XBP1 Antibody
-
中文名稱:XBP1兔多克隆抗體
-
貨號:CSB-PA027191
-
規格:¥1100
-
圖片:
-
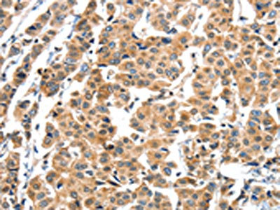
The image on the left is immunohistochemistry of paraffin-embedded Human breast cancer tissue using CSB-PA027191(XBP1 Antibody) at dilution 1/60, on the right is treated with fusion protein. (Original magnification: ×200)
-
The image on the left is immunohistochemistry of paraffin-embedded Human thyroid cancer tissue using CSB-PA027191(XBP1 Antibody) at dilution 1/60, on the right is treated with fusion protein. (Original magnification: ×200)
-
-
其他:
產品詳情
-
Uniprot No.:
-
基因名:
-
別名:Tax responsive element binding protein 5 antibody; Tax-responsive element-binding protein 5 antibody; TREB5 antibody; X box binding protein 1 antibody; X box binding protein 2 antibody; X-box-binding protein 1 antibody; XBP 1 antibody; XBP-1 antibody; XBP1 antibody; XBP1_HUMAN antibody; XBP2 antibody
-
宿主:Rabbit
-
反應種屬:Human
-
免疫原:Fusion protein of Human XBP1
-
免疫原種屬:Homo sapiens (Human)
-
標記方式:Non-conjugated
-
抗體亞型:IgG
-
純化方式:Antigen affinity purification
-
濃度:It differs from different batches. Please contact us to confirm it.
-
保存緩沖液:-20°C, pH7.4 PBS, 0.05% NaN3, 40% Glycerol
-
產品提供形式:Liquid
-
應用范圍:ELISA,IHC
-
推薦稀釋比:
Application Recommended Dilution ELISA 1:2000-1:5000 IHC 1:50-1:200 -
Protocols:
-
儲存條件:Upon receipt, store at -20°C or -80°C. Avoid repeated freeze.
-
貨期:Basically, we can dispatch the products out in 1-3 working days after receiving your orders. Delivery time maybe differs from different purchasing way or location, please kindly consult your local distributors for specific delivery time.
-
用途:For Research Use Only. Not for use in diagnostic or therapeutic procedures.
相關產品
靶點詳情
-
功能:Functions as a transcription factor during endoplasmic reticulum (ER) stress by regulating the unfolded protein response (UPR). Required for cardiac myogenesis and hepatogenesis during embryonic development, and the development of secretory tissues such as exocrine pancreas and salivary gland. Involved in terminal differentiation of B lymphocytes to plasma cells and production of immunoglobulins. Modulates the cellular response to ER stress in a PIK3R-dependent manner. Binds to the cis-acting X box present in the promoter regions of major histocompatibility complex class II genes. Involved in VEGF-induced endothelial cell (EC) proliferation and retinal blood vessel formation during embryonic development but also for angiogenesis in adult tissues under ischemic conditions. Functions also as a major regulator of the UPR in obesity-induced insulin resistance and type 2 diabetes for the management of obesity and diabetes prevention.; Plays a role in the unconventional cytoplasmic splicing processing of its own mRNA triggered by the endoplasmic reticulum (ER) transmembrane endoribonuclease ENR1: upon ER stress, the emerging XBP1 polypeptide chain, as part of a mRNA-ribosome-nascent chain (R-RNC) complex, cotranslationally recruits its own unprocessed mRNA through transient docking to the ER membrane and translational pausing, therefore facilitating efficient IRE1-mediated XBP1 mRNA isoform 2 production. In endothelial cells (EC), associated with KDR, promotes IRE1-mediated XBP1 mRNA isoform 2 productions in a vascular endothelial growth factor (VEGF)-dependent manner, leading to EC proliferation and angiogenesis. Functions as a negative feed-back regulator of the potent transcription factor XBP1 isoform 2 protein levels through proteasome-mediated degradation, thus preventing the constitutive activation of the ER stress response signaling pathway. Inhibits the transactivation activity of XBP1 isoform 2 in myeloma cells. Acts as a weak transcriptional factor. Together with HDAC3, contributes to the activation of NFE2L2-mediated HMOX1 transcription factor gene expression in a PI(3)K/mTORC2/Akt-dependent signaling pathway leading to EC survival under disturbed flow/oxidative stress. Binds to the ER stress response element (ERSE) upon ER stress. Binds to the consensus 5'-GATGACGTGFunctions as a stress-inducible potent transcriptional activator during endoplasmic reticulum (ER) stress by inducing unfolded protein response (UPR) target genes via binding to the UPR element (UPRE). Up-regulates target genes encoding ER chaperones and ER-associated degradation (ERAD) components to enhance the capacity of productive folding and degradation mechanism, respectively, in order to maintain the homeostasis of the ER under ER stress. Plays a role in the production of immunoglobulins and interleukin-6 in the presence of stimuli required for plasma cell differentiation. Induces phospholipid biosynthesis and ER expansion. Contributes to the VEGF-induced endothelial cell (EC) growth and proliferation in a Akt/GSK-dependent and/or -independent signaling pathway, respectively, leading to beta-catenin nuclear translocation and E2F2 gene expression. Promotes umbilical vein EC apoptosis and atherosclerotisis development in a caspase-dependent signaling pathway, and contributes to VEGF-induced EC proliferation and angiogenesis in adult tissues under ischemic conditions. Involved in the regulation of endostatin-induced autophagy in EC through BECN1 transcriptional activation. Plays a role as an oncogene by promoting tumor progression: stimulates zinc finger protein SNAI1 transcription to induce epithelial-to-mesenchymal (EMT) transition, cell migration and invasion of breast cancer cells. Involved in adipocyte differentiation by regulating lipogenic gene expression during lactation. Plays a role in the survival of both dopaminergic neurons of the substantia nigra pars compacta (SNpc), by maintaining protein homeostasis and of myeloma cells. Increases insulin sensitivity in the liver as a response to a high carbohydrate diet, resulting in improved glucose tolerance. Improves also glucose homeostasis in an ER stress- and/or insulin-independent manner through both binding and proteasome-induced degradation of the transcription factor FOXO1, hence resulting in suppression of gluconeogenic genes expression and in a reduction of blood glucose levels. Controls the induction of de novo fatty acid synthesis in hepatocytes by regulating the expression of a subset of lipogenic genes in an ER stress- and UPR-independent manner. Associates preferentially to the HDAC3 gene promoter region in a disturbed flow-dependent manner. Binds to the BECN1 gene promoter region. Binds to the CDH5/VE-cadherin gene promoter region. Binds to the ER stress response element (ERSE) upon ER stress. Binds to the 5'-CCACG-3' motif in the PPARG promoter.
-
基因功能參考文獻:
- XBP1s can act as a master regulator of N-glycan maturation. PMID: 30305426
- that XBP1 splicing can regulate eNOS expression and cellular location, leading to EC migration and therefore contributing to wound healing and angiogenesis PMID: 29352987
- Data indicated that NPY plays a protective role in ER stress-induced neuronal cell death through activation of the PI3K-XBP1 pathway. PMID: 29650257
- XBP1 is a potential target that is relevant to suppressing cell invasion. PMID: 29916547
- a novel XBP1s/Twist/Snail axis mediates epithelial-mesenchymal transition in hepatocellular carcinoma (HCC) cells and the invasion and metastasis of HCC. PMID: 29627568
- urinary levels of the spliced X-box binding protein 1 (sXBP1) mRNA as a proxy of inositol-requiring enzyme 1alpha (IRE1alpha) activity because sXBP1 is absolutely sensitive and specific for endoplasmic reticulum stress. PMID: 29276149
- Decreased mRNA levels for IRE1alpha, XBP-1 and GRP78 can be partially explained by hypermethylation of their promoters and is consistent with chronic endoplasmic reticulum stress, which may explain the glandular dysfunction observed in LSGs of SS patients. PMID: 29534223
- XBP1-mediated unfolded protein response contributes to fibrogenic hepatic stellate cells activation and is functionally linked to cellular autophagy. PMID: 27996033
- Amyloid beta oligomers modulate BACE1 through an XBP-1-dependent pathway involving HRD1. PMID: 27853315
- XBP1 splicing in SMCs can control EC migration via SMC derived EVs-mediated miR-150 transfer. PMID: 27338006
- XBP1s transcriptionally activated Kalirin-7 (Kal7), a protein that controls synaptic plasticity. Authors found reduced levels of Kal7 in primary neurons exposed to Abeta oligomers, transgenic mouse models and human AD brains. PMID: 27646263
- XBP1 decreased glucose dysfunction via funneling its effects on improving insulin sensitivity and stimulating insulin secretion. However, XBP1 also yields its double-edged effects, driving the transformation from excess glucose to lipid, which is a key contribution to obesity and Diabetes Mellitus, Type 2. [review] PMID: 27356931
- IRE1alpha-XBP1 pathway regulates Mel-RMu cell proliferation and progression by activating IL-6/STAT3 signaling. PMID: 28222747
- XBP1 expression correlated with the poor overall survival of patients; XBP1-mediated beta-catenin bladder cancer expression can be targeted with new synthetic Oridonin analogues PMID: 27472396
- Data suggest a central role of XBP1 in TLR7-induced IFNalpha production and identify XBP1 as a potential novel therapeutic target in IFNalpha-driven autoimmune and inflammatory diseases. PMID: 28408069
- the XBP1u nascent chain is transferred from the signal recognition particle to the translocon; however, it cannot pass through the translocon or insert into the membrane. PMID: 27651490
- The biologic processes altered by aberrant IRE1alpha-XBP1 signaling in these innate immune cells. PMID: 26979393
- MiR-665 induced apoptosis by inhibiting XBP1 and ORMDL3. PMID: 28333149
- IRE1alpha was shown to cleave miR-150 and thereby to release the suppressive effect that miR-150 exerted on alphaSMA expression through c-Myb. Inhibition of IRE1alpha was also demonstrated to block endoplasmic reticulum expansion through an XBP-1-dependent pathway. PMID: 27226027
- mTORC2 responds to glutamine catabolite levels to modulate the hexosamine biosynthesis enzyme GFAT1, and is essential for proper expression and nuclear accumulation of the GFAT1 transcriptional regulator, Xbp1s. PMID: 27570073
- we identify a positive feedback regulatory loop consisting of XBP1 and NCOA3 that maintains high levels of NCOA3 and XBP1 expression in breast cancer tissues. PMID: 27109102
- The findings indicate that IRE1-XBP1 downregulation distinguishes germinal center B-cell-like diffuse large B-cell lymphoma (DLBCL) from other DLBCL subtypes and contributes to tumor growth. PMID: 28167662
- XBP1 does not act as a direct activator of STAT3 phosphorylation. Hence, in regenerating livers, XBP1 deficiency most likely affects STAT3 phosphorylation in an indirect manner, possibly related to unresolved ER stress. PMID: 28082079
- reciprocal regulation of Pin1 and XBP1s is associated with the activation of oncogenic pathways, and the relationship of PIN1 and XBP1 may be an attractive target for novel therapy in cancers PMID: 27334111
- Our data indicate that reduced response of IRE1alpha/Xbp-1 signaling pathway to bortezomib may contribute to drug resistance in myeloma cells PMID: 27647225
- XBP1s expression in mouse and human fibroblasts is critical for TiAl6 V4 particle-induced RANKL expression and osteolysis PMID: 26403762
- XBP1s might play a role in the pathogenesis of retinal degenerative diseases. PMID: 28099966
- The molecular-level exploration into the signaling mechanism was investigated for the respective role of the residues from the two important proteins from Homo sapiens ERalpha and XBP-1 (bZIP domain)) for breast tumors metastasis via proliferation. It further dealt with the analysis and examination of the changes that are caused due to the point mutation K214R in the ERalpha protein. PMID: 28111258
- plasma exposure resulted in expression of unfolded protein response (UPR) proteins such as glucoserelated protein 78 (GRP78), protein kinase R (PKR)like ER kinase (PERK), and inositolrequiring enzyme 1 (IRE1). Elevated expression of spliced Xbox binding protein 1 (XBP1) and CCAAT/enhancerbinding protein homologous protein (CHOP) further confirmed that ROS generatedby NTGP induces apoptosis through the ER stress PMID: 27573888
- Data suggest that XBP1 is a major component in endocrine pancreas that is crucial for glucose homeostasis and lipid metabolism; drugs targeting XBP1 signaling and endoplasmic reticulum stress/unfolded protein response in endocrine pancreas are potential approaches for treatment of disorders of glucose metabolism. PMID: 26803729
- High XBP1 expression is associated with glioma. PMID: 26680227
- Overexpression of X-Box Binding Protein 1 (XBP1) Correlates to Poor Prognosis and Up-Regulation of PI3K/mTOR in Human Osteosarcoma PMID: 26633383
- Overexpression of XBP1 is associated with breast cancer. PMID: 26517687
- An RNA-intrinsic conformational change causes the intron of XBP1 mRNA to be ejected and the exons to zipper up into an extended stem, juxtaposing the RNA ends for ligation; These conformational rearrangements are important for XBP1 mRNA splicing in vivo PMID: 26483401
- Our results reveal that IRE1alpha-XBP1 pathway plays an important role in tumor progression and epithelial-to-mesenchymal transition (EMT), and IRE1alpha could be employed as a novel prognostic marker and a promising therapeutic target for CRC. PMID: 26742428
- Silencing of IRE1 expression inhibited splicing of XBP1 resulting in an early onset of cell death. In the PERK-reporter cells, authors observed that a slow rate of ATF4-translation and late re-initiation of general translation PMID: 25633195
- these findings suggest a possible mechanism underlying the RANKL expression induced by wear particles in fibroblasts, and downregulating ER stress and the XBP1s expression of fibroblasts PMID: 26112372
- the present study provides initial evidence that RITA upregulates the expression level of IRE1a by increasing the stability of IRE1alpha mRNA in irradiated mtp53-expressing cervical cancer cells PMID: 26134873
- review of the IRE1alpha-XBP1 branch of the unfolded protein response in human diseases [review] PMID: 25986851
- These results provide evidence that XBP-1s is a direct activator of Kaposi's sarcoma-associated herpesvirus vIL-6 and that this is an important step in the pathogenesis of KSHV-Castleman disease and primary effusion lymphoma. PMID: 26491160
- XBP-1 is required for cytokine production by inflamed human airway epithelia. Read More: http://www.atsjournals.org/doi/full/10.1164/rccm.201504-0657OC#.VwqgNdLrvyA PMID: 26331676
- Data (including data from studies in transgenic/knockout mice) suggest insulin secretion in beta-cells is up-regulated in hyperglycemia via IRE1a- (inositol requiring enzyme 1 alpha)-mediated changes in XBP1 (X-box binding protein 1) mRNA splicing. PMID: 26469762
- High XBP1 expression is associated with colorectal cancer cell invasion. PMID: 25692573
- Ire1alpha's key substrate, XBP1u mRNA, is recruited to the Ire1alpha-Sec61 translocon complex through its nascent chain, which contains a pseudo-transmembrane domain to utilize the signal recognition particle-mediated pathway. PMID: 25993558
- The study supports a role for -116C/G polymorphism of the XBP1 promoter in the pathogenesis of T2D in a Chinese Han population PMID: 26299655
- Defective podocyte insulin signaling through p85-XBP1 promotes ATF6-dependent maladaptive ER-stress response in diabetic nephropathy. PMID: 25754093
- we found that RACK1 was overexpressed in three human HCC cell lines and in HCC samples. Activation of the IRE1/XBP1 signaling pathway plays a protective role when HCC cells encounter endoplasmic reticulum (ER) stress due to in vitro sorafenib treatment. PMID: 25901709
- our results represent the first work demonstrating that GCN5 and PCAF exhibit different functions and antagonistically regulate the XBP-1S-mediated transcription. PMID: 25426559
- GPR43 expression is reduced in monocytes upon siRNA-knockdown of XBP1, while A549 cells overexpressing XBP1 displayed elevated GPR43 levels. PMID: 25633224
- The modest activation of the unfolded protein response pathway enables myeloma cells to further differentiate via the action of XBP-1. PMID: 24356728
顯示更多
收起更多
-
相關疾?。?/div>Major affective disorder 7 (MAFD7)亞細胞定位:Endoplasmic reticulum.; [Isoform 1]: Nucleus. Cytoplasm. Endoplasmic reticulum membrane; Single-pass type II membrane protein. Endoplasmic reticulum membrane; Peripheral membrane protein. Membrane; Peripheral membrane protein.; [Isoform 2]: Nucleus. Cytoplasm.; [X-box-binding protein 1, cytoplasmic form]: Cytoplasm. Nucleus.蛋白家族:BZIP family組織特異性:Expressed in plasma cells in rheumatoid synovium. Over-expressed in primary breast cancer and metastatic breast cancer cells. Isoform 1 and isoform 2 are expressed at higher level in proliferating as compared to confluent quiescent endothelial cells.數據庫鏈接:
Most popular with customers
-
-
YWHAB Recombinant Monoclonal Antibody
Applications: ELISA, WB, IHC, IF, FC
Species Reactivity: Human, Mouse, Rat
-
Phospho-YAP1 (S127) Recombinant Monoclonal Antibody
Applications: ELISA, WB, IHC
Species Reactivity: Human
-
-
-
-
-















