EIF1AX Recombinant Monoclonal Antibody
-
中文名稱:EIF1AX Recombinant Monoclonal Antibody
-
貨號:CSB-RA698596A0HU
-
規格:¥1320
-
圖片:
-
Western Blot
Positive WB detected in: Hela whole cell lysate(30μg), A549 whole cell lysate(30μg), HEK293 whole cell lysate(30μg), A375 whole cell lysate(30μg), HepG2 whole cell lysate(30μg), Mouse liver tissue lysate(30μg), Rat brain tissue lysate(30μg)
All lanes: eIF1AX antibody at 1:1000
Secondary
Goat polyclonal to rabbit IgG at 1/40000 dilution
Predicted band size: 16 kDa
Observed band size: 18 kDa
Exposure time:1min -
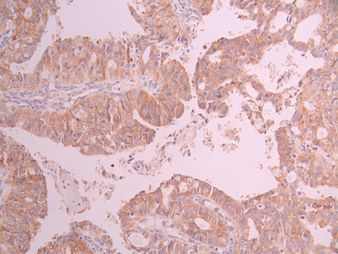
IHC image of CSB-RA698596A0HU diluted at 1:100 and staining in paraffin-embedded human ovarian cancer performed on a Leica BondTM system. After dewaxing and hydration, antigen retrieval was mediated by high pressure in a citrate buffer (pH 6.0). Section was blocked with 10% normal goat serum 30min at RT. Then primary antibody (1% BSA) was incubated at 4°C overnight. The primary is detected by a Goat anti-rabbit polymer IgG labeled by HRP and visualized using 0.05% DAB.
-
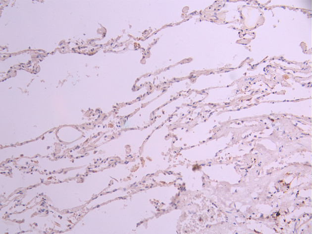
IHC image of CSB-RA698596A0HU diluted at 1:100 and staining in paraffin-embedded human lung tissue performed on a Leica BondTM system. After dewaxing and hydration, antigen retrieval was mediated by high pressure in a citrate buffer (pH 6.0). Section was blocked with 10% normal goat serum 30min at RT. Then primary antibody (1% BSA) was incubated at 4°C overnight. The primary is detected by a Goat anti-rabbit polymer IgG labeled by HRP and visualized using 0.05% DAB.
-
Overlay Peak curve showing Hela cells stained with CSB-RA698596A0HU (red line) at 1:100. The cells were fixed in 4% formaldehyde and permeated by 0.2% TritonX-100 for 10min. Then 10% normal goat serum to block non-specific protein-protein interactions followed by the antibody (1ug/1*106cells) for 45min at 4℃. The secondary antibody used was FITC-conjugated goat anti-rabbit IgG (H+L) at 1/200 dilution for 35min at 4℃.Control antibody (green line) was Rabbit IgG (1ug/1*106cells) used under the same conditions. Acquisition of >10,000 events was performed.
-
-
其他:
產品詳情
-
Uniprot No.:
-
基因名:
-
別名:Eukaryotic translation initiation factor 1A, X-chromosomal (eIF-1A X isoform) (Eukaryotic translation initiation factor 4C) (eIF-4C), EIF1AX, EIF1A EIF4C
-
反應種屬:Human, Mouse, Rat
-
免疫原:Recombinant Antibody
-
免疫原種屬:Homo sapiens (Human)
-
標記方式:Non-conjugated
-
克隆類型:Monoclonal
-
抗體亞型:Rabbit IgG
-
純化方式:Affinity-chromatography
-
克隆號:15E4
-
濃度:It differs from different batches. Please contact us to confirm it.
-
保存緩沖液:Preservative: 0.03% Proclin 300
Constituents: 50% Glycerol, 0.01M PBS, PH 7.4 -
產品提供形式:Liquid
-
應用范圍:ELISA, WB, IHC, FC
-
推薦稀釋比:
Application Recommended Dilution WB 1:500-1:5000 IHC 1:50-1:200 FC 1:50-1:200 -
Protocols:
-
儲存條件:Upon receipt, store at -20°C or -80°C. Avoid repeated freeze.
-
貨期:Basically, we can dispatch the products out in 1-3 working days after receiving your orders. Delivery time maybe differs from different purchasing way or location, please kindly consult your local distributors for specific delivery time.
-
用途:For Research Use Only. Not for use in diagnostic or therapeutic procedures.
相關產品
靶點詳情
-
功能:Seems to be required for maximal rate of protein biosynthesis. Enhances ribosome dissociation into subunits and stabilizes the binding of the initiator Met-tRNA(I) to 40 S ribosomal subunits.
-
基因功能參考文獻:
- Its mutation is found in patients with meningeal melanocytic tumor. PMID: 29476293
- Study identified a new RNA-induced silencing complex component, eIF1A, which directly interacts with the MID-domain of Ago2 and functions in DICER-independent miRNA biogenesis and miRNA-mediated RNA interference. PMID: 29236257
- EIF1AX alterations occurred infrequently in low-grade gliomas (1.4%), uterus endometrial carcinoma (1.25%), thyroid carcinoma (1%), and lung adenocarcinoma (0.4%). PMID: 27089234
- In this report we show that patients with uveal melanoma harbor mutation-specific chromosomal patterns in the tumor. These chromosomal patterns are characterized by different types of chromosomal anomalies, thus illustrating that distinct biological mechanisms underlie uveal melanoma pathogenesis. PMID: 27916271
- Coexpression of mutant NRAS and EIF1AX proteins promoted proliferation and clonogenic survival in LGSC cells, providing the first example of co-occurring, growth-promoting mutational events in ovarian cancer. PMID: 28646021
- Short 5'UTR mRNAs are enriched with TISU (translation initiator of short 5'UTR), a 12-nucleotide element directing efficient scanning-independent translation. This study demonstrate that TISU is particularly dependent on eukaryotic initiation factor 1A (eIF1A) which interacts with both RPS3 and RPS10e. PMID: 28584194
- Mutation in EIF1AX gene is associated with Uveal Melanoma. PMID: 28810145
- we find iris melanomas to be related genetically to choroidal and ciliary body melanomas, frequently harboring GNAQ, GNA11, and EIF1AX mutations. PMID: 28700778
- results indicate that the interactions between eIF1A and eIF5B are being continuously rearranged during translation initiation; presentation of a model how the dynamic eIF1A/eIF5B interaction network can promote remodeling of the translation initiation complexes, and the roles in the process played by intrinsically disordered protein segments PMID: 27325746
- Patients with uveal melanoma can be classified into 3 groups, of which EIF1AX-mutated tumors and tumors without BAP1, SF3B1, or EIF1AX mutations are associated with prolonged survival and low metastatic risk, SF3B1-mutated tumors are associated with late metastasis PMID: 26923342
- BAP1, SF3B1, and EIF1AX mutations occur during uveal melanoma tumor progression in an almost mutually exclusive manner and are associated with different levels of metastatic risk. PMID: 27123562
- We report here the occurrence of EIF1AX mutations not only in thyroid cancer, but also in benign thyroid nodules, and demonstrate that phenotypically these mutations are associated with the encapsulated follicular variant of papillary thyroid carcinoma and benign follicular-pattern nodules. PMID: 26911375
- The finding of this study suggested that an SF3B1 or EIF1AX mutation is present in a substantial subset of primary LMNs underscores that these tumors genetically resemble uveal melanoma and are different from cutaneous melanoma at the genetic level. PMID: 26769193
- The effect of an EIF1AX mutation is estimated to be a decreased odds of metastasis in uveal melanoma. PMID: 24970262
- the newly identified driver mutations in EIF1AX and SF3B1, specifically found in uveal melanomas with disomy 3, confirm and extend the established classification model of uveal melanoma. PMID: 23793026
- Coordinated movements of eukaryotic translation initiation factors eIF1, eIF1A, and eIF5 trigger phosphate release from eIF2 in response to start codon recognition by the ribosomal preinitiation complex PMID: 23293029
- eIF3j/HCR1 closely cooperates with the eIF3b/PRT1 RNA recognition motif and eIF1A on the ribosome to ensure proper formation of the scanning-arrested conformation required for stringent AUG recognition PMID: 20060839
- Remarkable conservation of translation initiation factors: IF1/eIF1A and IF2/eIF5B are universally distributed phylogenetic markers. PMID: 11699879
- Exp5 exports eEF1A via tRNA from nuclei and synergizes with other transport pathways to confine translation to the cytoplasm. PMID: 12426392
- determination of binding site on eukaryotic initiation factor 5B PMID: 12569173
- The efficiency of the EF-1alpha promoter was higher than that of the cytomegalovirus promoter in all embryonic stem cells trnasfected. PMID: 17784828
顯示更多
收起更多
-
蛋白家族:EIF-1A family
-
數據庫鏈接:
Most popular with customers
-
-
YWHAB Recombinant Monoclonal Antibody
Applications: ELISA, WB, IHC, IF, FC
Species Reactivity: Human, Mouse, Rat
-
Phospho-YAP1 (S127) Recombinant Monoclonal Antibody
Applications: ELISA, WB, IHC
Species Reactivity: Human
-
-
-
-
-















