YWHAG Antibody
-
中文名稱:YWHAG兔多克隆抗體
-
貨號:CSB-PA026288LA01HU
-
規格:¥440
-
圖片:
-
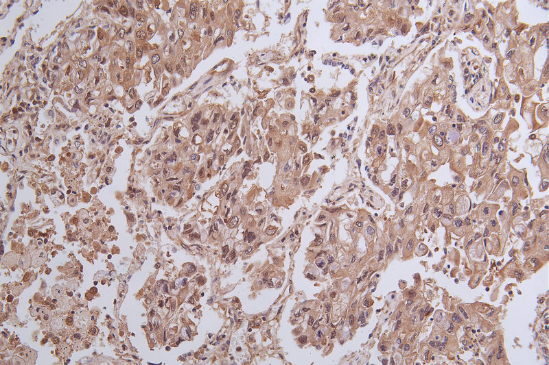
Immunohistochemistry of paraffin-embedded human lung cancer using CSB-PA026288LA01HU at dilution of 1:100
-
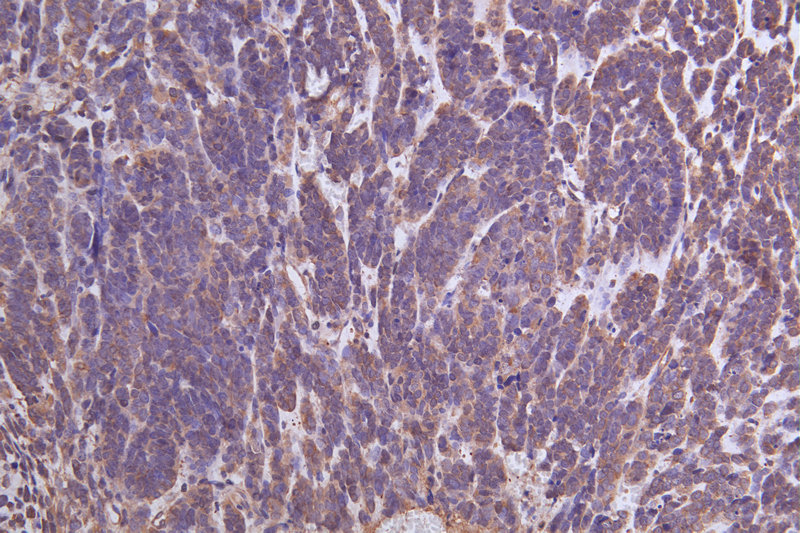
Immunohistochemistry of paraffin-embedded human ovarian cancer using CSB-PA026288LA01HU at dilution of 1:100
-
Western Blot
Positive WB detected in: Mouse brain tissue, A431 whole cell lysate, Human placenta tissue
All lanes: YWHAG antibody at 1:2000
Secondary
Goat polyclonal to rabbit IgG at 1/50000 dilution
Predicted band size: 29 kDa
Observed band size: 29 kDa -
Western Blot
Positive WB detected in: Hela whole cell lysate, Jurkat whole cell lysate, NIH/3T3 whole cell lysate, U251 whole cell lysate, K562 whole cell lysate, Rat brain tissue
All lanes: YWHAG antibody at 1:2000
Secondary
Goat polyclonal to rabbit IgG at 1/50000 dilution
Predicted band size: 29 kDa
Observed band size: 29 kDa -
Immunoprecipitating YWHAG in NIH/3T3 whole cell lysate
Lane 1: Rabbit control IgG instead of CSB-PA026288LA01HU in NIH/3T3 whole cell lysate.For western blotting, a HRP-conjugated Protein G antibody was used as the secondary antibody (1/2000)
Lane 2: CSB-PA026288LA01HU (5μg) + NIH/3T3 whole cell lysate (500μg)
Lane 3: NIH/3T3 whole cell lysate (20μg) -
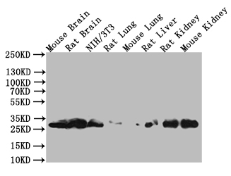
Western Blot
Positive WB detected in: Mouse Brain tissue lysate,Rat Brain tissue lysate,NIH/3T3 whole cell lysate, Rat Lung tissue lysate,Mouse Lung tissue lysate,Rat Liver tissue lysate,Rat Kidney tissue lysate,Mouse Kidney tissue lysate
All lanes: YWHAG antibody at 1:1000
Secondary
Goat polyclonal to rabbit IgG at 1/50000 dilution
Predicted band size: 28.3 kDa
Observed band size: 28kDa -
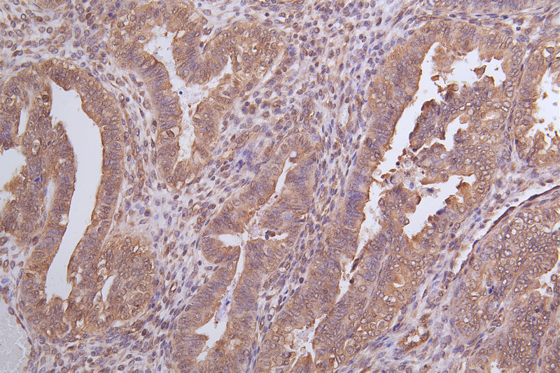
Immunohistochemistry of paraffin-embedded human endometrial cancer using CSB-PA026288LA01HU at dilution of 1:100
-
-
其他:
產品詳情
-
產品描述:
The YWHAG antibody is a polyclonal antibody produced in a rabbit. Following immunization with the recombinant human 14-3-3 protein gamma protein (113-194aa), the rabbit yielded ample antibodies against the target immunogen as a result of the induced immune response. The YWHAG polyclonal antibody was harvested after the collected rabbit serum was protein G affinity chromatography purified. The purity of this antibody is 95%+.
This YWHAG antibody can be used for the detection of the human, rat, and mouse YWHAG proteins in ELISA, WB, IHC, and IP applications. The target protein YWHAG, also known as 14-3-3 protein gamma, binds to several kinases and phosphatases, modulating their activity, stability, and subcellular localization. It also participates in transcription, cell cycle regulation, and apoptosis.
-
產品名稱:Rabbit anti-Homo sapiens (Human) YWHAG Polyclonal antibody
-
Uniprot No.:
-
基因名:
-
別名:14 3 3 gamma antibody; 14 3 3 protein gamma antibody; 14 3 3 protein gamma subtype antibody; 14 3 3gamma antibody; 14-3-3 protein gamma antibody; 1433G_HUMAN antibody; 3 monooxygenase/tryptophan 5 monooxgenase activation protein gamma polypeptide antibody; KCIP 1 antibody; KCIP-1 antibody; KCIP1 antibody; N-terminally processed antibody; Protein kinase C inhibitor protein 1 antibody; Tyrosine 3 monooxygenase/tryptophan 5 monooxygenase activation protein gamma polypeptide antibody; Ywhag antibody
-
宿主:Rabbit
-
反應種屬:Human, Mouse, Rat
-
免疫原:A synthesized peptide derived from human 14-3-3 gamma
-
免疫原種屬:Homo sapiens (Human)
-
標記方式:Non-conjugated
本頁面中的產品,YWHAG Antibody (CSB-PA026288LA01HU),的標記方式是Non-conjugated。對于YWHAG Antibody,我們還提供其他標記。見下表:
-
克隆類型:Polyclonal
-
抗體亞型:IgG
-
純化方式:Affinity-chromatography
-
濃度:It differs from different batches. Please contact us to confirm it.
-
保存緩沖液:Rabbit IgG in 10mM phosphate buffered saline , pH 7.4, 150mM sodium chloride, 0.05% BSA, 0.02% sodium azide and 50% glycerol.
-
產品提供形式:Liquid
-
應用范圍:ELISA, WB, IHC, IP
-
推薦稀釋比:
Application Recommended Dilution WB 1:500-1:5000 IHC 1:20-1:200 IP 1:200-1:2000 -
Protocols:
-
儲存條件:Upon receipt, store at -20°C or -80°C. Avoid repeated freeze.
-
貨期:Basically, we can dispatch the products out in 1-3 working days after receiving your orders. Delivery time maybe differs from different purchasing way or location, please kindly consult your local distributors for specific delivery time.
-
用途:For Research Use Only. Not for use in diagnostic or therapeutic procedures.
相關產品
靶點詳情
-
功能:Adapter protein implicated in the regulation of a large spectrum of both general and specialized signaling pathways. Binds to a large number of partners, usually by recognition of a phosphoserine or phosphothreonine motif. Binding generally results in the modulation of the activity of the binding partner.
-
基因功能參考文獻:
- 14-3-3gamma protein directly interacts with the kinase domain of CaMKK2 and the region containing the inhibitory phosphorylation site Thr(145) within the N-terminal extension. CaMKK isoforms differ in their 14-3-3-mediated regulations and the interaction between 14-3-3 protein and the N-terminal 14-3-3-binding motif of CaMKK2 might be stabilized by small-molecule compounds. PMID: 29649512
- Findings indicate the roles and molecular mechanisms of 14-3-3GAMMA protein (14-3-3gamma) in epithelial-mesenchymal transition (EMT), migration, and neoplasm invasion. PMID: 29848704
- Study demonstrated a mechanism by which 14-3-3gamma restricts centrosome duplication to once per cell cycle, by inhibiting cdc25C and cdk1 activation resulting in decrease phosphorylation of T199 in NPM1. Also, loss of 14-3-3gamma causes centrosome over-duplication, centrosome clustering and tumor formation in mice. PMID: 27253419
- Study identified 14-3-3gamma as a binding partner for segment a of ANO1 and enhanced the surface expression of ANO1. In addition, its gene silencing of 14-3-3gamma inhibited migration and invasion of these glioblastoma cell lines. PMID: 27212225
- These results suggest that a major role of 14-3-3gamma in desmosome assembly is to transport PG to the cell border leading to the initiation of desmosome formation. PMID: 29253567
- hypermethylation of the 14-3-3 gene promoter accounts for the decreased 14-3-3 gamma in uterine leiomyomas and that such a low level of expression may be involved in the pathogenesis of leiomyomas PMID: 27100507
- MiR-217 directly targeted 3'UTR of YWHAG and suppressed the expression of YWHAG. PMID: 28126486
- Data indicate angiopoietin-like 4 (ANGPTL4) as a key player that coordinates an increase in cellular energy flux crucial for EMT via an ANGPTL4/14-3-3gamma signaling axis. PMID: 28745316
- 14-3-3gamma regulates the differentiation ability of CPNE1 through the binding with C2A domain of CPNE1 in HiB5 cells. PMID: 28412242
- YWHAG de novo mutations cause early onset epilepsy, including epileptic encephalopathies and intellectual disability. PMID: 28777935
- Study found that the overexpression of 14-3-3gamma in utero in the developing mouse cortex results in delays in pyramidal neuron migration. PMID: 27288018
- The present study revealed the tumor suppressive role of miR-509-5p in non-small cell lung cancer (NSCLC) by targeting YWHAG, suggesting that miR-509-5p/YWHAG axis might be considered as a novel and potential target for clinical diagnosis and therapeutics of NSCLC. PMID: 27894843
- 14-3-3 protein expression was quantitatively analyzed in cerebrospinal fluid of 231 sporadic Creutzfeldt-Jakob disease and 2035 control patients. PMID: 25947081
- Data suggest that miR-181b-3p functions as a metastasis activator by promoting Snail-induced epithelial-mesenchymal transition in breast cancer cells by directly targeting YWHAG. PMID: 27102539
- Loss of p53 function may result in upregulation of 14-3-3gamma in lung cancers PMID: 25384678
- Changes for CRMP2, TCP1epsilon, TPM2 and 14-3-3gamma were confirmed in experimental tumors and in a series of 28 human SI-NETs. PMID: 25224486
- These results showed that the cell surface expression of TRPM4 channels is mediated by 14-3-3gamma binding. PMID: 25047048
- Proteomics analysis show that Ser40 of TH protein does not significantly contribute to the binding of 14-3-3gamma, and rather has reduced accessibility in the TH:14-3-3gamma complex. PMID: 24947669
- physiological changes in phosphate anions concentration can modulate affinity and specificity of interaction of 14-3-3 with its multiple targets and therefore the actual phosphointeractome of 14-3-3. PMID: 23977325
- High 14-3-3gamma expression was seen in 59.5% of non-small cell lung cancers. PMID: 24870749
- miR-141/YWHAG and miR-520e/RAB11A are two potential miRNA/protein target pairs associated with severe obesity. PMID: 22537031
- The normalisation capability of 14-3-3 gamma was superior to traditional LC in quantifying Western blot signals of the platelet AD-biomarker Monoamine Oxidase B of patient versus controls. PMID: 24284060
- 14-3-3gamma was induced in B cells by T-dependent and T-independent primary CSR-inducing stimuli in vitro. PMID: 23851690
- The region surrounding pSer19 of Tyrosine hydroxylase adopts an extended conformation in the 14-3-3gamma-bound state, whereas adopts a bent conformation when free in solution. PMID: 24055376
- Mitotic Plk1 activity is regulated not only by Plk1-Thr210 phosphorylation, but also by Plk1 binding to 14-3-3gamma following Plk1-Ser99 phosphorylation downstream of the PI3K-Akt signalling pathway. PMID: 23695676
- high 14-3-3gamma expression is associated with poor survival in NPC patients. Thus, this study has identified that the 14-3-3gamma involves in the carcinogenesis of NPC. PMID: 23500129
- Increased expression of 14-3-3gamma in breast cancer is associated significantly with tumor progression and poor prognosis. PMID: 22658894
- The peripheral binding of 14-3-3gamma to membranes involves isoform-specific histidine residues. PMID: 23189152
- Using individual amino acid substitutions within the 14-3-3gamma VRII, we identified two residues required for and two contributing to the gamma-specific phenotypes. PMID: 23115241
- 14-3-3gamma protein binds strongly to long DNA targets and shows very strong preference for supercoiled DNA. PMID: 22856523
- hypoxia can activate p53 through inactivation of MDMX by the ATR-Chk1-MDMX-14-3-3gamma pathway. PMID: 22556425
- description of a protein complex that mediates carrier formation and contains budding and fission molecules, as well as other molecules, such as the adaptor protein 14-3-3gamma PMID: 22366688
- Increased expression of 14-3-3 gamma in lung cancer coincides with loss of functional p53. PMID: 21867493
- results support that membrane binding involves the non-conserved, convex area of 14-3-3gamma, and that Trp residues do not intercalate in the bilayer. PMID: 21420405
- a new role for 14-3-3gamma in protecting p21 from MDMX-mediated proteasomal turnover, which may partially account for DNA damage-induced elevation of p21 levels independent of p53. PMID: 21148311
- data do not exclude the possibility that YWHAG loss of function is also sufficient to cause neurological phenotypes PMID: 21109226
- Elevated expression of 14-3-3gamma in human hepatocellular carcinoma predicts extrahepatic metastasis and worse survival PMID: 20870266
- 14-3-3 protein gamma forms a complex with Checkpoint kinase 1 phosphorylated at Ser296, but not at ATR sites (Ser317 and Ser345). PMID: 20639859
- Abundant level of the phosphorylated FOXO1, its impaired nucleocytoplasmic shuttling, and the lowered expression of 14-3-3 protein in leiomyoma induces a shift in the cellular machinery toward a prosurvival execution program. PMID: 19772960
- 14-3-3 eta, beta, gamma and sigma isoforms were negatively expressed in meningioma. PMID: 20388496
- Zebrafish gene knockdowns imply roles for human YWHAG in infantile spasms and cardiomegaly. PMID: 20146355
- Aberrant expression of signaling-related proteins 14-3-3 gamma and RACK1 in fetal Down syndrome brain (trisomy 21). PMID: 11824616
- 14-3-3 suppresses importin alpha/beta-dependent nuclear localization of Thr157-phosphorylated p27, suggesting implications for cell cycle disorder in Akt-activated cancer cells. PMID: 15057270
- multiple interactions of AICD with FE65 and 14-3-3gamma modulate FE65-dependent gene transactivation PMID: 16223726
- Interaction of human 14-3-3gamma with the small heat shock protein Hsp20 was analyzed by means of size-exclusion chromatography and chemical crosslinking. PMID: 17109079
- Both single marker and haplotype analyses were negative for the Ywhag gene association with smoking initiation and nicotine dependence. PMID: 17284169
- our data indicate that 14-3-3gamma may contribute to tumorigenesis by promoting genomic instability. PMID: 17394238
- Detection of only 2 (14-3-3 eta and gamma) out of 7 different isoforms in synovial fluid suggests they are specific to the site of joint inflammation PMID: 17611984
- Report reduced expression of 14-3-3 gamma in uterine leiomyoma as identified by proteomics. PMID: 18054924
- human 14-3-3gamma binds to the ERK1/2 molecular scaffold KSR1, which is mediated by the C-terminal stretch of 14-3-3gamma PMID: 18426801
顯示更多
收起更多
-
亞細胞定位:Cytoplasm.
-
蛋白家族:14-3-3 family
-
組織特異性:Highly expressed in brain, skeletal muscle, and heart.
-
數據庫鏈接:
Most popular with customers
-
YWHAB Recombinant Monoclonal Antibody
Applications: ELISA, WB, IHC, IF, FC
Species Reactivity: Human, Mouse, Rat
-
Phospho-YAP1 (S127) Recombinant Monoclonal Antibody
Applications: ELISA, WB, IHC
Species Reactivity: Human
-
-
-
-
-
-















