CTSH Recombinant Monoclonal Antibody
-
中文名稱:CTSH Recombinant Monoclonal Antibody
-
貨號:CSB-RA055227A0HU
-
規格:¥1320
-
圖片:
-
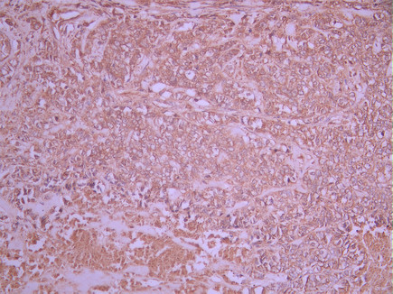
IHC image of CSB-RA055227A0HU diluted at 1:100 and staining in paraffin-embedded human lung tissue performed on a Leica BondTM system. After dewaxing and hydration, antigen retrieval was mediated by high pressure in a citrate buffer (pH 6.0). Section was blocked with 10% normal goat serum 30min at RT. Then primary antibody (1% BSA) was incubated at 4°C overnight. The primary is detected by a Goat anti-rabbit polymer IgG labeled by HRP and visualized using 0.05% DAB.
-
IHC image of CSB-RA055227A0HU diluted at 1:100 and staining in paraffin-embedded human breast cancer performed on a Leica BondTM system. After dewaxing and hydration, antigen retrieval was mediated by high pressure in a citrate buffer (pH 6.0). Section was blocked with 10% normal goat serum 30min at RT. Then primary antibody (1% BSA) was incubated at 4°C overnight. The primary is detected by a Goat anti-rabbit polymer IgG labeled by HRP and visualized using 0.05% DAB.
-
-
其他:
產品詳情
-
Uniprot No.:
-
基因名:
-
別名:ACC 4 antibody; ACC 5 antibody; ACC4 antibody; ACC5 antibody; aleurain antibody; CATH_HUMAN antibody; cathepsin B3 antibody; cathepsin BA antibody; Cathepsin H heavy chain antibody; Cathepsin H light chain antibody; Cathepsin H mini chain antibody; CPSB antibody; CTSH antibody; minichain antibody; N benzoylarginine beta naphthylamide hydrolase antibody; N-benzoylarginine-beta-naphthylamide hydrolase antibody; pro cathepsin H antibody
-
反應種屬:Human
-
免疫原:A synthesized peptide from human CTSH protein
-
免疫原種屬:Homo sapiens (Human)
-
標記方式:Non-conjugated
-
克隆類型:Monoclonal
-
抗體亞型:Rabbit IgG
-
純化方式:Affinity-chromatography
-
克隆號:1A8
-
濃度:It differs from different batches. Please contact us to confirm it.
-
保存緩沖液:Rabbit IgG in 10mM phosphate buffered saline , pH 7.4, 150mM sodium chloride, 0.05% BSA, 0.02% sodium azide and 50% glycerol.
-
產品提供形式:Liquid
-
應用范圍:ELISA, IHC
-
推薦稀釋比:
Application Recommended Dilution IHC 1:50-1:200 -
Protocols:
-
儲存條件:Upon receipt, store at -20°C or -80°C. Avoid repeated freeze.
-
貨期:Basically, we can dispatch the products out in 1-3 working days after receiving your orders. Delivery time maybe differs from different purchasing way or location, please kindly consult your local distributors for specific delivery time.
-
用途:For Research Use Only. Not for use in diagnostic or therapeutic procedures.
相關產品
靶點詳情
-
功能:Important for the overall degradation of proteins in lysosomes.
-
基因功能參考文獻:
- the up-regulation of MMP genes is mediated through degradation of class IIa histone deacetylases (HDACs) by certain cysteine cathepsins (Cts). PMID: 28157489
- Especially, rs3825932 in CTSH has integrative functional evidence supporting the association with type 1 diabetes mellitus. PMID: 26429317
- p41 fragment is also shown to reduce the secretion of interleukin-12 (IL-12/p70) during the subsequent maturation of treated dendritic cells. PMID: 26960148
- In conclusion, CTSH/rs3825932 and ERBB3/rs2292239 SNPs were associated with reduced risk of progression to proliferative diabetic retinopathy and two-step progression of diabetic retinopathy on the ETDRS scale accordingly. PMID: 26245339
- mutation in LRPAP1 is associated with high myopia. Further studies are expected to evaluate the pathogenicity of the variants in CTSH, LEPREL1, ZNF644, SLC39A5, and SCO2. PMID: 25525168
- The data provide strong evidence that CTSH is an important regulator of beta-cell function during progression of T1D PMID: 24982147
- CtsH-mediated processing of talin might promote cancer cell progression by affecting integrin alphaVbeta3 activation and adhesion strength PMID: 23204516
- The processing of procathepsin H is an autocatalytic, multistep process proceeding from an inactive 41kDa pro-form, through a 30kDa intermediate form, to the 28kDa mature form. PMID: 22704610
- CTSH overexpression in a subset hepatoma may be thyroid hormone receptor dependent and suggests that this overexpression has an important role in hepatoma progression. PMID: 21217776
- These data indicate that cathepsins B, L and S may act as cell-death mediators in in monocytic cells infected with ICP4 and Us3 deletion mutant herpes simplex virus type 1. PMID: 20881085
- involvement in processing of hydrophobic surfactant-associated protein C in type II pneumocytes PMID: 12034564
- Cathepsin H could contribute to the transformation of LDL to an atherogenic moiety; the process might involve a self-sustaining amplifying circle. PMID: 12615673
- kinetic data on substrates hydrolysis and enzyme inhibition show the role of the mini-chain as a framework for transition state stabilization of free alpha-amino groups of substrates and as a structural barrier for endopeptidase-like substrate cleavage. PMID: 14515996
- AKR1B1 and CTSH may be good markers for prediction of sensitivity to certain drugs PMID: 14662023
- cathepsin H is involved in maturation of the biologically active surfactant associated protein B PMID: 14766755
- cathepsin H has a role in progression of colorectal cancer that is distinct from that of cathepsins B and L PMID: 15646835
- A general defect in napsin A or cathepsin H expression or activity was not the specific cause for abnormal surfactant accumulation in juvenile pulmonary alveolar proteinosis PMID: 18216060
- In contrast to cathepsin S, cathepsin H values did not correlate with markers of inflammation, indicating a specific role for cathepsin H in the pleural host response. PMID: 19404922
顯示更多
收起更多
-
亞細胞定位:Lysosome.
-
蛋白家族:Peptidase C1 family
-
數據庫鏈接:
Most popular with customers
-
-
YWHAB Recombinant Monoclonal Antibody
Applications: ELISA, WB, IHC, IF, FC
Species Reactivity: Human, Mouse, Rat
-
Phospho-YAP1 (S127) Recombinant Monoclonal Antibody
Applications: ELISA, WB, IHC
Species Reactivity: Human
-
-
-
-
-















