C1QB Recombinant Monoclonal Antibody
-
中文名稱:C1QB Recombinant Monoclonal Antibody
-
貨號:CSB-RA577137A0HU
-
規格:¥1320
-
圖片:
-
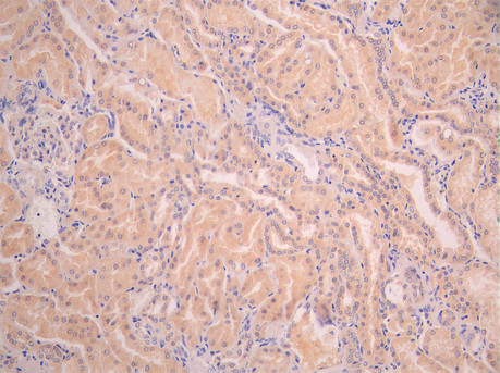
IHC image of CSB-RA577137A0HU diluted at 1:100 and staining in paraffin-embedded human kidney tissue performed on a Leica BondTM system. After dewaxing and hydration, antigen retrieval was mediated by high pressure in a citrate buffer (pH 6.0). Section was blocked with 10% normal goat serum 30min at RT. Then primary antibody (1% BSA) was incubated at 4°C overnight. The primary is detected by a Goat anti-rabbit polymer IgG labeled by HRP and visualized using 0.05% DAB.
-
IHC image of CSB-RA577137A0HU diluted at 1:100 and staining in paraffin-embedded human skeletal muscle tissue performed on a Leica BondTM system. After dewaxing and hydration, antigen retrieval was mediated by high pressure in a citrate buffer (pH 6.0). Section was blocked with 10% normal goat serum 30min at RT. Then primary antibody (1% BSA) was incubated at 4°C overnight. The primary is detected by a Goat anti-rabbit polymer IgG labeled by HRP and visualized using 0.05% DAB.
-
-
其他:
產品詳情
-
Uniprot No.:
-
基因名:
-
別名:C1qb antibody; C1QB_HUMAN antibody; Complement C1q subcomponent subunit B antibody; Complement component 1 q subcomponent B chain antibody; Complement component 1 q subcomponent beta polypeptide antibody; Complement component C1q B chain antibody; Complement subcomponent C1q chain B antibody
-
反應種屬:Human
-
免疫原:A synthesized peptide from human C1QB protein
-
免疫原種屬:Homo sapiens (Human)
-
標記方式:Non-conjugated
-
克隆類型:Monoclonal
-
抗體亞型:Rabbit IgG
-
純化方式:Affinity-chromatography
-
克隆號:16D7
-
濃度:It differs from different batches. Please contact us to confirm it.
-
保存緩沖液:Rabbit IgG in 10mM phosphate buffered saline , pH 7.4, 150mM sodium chloride, 0.05% BSA, 0.02% sodium azide and 50% glycerol.
-
產品提供形式:Liquid
-
應用范圍:ELISA, IHC
-
推薦稀釋比:
Application Recommended Dilution IHC 1:50-1:200 -
Protocols:
-
儲存條件:Upon receipt, store at -20°C or -80°C. Avoid repeated freeze.
-
貨期:Basically, we can dispatch the products out in 1-3 working days after receiving your orders. Delivery time maybe differs from different purchasing way or location, please kindly consult your local distributors for specific delivery time.
-
用途:For Research Use Only. Not for use in diagnostic or therapeutic procedures.
相關產品
靶點詳情
-
功能:C1q associates with the proenzymes C1r and C1s to yield C1, the first component of the serum complement system. The collagen-like regions of C1q interact with the Ca(2+)-dependent C1r(2)C1s(2) proenzyme complex, and efficient activation of C1 takes place on interaction of the globular heads of C1q with the Fc regions of IgG or IgM antibody present in immune complexes.
-
基因功能參考文獻:
- C1QB expression is significantly upregulated in human masticatory mucosa during wound healing PMID: 28005267
- We identified a major linear epitope of C1q that is the target of anti-C1q in systemic lupus erythematosus. PMID: 22740328
- The susceptibility for schizophrenia was particularly associated with C1QB rs291982 GG genotype. PMID: 21951915
- a 2-gene signature consisting of PLEK2 and C1QB led to the best result that correctly classified 93.3% melanoma patients and 90% healthy controls PMID: 21698244
- The C-terminal globular region of the C1Q B chain may have evolved as a functionally specialized domain or module with distinct binding properties which together with the A and C chains confers versatility and flexibility to the whole C1q molecule. PMID: 12847249
- Complementary interacting sites on the C1q globular domain have been precisely defined. Characterization of point mutants suggests a central role for Arg114 and a complementary role for Arg129, Arg163, and His117 of C1Q B chain in the C1q-IgG interaction. PMID: 15034050
- The first analysis of C1q by mass spectrometry yields evidence that the B chain moiety of the globular head is involved in the interaction with fucoidan and underscores the particular role of arginine-109 in the charge pattern recognition property of C1q. PMID: 15709773
- results suggest that charged residues belonging to the apex of the gC1q heterotrimer (with participation of all three chains) as well as the side of the ghB are crucial for C1q binding to ligands, IgG1, C-reactive protein, and pentraxin 3. PMID: 16566583
- No C1q or low molecular weight C1q was detected in sera and no anti-C1q autoantibodies were found. Sequencing of the C1q genes revealed a novel missense mutation (Gly-Arg) in codon 217 of the B chain. PMID: 17513176
顯示更多
收起更多
-
相關疾?。?/div>Complement component C1q deficiency (C1QD)亞細胞定位:Secreted.數據庫鏈接:
Most popular with customers
-
-
YWHAB Recombinant Monoclonal Antibody
Applications: ELISA, WB, IHC, IF, FC
Species Reactivity: Human, Mouse, Rat
-
-
-
-
-
-















