HINT1 Recombinant Monoclonal Antibody
-
中文名稱:HINT1 Recombinant Monoclonal Antibody
-
貨號:CSB-RA299916A0HU
-
規格:¥1320
-
圖片:
-
Western Blot
Positive WB detected in: Hela whole cell lysate(30μg), HEK293T whole cell lysate(30μg), Jurkat whole cell lysate(30μg), Raji whole cell lysate(30μg), K562 whole cell lysate(30μg), Mouse brain tissue lysate(30μg), Rat brain tissue lysate(30μg), Mouse kidney tissue lysate(30μg), Rat kidney tissue lysate(30μg)
All lanes: HINT1 antibody at 1:1000
Secondary
Goat polyclonal to rabbit IgG at 1/40000 dilution
Predicted band size: 14 kDa
Observed band size: 14 kDa
Exposure time:2min -
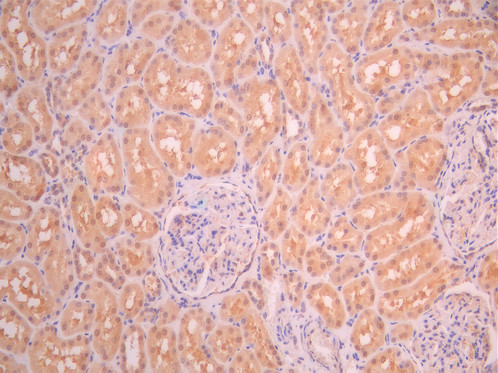
IHC image of CSB-RA299916A0HU diluted at 1:100 and staining in paraffin-embedded human kidney tissue performed on a Leica BondTM system. After dewaxing and hydration, antigen retrieval was mediated by high pressure in a citrate buffer (pH 6.0). Section was blocked with 10% normal goat serum 30min at RT. Then primary antibody (1% BSA) was incubated at 4°C overnight. The primary is detected by a Goat anti-rabbit polymer IgG labeled by HRP and visualized using 0.05% DAB.
-
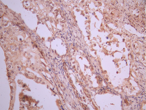
IHC image of CSB-RA299916A0HU diluted at 1:100 and staining in paraffin-embedded human pancreatic cancer performed on a Leica BondTM system. After dewaxing and hydration, antigen retrieval was mediated by high pressure in a citrate buffer (pH 6.0). Section was blocked with 10% normal goat serum 30min at RT. Then primary antibody (1% BSA) was incubated at 4°C overnight. The primary is detected by a Goat anti-rabbit polymer IgG labeled by HRP and visualized using 0.05% DAB.
-
Immunofluorescence staining of HepG2 cell with CSB-RA299916A0HU at 1:50 , counter-stained with DAPI. The cells were fixed in 4% formaldehyde, permeabilized using 0.2% Triton X-100 and blocked in 10% normal Goat Serum. The cells were then incubated with the antibody overnight at 4°C. The secondary antibody was Alexa Fluor 488-congugated AffiniPure Goat Anti-Rabbit IgG(H+L).
-
Overlay Peak curve showing 786-O cells stained with CSB-RA299916A0HU (red line) at 1:100. The cells were fixed in 4% formaldehyde and permeated by 0.2% TritonX-100 for 10min. Then 10% normal goat serum to block non-specific protein-protein interactions followed by the antibody (1ug/1*106cells) for 45min at 4℃. The secondary antibody used was FITC-conjugated goat anti-rabbit IgG (H+L) at 1/200 dilution for 35min at 4℃.Control antibody (green line) was Rabbit IgG (1ug/1*106cells) used under the same conditions. Acquisition of >10, 000 events was performed.
-
-
其他:
產品詳情
-
Uniprot No.:
-
基因名:
-
別名:Adenosine 5' monophosphoramidase antibody; Adenosine 5''-monophosphoramidase antibody; HINT 1 antibody; HINT1 antibody; HINT1_HUMAN antibody; Histidine triad nucleotide binding protein 1 antibody; Histidine triad nucleotide-binding protein 1 antibody; PKCI 1 antibody; PKCI-1 antibody; PKCI1 antibody; PRKCNH1 antibody; Protein kinase C inhibitor 1 antibody; Protein kinase C interacting protein 1 antibody; Protein kinase C-interacting protein 1 antibody
-
反應種屬:Human, Mouse, Rat
-
免疫原:A synthesized peptide from human HINT1 protein
-
免疫原種屬:Homo sapiens (Human)
-
標記方式:Non-conjugated
-
克隆類型:Monoclonal
-
抗體亞型:Rabbit IgG
-
純化方式:Affinity-chromatography
-
克隆號:17E12
-
濃度:It differs from different batches. Please contact us to confirm it.
-
保存緩沖液:Rabbit IgG in 10mM phosphate buffered saline , pH 7.4, 150mM sodium chloride, 0.05% BSA, 0.02% sodium azide and 50% glycerol.
-
產品提供形式:Liquid
-
應用范圍:ELISA, WB, IHC, IF, FC
-
推薦稀釋比:
Application Recommended Dilution WB 1:500-1:5000 IHC 1:50-1:200 IF 1:50-1:200 FC 1:50-1:200 -
Protocols:
-
儲存條件:Upon receipt, store at -20°C or -80°C. Avoid repeated freeze.
-
貨期:Basically, we can dispatch the products out in 1-3 working days after receiving your orders. Delivery time maybe differs from different purchasing way or location, please kindly consult your local distributors for specific delivery time.
-
用途:For Research Use Only. Not for use in diagnostic or therapeutic procedures.
相關產品
靶點詳情
-
功能:Exhibits adenosine 5'-monophosphoramidase activity, hydrolyzing purine nucleotide phosphoramidates with a single phosphate group such as adenosine 5'monophosphoramidate (AMP-NH2) to yield AMP and NH2. Hydrolyzes adenosine 5'monophosphomorpholidate (AMP-morpholidate) and guanosine 5'monophosphomorpholidate (GMP-morpholidate). Hydrolyzes lysyl-AMP (AMP-N-epsilon-(N-alpha-acetyl lysine methyl ester)) generated by lysine tRNA ligase, as well as Met-AMP, His-AMP and Asp-AMP, lysyl-GMP (GMP-N-epsilon-(N-alpha-acetyl lysine methyl ester)) and AMP-N-alanine methyl ester. Hydrolyzes 3-indolepropionic acyl-adenylate, tryptamine adenosine phosphoramidate monoester and other fluorogenic purine nucleoside tryptamine phosphoramidates in vitro. Can also convert adenosine 5'-O-phosphorothioate and guanosine 5'-O-phosphorothioate to the corresponding nucleoside 5'-O-phosphates with concomitant release of hydrogen sulfide. In addition, functions as scaffolding protein that modulates transcriptional activation by the LEF1/TCF1-CTNNB1 complex and by the complex formed with MITF and CTNNB1. Modulates p53/TP53 levels and p53/TP53-mediated apoptosis. Modulates proteasomal degradation of target proteins by the SCF (SKP2-CUL1-F-box protein) E3 ubiquitin-protein ligase complex. Also exhibits SUMO-specific isopeptidase activity, deconjugating SUMO1 from RGS17. Deconjugates SUMO1 from RANGAP1.
-
基因功能參考文獻:
- Thus, hHint1 appears to be structurally sensitive to irreversible inactivation by copper, which may be of neurotoxicological and pharmacological significance. PMID: 28739258
- Hint1 has been shown to be essential for the metabolic activation of nucleotide antiviral pronucleotides (i.e., proTides). These results provide mechanistic insights underpinning histidine nucleophilic catalysis in general and human Hint1 catalysis, in particular, thus aiding the design of future proTides and the elucidation of the natural function of the Hint family of enzymes. PMID: 28691797
- We provide a comprehensive overview of the structural and functional characteristics of the HINT1 protein that may guide further studies into the molecular aetiology and treatment strategies--{REVIEW} PMID: 28007994
- Underexpression of Hint1 is associated with invasion of hepatocellular carcinoma. PMID: 27623945
- first structure (at a 2.34A resolution) of a complex of human HINT1 with a non-hydrolyzable analog of an Ap4A dinucleotide PMID: 26905466
- Absence of HINT1 mutations in a UK and Spanish cohort of patients with inherited neuropathies PMID: 26194197
- In hepatocellular carcinoma, HINT1 is a regulator of IkappaBalpha through SCF(beta-TrCP) E3 ligase. PMID: 26520111
- HINT1 mutations seem to be one of the most frequent causes of inherited neuropathy and are probably the most frequent cause of HMN in Czech patients. We suggest all HMN/CMT2 patients be tested for the presence of the prevalent mutation, the p.R37P PMID: 25342199
- The teneurin-1 intracellular domain binds HINT1, thus switching on MITF-dependent transcription of GPNMB. PMID: 25648896
- Data suggest that histidine triad nucleotide binding protein 1 (HINT1) should be added to the list of genes to check for in distal hereditary motor neuropathies (dHMNs). PMID: 24105373
- Study gives suggestive evidence that HINT1 rs3852209 may be related to smoking status in Chinese men. PMID: 24447405
- BTF3, HINT1, NDRG1 and ODC1 protein over-expression in human prostate cancer tissue PMID: 24386364
- Histidine triad nucleotide-binding protein 1, bifunctional aminoacyl-tRNA synthetase, and clusterin precursor protein may serve as potential biomarkers distinguishing type 2 diabetes mellitus patients from healthy controls. PMID: 23769013
- hHint1 catalyzes the hydrolysis of phosphoramidate and acyl adenylate with high efficiency. PMID: 23614568
- loss of functional HINT1 protein results in a distinct phenotype of autosomal recessive axonal neuropathy with neuromyotonia. PMID: 22961002
- The results reveal the structural basis for the remarkable adenylate surveillance activity of Hint1, to potentially control Ap(4)A levels in the cell. PMID: 22329685
- structure of the human HINT1-adenosine 5'-monophosphate (AMP) complex at 1.38 A resolution obtained from a new monoclinic crystal form is reported PMID: 22869114
- The tumor suppressor activity of HINT1 gene in melanoma cells by promoting the formation of non-functional complexes with oncogenic transcription factors, like MITF and beta-catenin, known to be involved in melanoma development and progression. PMID: 22647378
- evaluation of potential inhibitors of human and Escherichia coli histidine triad nucleotide binding proteins PMID: 22104145
- This study demonistrated that HINT1 is found to be downregulated in the dorsolateral prefrontal cortex and upregulated in the thalamus. PMID: 21553311
- Results indicate a genetic association between HINT1 variants and ND, and indicate that nicotine-induced modulation of HINT1 level may be involved in mechanisms of excess smoking. PMID: 20514075
- Hint1 expression was lower in gastric cancer (GC) tissues. PMID: 21468541
- HINT1 is differentially expressed in schizophrenia brain. PMID: 21553311
- Hint1 exerts its major cellular function as gene transcription regulator, and thus, this function provides its potential role as a tumor suppressor protein. PMID: 20499681
- Reduction of nucleoside diphosphate kinase B, Rab GDP-dissociation inhibitor beta and histidine triad nucleotide-binding protein in fetal Down syndrome brain. PMID: 11771757
- the Hint1 pro-apoptotic activity is independent of the Hint1 enzymatic activity PMID: 16835243
- The major function of PKCI-1 is to modulate mu opioid receptor signaling pathway along with RGSZ1, rather than directly mediating the Galphaz RGSZ1 interaction. PMID: 17126529
- Human Hint1/Eoli HinT chimera does not exhibit a preference for phosphoramidates containing d- or l- tryptophan, while the E coli/human chimera adopts the human enzyme preference for the l configuration. PMID: 17939685
- Activation of protein kinase G Increases the expression of p21CIP1, p27KIP1, and histidine triad protein 1 through Sp1. PMID: 18593937
- variants at HINT1 may be associated with schizophrenia and the associations may be sex-specific. PMID: 18799291
- relationship between Hint1 methylation status and clinical features and other, previously measured biomarkers was also analyzed. p16 hypermethylation was statistically significantly associated with Hint1 methylation status PMID: 19081673
- decreased expression of the Hint1 gene through epigenetic silencing may play a role in enhancing the growth of a subset of human hepatoma by increasing the expression of genes controlled by the transcription factors beta-catenin, USF2, and NFkappaB. PMID: 19089909
- HINT1 up-regulates cellular levels of p27(KIP1) by two mechanisms: 1) it inhibits its ubiquitylation by targeting the SCF(SKP2) ubiquitin ligase complex, and 2) it inhibits the phosphorylation of p27(KIP1) by Src via inhibiting Src expression. PMID: 19112177
- Observational study of gene-disease association, gene-gene interaction, and pharmacogenomic / toxicogenomic. (HuGE Navigator) PMID: 17978999
- Hint is an adenosine 5'-monophosphoramidase. Hint does not bind zinc, hydrolyze diadenosine polyphosphates, not inhibit protein kinase C. In yeast, Hnt1 is a positive regulator of Kin28 (human Cdk7) and enzyme activity is required for this function. PMID: 11805111
顯示更多
收起更多
-
相關疾病:Neuromyotonia and axonal neuropathy, autosomal recessive (NMAN)
-
亞細胞定位:Cytoplasm. Nucleus.
-
蛋白家族:HINT family
-
組織特異性:Widely expressed.
-
數據庫鏈接:
Most popular with customers
-
-
YWHAB Recombinant Monoclonal Antibody
Applications: ELISA, WB, IHC, IF, FC
Species Reactivity: Human, Mouse, Rat
-
-
-
-
-
-















