottled pigmentation. PMID: 22640275
- CK5/6, but not c-Met expression, seems to be important in lymphatic metastasis PMID: 24326984
- In premenopausal patients with hormone receptor-positive breast cancer, tumor protein levels of CK5 correlated positively with BCL6 and are associated with unfavorable clinical outcome. PMID: 23708665
- The TGFBR3-JUND circuit is conserved in some premalignant lesions that heterogeneously express KRT5. PMID: 24658685
- The expression of TARP and KRT5 was correlated with the progress of endometrial cancer PMID: 24238509
- Case Report: novel keratin 5 mutation in an African family with epidermolysis bullosa simplex. PMID: 23450297
- These results indicate that total expression of mutant KRT5 in the patient's epidermis does not change with aging. PMID: 23588208
- Repeated progestin treatment and selection of GFP(+) cells enriched for a persistent population of CK5(+) cells. PMID: 23184698
- Report keratin5 expression in breast papillomas and papillary carcinoma. PMID: 23327593
- Cytokeratine 5/6 and EGFR expressions showed correlation so these markers are reliable to diagnose basaloid type tumors with a 5% cut-off value. PMID: 23011826
- Verrucous carcinoma in epidermolysis bullosa simplex is possibly associated with a novel mutation in the keratin 5 gene. PMID: 22639907
- Two missense mutations identified are in highly conserved regions of KRT14 and KRT5 for epidermolysis bullosa simplex. PMID: 22832485
- Data show that calretinin and CK5/6 were positive in 100 and 64% of mesotheliomas, and 92 and 31% of reactive effusions, respectively, and desmin was negative in all malignant cases and positive in 85% of reactive effusions. PMID: 23075894
- All exons of the KRT5 gene and adjacent exon-intron border sequences were amplified using PCR and directly sequenced. RESULTS: We identified a novel keratin 5 (K5) nonsense mutation designated c.C10T (p.Gln4X) in exon 1 of the KRT5 gene PMID: 21569119
- analysis of Type 1 segmental Galli-Galli disease resulting from a previously unreported keratin 5 mutation [case report] PMID: 22437315
- the results of CK5/6 and p63 in CNBs of papillary neoplasms were mostly representative of the final results for CK5/6 and p63 in subsequent surgical excisions, excisional biopsy is required for definitive subtyping PMID: 22553810
- Mutation in K5 gene (c.237C>T)in a family may be responsible for the development of epidermolysis bullosa simplex with mottled pigmentation. PMID: 22161089
- Defects in K5-K14 filament network architecture cause basal keratinocytes to become fragile, and account for their rupture upon exposure to mechanical trauma. PMID: 22277943
- we observed a possible association between CK5/6 expression in the primary tumor and multiple versus solitary breast carcinoma brain metastasis PMID: 21427063
- we suggest that keratin 5/6 and bcl-2 should not be used to identify benign glands in prostate biopsy PMID: 20189848
顯示更多
收起更多
-
相關疾病:Epidermolysis bullosa simplex, Dowling-Meara type (DM-EBS); Epidermolysis bullosa simplex, with migratory circinate erythema (EBSMCE); Epidermolysis bullosa simplex, Weber-Cockayne type (WC-EBS); Epidermolysis bullosa simplex, Koebner type (K-EBS); Epidermolysis bullosa simplex, with mottled pigmentation (MP-EBS); Dowling-Degos disease 1 (DDD1)
-
蛋白家族:Intermediate filament family
-
組織特異性:Expressed in corneal epithelium (at protein level).
-
數據庫鏈接:
Most popular with customers
-
-
YWHAB Recombinant Monoclonal Antibody
Applications: ELISA, WB, IHC, IF, FC
Species Reactivity: Human, Mouse, Rat
-
Phospho-YAP1 (S127) Recombinant Monoclonal Antibody
Applications: ELISA, WB, IHC
Species Reactivity: Human
-
-
-
-
-















