CDX2 Recombinant Monoclonal Antibody
-
中文名稱:CDX2 Recombinant Monoclonal Antibody
-
貨號:CSB-RA956041A0HU
-
規格:¥1320
-
圖片:
-
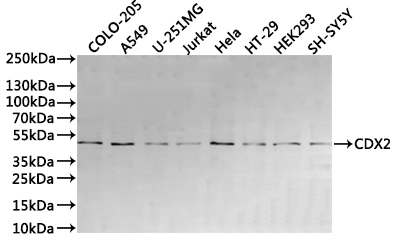
Western Blot
Positive WB detected in: COLO-205 whole cell lysate(30μg), A549 whole cell lysate(30μg), U-251MG whole cell lysate(30μg), Jurkat whole cell lysate(30μg), Hela whole cell lysate(30μg), HT-29 whole cell lysate(30μg), HEK293 whole cell lysate(30μg), SH-SY5Y whole cell lysate(30μg)
All lanes: CDX2 antibody at 1:1000
Secondary
Goat polyclonal to rabbit IgG at 1/40000 dilution
Predicted band size: 34 kDa
Observed band size: 38 kDa
Exposure time:3min -
Overlay Peak curve showing HT29 cells stained with CSB-RA956041A0HU (red line) at 1:100. The cells were fixed in 4% formaldehyde and permeated by 0.2% TritonX-100 for 10min. Then 10% normal goat serum to block non-specific protein-protein interactions followed by the antibody (1ug/1*106cells) for 45min at 4℃. The secondary antibody used was FITC-conjugated goat anti-rabbit IgG (H+L) at 1/200 dilution for 35min at 4℃.Control antibody (green line) was Rabbit IgG (1ug/1*106cells) used under the same conditions. Acquisition of >10,000 events was performed.
-
-
其他:
產品詳情
-
Uniprot No.:
-
基因名:CDX2
-
別名:Homeobox protein CDX-2 (CDX-3) (Caudal-type homeobox protein 2), CDX2, CDX3
-
反應種屬:Human
-
免疫原:Recombinant Antibody
-
免疫原種屬:Homo sapiens (Human)
-
標記方式:Non-conjugated
-
克隆類型:Monoclonal
-
抗體亞型:Rabbit IgG
-
純化方式:Affinity-chromatography
-
克隆號:8A9
-
濃度:It differs from different batches. Please contact us to confirm it.
-
保存緩沖液:Preservative: 0.03% Proclin 300
Constituents: 50% Glycerol, 0.01M PBS, PH 7.4 -
產品提供形式:Liquid
-
應用范圍:ELISA, WB, FC
-
推薦稀釋比:
Application Recommended Dilution WB 1:500-1:5000 FC 1:50-1:200 -
Protocols:
-
儲存條件:Upon receipt, store at -20°C or -80°C. Avoid repeated freeze.
-
貨期:Basically, we can dispatch the products out in 1-3 working days after receiving your orders. Delivery time maybe differs from different purchasing way or location, please kindly consult your local distributors for specific delivery time.
-
用途:For Research Use Only. Not for use in diagnostic or therapeutic procedures.
相關產品
靶點詳情
-
功能:Transcription factor which regulates the transcription of multiple genes expressed in the intestinal epithelium. Binds to the promoter of the intestinal sucrase-isomaltase SI and activates SI transcription. Binds to the DNA sequence 5'-ATAAAAACTTAT-3' in the promoter region of VDR and activates VDR transcription. Binds to and activates transcription of LPH. Activates transcription of CLDN2 and intestinal mucin MUC2. Binds to the 5'-AATTTTTTACAACACCT-3' DNA sequence in the promoter region of CA1 and activates CA1 transcription. Important in broad range of functions from early differentiation to maintenance of the intestinal epithelial lining of both the small and large intestine. Binds preferentially to methylated DNA.
-
基因功能參考文獻:
- Sbno1 knockout embryos die at the preimplantation stage without forming a blastocoel, and Cdx2 is not turned on even though both Yap and Tead4 reside normally in nuclei. PMID: 28401892
- LEF-1 and CDX2 performed at least as well as beta-catenin, if not better, as a diagnostic marker for pilomatrical carcinomas PMID: 29369390
- Study indicates that CDX2 expression can predict lack of response to NAT. PMID: 29556617
- CDX2 is not an independent prognostic biomarker in colorectal cancer PMID: 29675807
- This study characterized a new and original variant of the CDX2 homeobox gene. PMID: 28862703
- CDX2 is highly expressed along the atrophic gastritis-metaplasia-dysplasia-cancer sequential. Though CDX2 expression is quite dominant in IM ( intestinal metaplasia), but its expression is not associated with H. pylori (Helicobacter pylori) infection. PMID: 29132476
- of CDX2 using a hypoxia-inducible hTERT promoter-driven vector suppressed malignant progression of colon cancer cells in vitro and in vivo.These results suggest that pLVX-5HRE-hTERTp-CDX2-3FLAG gene therapy may be a promising novel approach to treat colon cancer PMID: 28627695
- The results of the present study show that a lack of CDX2 expression in metastatic colorectal cancer is an adverse prognostic feature and a potential negative predictor of the response to chemotherapy. PMID: 27726953
- We may conclude that hTERT promotes GIM by up-regulating CDX2 via NF-kappaB signaling pathway. PMID: 28460480
- Our work suggests that combination of the consensual CMS classification and lack of CDX2 expression could be a useful marker to identify CMS4/CDX2-negative patients with a very poor prognosis PMID: 28328000
- AMPK enhances intestinal barrier function and epithelial differentiation via promoting CDX2 expression, which is partially mediated by altered histone modifications in the Cdx2 promoter. PMID: 28234358
- Findings suggest that H. pylori infectionis a driving force of gastric cardia carcinogenesis by upregulating caudal-related homeobox transcription factor 2 (CDX2) and inducing inflammation. PMID: 27384681
- Data show that a two-marker panel of p40 (DeltaNp63) and CDX2 is highly sensitive and specific. PMID: 29187465
- our findings demonstrated that MDR1 expression is regulated by CDX2 and is related to drug resistance in ovarian mucinous adenocarcinoma. PMID: 27060927
- The data presented provide a novel insight into how CDX2 is implicated in the transcriptional regulation of LAMC2 in intestinal epithelial cells, a function that is impaired during mucosal inflammation where a high level of TNF-alpha is present. PMID: 27333824
- Cytapheresis might induce CDX2 expression without affecting the cell proliferation, thus resulting in mucosal healing with goblet cell restoration. PMID: 27862316
- SOX2 expression induces a cellular stem cell state in human colorectal cancer (CRC) with a decreased expression of CDX2. Furthermore, a down-regulated expression of CDX2 results in a poor patient prognosis in CRC. PMID: 27411517
- A small subset (5%) of hepatocellular carcinomas are CDX2 positive. PMID: 28089540
- A new organ culture system for adult murine oesophagus is described. Using this, Cdx2 and HNF4alpha were ectopically expressed by adenoviral infection. We demonstrate the expression of CDX2 and HNF4alpha in human biopsy samples. PMID: 27875772
- Colon cancer cells expressing CDX2 are less deformable, a feature that has been shown to correlate with poor metastatic potential. PMID: 27816490
- Results show that CDX2 and Fbw7 expression is inversely correlated during colon cell differentiation and that CDX2 expression is regulated by Fbw7 in a GSK3b-dependent manner. PMID: 27470268
- Aberrant DNA methylation of SOX2 and CDX2 genes contributes to the development of IM. Notably, SOX2 may play a role in establishing and maintaining the methylation status of the CDX2 gene in gastric tissues and cells. PMID: 27913994
- Strong expression of CDX2 was demonstrated only in the mature colonic epithelium of teratomas in both primary and metastatic germ cell tumors of the testis. PMID: 28322096
- Cdx members interact with the SWI-SNF complex and make direct contact with Brg1, a catalytic member of SWI-SNF. Both Cdx2 and Brg1 co-occupy a number of Cdx target genes, and both factors are necessary for transcriptional regulation of such targets. Finally, Cdx2 and Brg1 occupancy occurs coincident with chromatin remodeling at some of these loci. PMID: 28082674
- we found that the loss of CDX2 expression in colorectal cancer is inversely related with the methylation of CDX2 promoter. The methylation of the CDX2 promoter was associated with enhanced lymph node metastases and shorter survival time ( p = 0.0273), but was independent of tumor stage, tumor differentiation, gender, and age. PMID: 27754705
- PAX2, PAX8, CDX2 immunostains was preformed to the TMA slides. PMID: 26797858
- CDX2 expression correlates with gastric and intestinal differentiation in Barrett's esophagus towards adenocarcinoma. PMID: 27766003
- CDX2 inhibited pancreatic adenocarcinoma cell proliferation via promoting tumor suppressor miR-615-5p. Our findings suggested a potential molecular target for pancreatic adenocarcinoma therapy. PMID: 26269116
- Suggest that NKX6.3 might function as a master regulator of gastric differentiation by affecting SOX2 and CDX2 expression and the NKX6.3 inactivation may result in intestinal metaplasia in gastric epithelial cells. PMID: 26743476
- Immunohistochemical panel of CDX2, p120ctn, c-Myc, and Jagged1 proteins would be to distinguish between low/high grade dysplasia in histologically challenging cases of Barrett's esophagus. PMID: 26926447
- CDX2 single-nucleotide polymorphism is associated with cancer risk. PMID: 25738688
- CK7, TTF-1 and napsin A are predominantly expressed in primary lung adenocarcinoma patients, with CDX-2 being inconsistently expressed. PMID: 26469326
- Results point out the complex interplay between the DSB DNA repair activity and the homeoproteins HoxB7 and Cdx2 in colon cancer cells. PMID: 26902420
- findings illuminated a role for NOD1 signaling in attenuating H. pylori-induced Cdx2 expression in gastric epithelial cells PMID: 26759244
- Nuclear transcription factor CDX2 inhibits gastric cancercell growth and reverses epithelialtomesenchymal transition in vitro and in vivo. PMID: 26238762
- that CDX2 downregulation is associated with mismatch repair deficiency, right-sided tumors, and poor differentiation at both the mRNA and protein level PMID: 26551082
- We conclude that CDX2 is a sensitive and relatively specific marker for yolk sac tumor among the nonteratomatous germ cell testicular tumors PMID: 26772394
- CDX2 expression inhibits the growth of colorectal tumor cells, possibly by downregulating the gene expression. PMID: 26005051
- Lack of CDX2 expression identified a subgroup of patients with high-risk stage II colon cancer who appeared to benefit from adjuvant chemotherapy. PMID: 26789870
- Results show an association between Cdx2 polymorphism and an aggressive phenotype of breast neoplasm. PMID: 25849303
- In active ulcerative colitis HGFR/CDX2 participate in mucosal regeneration by undergoing mesenchymal-to-epithelial transition. PMID: 26229399
- A non-significant association was observed between VDR cdx2 polymorphism and breast cancer, however the GG genotype was at risk of developing breast cancer. PMID: 25799416
- Daily intake of vitamin D-FD for 12 weeks improved the central obesity indices in T2D subjects, and the improvement was more pronounced in the carriers of the AA genotype of VDR-Cdx-2. PMID: 26346470
- Overexpression of CDX2 inhibits the growth of the human gastric cancer cells in vivo and in vitro. PMID: 25738600
- CDX2 has a better positive predictive value than alcian blue in detecting esophageal intestinal metaplasia. PMID: 25759548
- Loss of CDX2 expression is associated with aggressive clinical behavior and can be used as a prognostic marker in colorectal cancer. PMID: 25663765
- CDX2 is acquired de novo in Iintestinal metaplasia and maintained in dysplasia PMID: 25196071
- CDX2 transcriptionally regulates ST6GalNAc-I gene expression, specifically in the preneoplastic intestinal metaplasia lesion. PMID: 25867765
- A pancreaticobiliary histomolecular classification (PB) was defined as a sample with pancreaticobiliary histology, positive MUC1 and negative CDX2 expression PMID: 25989273
- SOX2 combined with CDX2 expression profile in gastric cancer segregate patients into different prognostic groups. PMID: 25300947
顯示更多
收起更多
-
亞細胞定位:Nucleus.
-
蛋白家族:Caudal homeobox family
-
組織特異性:Detected in small intestine, colon and pancreas.
-
數據庫鏈接:
Most popular with customers
-
-
YWHAB Recombinant Monoclonal Antibody
Applications: ELISA, WB, IHC, IF, FC
Species Reactivity: Human, Mouse, Rat
-
Phospho-YAP1 (S127) Recombinant Monoclonal Antibody
Applications: ELISA, WB, IHC
Species Reactivity: Human
-
-
-
-
-















