YBX1 Antibody
-
中文名稱:YBX1兔多克隆抗體
-
貨號:CSB-PA992754
-
規格:¥1100
-
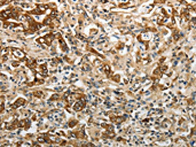
圖片:
-
The image on the left is immunohistochemistry of paraffin-embedded Human brain tissue using CSB-PA992754(YBX1 Antibody) at dilution 1/15, on the right is treated with synthetic peptide. (Original magnification: ×200)
-
The image on the left is immunohistochemistry of paraffin-embedded Human gastric cancer tissue using CSB-PA992754(YBX1 Antibody) at dilution 1/15, on the right is treated with synthetic peptide. (Original magnification: ×200)
-
-
其他:
產品詳情
-
Uniprot No.:
-
基因名:YBX1
-
別名:BP 8 antibody; CBF-A antibody; CCAAT binding transcription factor I subunit A antibody; CCAAT-binding transcription factor I subunit A antibody; CSDA2 antibody; CSDB antibody; DBPB antibody; DNA binding protein B antibody; DNA-binding protein B antibody; EFI-A antibody; Enhancer factor I subunit A antibody; MDR NF1 antibody; MGC104858 antibody; MGC110976 antibody; MGC117250 antibody; NSEP 1 antibody; NSEP1 antibody; Nuclease sensitive element binding protein 1 antibody; Nuclease-sensitive element-binding protein 1 antibody; p50 antibody; Q15905 antibody; Y-box binding protein 1 antibody; Y-box transcription factor antibody; Y-box-binding protein 1 antibody; YB 1 antibody; YB-1 antibody; YBOX1_HUMAN antibody; YBX 1 antibody; ybx1 antibody
-
宿主:Rabbit
-
反應種屬:Human,Mouse,Rat
-
免疫原:Synthetic peptide of Human YBX1
-
免疫原種屬:Homo sapiens (Human)
-
標記方式:Non-conjugated
-
抗體亞型:IgG
-
純化方式:Antigen affinity purification
-
濃度:It differs from different batches. Please contact us to confirm it.
-
保存緩沖液:-20°C, pH7.4 PBS, 0.05% NaN3, 40% Glycerol
-
產品提供形式:Liquid
-
應用范圍:ELISA,IHC
-
推薦稀釋比:
Application Recommended Dilution ELISA 1:2000-1:5000 IHC 1:25-1:100 -
Protocols:
-
儲存條件:Upon receipt, store at -20°C or -80°C. Avoid repeated freeze.
-
貨期:Basically, we can dispatch the products out in 1-3 working days after receiving your orders. Delivery time maybe differs from different purchasing way or location, please kindly consult your local distributors for specific delivery time.
-
用途:For Research Use Only. Not for use in diagnostic or therapeutic procedures.
相關產品
靶點詳情
-
功能:DNA- and RNA-binding protein involved in various processes, such as translational repression, RNA stabilization, mRNA splicing, DNA repair and transcription regulation. Predominantly acts as a RNA-binding protein: binds preferentially to the 5'-[CU]CUGCG-3' RNA motif and specifically recognizes mRNA transcripts modified by C5-methylcytosine (m5C). Promotes mRNA stabilization: acts by binding to m5C-containing mRNAs and recruiting the mRNA stability maintainer ELAVL1, thereby preventing mRNA decay. Component of the CRD-mediated complex that promotes MYC mRNA stability. Contributes to the regulation of translation by modulating the interaction between the mRNA and eukaryotic initiation factors. Plays a key role in RNA composition of extracellular exosomes by defining the sorting of small non-coding RNAs, such as tRNAs, Y RNAs, Vault RNAs and miRNAs. Probably sorts RNAs in exosomes by recognizing and binding C5-methylcytosine (m5C)-containing RNAs. Acts as a key effector of epidermal progenitors by preventing epidermal progenitor senescence: acts by regulating the translation of a senescence-associated subset of cytokine mRNAs, possibly by binding to m5C-containing mRNAs. Also involved in pre-mRNA alternative splicing regulation: binds to splice sites in pre-mRNA and regulates splice site selection. Also able to bind DNA: regulates transcription of the multidrug resistance gene MDR1 is enhanced in presence of the APEX1 acetylated form at 'Lys-6' and 'Lys-7'. Binds to promoters that contain a Y-box (5'-CTGATTGGCCAA-3'), such as MDR1 and HLA class II genes. Promotes separation of DNA strands that contain mismatches or are modified by cisplatin. Has endonucleolytic activity and can introduce nicks or breaks into double-stranded DNA, suggesting a role in DNA repair. The secreted form acts as an extracellular mitogen and stimulates cell migration and proliferation.
-
基因功能參考文獻:
- The study establishes YBX1 as a posttranscriptional effector required for maintenance of epidermal homeostasis. PMID: 29712925
- Phosphorylation of nuclear YB-1 after stimulation with epidermal growth factor is associated with nuclear accumulation of p90 ribosomal S6 kinase but not of YB-1. PMID: 30126195
- this study identifies a novel lncRNA termed lncRNA-AWPPH which is highly expressed in hepatocellular carcinoma (HCC), indicates poor prognosis of HCC patients, and promotes HCC cell proliferation, migration, and in vivo tumor growth and metastasis via a novel regulatory mechanism of interacting with YBX1. PMID: 28428004
- YB-1 regulates miR-155 expression via c-Myb in the laryngeal squamous cell carcinoma.Laryngeal squamous cell carcinoma patients with high YB-1 expression showed poor overall survival. PMID: 29517281
- infiltrating CD4 + T cells promoted TGFbeta1 expression in both renal cell carcinoma and T cells and regulated renal cell carcinoma cells proliferation via modulating TGFbeta1/YBX1/ HIF2alpha signals PMID: 29289594
- structural basis of the interactions between YB-1 and mRNAs carrying the aforementioned motifs PMID: 29133115
- YB-1 silencing sensitized SH-SY5Y cells to cisplatin and promoted the apoptosis induced by cisplatin due to down-regulation of multidrug resistance (MDR) 1 protein via NF-kappaB signaling pathway. PMID: 28382490
- These results suggest that extracellular vesicles and exosomes could play a role in the purging and intercellular transfer of excess free RNAs, including full-length transfer RNAs and other small noncoding RNAs. PMID: 29073095
- YB-1 promoted lung adenocarcinoma growth and progression in vitro and in vivo through directly binding to the MACC1 promoter and enhancing MACC1/c-Met pathway. PMID: 28624808
- Data indicate that YB-1 translocates to the nucleus coordinately with p53 expression and is involved in gemcitabine resistance in bladder cancer suggesting that nuclear expression of YB-1 is important for resistance to chemotherapy including gemcitabine in TP53-mutated bladder cancer. PMID: 28714514
- Results show that YBX1 expression is regulated by TP53TG1 which binds to YBX1 promoter and prevents its nuclear localization. PMID: 27821766
- Kindlin-2 is up-regulated in glioma cells and acts as an oncogene. It is an independent risk factor for poor prognosis. The Kindlin-2/YB-1/beta-catenin complex promotes EGFR transcription and contributes to glioma progression. Kindlin-2 is a potential diagnostic and prognostic marker in glioma, and inhibition of Kindlin-2 may be a novel strategy for glioma treatment. PMID: 27713156
- Results showed that YB-1 promoted hepatocellular carcinoma (HCC) cell proliferation, migration and colony formation. Also, YB-1 was found to increased drug resistance in HCC. These findings suggested that YB-1 was a key factor in HCC tumorigenesis and maintained the HCC initiating cell population. PMID: 27911878
- Furthermore, use of both indirubin 3'-oxime and actinomycin D in combination increased the anticancer effect on HepG2 cells. Indirubin 3'-oxime is a novel and efficient inhibitor of anticancer agent-induced YB-1 nuclear translocation. PMID: 29274785
- It would appear that YB-1 could regulate cell invasion and migration via downregulation of its indirect target coronin-1C. The association between YB-1 and coronin-1C offers a novel approach by which metastasis of breast cancer cells could be targeted and abrogated. PMID: 28302118
- Inhibition of YBX1 suppressed lung cancer growth partly via the CDC25a pathway and high expression of YBX1/CDC25a predicts poor prognosis in human lung adenocarcinoma. PMID: 27384875
- The long noncoding RNA CAR intergenic 10 bound and stabilized transcription factor Y-box-binding protein 1 (YB-1), leading to up-regulation of the epidermal growth factor receptor (EGFR) and proliferation of lung cancer cells. PMID: 27322209
- Results firstly reported that YB-1 whose mRNA expression is regulated by HPV18 E6 promotes epithelial-mesenchymal transition and progression of cervical cancer via enhancing the expressions of Snail. PMID: 28708785
- YB-1 localization was significantly altered in the nuclei of tumor blasts derived from bone marrow or peripheral blood. PMID: 28009354
- Two interacting partners of urokinase-type plasminogen activator (uPA) receptor, the cysteine-rich angiogenic inducer 61 (Cyr61) and the Y-box-binding protein 1 (YB-1) were identified and their differential expression demonstrated in the triple-negative breast cancer (TNBC) cells as well as in tumors. PMID: 27286449
- No other significant associations between clinical prognostic factors and YB-1/p18 serum levels were detected. PMID: 27371774
- Data suggest that oncogenic Y-box binding protein 1 (YB-1) indirectly enhances transforming growth factor beta (TGFbeta) signaling cascades via Sma/Mad related protein 2 (Smad2)phospho-activation and may represent a promising factor for future diagnosis and therapy of breast cancer. PMID: 29187452
- High YBX1 expression is associated with invasion in nasopharyngeal carcinoma. PMID: 29024700
- TCTP interacted with Y-box-binding protein 1 (YBX1), and their interaction was localized to the N-terminal region of TCTP and the 1-129 amino acid (aa) residues of YBX1. The interaction of TCTP with YBX1 might cooperate or coordinate their functions in the control of diverse regulatory pathways in cancer cells. PMID: 27607350
- YB-1 expression promotes pancreatic cancer metastasis that is inhibited by microRNA-216a. PMID: 28782557
- findings point to YB-1 and NSUN2 as possible mediators of the process of transfer of specific mRNAs into exosomes, allowing us to speculate on an involvement of these proteins in the mRNA sorting via the recognition of the above motifs PMID: 28341602
- YB-1 is induced by Shh in CGNPs PMID: 26725322
- FOXO3a nuclear expression was inversely correlated with YB-1 nuclear expression in prostate cancer tissues. PMID: 27699813
- these findings define a mechanism of drug resistance through which YBX1 contributes to antiestrogen bypass in breast cancer cells PMID: 27879270
- High YB1 expression is associated with Cisplatin Resistance in Gastric Cancer. PMID: 27013200
- Collectively, these findings demonstrate a novel role of YBX1 in maintaining the stemness of CSCs and metastasis, unveiling YBX1 as promising therapeutic target for NSCLC treatments. PMID: 28400280
- These studies reveal the functional role of YB-1 in the Angiogenin-mediated stress response program. PMID: 27174937
- Together, these results indicate that transportin-1 mediates YB-1 nuclear translocation. PMID: 27794479
- YB-1 is a novel binding factor for hypoxia-responsive elements that participates in fine-tuning of the hypoxia transcriptome. PMID: 27524241
- The long noncoding RNA highly up-regulated in liver cancer (HULC) promotes the phosphorylation of YB-1 through the extracellular signal-regulated kinase pathway, in turn regulates the interaction of YB-1 with certain oncogenic mRNAs, and consequently accelerates the translation of these mRNAs in the process of tumorigenesis. PMID: 28027578
- glycosylated-YB-1 mainly enhanced cell proliferation through congenerous actions with YB-1 phosphorylation and thus played indispensable roles in fine-tuning cell proliferation PMID: 27751836
- Silencing of YB-1 could sensitize DLBCL cells to mitoxantrone and overcome cell adhesion-mediated drug resistance (CAM-DR) phenotype in an AKT-dependent manner. PMID: 27397581
- these data suggest that C1QBP could regulate YBX1 to suppress the AR-enhanced RCC cell invasion. Targeting this newly identified C1QBP/YBX1/AR/MMP9 signal pathway may provide a new potential therapy to better suppress RCC metastasis. PMID: 28107702
- Tumor growth and liver metastasis formation were significantly suppressed in nude mice after implantation of YB-1-silenced PDAC cells, and the YB-1 targeting antisense oligonucleotide significantly inhibited the growth of subcutaneous tumors. PMID: 26939718
- we propose a model whereby high YB-1 levels in some TNBC cells can lead to reduced levels of EGR1, which in turn promotes slow cell cycling and resistance to PTX. Therefore YB-1 and EGR1 levels are biologically linked and may provide a biomarker for TNBC response to PTX. PMID: 27072400
- LL37 induced YB1 expression, and increased tumor cell proliferation, migration and invasion of A375 and A875 malignant melanoma cell lines. PMID: 27922666
- Down-regulation of miR-137 conferred OXA resistance in parental cells, while over-expression of miR-137 sensitized resistant cells to OXA, which was partly rescued by YBX1 siRNA. PMID: 28035913
- suggests that selective inhibition of translation of YB-1 mRNA, and probably some other mRNAs as well, by mTOR kinase inhibitors is not mediated by the action of the 4E-binding protein upon functions of the 4F-group translation initiation factors PMID: 26931209
- Cytoplasmic expression of YB-1 was associated with more aggressive tumor and poor overall survival in breast cancer. PMID: 26193840
- High-grade nuclear YB-1 expression was detected in 62.9% of colorectal cancer cases and was found to be an independent predictor of poorer overall survival and relapse-free survival. PMID: 27354655
- Study shows that DeltaNp63alpha controls YB-1 protein stability suggesting that DeltaNp63alpha/YB-1 cross talk is relevant for survival of basal keratinocytes in stratified epithelia. PMID: 27168020
- These findings demonstrate the oncogenic roles of YB-1 in esophageal squamous cell carcinoma (ESCC) and support it as a target for ESCC therapy. PMID: 27044807
- Immunofluorescence staining was used to detect the levels of YB-1 in the cytoplasm and the nucleus, and results indicated that the intracellular distribution was significantly associated with the pathological grade of glioma PMID: 26936129
- Results show that high GOLPH3 and nuclear/cytoplasmic YB-1 expression correlated with a poor prognosis in patients with prostate cancer. PMID: 26794392
- Data suggest that poly(ADP-ribosyl)ation of YB-1 (multifunctional Y-box binding protein 1) is catalyzed by PARP1 [poly(ADP-ribose)polymerase 1] and can be up-regulated by damaged DNA. PMID: 26453809
顯示更多
收起更多
-
亞細胞定位:Cytoplasm. Nucleus. Cytoplasmic granule. Secreted. Secreted, extracellular exosome.
-
數據庫鏈接:
Most popular with customers
-
-
YWHAB Recombinant Monoclonal Antibody
Applications: ELISA, WB, IHC, IF, FC
Species Reactivity: Human, Mouse, Rat
-
Phospho-YAP1 (S127) Recombinant Monoclonal Antibody
Applications: ELISA, WB, IHC
Species Reactivity: Human
-
-
-
-
-















