WISP2 Antibody
-
中文名稱:WISP2兔多克隆抗體
-
貨號:CSB-PA026120LA01HU
-
規格:¥440
-
圖片:
-
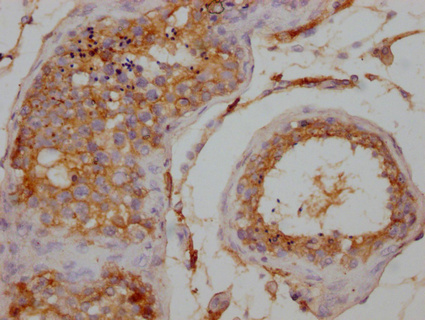
IHC image of CSB-PA026120LA01HU diluted at 1:200 and staining in paraffin-embedded human testis tissue performed on a Leica BondTM system. After dewaxing and hydration, antigen retrieval was mediated by high pressure in a citrate buffer (pH 6.0). Section was blocked with 10% normal goat serum 30min at RT. Then primary antibody (1% BSA) was incubated at 4°C overnight. The primary is detected by a Goat anti-rabbit IgG labeled by HRP and visualized using 0.05% DAB.
-
-
其他:
產品詳情
-
產品名稱:Rabbit anti-Homo sapiens (Human) WISP2 Polyclonal antibody
-
Uniprot No.:
-
基因名:WISP2
-
別名:CCN family member 5 antibody; CCN5 antibody; Connective tissue growth factor like protein antibody; Connective tissue growth factor related protein 58 antibody; Connective tissue growth factor-like protein antibody; Connective tissue growth factor-related protein 58 antibody; CT58 antibody; CTGF L antibody; CTGF-L antibody; WISP 2 antibody; WISP-2 antibody; Wisp2 antibody; WISP2_HUMAN antibody; Wnt 1 signaling pathway protein 2 antibody; WNT1 inducible signaling pathway protein 2 antibody; WNT1-inducible-signaling pathway protein 2 antibody
-
宿主:Rabbit
-
反應種屬:Human
-
免疫原:Recombinant Human WNT1-inducible-signaling pathway protein 2 protein (24-250AA)
-
免疫原種屬:Homo sapiens (Human)
-
標記方式:Non-conjugated
本頁面中的產品,WISP2 Antibody (CSB-PA026120LA01HU),的標記方式是Non-conjugated。對于WISP2 Antibody,我們還提供其他標記。見下表:
-
克隆類型:Polyclonal
-
抗體亞型:IgG
-
純化方式:>95%, Antigen Affinity purified & Affinity purified
-
濃度:It differs from different batches. Please contact us to confirm it.
-
保存緩沖液:Preservative: 0.03% Proclin 300
Constituents: 50% Glycerol, 0.01M PBS, pH 7.4 -
產品提供形式:Liquid
-
應用范圍:ELISA, IHC
-
推薦稀釋比:
Application Recommended Dilution IHC 1:200-1:500 -
Protocols:
-
儲存條件:Upon receipt, store at -20°C or -80°C. Avoid repeated freeze.
-
貨期:Basically, we can dispatch the products out in 1-3 working days after receiving your orders. Delivery time maybe differs from different purchasing way or location, please kindly consult your local distributors for specific delivery time.
-
用途:For Research Use Only. Not for use in diagnostic or therapeutic procedures.
相關產品
靶點詳情
-
功能:May play an important role in modulating bone turnover. Promotes the adhesion of osteoblast cells and inhibits the binding of fibrinogen to integrin receptors. In addition, inhibits osteocalcin production.
-
基因功能參考文獻:
- The authors show that, in triple-negative-breast cancer (TNBC) cells enriched with tumor initiating cells, CCN5 significantly blocks cellular growth via apoptosis, reversing epithelial-mesenchymal-transition-signaling and impairing mammosphere formation, thereby blocking the tumor-forming ability and invasive capacity of these cells. PMID: 28450698
- by analyzing different estrogen receptor-alpha(ER-a)-positive and ER-a-negative breast cancer cell lines, we defined the role of CCN5 in the leptin-mediated regulation of growth and invasive capacity. PMID: 29370782
- CCN3 (Nov) and CCN5 (WISP2) are novel substrates of MMP14. PMID: 27471094
- Results show that WISP2 and beta-catenin were more highly expressed in gastric cancer tissues and seem to correlate with early stage or without metastasis. PMID: 28739741
- Report opposing effects of CCN2 and CCN5 on fibroblast proliferation and transdifferentiation induced by TGF-beta. PMID: 26218313
- Serum WISP2 correlated directly with fatty acid binding protein 4. Serum SFRP5 did not differ between obese (n=32) vs. nonobese (n=25) PCOS women, but reference women had lower SFRP5 (p<5x10(-6) as compared to both PCOS groups). PMID: 25089371
- Activation of CCN5 may have the therapeutic potential to kill triple-negative breast cancer. PMID: 25132260
- WISP2 has a role in regulating tumor cell susceptibility through EMT by inducing the TGF-beta signaling pathway, KLF-4 expression and miR-7 inhibition. PMID: 24931170
- The obtained results indicate that the changes in gene expression in bone marrow progenitor cells can be involved into space flight-induced osteopenia. PMID: 25509878
- overexpression of FGFBP1 or loss of WISP-2 expression is closely related to the metastasis, invasion and poor prognosis of gallbladder cancer. PMID: 23592278
- Loss of WISP2 in estrogen-dependent MCF7 human breast cancer cells promotes a stem-like cell phenotype. PMID: 24498388
- We demonstrate that the overexpression of CCN5 in lung fibroblasts suppresses the upregulation in the expression of alpha-SMA and collagen induced by CCN2. PMID: 24276150
- WISP2 exerts dual actions in mesenchymal precursor cells; secreted WISP2 activates canonical WNT and maintains the cells in an undifferentiated state, whereas cytosolic WISP2 regulates adipogenic commitment. PMID: 24451367
- Regulation of invasion by WISP2 may involve the WNT signalling pathway. PMID: 23893926
- WISP2 regulates preadipocyte commitment and PPARgamma activation by BMP4. PMID: 23359679
- WISP2 gene expression is regulated both by obesity and by the region between visceral and subcutaneous adipose tissue. PMID: 22616691
- Studies suggest a novel regulatory pathway exists through which CCN5 exerts its anti-invasive function. PMID: 22020939
- CCN5 represses expression of genes associated with epithelial-mesenchymal transition (EMT) as well as expression of key components of the transforming growth factor beta (TGF-beta) signaling pathway. PMID: 21262769
- The CCN5/WISP2 were downregulated in paired comparisons of plexiform neurofibroma and malignant peripheral nerve sheath tumor. PMID: 20010302
- Overexpression of WISP2 is associated with breast cancer PMID: 11855747
- disruption of WISP-2 signaling by use of antisense oligomers caused a significant reduction in breast tumor cell proliferation PMID: 12659671
- WISP2 was overexpressed in gastrointestinal peptide-independent ACTH-independent macronodular adrenal hyperplasia. PMID: 14767469
- regulation of phosphorylation of ER-alpha and EGFR may play critical roles in EGF-induced transcriptional activation of WISP-2 gene in breast tumor cells PMID: 15798095
- These data demonstrate that the expression of WISP2 is synergistically upregulated in RA synovial fibroblasts by estrogen and WNT pathways, and suggest an involvement in the pathology of the disease. PMID: 16038875
- Results suggest that WISP-2 could be a reliable independent marker and that down-regulation or loss of the WISP-2 gene may be associated with the development of salivary gland tumors. PMID: 16525711
- WISP-2/CCN5 is a novel signaling molecule that critically participates in the mitogenic action of PMA on noninvasive, WISP-2/CCN5-positive breast tumor cells through PKCalpha-dependent, multiple molecular signal transduction pathways. PMID: 16939222
- Data suggest WISP-2/CCN5 silencing may be a critical event during differentiation and progression of pancreatic adenocarcinoma. PMID: 17383817
- WISP-2 had greater levels of expression in node-positive tumors; higher levels in both moderate and poor prognostic groups compared with the good prognostic group; greater level in both grade 2 and 3 when compared with grade 1. PMID: 17406949
- WISP-2/CCN5 is an important regulator involved in the maintenance of a differentiated phenotype in breast tumor epithelial cells and may play a role in tumor cell invasion and metastasis PMID: 18070926
- Loss of CCN5 is associated with gain of oncogenic function of p53 mutants invasiveness in breast cancer PMID: 18559502
- CCN5 mRNA and protein level was almost undetectable in poorly differentiated breast cancers compared with the moderately or well-differentiated samples and its expression inversely correlated with lymph node positivity. PMID: 18794149
顯示更多
收起更多
-
亞細胞定位:Secreted.
-
蛋白家族:CCN family
-
組織特異性:Expressed in primary osteoblasts, fibroblasts, ovary, testes, and heart.
-
數據庫鏈接:
Most popular with customers
-
YWHAB Recombinant Monoclonal Antibody
Applications: ELISA, WB, IHC, IF, FC
Species Reactivity: Human, Mouse, Rat
-
Phospho-YAP1 (S127) Recombinant Monoclonal Antibody
Applications: ELISA, WB, IHC
Species Reactivity: Human
-
-
-
-
-
-















