BCAP31 Recombinant Monoclonal Antibody
-
中文名稱:BCAP31 Recombinant Monoclonal Antibody
-
貨號:CSB-RA197701A0HU
-
規格:¥1320
-
圖片:
-
Flow cytometric analysis of B cell receptor associated protein 31 expression in HepG2 cells using B cell receptor associated protein 31 antibody. Green, isotype control; red, B cell receptor associated protein 31.
-
Immunocytochemical staining of HepG2 cells with B cell receptor associated protein 31 antibody. Nuclei were stained blue with DAPI; B cell receptor associated protein 31 was stained magenta with Alexa Fluor? 647. Images were taken using Leica stellaris 5. Protein abundance based on laser Intensity and smart gain: Medium. Scale bar, 20 μm.
-
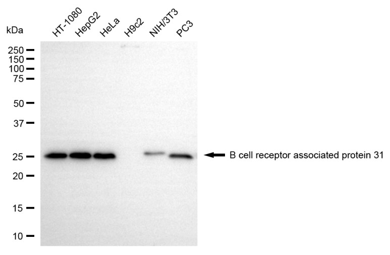
Western blotting analysis using B cell receptor associated protein 31 antibody. Total cell lysates (30 μg) from various cell lines were loaded and separated by SDS-PAGE. The blot was incubated with B cell receptor associated protein 31 antibody and HRP-conjugated goat anti-rabbit secondary antibody respectively.
-
-
其他:
產品詳情
-
Uniprot No.:
-
基因名:
-
別名:BCAP31; B Cell Receptor Associated Protein 31; DXS1357E; BAP31; CDM; B-Cell Receptor-Associated Protein 31; 6C6-AG Tumor-Associated Antigen; 6C6-AG; BCR-Associated Protein Bap31; BCR-Associated Protein 31; MICRODELXq28; Protein CDM; P28 Bap31; DELXQ28; 6C6-Ag; Bap31; DDCH; P28
-
反應種屬:Human, Mouse
-
免疫原:Recombinant Human BCAP31 protein
-
免疫原種屬:Homo sapiens (Human)
-
標記方式:Non-conjugated
-
克隆類型:Monoclonal
-
抗體亞型:Rabbit IgG
-
純化方式:Affinity-chromatography
-
克隆號:8C11
-
濃度:It differs from different batches. Please contact us to confirm it.
-
保存緩沖液:Rabbit IgG in PBS (pH 7.4) containing 50% glycerol, and 0.02% sodium azide.
-
產品提供形式:Liquid
-
應用范圍:ELISA, WB, FC, ICC
-
推薦稀釋比:
Application Recommended Dilution WB 1:1000-1:5000 FC 1:200-1:2000 ICC 1:100-1:1000 -
Protocols:
-
儲存條件:Upon receipt, store at -20°C or -80°C. Avoid repeated freeze.
-
貨期:Basically, we can dispatch the products out in 1-3 working days after receiving your orders. Delivery time maybe differs from different purchasing way or location, please kindly consult your local distributors for specific delivery time.
-
用途:For Research Use Only. Not for use in diagnostic or therapeutic procedures.
相關產品
靶點詳情
-
功能:Functions as a chaperone protein. Is one of the most abundant endoplasmic reticulum (ER) proteins. Plays a role in the export of secreted proteins in the ER, the recognition of abnormally folded protein and their targeting to the ER associated-degradation (ERAD). Also serves as a cargo receptor for the export of transmembrane proteins. Plays a role in the assembly of the mitochondrial membrane respiratory chain NADH dehydrogenase (Complex I) by stimulating the translocation of NDUFS4 and NDUFB11 from the cytosol to the mitochondria via interaction with TOMM40. In response to ER stress, delocalizes from the ER-mitochondria contact sites and binds BCL2. May be involved in CASP8-mediated apoptosis.
-
基因功能參考文獻:
- that BAP31 is a potential prognostic marker for colorectal cancer patients after surgery PMID: 29653744
- BAP31 expression is an independent prognostic factor for overall survival of patients with postoperative hepatocellular carcinoma (HCC), and low expression levels of BAP31 in HCC may indicate poor outcomes of HCC patient after surgical resection. PMID: 25980696
- results suggest that enhanced expression of csBAP31 contributes to poor survival of NSCLC cells PMID: 29145450
- This patient's clinical features, muscle histopathology, brain MRI features, and family history were suggestive of mitochondrial encephalopathy. Whole exome sequencing research study confirmed the diagnosis of BCAP31-associated encephalopathy, DDCH syndrome. PMID: 28332767
- Data characterized the biochemical properties of plant orthologs of human B-cell receptor-associated protein BAP31 (HsBAP31) termed 'plant BAP-like proteins' (PBL proteins). PMID: 27770627
- Data show that tumor necrosis factor-related apoptosis-inducing ligand (TRAIL)-induced endoplasmic reticulum (ER) stress was triggered by caspase-8-mediated cleavage of B cell receptor-associated protein 31 (BAP31). PMID: 26212606
- The C-terminal domain of BAP31 is exposed on the cell surface of human embryonic stem cells. PMID: 26102500
- both BCAP31 and ABCD1 were associated with hepatic cholestasis and death before 1 year. Remarkably, a patient with an isolated deletion at the 3'-end of SLC6A8 had a similar severe phenotype as seen in BCAP31 deficiency PMID: 24597975
- Transfected human respiratory syncytial virus SH protein co-localizes with transfected BAP31 in cells, and pulls down endogenous BAP31. PMID: 25854864
- In the titel. PMID: 25044748
- These findings provide, for the first time, mechanistic insights into how BAP31 regulates human embryonic stem cell stemness and survival via control of EpCAM expression. PMID: 24898727
- Hypomethylation in BCAP31 is associated with breast cancer. PMID: 24395279
- the lack of BAP31 disturbs endoplasmic reticulum (ER) metabolism and impacts the Golgi apparatus, highlighting an important role for BAP31 in ER-to-Golgi crosstalk. PMID: 24011989
- BAP31 and BiP are essential for dislocation of SV40 from the endoplasmic reticulum to the cytosol. PMID: 21947079
- Membrane-Associated RING-CH proteins MARCH VIII and MARCH IV associate with Bap31 and target CD81 and CD44 to lysosomes PMID: 21151997
- Fis1 and Bap31 bridge the mitochondria-ER interface to establish a platform for apoptosis induction. PMID: 21183955
- Contiguous deletion of the X-linked adrenoleukodystrophy gene (ABCD1) and DXS1357E: a novel neonatal phenotype similar to peroxisomal biogenesis disorders. PMID: 11992258
- CASP8 cleavage product of BAP31 induces mitochondrial fission through endoplasmic reticulum calcium signals, enhancing cytochrome c release to the cytosol. PMID: 12668660
- Data describe a novel human member of the protein tyrosine phosphatase-like B (PTPLB) family, an integral protein of the endoplasmic reticulum membrane, as a BAP31-interacting protein. PMID: 15024066
- Cleavage of BAP31 leads to the generation of ER- localized, proapoptotic BAP20, which may mediate mitochondrion-ER cross talk through a Ca(2+)-dependent mechanism PMID: 15254227
- BAP31 may play a role in regulating intracellular trafficking of CD11b/CD18 in neutrophils PMID: 15294914
- We have characterized a molecular mechanism by which calnexin regulates ER-stress-mediated apoptosis in a manner independent of its chaperone functions but dependent of its binding to Bap31. PMID: 16858427
- Bap31 performs quality control on class I molecules in two distinct phases: by exporting peptide-loaded class I molecules to the ER/Golgi, and by retrieving class I molecules that have lost peptides in the acidic post-ER environment. PMID: 17056546
- Bap31 is a component of the endoplasmic reticulum (ER) quality control compartment and that it moves between the peripheral ER and a juxtanuclear ER or ER-related compartment distinct from the conventional ER-Golgi intermediate compartment. PMID: 18287538
- BAP31 associates with the N terminus of one of its newly synthesized client proteins, the DeltaF508 mutant of CFTR, and promotes its retrotranslocation from the endoplasmic reticulum and degradation by the cytoplasmic 26S proteasome system. PMID: 18555783
- Results identify B-cell-associated protein 31 as a novel binding partner of the high-risk human papillomavirus 16 E5 proteins and provide insight into how the E5 proteins may modulate the life cycle in differentiating cells. PMID: 18684816
顯示更多
收起更多
-
相關疾病:Deafness, dystonia, and cerebral hypomyelination (DDCH)
-
亞細胞定位:Endoplasmic reticulum membrane; Multi-pass membrane protein. Endoplasmic reticulum-Golgi intermediate compartment membrane; Multi-pass membrane protein.
-
蛋白家族:BCAP29/BCAP31 family
-
組織特異性:Ubiquitous. Highly expressed in neurons and discrete endocrine cells.
-
數據庫鏈接:
Most popular with customers
-
-
YWHAB Recombinant Monoclonal Antibody
Applications: ELISA, WB, IHC, IF, FC
Species Reactivity: Human, Mouse, Rat
-
Phospho-YAP1 (S127) Recombinant Monoclonal Antibody
Applications: ELISA, WB, IHC
Species Reactivity: Human
-
-
-
-
-















