CRP Recombinant Monoclonal Antibody
-
中文名稱:CRP Recombinant Monoclonal Antibody
-
貨號:CSB-RA005991MA1HU
-
規格:¥1320
-
圖片:
-
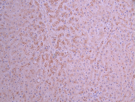
IHC image of CSB-RA005991MA1HU diluted at 1:50 and staining in paraffin-embedded human liver tissue performed on a Leica BondTM system. After dewaxing and hydration, antigen retrieval was mediated by high pressure in a citrate buffer (pH 6.0). Section was blocked with 10% normal goat serum 30min at RT. Then primary antibody (1% BSA) was incubated at 4°C overnight. The primary is detected by a Anti-Human lgG, Fcy Fragment Specific labeled by HRP and visualized using 0.05% DAB.
-
Overlay Peak curve showing HepG2 cells stained with CSB-RA005991MA1HU (red line) at 1:100. The cells were fixed in 4% formaldehyde and permeated by 0.2% TritonX-100 for 10min. Then 10% normal goat serum to block non-specific protein-protein interactions followed by the antibody (1ug/1*106cells) for 45min at 4℃. The secondary antibody used was Fluorescein (FITC) AffiniPure Goat Anti-Human IgG, Fcγ fragment specific at 1:200 dilution for 35 min at 4℃.Control antibody (green line) was human IgG1 (1ug/1*106cells) used under the same conditions. Acquisition of >10,000 events was performed.
-
-
其他:
產品詳情
-
Uniprot No.:
-
基因名:
-
別名:C-reactive protein [Cleaved into: C-reactive protein(1-205)], CRP, PTX1
-
反應種屬:Human
-
免疫原:Recombinant Human CRP protein
-
免疫原種屬:Homo sapiens (Human)
-
標記方式:Non-conjugated
-
克隆類型:Monoclonal
-
抗體亞型:hIgG1
-
純化方式:Affinity-chromatography
-
克隆號:23C11
-
濃度:It differs from different batches. Please contact us to confirm it.
-
保存緩沖液:Preservative: 0.03% Proclin 300
Constituents: 50% Glycerol, 0.01M PBS, PH 7.4 -
產品提供形式:Liquid
-
應用范圍:ELISA, IHC, FC
-
推薦稀釋比:
Application Recommended Dilution IHC 1:50-1:200 FC 1:50-1:200 -
Protocols:
-
儲存條件:Upon receipt, store at -20°C or -80°C. Avoid repeated freeze.
-
貨期:Basically, we can dispatch the products out in 1-3 working days after receiving your orders. Delivery time maybe differs from different purchasing way or location, please kindly consult your local distributors for specific delivery time.
-
用途:For Research Use Only. Not for use in diagnostic or therapeutic procedures.
相關產品
靶點詳情
-
功能:Displays several functions associated with host defense: it promotes agglutination, bacterial capsular swelling, phagocytosis and complement fixation through its calcium-dependent binding to phosphorylcholine. Can interact with DNA and histones and may scavenge nuclear material released from damaged circulating cells.
-
基因功能參考文獻:
- gemcabene decreases CRP by C/EBP-delta and NF-kappaB-mediated transcriptional mechanism and suppresses IL-6 and IL-1beta-induced CRP production. PMID: 29644527
- Combinative index (arterial lactate, NT-proBNP and CRP) could serve as a valuable predictor for the 28-day mortality rate in patients with sepsis. PMID: 30158031
- CRP rs3093061, rs1130864, rs1205, and rs3091244 polymorphisms are associated with decreased risk of developing Systemic Lupus erythematosus PMID: 29556849
- The study showed that higher CRP and lower T3 levels were associated with stroke severity on admission. Functional outcome is likely secondary to stroke severity but functional outcome at discharge was associated with higher CRP levels. PMID: 30056003
- These findings reveal that the CRP- and PTX3-binding characteristics of FHL-1 differ from those of FH, likely underpinning independent immune regulatory functions in the context of the human retina. PMID: 29374201
- Short-term changes in daily movement behaviour can affect salivary CRP, a marker of systemic inflammation. PMID: 29499122
- M1 macrophages were characterized by elevated CRP mRNA expression (by 67%), CRP protein levels (by 108%), and upregulation of NFkappaB activation PMID: 29687414
- Levels of CRP and PCT in CSF did not present greater accuracy in differentiating bacterial from viral meningitis compared to serum levels. PMID: 30143494
- elevated serum C-reactive protein (CRP) is a well-known proxy for infections/immune abnormalities. Our results show elevated C-reactive protein levels to be associated with an increase in risk for schizophrenia. PMID: 29306175
- High CRP expression is associated with Nonalcoholic fatty liver disease. PMID: 29402657
- High C-reactive protein expression is associated with impaired glucose tolerance. PMID: 29078256
- Findings indicate that childhood infections do not have an independent, lasting effect on circulating inflammatory marker levels subsequently in childhood; however, elevated inflammatory markers may be harmful for intellectual development/function. PMID: 29198208
- maternal serum level has predictive value for chorioamnionitis PMID: 29430983
- serum level elevated in preterm labor leading to preterm birth PMID: 29426269
- Among healthy women attempting pregnancy after one or two pregnancy losses, elevated C-reactive protein is associated with reduced fecundability. PMID: 29317123
- Suggest a close association between CRP and metabolic syndrome, while the association between the dietary inflammatory index and MetS was limited. PMID: 29954070
- pre-procedural serum CRP could be a valuable predictor of global cardiovascular risk. PMID: 28128312
- Data suggest that serum CRP levels show positive association with ChildTurcottePugh scores in subjects with liver cirrhosis; GSH levels show negative association with ChildTurcottePugh scores; thus, CRP and GSH appear to exert synergistic effects in association with severity of liver cirrhosis. This cross-sectional study was conducted in Taiwan. (GSH = glutathione) PMID: 29861471
- Study shows for the first time that CRP activates signaling of integrin alpha2 via binding to integrin alpha2 and Fcgamma receptor I in breast cells and MDA-MB-231 triple-negative human breast cancer cells. PMID: 28846105
- This meta-analysis suggests that C-reactive protein/albumin ratio (CAR)may be a potential prognostic marker in solid cancers PMID: 28128229
- The results of the study suggest that the levels of C-reactive protein and tumor necrosis factor-alpha are important diagnostic markers of inflammation in patients with chronic pancreatitis and type 2 diabetes mellitus. PMID: 30280549
- Elevated serum C-reactive protein could be a bacterial infection predictor in decompensated cirrhosis. PMID: 29384797
- The results showed that the MI-based bio-sensing system had high selectivity and sensitivity for detection of Cardiac biomarkers . Compared with the control region, ultrasensitive detections of CRP and Mb were accomplished with the detection limits of 1.0 pg/mL and 0.1 pg/mL, respectively. PMID: 29857573
- Data suggest that C-reactive protein (CRP) may play an important role in the development of tongue squamous cell carcinoma (TSCC). PMID: 29385406
- For WBC, N (%), and ESR, both groups showed similar patterns of temporal values 14 days after surgery regardless of preoperative CRP level. Our findings could be used as guidelines for patient discharge and during the follow-up period after surgery. PMID: 29854731
- The neutrophil/lymphocyte ratio is a better addition to C-reactive protein than CD64 index as a marker for infection in COPD. PMID: 28185443
- This retrospective cohort study aimed to identify the early postoperative kinetics of C-reactive protein (CRP) and procalcitonin (PCT) in children undergoing tetralogy of Fallot (ToF) correction. PMID: 29111402
- After beta-blocker treatment, hs-CRP levels are associated with functional capacity in heart failure patients. PMID: 29396658
- Hypertensive patients with coronary tortuosity have a higher serum hs-CRP level concentration and have a higher incidence of lacunar infarction than hypertensive patients without coronary tortuosity. PMID: 29436255
- High CRP expression is associated with non-small cell lung cancer. PMID: 29549910
- T allele of rs1205 in CRP gene was protective against Takayasu arteritis in our patients. CC genotype was associated with involvement of coronary artery and ascending aorta. A trend toward a blunted CRP response seen in patients. PMID: 29024426
- Serum C-reactive protein (and COMP) levels were both associated with the incidence of knee osteoarthritis. PMID: 29351749
- coexistence of both higher HCY and higher hs-CRP in the acute phase of ischemic stroke were associated with subsequent PSD, independently of established conventional risk factors PMID: 29325799
- Data suggest that C-reactive-protein (CRP) concentration is weakly associated with global DNA methylation level, and this association was more clearly in individuals with the minor allele of the 5,10-methylenetetrahydrofolate reductase (MTHFR)missense SNP rs1801133. PMID: 29439678
- A longitudinal association between adolescent CRP levels and adult schizophrenia diagnosis indicates a potentially important role of inflammation in the pathogenesis of the illness PMID: 27622678
- rs1205 genetic variability in the CRP gene determines the CRP levels in sepsis of different severities PMID: 29379005
- CRP levels predict the development of anastomotic leak and postoperative mortality after colorectal cancer surgery. PMID: 28132052
- Uremia patients receiving maintenance hemodialysis with hospitalacquired infection had increased serum inflammatory factors and high throughput hemodialysis significantly decreased CRP, IL2 and TNFalpha levels in the serum, suggesting that high throughput hemodialysis may be beneficial for the prevention of the infections in uremia patients. PMID: 29257244
- High CRP expression is associated with cardiovascular disease. PMID: 28724840
- The results of this meta-analysis suggest that increased CRP expression indicates a poorer prognosis in patients with bone neoplasms. PMID: 29668751
- C-reactive protein (CRP) recognized 1-palmitoyl-2-oleoyl-sn-glycero-3-phospho-l-serine (POPS) and 1-palmitoyl-2-oleoyl-sn-glycero-3-phospho-(1'-rac-glycerol) (POPG) in the supported 1-palmitoyl-2-oleoyl-sn-glycero-3-phosphocholine (POPC) monolayers without calcium at pH 7.4 and 5.5. PMID: 29172154
- Used Ultra Performance Liquid Chromatography-Ultra Definition Mass Spectrometry-based proteomics to compare serum samples from 19 colorectal cancer (CRC) patients. The samples were first analyzed after dividing them into two categories based on CRP, CRP <30 and CRP >30, and the same samples were analyzed again after being divided into the categories short and long 5-year survival. PMID: 29630649
- CRP bound to surface CD32 (also known as FcgammaRII) on myeloma cells, which activated a pathway mediated by the kinase p38 MAPK and the transcription factor Twist that enhanced the cells' secretion of osteolytic cytokines. PMID: 29233917
- high-sensitivity C-reactive protein could have a role in recurrent stroke and vascular events in patients treated with statins PMID: 28302952
- Procalcitonin and CRP serum levels are associated with the appearance of intra-abdominal infection after colorectal cancer surgery. PMID: 28918433
- C-reactive protein polymorphisms and DNA methylation of the AIM2 gene influence associations between trauma exposure, posttraumatic stress disorder, and C-reactive protein. PMID: 28867284
- Elevated CRP level is correlated with poor prognosis in patients with metastatic renal cell carcinoma receiving tyrosine kinase inhibitors treatment. (Meta-analysis) PMID: 29080691
- The study reveals that CRP might be a clear cell renal cell carcinoma development promoter. PMID: 28923830
- CRP distinguished sepsis and non-septic ICU patients. PMID: 28898742
- Suggest that hs-CRP may be a marker of comorbidities associated with worse health status in myocardial infarction. PMID: 28946036
顯示更多
收起更多
-
亞細胞定位:Secreted.
-
蛋白家族:Pentraxin family
-
組織特異性:Found in plasma.
-
數據庫鏈接:
Most popular with customers
-
-
YWHAB Recombinant Monoclonal Antibody
Applications: ELISA, WB, IHC, IF, FC
Species Reactivity: Human, Mouse, Rat
-
-
-
-
-
-















