-
中文名稱:ZMYND10兔多克隆抗體
-
貨號:CSB-PA026511ESR2HU
-
規格:¥440
-
圖片:
-
Western blot
All lanes: ZMYND10 antibody at 8μg/ml
Lane 1: A549 whole cell lysate
Lane 2: Mouse kidney tissue
Lane 3: Mouse skeletal muscle tissue
Secondary
Goat polyclonal to rabbit IgG at 1/10000 dilution
Predicted band size: 51, 50 kDa
Observed band size: 51 kDa -
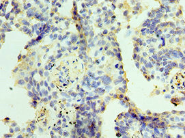
Immunohistochemistry of paraffin-embedded human testis tissue using CSB-PA026511ESR2HU at dilution of 1:100
-
Immunohistochemistry of paraffin-embedded human lung cancer using CSB-PA026511ESR2HU at dilution of 1:100
-
-
其他:
產品詳情
-
產品名稱:Rabbit anti-Homo sapiens (Human) ZMYND10 Polyclonal antibody
-
Uniprot No.:
-
基因名:ZMYND10
-
別名:ZMYND10 antibody; BLU antibody; LUCA12.4 antibody; Zinc finger MYND domain-containing protein 10 antibody; Protein BLu antibody
-
宿主:Rabbit
-
反應種屬:Human, Mouse
-
免疫原:Recombinant Human Zinc finger MYND domain-containing protein 10 protein (201-440AA)
-
免疫原種屬:Homo sapiens (Human)
-
標記方式:Non-conjugated
-
克隆類型:Polyclonal
-
抗體亞型:IgG
-
純化方式:Antigen Affinity Purified
-
濃度:It differs from different batches. Please contact us to confirm it.
-
保存緩沖液:PBS with 0.02% sodium azide, 50% glycerol, pH7.3.
-
產品提供形式:Liquid
-
應用范圍:ELISA, WB, IHC
-
推薦稀釋比:
Application Recommended Dilution WB 1:500-1:2000 IHC 1:20-1:200 -
Protocols:
-
儲存條件:Upon receipt, store at -20°C or -80°C. Avoid repeated freeze.
-
貨期:Basically, we can dispatch the products out in 1-3 working days after receiving your orders. Delivery time maybe differs from different purchasing way or location, please kindly consult your local distributors for specific delivery time.
-
用途:For Research Use Only. Not for use in diagnostic or therapeutic procedures.
相關產品
靶點詳情
-
功能:Plays a role in axonemal structure organization and motility. Involved in axonemal pre-assembly of inner and outer dynein arms (IDA and ODA, respectively) for proper axoneme building for cilia motility. May act by indirectly regulating transcription of dynein proteins.
-
基因功能參考文獻:
- BLU suppressed tumor formation by strengthening the antitumor immunity. PMID: 28029652
- A novel frameshift mutation (c.367delC) in ZMYND10, unique for Slavic primary ciliary dyskinesia population (PCD), was found in homozygous state in two unrelated PCD patients. PMID: 26824761
- Data identified a novel functional BLU promoter that was regulated by Sp1. Furthermore, the hypermethylated -39 CpG in BLU proximal promoter directly reduced its binding with Sp1. PMID: 26043875
- Data show that the zinc finger MYND-type containing 10 protein BLU gene may be one of the key components of signaling networks controlling tumor microenvironment and angiogenesis. PMID: 25347745
- Mutations in ZMYND10 cause primary ciliary dyskinesia. PMID: 23891471
- Methylation of BLU could be a potential prognostic biomarker for advanced ovarian serous carcinoma PMID: 23329649
- Data indicate that BLU could suppress the growth of ovarian carcinoma cells through down-regulation of Bcl-2 protein. PMID: 23628417
- these data indicated that methylation of the BLU promoter region is an early event during hepatocellular carcinoma development. PMID: 22766745
- The N-terminal of BLU was observed to interact with the C-terminal of SMEK1, a regulatory subunit of protein phosphatase 4. Furthermore, we determined the binding domains that are required for interaction between BLU and sMEK1. The N-terminal of BLU was observed to interact with the C-terminal of sMEK1. PMID: 22349239
- BLU may play a substantial role in the development and etiology of myelodysplastic syndrome. PMID: 22246278
- A significant correlation between BLU methylation and loss of expression of BLU was observed in gastric, colorectal and pancreatic cancers. PMID: 20394502
- These data suggest a significant role for epigenetic inactivation of BLU in the pathogenesis of common human cancers and that methylation inactivation of BLU occurs independent of RASSF1A in SCLC and neuroblastoma tumours. PMID: 12629521
- BLU may be one of the critical tumor suppressor genes on chromosome 3p21.3 involved in the development of nasopharyngeal carcinoma PMID: 12794757
- BLU, a candidate tumor suppressor gene, located at the commonly deleted region 3p21.3, is an E2F-regulated, stress-responsive gene and inactivated by both epigenetic and genetic mechanisms in nasopharyngeal carcinoma. PMID: 15122337
- Smoking under age 18 is an independent risk for BLU hypermethylation, thus identifying a molecular alteration related to the epidemiologic effect of teenage smoking as a lung cancer risk. PMID: 15540210
- ninety-two percent of glioma tumor samples were methylated for RASSF1A, 30%-57% for BLU and 47% for MGMT, suggesting promoter methylation of these genes to be a common event in glioma tumorigenesis PMID: 18616639
顯示更多
收起更多
-
相關疾病:Ciliary dyskinesia, primary, 22 (CILD22)
-
亞細胞定位:Cytoplasm. Cytoplasm, cytoskeleton, microtubule organizing center, centrosome, centriolar satellite. Apical cell membrane. Dynein axonemal particle.
-
蛋白家族:ZMYND10 family
-
數據庫鏈接:
Most popular with customers
-
-
YWHAB Recombinant Monoclonal Antibody
Applications: ELISA, WB, IHC, IF, FC
Species Reactivity: Human, Mouse, Rat
-
-
-
-
-
-















