APOE Recombinant Monoclonal Antibody
-
中文名稱:APOE Recombinant Monoclonal Antibody
-
貨號:CSB-RA132237A0HU
-
規格:¥1320
-
圖片:
-
Western Blot
Positive WB detected in: HepG2 whole cell lysate(30μg)
All lanes: Apolipoprotein E antibody at 1:1000
Secondary
Goat polyclonal to rabbit IgG at 1/40000 dilution
Predicted band size: 36 kDa
Observed band size: 36 kDa
Exposure time:3min -
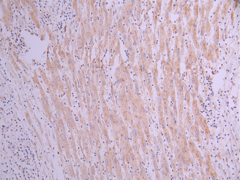
IHC image of CSB-RA132237A0HU diluted at 1:100 and staining in paraffin-embedded human liver cancer performed on a Leica BondTM system. After dewaxing and hydration, antigen retrieval was mediated by high pressure in a citrate buffer (pH 6.0). Section was blocked with 10% normal goat serum 30min at RT. Then primary antibody (1% BSA) was incubated at 4°C overnight. The primary is detected by a Goat anti-rabbit polymer IgG labeled by HRP and visualized using 0.05% DAB.
-
Immunofluorescence staining of HepG2 cell with CSB-RA132237A0HU at 1:50, counter-stained with DAPI. The cells were fixed in 4% formaldehyde, permeabilized using 0.2% Triton X-100 and blocked in 10% normal Goat Serum. The cells were then incubated with the antibody overnight at 4°C. The secondary antibody was Alexa Fluor 488-congugated AffiniPure Goat Anti-Rabbit IgG(H+L).
-
Overlay Peak curve showing HepG2 cells stained with CSB-RA132237A0HU (red line) at 1:100. The cells were fixed in 4% formaldehyde and permeated by 0.2% TritonX-100 for 10min. Then 10% normal goat serum to block non-specific protein-protein interactions followed by the antibody (1ug/1*106cells) for 45min at 4℃. The secondary antibody used was FITC-conjugated goat anti-rabbit IgG (H+L) at 1/200 dilution for 35min at 4℃.Control antibody (green line) was Rabbit IgG (1ug/1*106cells) used under the same conditions. Acquisition of >10,000 events was performed.
-
-
其他:
產品詳情
-
Uniprot No.:
-
基因名:
-
別名:Apolipoprotein E (Apo-E), APOE
-
反應種屬:Human
-
免疫原:Recombinant Antibody
-
免疫原種屬:Homo sapiens (Human)
-
標記方式:Non-conjugated
-
克隆類型:Monoclonal
-
抗體亞型:Rabbit IgG
-
純化方式:Affinity-chromatography
-
克隆號:14C2
-
濃度:It differs from different batches. Please contact us to confirm it.
-
保存緩沖液:Preservative: 0.03% Proclin 300
Constituents: 50% Glycerol, 0.01M PBS, PH 7.4 -
產品提供形式:Liquid
-
應用范圍:ELISA, WB, IHC, IF, FC
-
推薦稀釋比:
Application Recommended Dilution WB 1:500-1:5000 IHC 1:50-1:200 IF 1:50-1:200 FC 1:50-1:200 -
Protocols:
-
儲存條件:Upon receipt, store at -20°C or -80°C. Avoid repeated freeze.
-
貨期:Basically, we can dispatch the products out in 1-3 working days after receiving your orders. Delivery time maybe differs from different purchasing way or location, please kindly consult your local distributors for specific delivery time.
-
用途:For Research Use Only. Not for use in diagnostic or therapeutic procedures.
相關產品
靶點詳情
-
功能:APOE is an apolipoprotein, a protein associating with lipid particles, that mainly functions in lipoprotein-mediated lipid transport between organs via the plasma and interstitial fluids. APOE is a core component of plasma lipoproteins and is involved in their production, conversion and clearance. Apoliproteins are amphipathic molecules that interact both with lipids of the lipoprotein particle core and the aqueous environment of the plasma. As such, APOE associates with chylomicrons, chylomicron remnants, very low density lipoproteins (VLDL) and intermediate density lipoproteins (IDL) but shows a preferential binding to high-density lipoproteins (HDL). It also binds a wide range of cellular receptors including the LDL receptor/LDLR, the LDL receptor-related proteins LRP1, LRP2 and LRP8 and the very low-density lipoprotein receptor/VLDLR that mediate the cellular uptake of the APOE-containing lipoprotein particles. Finally, APOE has also a heparin-binding activity and binds heparan-sulfate proteoglycans on the surface of cells, a property that supports the capture and the receptor-mediated uptake of APOE-containing lipoproteins by cells. A main function of APOE is to mediate lipoprotein clearance through the uptake of chylomicrons, VLDLs, and HDLs by hepatocytes. APOE is also involved in the biosynthesis by the liver of VLDLs as well as their uptake by peripheral tissues ensuring the delivery of triglycerides and energy storage in muscle, heart and adipose tissues. By participating in the lipoprotein-mediated distribution of lipids among tissues, APOE plays a critical role in plasma and tissues lipid homeostasis. APOE is also involved in two steps of reverse cholesterol transport, the HDLs-mediated transport of cholesterol from peripheral tissues to the liver, and thereby plays an important role in cholesterol homeostasis. First, it is functionally associated with ABCA1 in the biogenesis of HDLs in tissues. Second, it is enriched in circulating HDLs and mediates their uptake by hepatocytes. APOE also plays an important role in lipid transport in the central nervous system, regulating neuron survival and sprouting. APOE is also involved in innate and adaptive immune responses, controlling for instance the survival of myeloid-derived suppressor cells. APOE, may also play a role in transcription regulation through a receptor-dependent and cholesterol-independent mechanism, that activates MAP3K12 and a non-canonical MAPK signal transduction pathway that results in enhanced AP-1-mediated transcription of APP.; (Microbial infection) Through its interaction with HCV envelope glycoprotein E2, participates in the attachment of HCV to HSPGs and other receptors (LDLr, VLDLr, and SR-B1) on the cell surface and to the assembly, maturation and infectivity of HCV viral particles. This interaction is probably promoted via the up-regulation of cellular autophagy by the virus.
-
基因功能參考文獻:
- Patients having Glutathione S-transferase M1 allele and Apolipoprotein E E2 allele are predisposed to oxidative stress-induced cardiac injury. PMID: 30095041
- the APOEepsilon4 alleles were significantly higher in patients with Alzheimer's disease (AD) and there was a potential synergistic interaction between the CYP46A1 C allele and APOEepsilon4 allele in AD. PMID: 29516283
- familial hypercholesterolemia case-control study was associated with the E4 allele in the Saudi population. However, E4 allele was appeared as a reliable risk marker for lipid profiles, but not for ApoE alleles PMID: 30235358
- Significant interactions between APOE epsilon4 and mild cognitive impairment were found in general cognitive function (p = 0.001) and white matter connectivity network (clustering coefficient, p = 0.004, and local efficiency. PMID: 27785756
- data presented here could increase the knowledge of ApoE3 activity and be a starting point for the study of the impact of variations on APOE gene PMID: 28559539
- APOE-epsilon4 is associated with a subtly faster rate of memory decline from midlife to early old age PMID: 29317609
- This study aimed to assess the association between APOE genotype and saccade latency using a prosaccade and antisaccade task in young individuals (N=97, age: 17-35 years). Results showed that prosaccade latency was significantly delayed in a group of epsilon4 carriers in comparison to non-carriers, which was due to a lower rate of signal accumulation rather than a change in the criterion threshold. PMID: 30003976
- Higher plasma ApoE concentrations (> 5.9 mg/dL) are the independent risk factor for hemorrhage during endobronchial biopsy in patients with lung cancer. PMID: 30031394
- Apolipoprotein E Mutation is associated with Lipoprotein Glomerulopathy. PMID: 29398675
- these results suggest a susceptibility of E4+ carriers to metabolic and cognitive impairments brought on by a HFD, and may help guide development of novel therapeutic targets for AD and related dementias. PMID: 28272510
- A randomized trial and novel SPR technique identifies altered lipoprotein-LDL receptor binding as a mechanism underlying elevated LDL-cholesterol in APOE4s PMID: 28276521
- Site-directed mutagenesis of Akt at Cys224 revealed that S-nitrosylation at this site was pivotal for the reduced phosphorylation at Akt Ser473, which led to impaired Akt signaling. Furthermore, on HHcy challenge, as compared with GSNOR(+/+)ApoE(-/-) littermate controls, GSNOR(-/-)ApoE(-/-) double knockout mice showed reduced T-cell activation with concurrent reduction of atherosclerosis. PMID: 29860106
- U.S. military veterans who are APOE epsilon4 allele carriers and exposed to a high number of traumas may be at increased risk for developing PTSD symptoms than epsilon4 noncarriers. PMID: 29172227
- found that the ApoE genotype was significantly associated with aneurysmal subarachnoid hemorrhage risk, whereas its effect on certain ethnic populations differs PMID: 30010064
- APOE polymorphism might be associated with the incidence of aneurysmal subarachnoid hemorrhage in Chinese Fujian Han population. PMID: 29769126
- Reduced expression of miR-98 may relate to LOX-1 expression and foam cell formation and lipid accumulation in aortas of ApoE(-/-) mice. PMID: 29549823
- The epsilon4+ subjects exhibited lower inter- and intrahemispheric coherences than the epsilon4- individuals. CONCLUSION: epsilon4 carriers have lower corticocortical communication than noncarriers during an intelligence task, implying that carrying the epsilon4 allele may reduce brain networking in adolescence, several decades before the onset of Alzheimer disease. PMID: 28848214
- APOE-epsilon4 modified the association between central arterial stiffening and cognition. PMID: 29656011
- The rs7755 and rs3211956 loci polymorphisms of CD36 gene and genotype E2/E3, E3/E4, E4/E4 of ApoE gene, and E2 and E4 alleles were statistically related with Alzheimer disease. PMID: 30235742
- results show great changes in men carrying ApoE2, mainly in TG and TC concentrations after treatment with hypocaloric diet and controlled exercise PMID: 29756962
- ApoE genetic polymorphisms conferred susceptibility to steroid-induced ONFH in Chinese Han population. PMID: 29892926
- t results point out that APOE4 genotype influences healthy aged cognition, although factors such age or educational attainment seem to modulate its effects PMID: 29414814
- Reduced content of ApoE in blood serum of men with arterial hypertension was associated with APOE4 gene polymorphism. PMID: 29658078
- In summary, our findings from the two cohorts confirm that genetic variations at the APOE locus influence plasma total cholesterol concentrations, however, the gene-diet interactions on lipids require further investigation in larger cohorts. PMID: 29712557
- There is the association between ApoE polymorphism and hypertension. [meta-analysis] PMID: 30180966
- The authors propose that APOE4-driven hyperactivity may be a causative factor driving increased risk of Alzheimer's disease among APOE4 carriers. PMID: 29133888
- Our results showed that ApoE epsilon4 and PON1-55M alleles act synergistically to increase the risk of systemic lupus erythematosus by 1.47 times PMID: 29273831
- Study presents evidence that odor identification ability starts to decline already in middle-aged, and that carriers of varepsilon4/4, who are at highest risk of developing dementia, decline twice as fast. PMID: 28455505
- Findings suggest that the apolipoprotein E4 genotype selectively modulates the functional integration of brain networks in patients with amnestic mild cognitive impairment, thus providing important insight into the gene-connectome interaction in this disease. PMID: 28341847
- Findings revealed that APOE epsilon4 allele has a detrimental effect on parietal and frontal white matter in cognitively normal elderly; and demonstrate that information processing speed deficits can be explained by parietal white matter hyperintensities volume, age and interaction between parietal white matter hyperintensities volume and age. PMID: 27444731
- The study demonstrated that the APOE epsilon3/epsilon3 and epsilon3/epsilon4 genotypes played a protective role against cerebral infarction in Chinese men, but not women. PMID: 29479056
- corroborating evidence that supports the fact that the presence of the APOE e4 polymorphism confers greater susceptibility to combat-related post-traumatic stress disorder (meta-analysis)> PMID: 28430712
- Carriers of the 4 allele of the APOE genotype had significantly lower LDL particle size and LDL I proportion compared to 33 homozygotes ( P < .05 for both comparisons). Insulin resistance increased from patients with no OSA to those with mild-moderate and to those with severe OSA ( P < .001). In multivariate analysis, LDL size was independently predicted by APOE genotype. PMID: 26941371
- In het mice, RIF had no effect on plasma lipids composition, CYP27A1 activity, and atherosclerotic plaque development, despite a reduction in cholesterol absorption. In conclusion, the antiatherogenic effect of Cyp3a11 induction by RIF was also dependent on Cyp27a1 expression. PMID: 29191818
- Hypertension and the ApoEepsilon4/epsilon4 genotype may be associated with the occurrence of MCA stenosis in the ischemic stroke Chinese patients. PMID: 29494434
- In this study, detection of AD-related DNA oligonucleotide sequence associated with Apolipoprotein E4 gene sequence was achieved using localized-surface plasmon resonance (LSPR) on 2D-Photonic crystal (2D-PC) and Au-coated 2D-PC surfaces. PMID: 29291596
- APOE polymorphism has an influence on the risk of aneurysmal subarachnoid hemorrhage. PMID: 29213291
- Evidence for an interaction between APOE SNP rs1064725 and dietary fat intake on fasting total plasma cholesterol concentrations. PMID: 29169396
- APOE-epsilon4 carriers had elevated carotid intima media thickness independent of demographics and vascular risk factors. Diabetes was an effect modifier of the relationship between APOE-epsilon4 and cIMT. PMID: 29103864
- APOE is a risk gene for ischemic stroke (IS), but not independent, especially for large artery atherosclerosis IS. PMID: 29074556
- Among APOE4 carriers, race was not associated with risk of Alzheimer's disease. PMID: 28863046
- association of rare variants near the APOE region with CSF and neuroimaging biomarkers of Alzheimer's disease PMID: 28589856
- The APOE-epsilon4 allele may confer an increased risk of impairment of 6-month verbal memory for patients suffering mild traumatic brain injury. PMID: 28948085
- The APOE e4 allele is a risk factor for late onset Alzheimer's disease as well as for other types of dementia.Living arrangements, perceived social support, and loneliness were found to moderate the relationship between the APOE e4 allele and cognitive function. PMID: 28329797
- epsilon2 carriers perform better on cognitive tests as this group have a lower risk of Alzheimer's disease. PMID: 29032015
- Overnight hypoxemia and sleepiness were associated with cognition. The average effect estimates were small, similar to effect estimates for several other individual dementia risk factors. Associations were strongest in APOE-epsilon4 risk allele carriers. PMID: 28731362
- Downregulation of apoE and apoJ in CSF strongly suggests a critical role of lipid metabolism in the development and progression of Moyamoya disease. PMID: 28843803
- ApoE epsilon4 alleles are associated with dementia risk. PMID: 28657841
- Findings suggest a possible relationship between the epsilon4 allele and post-concussion impairment, as well as between the epsilon4 allele and neurocognitive performance variability, suggesting that the epsilon4 genotype may be a risk factor for less efficient cognitive processing in concussed athletes. PMID: 28541413
- APOE4 carriers and the CETP genotype were associated with a decreased response to simvastatin therapy PMID: 28851085
顯示更多
收起更多
-
相關疾病:Hyperlipoproteinemia 3 (HLPP3); Alzheimer disease 2 (AD2); Sea-blue histiocyte disease (SBHD); Lipoprotein glomerulopathy (LPG); Familial hypercholesterolemia (FH)
-
亞細胞定位:Secreted. Secreted, extracellular space. Secreted, extracellular space, extracellular matrix.
-
蛋白家族:Apolipoprotein A1/A4/E family
-
組織特異性:Produced by several tissues and cell types and mainly found associated with lipid particles in the plasma, the interstitial fluid and lymph. Mainly synthesized by liver hepatocytes. Significant quantities are also produced in brain, mainly by astrocytes a
-
數據庫鏈接:
Most popular with customers
-
-
YWHAB Recombinant Monoclonal Antibody
Applications: ELISA, WB, IHC, IF, FC
Species Reactivity: Human, Mouse, Rat
-
Phospho-YAP1 (S127) Recombinant Monoclonal Antibody
Applications: ELISA, WB, IHC
Species Reactivity: Human
-
-
-
-
-















