CDKN1C Recombinant Monoclonal Antibody
-
中文名稱:CDKN1C Recombinant Monoclonal Antibody
-
貨號:CSB-RA914462A0HU
-
規格:¥1320
-
圖片:
-
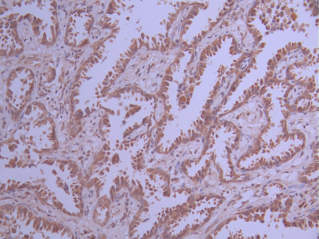
IHC image of CSB-RA914462A0HU diluted at 1:100 and staining in paraffin-embedded human lung cancer performed on a Leica BondTM system. After dewaxing and hydration, antigen retrieval was mediated by high pressure in a citrate buffer (pH 6.0). Section was blocked with 10% normal goat serum 30min at RT. Then primary antibody (1% BSA) was incubated at 4°C overnight. The primary is detected by a Goat anti-rabbit polymer IgG labeled by HRP and visualized using 0.05% DAB.
-
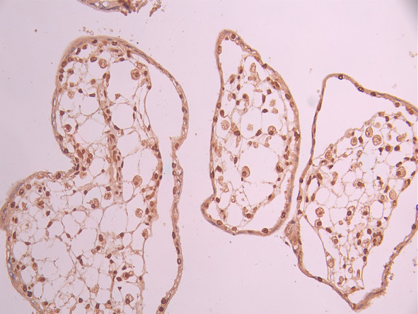
IHC image of CSB-RA914462A0HU diluted at 1:100 and staining in paraffin-embedded human placenta tissue performed on a Leica BondTM system. After dewaxing and hydration, antigen retrieval was mediated by high pressure in a citrate buffer (pH 6.0). Section was blocked with 10% normal goat serum 30min at RT. Then primary antibody (1% BSA) was incubated at 4°C overnight. The primary is detected by a Goat anti-rabbit polymer IgG labeled by HRP and visualized using 0.05% DAB.
-
Immunofluorescence staining of Hela cell with CSB-RA914462A0HU at 1:50, counter-stained with DAPI. The cells were fixed in 4% formaldehyde, permeabilized using 0.2% Triton X-100 and blocked in 10% normal Goat Serum. The cells were then incubated with the antibody overnight at 4°C. The secondary antibody was Alexa Fluor 488-congugated AffiniPure Goat Anti-Rabbit IgG(H+L).
-
Overlay Peak curve showing Hela cells stained with CSB-RA914462A0HU (red line) at 1:100. The cells were fixed in 4% formaldehyde and permeated by 0.2% TritonX-100 for 10min. Then 10% normal goat serum to block non-specific protein-protein interactions followed by the antibody (1ug/1*106cells) for 45min at 4℃. The secondary antibody used was FITC-conjugated goat anti-rabbit IgG (H+L) at 1/200 dilution for 35min at 4℃.Control antibody (green line) was Rabbit IgG (1ug/1*106cells) used under the same conditions. Acquisition of >10,000 events was performed.
-
-
其他:
產品詳情
-
Uniprot No.:
-
基因名:
-
別名:Cyclin-dependent kinase inhibitor 1C (Cyclin-dependent kinase inhibitor p57) (p57Kip2), CDKN1C, KIP2
-
反應種屬:Human
-
免疫原:A synthesized peptide from human CDKN1C protein
-
免疫原種屬:Homo sapiens (Human)
-
標記方式:Non-conjugated
-
克隆類型:Monoclonal
-
抗體亞型:Rabbit IgG
-
純化方式:Affinity-chromatography
-
克隆號:8A4
-
濃度:It differs from different batches. Please contact us to confirm it.
-
保存緩沖液:Preservative: 0.03% Proclin 300
Constituents: 50% Glycerol, 0.01M PBS, PH 7.4 -
產品提供形式:Liquid
-
應用范圍:ELISA, IHC, IF, FC
-
推薦稀釋比:
Application Recommended Dilution IHC 1:50-1:200 IF 1:50-1:200 FC 1:50-1:200 -
Protocols:
-
儲存條件:Upon receipt, store at -20°C or -80°C. Avoid repeated freeze.
-
貨期:Basically, we can dispatch the products out in 1-3 working days after receiving your orders. Delivery time maybe differs from different purchasing way or location, please kindly consult your local distributors for specific delivery time.
-
用途:For Research Use Only. Not for use in diagnostic or therapeutic procedures.
相關產品
靶點詳情
-
功能:Potent tight-binding inhibitor of several G1 cyclin/CDK complexes (cyclin E-CDK2, cyclin D2-CDK4, and cyclin A-CDK2) and, to lesser extent, of the mitotic cyclin B-CDC2. Negative regulator of cell proliferation. May play a role in maintenance of the non-proliferative state throughout life.
-
基因功能參考文獻:
- HOXD-AS1 could interact with EZH2, and then repress p57 expression, to aggravate osteosarcoma oncogenesis. PMID: 30119259
- review provides an appraisal of the published data on the p57Kip2 protein; mainly focused on the regulation of CDKN1C (the p57Kip2 encoding gene) expression and its relevance in human diseases, including overgrowth and undergrowth syndromes PMID: 29614816
- If, as expected, the consequences of the deregulation of the CDKN1C-E2F1-TP53 axis were the same as those experimentally demonstrated in mouse models, the disruption of this axis might be useful to predict tumor aggressiveness, and to provide the basis towards the development of potential therapeutic strategies in human Precursor T-cell lymphoblastic lymphomas PMID: 29661169
- Data suggest that expression of CDKN1C and IGF2 is significantly up-regulated in placenta after assisted reproductive technology; DNA methylation was significantly down-regulated in DMR of CDKN1C and up-regulated in DMR of IGF2. (CDKN1C = cyclin-dependent kinase inhibitor-1C; IGF2 = insulin like growth factor 2; DMR = differential methylation regions) PMID: 29277274
- The expression of SH3PXD2A-AS1 was inversely correlated with the expression of P57 and KLF2 in Colorectal Cancer tissue samples. PMID: 29734178
- expression of the nearby cyclindependent kinase inhibitor 1C (CDKN1C) gene was revealed to be upregulated after SP3 knockdown in cells that possessed non-risk alleles. This suggests that CDKN1C is potentially one of the functional targets of SNP rs163184, which modulates the binding activity of the locus for Sp3 and Lsd1/Kdm1a PMID: 29207083
- SNHG17 exerted oncogenic effects partly through epigenetically silencing P57 expression through interaction with EZH2. PMID: 28933484
- Studies indicate that misregulation of p57(kip2) expression has been associated, to growth disorders and the onset of several types of cancers [Review]. PMID: 28930539
- conclusion, our data suggested an essential role of CDKN1C in the tumorgenesis of breast cancer. Targeting CDKN1C may be a promising strategy for anticancer therapeutics. PMID: 29428729
- This study showed that negative p57KIP2 immunostaining reliably identified complete mole (CM)and could be used in association with the histological findings to distinguish CM from its mimics. PMID: 28574027
- findings showed that pathogenesis of selective intrauterine growth restriction may be related to the co-effect of the up-regulated protein expression of CDKN1C and down-regulated mRNA expression of KCNQ1OT1 in the placenta. PMID: 28803575
- Gain-of-function mutations in the PCNA domain of CDKN1C have been reported as the genetic basis of various growth-retarded syndromes including IMAGe syndrome, Russell Silver syndrome as well as a novel undergrowth syndrome that additionally exhibited early adulthood onset diabetes. {review] PMID: 28508599
- The mean Beckwith-Wiedemann syndrome (BWS)score was 5.6 for 19 subjects with "IC2 hypomethylation"(KCNQ1OT1-associated ), compared with 3.8 for 2 subjects with pUPD. The BWS score of one subject with CDKN1C mutation and one with IC1( H19-associated imprinting center) hypermethylation was 6 and 7, respectively PMID: 27436784
- Data provide evidence that SLC22A18 and/or CDKN1C are tumor modifier genes involved in the tumorigenesis of SDHD-mutated paraganglioma. PMID: 27402879
- The differences in p18(INK4c)and p57(Kip2)activities in chronic myeloid leukemia and normal stem cells suggest a different cell cycle regulation. PMID: 26985855
- The data has been provided on fetal growth patterns and on the molecular subtypes of Beckwith-Wiedemann syndrome, including gain or loss of DNA methylation, 11p15.5 paternal uniparental disomy, and CDKN1C mutation. PMID: 26857110
- Analysis of the chromatin status of Cdkn1c promoter and KvDMR1 in unresponsive compared to responsive cell types showed that their differential responsiveness to the MyoD-dependent induction of the gene does not involve just their methylation status but, rather, the differential H3 lysine 9 dimethylation at KvDMR1. PMID: 27611768
- CDKN1C protein expression in the BM of newly diagnosed, treatment-naive MDS and secondary AML patients was identified as a prognostic factor for poor survival in patients treated with antiproliferative chemotherapy. PMID: 27170453
- Low P57KIP2 Expression is associated with Hydatidiform Moles. PMID: 27221896
- These results indicate that the inhibitory effect of rapamycin may be due mainly to increased p14, p15, and p57 expression via promoter demethylation and decreased mTOR and p70S6K expression in ALL cell lines. PMID: 26362858
- Jab1/Csn5 expression with concurrent low p57 expression associated with poor overall survival in hepatocellular carcinoma PMID: 26606000
- Using human placental samples, we show that the expression of the imprinted gene CDKN1C associates with birth weight PMID: 26091021
- Our data indicated that reduced cytoplasmic p57 expression is associated with hepatocellular carcinoma invasion. PMID: 26271467
- CDKN1C sequencing should be performed for BWS patients presenting with abdominal wall defects or cleft palate without 11p15 methylation defects or body asymmetry, or in familial cases of BWS. PMID: 26077438
- This report shows that p57(Kip2) is a novel target of miR-21 in prostate cancer and revealing a novel oncogenic function of this microRNA. PMID: 25216674
- Data show the presence of maternally derived extra copies of the distal chromosome 11p involving the wild-type cyclin-dependent kinase inhibitor 1C protein (CDKN1C). PMID: 25427884
- downregulation of CDKN1 by siRNA blocked the activity of miR-25 on promoting glioma cell proliferation. PMID: 25960208
- Polymer-based immunohistochemical staining of p57(kip2) (paternally imprinted gene, expressed from maternal allele) is a very effective method that can be used to differentiate androgenetic complete mole from partial mole and hydropic abortion. PMID: 26161420
- Up-regulation of miR-199a-5p in ADPKD tissues might promote cell proliferation through suppressing CDKN1C PMID: 25588980
- p57Kip2 has a role in DNA damage response, suppresses tumorigenesis and causes chemoresistance. PMID: 25195859
- opposed functional mutations in CDKN1C cause opposite clinical features; loss-of-function mutations cause overgrowth; gain-of-function mutations in the PCNA domain result in growth restriction; only maternally inherited mutations in CDKN1C are associated with disturbed growth [review] PMID: 25262539
- The gene expression pattern of CDKN1C, H19, IGF2, KCNQ1 and PHLDA2 genes was evaluated using RT-PCR. PMID: 24986528
- Staining intensities of cell cycle inhibitors p27 and p57 significantly increased in all parts of preeclamptic placentas compared to control PMID: 24852133
- We report a novel CDKN1C mutation associated with features of IMAGe syndrome, but without adrenal insufficiency or metaphyseal dysplasia, and characterized by early-adulthood-onset diabetes. PMID: 25057881
- p57 expression is highly correlated with genotyping, serves as a reliable marker for diagnosis of complete hydatidiform moles PMID: 23887308
- A report of a novel mutation of CDKN1C affecting the PCNA-binding domain in a family with a history of Russell Silver syndrome. PMID: 24065356
- p57 regulates T-cell development and prevents lymphomagenesis by balancing p53 activity and pre-TCR signaling. PMID: 24652995
- In conclusion, combined p57 immunostaining and FISH with a set of 3 CEP probes for chromosomes X, Y, and 17 could be useful in the classification of hydatidiform moles. PMID: 24613849
- Increased protein stability of CDKN1C causes a gain-of-function phenotype in patients with IMAGe syndrome. PMID: 24098681
- This study indicates that the abnormal expression of p57 and RhoA contributes to progression of hepatocellular carcinoma and poor survival of patients. PMID: 23842948
- p57kip2 appears to be widely expressed in the human oligodendroglial lineage, and potential beneficial effects on remyelination in the mulltiple sclerosis brain are not based on subcellular p57kip2 localization shifts. PMID: 23828667
- p15(INK4b) and p57(KIP2) may be involved in the progression of vulvar carcinomas and the combined p14(ARF)/p15(INK4b)/p16(INK4a) status was a statistically independent prognostic factor. PMID: 23580324
- These data suggest that HER2/Akt is an important negative regulator of p57 (Kip2), and that p57 restoration in HER2-overexpressing cells can reduce breast tumor growth. PMID: 23421998
- A novel mutation in CDKN1C was found in a family with Beckwith-Wiedemann syndrome and cleft palate, sensorineural hearing loss, and supernumerary flexion creases. PMID: 23197429
- Data suggest that CSN6 is an important negative regulator of p57 (Kip2) , and that overexpression of CSN6 in many types of cancer could lead to decreased expression of p57 (Kip2) and result in promoted cancer cell growth. PMID: 23187808
- High p57 KIP2 is asociated with breast cancer. PMID: 23244105
- miR-221 inhibits CDKN1C/P57 expression by post-transcriptional gene silencing to promote colorectal carcinoma development and progression. PMID: 21538272
- Downregulation of CDKN1C is associated with poor disease outcome in patients with cutaneous T-cell lymphoma, while upregulation of AHI1 shows a weak association with aggressive disease course. PMID: 23171462
- MIR221 can interact with the target site on the 3'-UTR of CDKN1C/p57 mRNA to inhibit CDKN1C/p57 expression by post-transcriptional gene silencing to promote colon carcinoma cell proliferation. PMID: 22126772
- Cdkn1c (p57/KIP2) is a novel regulator of early epidermal differentiation and controls proliferation in primary keratinocytes and HaCaT cells. PMID: 23008285
顯示更多
收起更多
-
相關疾病:Beckwith-Wiedemann syndrome (BWS); Intrauterine growth retardation, metaphyseal dysplasia, adrenal hypoplasia congenita, and genital anomalies (IMAGE)
-
亞細胞定位:Nucleus.
-
蛋白家族:CDI family
-
組織特異性:Expressed in the heart, brain, lung, skeletal muscle, kidney, pancreas and testis. Expressed in the eye. High levels are seen in the placenta while low levels are seen in the liver.
-
數據庫鏈接:
Most popular with customers
-
-
YWHAB Recombinant Monoclonal Antibody
Applications: ELISA, WB, IHC, IF, FC
Species Reactivity: Human, Mouse, Rat
-
Phospho-YAP1 (S127) Recombinant Monoclonal Antibody
Applications: ELISA, WB, IHC
Species Reactivity: Human
-
-
-
-
-















