YWHAH Antibody
-
中文名稱:YWHAH兔多克隆抗體
-
貨號:CSB-PA02174A0Rb
-
規格:¥440
-
圖片:
-
Western blot
All lanes: YWHAH antibody at 2µg/ml + Mouse spleen tissue
Secondary
Goat polyclonal to rabbit IgG at 1/10000 dilution
Predicted band size: 29 kDa
Observed band size: 29 kDa -
Western Blot
Positive WB detected in: HepG2 whole cell lysate, Mouse kidney tissue, Mouse brain tissue, Mouse thymus tissue
All lanes: YWHAH antibody at 4.5µg/ml
Secondary
Goat polyclonal to rabbit IgG at 1/50000 dilution
Predicted band size: 29 kDa
Observed band size: 29 kDa -
Immunohistochemistry of paraffin-embedded human prostate tissue using CSB-PA02174A0Rb at dilution of 1:20
-
IHC image of CSB-PA02174A0Rb diluted at 1:400 and staining in paraffin-embedded human skeletal muscle tissue performed on a Leica BondTM system. After dewaxing and hydration, antigen retrieval was mediated by high pressure in a citrate buffer (pH 6.0). Section was blocked with 10% normal goat serum 30min at RT. Then primary antibody (1% BSA) was incubated at 4°C overnight. The primary is detected by a biotinylated secondary antibody and visualized using an HRP conjugated SP system.
-
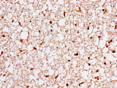
IHC image of CSB-PA02174A0Rb diluted at 1:400 and staining in paraffin-embedded human brain tissue performed on a Leica BondTM system. After dewaxing and hydration, antigen retrieval was mediated by high pressure in a citrate buffer (pH 6.0). Section was blocked with 10% normal goat serum 30min at RT. Then primary antibody (1% BSA) was incubated at 4°C overnight. The primary is detected by a biotinylated secondary antibody and visualized using an HRP conjugated SP system.
-
Immunofluorescence staining of Hela cells with CSB-PA02174A0Rb at 1:133, counter-stained with DAPI. The cells were fixed in 4% formaldehyde, permeabilized using 0.2% Triton X-100 and blocked in 10% normal Goat Serum. The cells were then incubated with the antibody overnight at 4°C. The secondary antibody was Alexa Fluor 488-congugated AffiniPure Goat Anti-Rabbit IgG(H+L).
-
-
其他:
產品詳情
-
產品名稱:Rabbit anti-Homo sapiens (Human) YWHAH Polyclonal antibody
-
Uniprot No.:
-
基因名:
-
別名:14 3 3 protein eta antibody; 14-3-3 eta antibody; 14-3-3 protein eta antibody; 1433F_HUMAN antibody; Brain protein 14-3-3; eta isoform antibody; HGNC:12853 antibody; Protein AS1 antibody; Tyrosine 3 monooxygenase/tryptophan 5 monooxygenase activation protein 1 antibody; Tyrosine 3 monooxygenase/tryptophan 5 monooxygenase activation protein eta polypeptide antibody; Tyrosine 3 monooxygenase/tryptophan 5 monooxygenase activation protein; eta isoform antibody; tyrosine 3-monooxygenase/tryptophan 5-monooxygenase activation protein; eta antibody; Tyrosine 3/tryptophan 5 monooxygenase activation protein eta polypeptide antibody; YWHA 1 antibody; YWHA1 antibody; Ywhah antibody
-
宿主:Rabbit
-
反應種屬:Human, Mouse
-
免疫原:Recombinant Human 14-3-3 protein eta protein (4-246AA)
-
免疫原種屬:Homo sapiens (Human)
-
標記方式:Non-conjugated
本頁面中的產品,YWHAH Antibody (CSB-PA02174A0Rb),的標記方式是Non-conjugated。對于YWHAH Antibody,我們還提供其他標記。見下表:
-
克隆類型:Polyclonal
-
抗體亞型:IgG
-
純化方式:>95%, Protein G purified
-
濃度:It differs from different batches. Please contact us to confirm it.
-
保存緩沖液:Preservative: 0.03% Proclin 300
Constituents: 50% Glycerol, 0.01M PBS, PH 7.4 -
產品提供形式:Liquid
-
應用范圍:ELISA, WB, IHC, IF
-
推薦稀釋比:
Application Recommended Dilution WB 1:500-1:2000 IHC 1:20-1:500 IF 1:50-1:200 -
Protocols:
-
儲存條件:Upon receipt, store at -20°C or -80°C. Avoid repeated freeze.
-
貨期:Basically, we can dispatch the products out in 1-3 working days after receiving your orders. Delivery time maybe differs from different purchasing way or location, please kindly consult your local distributors for specific delivery time.
-
用途:For Research Use Only. Not for use in diagnostic or therapeutic procedures.
相關產品
靶點詳情
-
功能:Adapter protein implicated in the regulation of a large spectrum of both general and specialized signaling pathways. Binds to a large number of partners, usually by recognition of a phosphoserine or phosphothreonine motif. Binding generally results in the modulation of the activity of the binding partner. Negatively regulates the kinase activity of PDPK1.
-
基因功能參考文獻:
- Results show that YWHAZ amplification indicates a better survival trend in bladder cancer. Its knockdown promotes both in vitro and in vivo tumorigenesis in bladder cancer and may be a novel biomarker for bladder cancer. PMID: 29512774
- The impact of AKT1 on glucocorticoid receptor (GR)-induced transcriptional activity in cooperation with phospho-serine/threonine-binding protein 14-3-3, was examined. PMID: 27717743
- 14-3-3 eta isoform colocalizes TDP-43 on the coarse granules in the anterior horn cells of patients with sporadic amyotrophic lateral sclerosis. PMID: 27256400
- Extracellular 14-3-3eta activates key signalling cascades and induces factors associated with the pathogenesis of rheumatoid arthritis PMID: 24751211
- This study identified YWHAH significantly associated loci with a biologically plausible role in schizophrenia. PMID: 24507884
- 14-3-3eta may be required for mitotic progression and may be considered as a novel anti-cancer strategy in combination with microtubule inhibitors. PMID: 22562251
- This is the first genetic association study of YWHAH with sporadic Creutzfeldt-Jakob disease populations. PMID: 21739144
- relocation of p33ING1b from the nucleus to the cytoplasm, where the protein is tethered by 14-3-3eta, participates in tumorigenesis and progression in HNSCC PMID: 21432775
- The 14-3-3 eta, beta, gamma and sigma isoforms were negatively expressed in meningioma PMID: 20388496
- phosphorylation of 14-3-3 binding site of myeloid leukemia factor 1 by MADM PMID: 12176995
- Data demonstrate that 14-3-3 proteins are colocalized with Lewy bodies in Parkinson disease, but there was no specific staining for the 14-3-3 eta subunit. PMID: 12480176
- gremlin 1 is overexpressed in human cancers and interacts with YWHAH protein PMID: 16545136
- The association of YWHAH with bipolar disorder in a large sample, consisting of 1211 subjects from 318 nuclear families including 554 affected offspring, was investigated. PMID: 19160447
顯示更多
收起更多
-
蛋白家族:14-3-3 family
-
組織特異性:Expressed mainly in the brain and present in other tissues albeit at lower levels.
-
數據庫鏈接:
Most popular with customers
-
-
YWHAB Recombinant Monoclonal Antibody
Applications: ELISA, WB, IHC, IF, FC
Species Reactivity: Human, Mouse, Rat
-
Phospho-YAP1 (S127) Recombinant Monoclonal Antibody
Applications: ELISA, WB, IHC
Species Reactivity: Human
-
-
-
-
-















