ZMPSTE24 Antibody
-
中文名稱:ZMPSTE24兔多克隆抗體
-
貨號:CSB-PA026504LA01HU
-
規格:¥440
-
圖片:
-
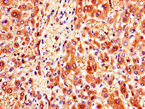
Immunohistochemistry of paraffin-embedded human liver tissue using CSB-PA026504LA01HU at dilution of 1:100
-
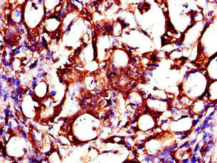
Immunohistochemistry of paraffin-embedded human gastric cancer using CSB-PA026504LA01HU at dilution of 1:100
-
Immunofluorescent analysis of PC-3 cells using CSB-PA026504LA01HU at dilution of 1:100 and Alexa Fluor 488-congugated AffiniPure Goat Anti-Rabbit IgG(H+L)
-
-
其他:
產品詳情
-
產品名稱:Rabbit anti-Homo sapiens (Human) ZMPSTE24 Polyclonal antibody
-
Uniprot No.:
-
基因名:ZMPSTE24
-
別名:ZMPSTE24; FACE1; STE24; CAAX prenyl protease 1 homolog; Farnesylated proteins-converting enzyme 1; FACE-1; Prenyl protein-specific endoprotease 1; Zinc metalloproteinase Ste24 homolog
-
宿主:Rabbit
-
反應種屬:Human
-
免疫原:Recombinant Human CAAX prenyl protease 1 homolog protein (217-347AA)
-
免疫原種屬:Homo sapiens (Human)
-
標記方式:Non-conjugated
本頁面中的產品,ZMPSTE24 Antibody (CSB-PA026504LA01HU),的標記方式是Non-conjugated。對于ZMPSTE24 Antibody,我們還提供其他標記。見下表:
-
克隆類型:Polyclonal
-
抗體亞型:IgG
-
純化方式:>95%, Protein G purified
-
濃度:It differs from different batches. Please contact us to confirm it.
-
保存緩沖液:Preservative: 0.03% Proclin 300
Constituents: 50% Glycerol, 0.01M PBS, PH 7.4 -
產品提供形式:Liquid
-
應用范圍:ELISA, IHC, IF
-
推薦稀釋比:
Application Recommended Dilution IHC 1:20-1:200 IF 1:50-1:200 -
Protocols:
-
儲存條件:Upon receipt, store at -20°C or -80°C. Avoid repeated freeze.
-
貨期:Basically, we can dispatch the products out in 1-3 working days after receiving your orders. Delivery time maybe differs from different purchasing way or location, please kindly consult your local distributors for specific delivery time.
-
用途:For Research Use Only. Not for use in diagnostic or therapeutic procedures.
相關產品
靶點詳情
-
功能:Proteolytically removes the C-terminal three residues of farnesylated proteins. Acts on lamin A/C.
-
基因功能參考文獻:
- ZMPSTE24-dependent cleavage of prelamin A and the eight known disease-associated ZMPSTE24 missense mutations, were examined. PMID: 29794150
- ZMPSTE24 is a downstream effector of IFITM3 and is important for interferon-induced transmembrane antiviral activity. PMID: 28594571
- ZMPSTE24 is an important element for innate host defense against a broad spectrum of pathogenic viruses. PMID: 28246125
- This case demonstrates that accumulation of prelamin A, independent of the loss of function of ZMPSTE24 metallopeptidase that catalyzes processing of prelamin A, can cause a progeroid disorder and that a cell biology assay could be used in precision medicine to identify a potential therapy. PMID: 27034136
- used a fluorogenic assay of the activity of purified ZMPSTE24 to demonstrate that HIV protease inhibitors directly inhibit the human enzyme in a manner indicative of a competitive mechanism PMID: 27774687
- the present study suggests that inhibition of ZMPSTE24 by both mutational and expressional pathways might together play a role in tumorigenesis of colorectal cancer and gastric cancer harboring microsatellite instability phenotype. PMID: 27729169
- results establish that the substrate profile of Ste24p is broader than anticipated, being more similar to that of the M16A protease family than that of the Rce1p CAAX protease with which it has been functionally associated PMID: 27129777
- ZMPSTE24 downregulation is a major contributor in VSMC dysfunctions resulting from LMNA mutations or PI treatments that could translate in early atherosclerosis at the clinical level. PMID: 26724531
- Here, we report on a familial c.50delA (p.Lys17Serfs*21) mutation of the ZMPSTE24 gene, causing RD in two siblings. PMID: 26379196
- complete loss-of-function of ZMPSTE24 leads to RD, whereas other less severe phenotypes are associated with at least one haploinsufficient allele. PMID: 24169522
- miR-141-3p, which is overexpressed during senescence as a result of epigenetic regulation, is able to decrease ZMPSTE24 expression levels, and leads to an upregulation of prelamin A in human mesenchymal stem cells. PMID: 24101728
- These data implicate copper as an important factor in promoting prostate cancer cell invasion and indicate that the selective posttranslational activation of ZMP-mediated protein shedding might play a role in this process. PMID: 22936788
- Laminopathy-associated mutations predicted to reduce ZMPSTE24 activity map to the zinc metalloprotease peptide-binding site and to the bottom of the chamber. PMID: 23539603
- Characterization of disease causing mutations in the ZMPSTE24 gene, residual proteolytic activity correlates with disease severity. PMID: 22718200
- A report of a novel and a previously reported homozygous null mutation in ZMPSTE24 in two newborns with restrictive dermopathy. PMID: 21108632
- Three of 87 patients with metabolic syndrome carry a heterozygous mutation in LMNA or in ZMPSTE24. PMID: 21724554
- In patients with mandibuloacral dysplasia due to ZMPSTE24 mutations, the onset of disease manifestations such as thin skin and micrognathia occurs as early as 5 months of age. PMID: 20814950
- Data show that mandibuloacral dysplasia associated with ZMPSTE24 mutations has a more severe phenotype than that associated with lamin A mutations. PMID: 20550970
- ZMPSTE24 mutations are associated with dermopathy. PMID: 20635340
- study reports on two brothers affected with restrictive dermopathy; compound heterozygous frameshifting mutations were identified in exon 1 (c.50delA) and exon 5 (c.584_585delAT) of the ZMPSTE24 gene PMID: 20101687
- results suggest that LMNA, ZMPSTE24, and LBR sequence variations are not major genetic determinants involved in scleroderma pathogenesis PMID: 19645629
- A premature termination codon mutation in the gene ZMPSTE24 leads to loss of expression of Lamin A as well as abnormal patterns of nuclear sizes and shapes. PMID: 15317753
- RNA interference of FACE1 protease results in a halt of cell division and accumulation of prelamin A. PMID: 15671064
- loss causes autosomal recessive restrictive dermopathy PMID: 15843403
- Restrictive dermopathy is an autosomal recessive laminopathy caused by inactivating ZMPSTE24 mutations that result in defective processing and nuclear accumulation of prelamin A. PMID: 16297189
- Accumulation of multiple forms of lamin A with down-regulation of FACE-1 suppresses growth in senescent cells. PMID: 17352743
- darunavir does not inhibit the biochemical activity of ZMPSTE24, nor does it lead to an accumulation of farnesyl-prelamin A in cells. PMID: 18230615
- ZMPSTE24 deficiency results in accumulation of farnesylated prelamin A, which may be responsible for cellular toxicity and the MAD phenotype. PMID: 18435794
- inhibition of the prelamin A endoprotease ZMPSTE24 mostly elicits accumulation of full-length prelamin A in its farnesylated form, while loss of the prelamin A cleavage site causes accumulation of carboxymethylated prelamin A in progeria cells. PMID: 19351612
- glu231X mutation of ZMPSTE24 found in unrelated families with diagnosis of restrictive dermopathy and perhaps specific to India PMID: 19383993
- ZMPSTE24 performs a critical endoproteolytic cleavage step that removes the hydrophobic farnesyl-modified tail of prelamin A. we discuss the discovery of mammalian ZMPSTE24 & review the unexpected connection between ZMPSTE24 and premature aging[review] PMID: 19453269
顯示更多
收起更多
-
相關疾?。?/div>Mandibuloacral dysplasia with type B lipodystrophy (MADB); Lethal tight skin contracture syndrome (LTSCS)亞細胞定位:Endoplasmic reticulum membrane; Multi-pass membrane protein. Nucleus inner membrane; Multi-pass membrane protein.蛋白家族:Peptidase M48A family組織特異性:Widely expressed. High levels in kidney, prostate, testis and ovary.數據庫鏈接:
Most popular with customers
-
-
YWHAB Recombinant Monoclonal Antibody
Applications: ELISA, WB, IHC, IF, FC
Species Reactivity: Human, Mouse, Rat
-
-
-
-
-
-















