GOLGA2 Recombinant Monoclonal Antibody
-
中文名稱:GOLGA2 Recombinant Monoclonal Antibody
-
貨號:CSB-RA961114A0HU
-
規格:¥1320
-
圖片:
-
Western Blot
Positive WB detected in: U-87MG whole cell lysate(30μg), HepG2 whole cell lysate(30μg)
All lanes: Golgin subfamily A member 2 antibody at 1:1000
Secondary
Goat polyclonal to rabbit IgG at 1/40000 dilution
Predicted band size: 113 kDa
Observed band size: 140 kDa
Exposure time:3min -
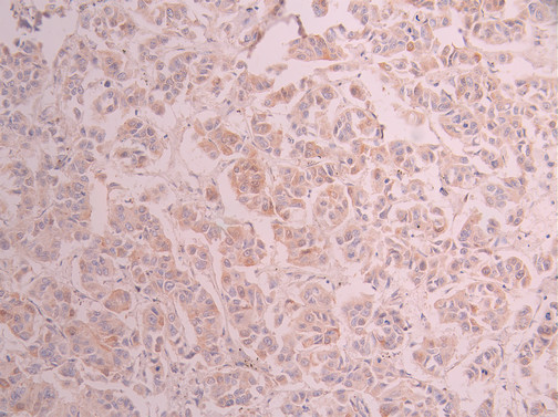
IHC image of CSB-RA961114A0HU diluted at 1:100 and staining in paraffin-embedded human breast cancer performed on a Leica BondTM system. After dewaxing and hydration, antigen retrieval was mediated by high pressure in a citrate buffer (pH 6.0). Section was blocked with 10% normal goat serum 30min at RT. Then primary antibody (1% BSA) was incubated at 4°C overnight. The primary is detected by a Goat anti-rabbit polymer IgG labeled by HRP and visualized using 0.05% DAB.
-
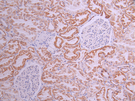
IHC image of CSB-RA961114A0HU diluted at 1:100 and staining in paraffin-embedded human kidney tissue performed on a Leica BondTM system. After dewaxing and hydration, antigen retrieval was mediated by high pressure in a citrate buffer (pH 6.0). Section was blocked with 10% normal goat serum 30min at RT. Then primary antibody (1% BSA) was incubated at 4°C overnight. The primary is detected by a Goat anti-rabbit polymer IgG labeled by HRP and visualized using 0.05% DAB.
-
Overlay Peak curve showing HepG2 cells stained with CSB-RA961114A0HU (red line) at 1:100. The cells were fixed in 4% formaldehyde and permeated by 0.2% TritonX-100 for 10min. Then 10% normal goat serum to block non-specific protein-protein interactions followed by the antibody (1ug/1*106cells) for 45min at 4℃. The secondary antibody used was FITC-conjugated goat anti-rabbit IgG (H+L) at 1/200 dilution for 35min at 4℃.Control antibody (green line) was Rabbit IgG (1ug/1*106cells) used under the same conditions. Acquisition of >10,000 events was performed.
-
-
其他:
產品詳情
-
Uniprot No.:
-
基因名:
-
別名:Golgin subfamily A member 2 (130 kDa cis-Golgi matrix protein) (GM130) (GM130 autoantigen) (Golgin-95), GOLGA2
-
反應種屬:Human
-
免疫原:A synthesized peptide from human GOLGA2 protein
-
免疫原種屬:Homo sapiens (Human)
-
標記方式:Non-conjugated
-
克隆類型:Monoclonal
-
抗體亞型:Rabbit IgG
-
純化方式:Affinity-chromatography
-
克隆號:3B11
-
濃度:It differs from different batches. Please contact us to confirm it.
-
保存緩沖液:Preservative: 0.03% Proclin 300
Constituents: 50% Glycerol, 0.01M PBS, PH 7.4 -
產品提供形式:Liquid
-
應用范圍:ELISA, WB, IHC, FC
-
推薦稀釋比:
Application Recommended Dilution WB 1:500-1:2000 IHC 1:50-1:200 FC 1:50-1:200 -
Protocols:
-
儲存條件:Upon receipt, store at -20°C or -80°C. Avoid repeated freeze.
-
貨期:Basically, we can dispatch the products out in 1-3 working days after receiving your orders. Delivery time maybe differs from different purchasing way or location, please kindly consult your local distributors for specific delivery time.
-
用途:For Research Use Only. Not for use in diagnostic or therapeutic procedures.
相關產品
靶點詳情
-
功能:Peripheral membrane component of the cis-Golgi stack that acts as a membrane skeleton that maintains the structure of the Golgi apparatus, and as a vesicle thether that facilitates vesicle fusion to the Golgi membrane (Probable). Required for normal protein transport from the endoplasmic reticulum to the Golgi apparatus and the cell membrane. Together with p115/USO1 and STX5, involved in vesicle tethering and fusion at the cis-Golgi membrane to maintain the stacked and inter-connected structure of the Golgi apparatus. Plays a central role in mitotic Golgi disassembly: phosphorylation at Ser-37 by CDK1 at the onset of mitosis inhibits the interaction with p115/USO1, preventing tethering of COPI vesicles and thereby inhibiting transport through the Golgi apparatus during mitosis. Also plays a key role in spindle pole assembly and centrosome organization. Promotes the mitotic spindle pole assembly by activating the spindle assembly factor TPX2 to nucleate microtubules around the Golgi and capture them to couple mitotic membranes to the spindle: upon phosphorylation at the onset of mitosis, GOLGA2 interacts with importin-alpha via the nuclear localization signal region, leading to recruit importin-alpha to the Golgi membranes and liberate the spindle assembly factor TPX2 from importin-alpha. TPX2 then activates AURKA kinase and stimulates local microtubule nucleation. Upon filament assembly, nascent microtubules are further captured by GOLGA2, thus linking Golgi membranes to the spindle. Regulates the meiotic spindle pole assembly, probably via the same mechanism. Also regulates the centrosome organization. Also required for the Golgi ribbon formation and glycosylation of membrane and secretory proteins.
-
基因功能參考文獻:
- In situ proximity ligation assays of Golgi localization of alpha-mannosidase IA at giantin versus GM130-GRASP65 site, and absence or presence of N-glycans terminated with alpha3-mannose on trans-Golgi glycosyltransferases may be useful for distinguishing indolent from aggressive prostate cancer cells. PMID: 28782625
- GM130 upregulated expression of the key epithelial-mesenchymal transformation regulator Snail (SNAI1), which mediated EMT activation and cell invasion by GM130. PMID: 26617790
- the study identified GM130 as a novel target of Coxsackievirus B3 (CVB3), which may implicate in the pathogenesis of CVB3-induced acute pancreatitis. PMID: 26314804
- We describe the first human patient with a homozygous apparently loss of function mutation in GOLGA2. The phenotype is a neuromuscular disorder characterized by developmental delay, seizures, progressive microcephaly, and muscular dystrophy. PMID: 26742501
- Data show that WAC directly binds to GM130 and that this binding is required for autophagosome formation through interacting with GABARAP regulating its subcellular localization. PMID: 26687599
- Mutagenesis experiments support these structural observations and demonstrate that they are required for GRASP65-GM130 association. PMID: 26363069
- Depletion of GM130 increases cellular velocity and increases the invasiveness of breast cancer cells, therefore supporting the view that alterations of polarity contribute to tumor progression. PMID: 25892554
- GM130 is a parallel homotetramer with a flexible rod-like structure with I- and Y-shaped conformations. PMID: 25787021
- H-ERG trafficking was impaired by H2O2 after 48 h treatment, accompanied by reciprocal changes of expression between miR-17-5p seed miRNAs and several chaperones (Hsp70, Hsc70, CANX, and Golga20) PMID: 24386440
- Induction of autophagy by shGOLGA2 may induce cell death rather than cell survival. Downregulation of GOLGA2/GM130 may be a potential therapeutic option for lung cancer. PMID: 22735382
- GM130 is involved in the control of glycosylation, cell cycle progression, cell polarization and directed cell migration, according to this review. PMID: 20197635
- FXIII-A associated with podosomes & other structures adjacent to the plasma membrane, containing TGN46 & GM130 but not protein disulphide isomerase. FXIII-A was present in GM130-positive intracellular vesicles that could mediate its transport. PMID: 20086247
- the cytoplasmic C terminus of HERG participates in the tethering or possibly targeting of HERG-containing vesicles within the Golgi via its interaction with GM130 PMID: 12270925
- Mammalian Ste20 kinases YSK1 and MST4 target to the Golgi apparatus via the Golgi matrix protein GM130. PMID: 15037601
- Ribbon formation requires the Golgi proteins GM130 and GRASP65. PMID: 16489344
- This is the first report of a role for a Golgi apparatus protein in the regulation of centrosomes during interphase. PMID: 18045989
- depletion of GM130 by RNA interference slows the rate of ER to Golgi trafficking in vivo; interactions of GM130 with syntaxin 5 and Rab1 are regulated by mitotic phosphorylation PMID: 18167358
- Cdc42 has a novel role in controlling centrosome organization in unstimulated cells in addition to its known function as a regulator of centrosome reorientation in stimulated cells. PMID: 19109421
- Data suggest that recruitment of AKAP450 on Golgi membranes through GM130 allows centrosome-associated nucleating activity to extend to the Golgi, to control the assembly of subsets of microtubules. PMID: 19242490
顯示更多
收起更多
-
亞細胞定位:Golgi apparatus, cis-Golgi network membrane; Peripheral membrane protein; Cytoplasmic side. Endoplasmic reticulum-Golgi intermediate compartment membrane; Peripheral membrane protein; Cytoplasmic side. Cytoplasm, cytoskeleton, spindle pole.
-
蛋白家族:GOLGA2 family
-
數據庫鏈接:
Most popular with customers
-
-
YWHAB Recombinant Monoclonal Antibody
Applications: ELISA, WB, IHC, IF, FC
Species Reactivity: Human, Mouse, Rat
-
-
-
-
-
-















