VANGL1 Antibody
-
中文名稱:VANGL1兔多克隆抗體
-
貨號:CSB-PA698804
-
規格:¥1100
-
圖片:
-
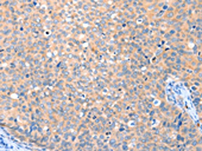
The image on the left is immunohistochemistry of paraffin-embedded Human cervical cancer tissue using CSB-PA698804(VANGL1 Antibody) at dilution 1/20, on the right is treated with fusion protein. (Original magnification: ×200)
-
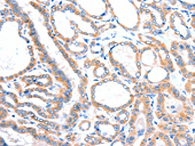
The image on the left is immunohistochemistry of paraffin-embedded Human thyroid cancer tissue using CSB-PA698804(VANGL1 Antibody) at dilution 1/20, on the right is treated with fusion protein. (Original magnification: ×200)
-
Gel: 8%SDS-PAGE, Lysate: 40 μg, Lane: Hela cells, Primary antibody: CSB-PA698804(VANGL1 Antibody) at dilution 1/250, Secondary antibody: Goat anti rabbit IgG at 1/8000 dilution, Exposure time: 5 seconds
-
-
其他:
產品詳情
-
Uniprot No.:
-
基因名:
-
別名:VANGL1; STB2; Vang-like protein 1; Loop-tail protein 2 homolog; LPP2; Strabismus 2; Van Gogh-like protein 1
-
宿主:Rabbit
-
反應種屬:Human,Mouse
-
免疫原:Fusion protein of Human VANGL1
-
免疫原種屬:Homo sapiens (Human)
-
標記方式:Non-conjugated
-
抗體亞型:IgG
-
純化方式:Antigen affinity purification
-
濃度:It differs from different batches. Please contact us to confirm it.
-
保存緩沖液:-20°C, pH7.4 PBS, 0.05% NaN3, 40% Glycerol
-
產品提供形式:Liquid
-
應用范圍:ELISA,WB,IHC
-
推薦稀釋比:
Application Recommended Dilution ELISA 1:1000-1:2000 WB 1:200-1:1000 IHC 1:25-1:100 -
Protocols:
-
儲存條件:Upon receipt, store at -20°C or -80°C. Avoid repeated freeze.
-
貨期:Basically, we can dispatch the products out in 1-3 working days after receiving your orders. Delivery time maybe differs from different purchasing way or location, please kindly consult your local distributors for specific delivery time.
-
用途:For Research Use Only. Not for use in diagnostic or therapeutic procedures.
相關產品
靶點詳情
-
基因功能參考文獻:
- High KITENIN expression is associated with cholangiocarcinoma. PMID: 29366806
- VANGL1 gene is not associated with Adolescent Idiopathic Scoliosis in the Chinese population PMID: 29189642
- two rare missense mutations in VANGL1, encoding a receptor involved in WNT/PCP signaling, may be associated with Adolescent Idiopathic Scoliosis PMID: 27755493
- Study provides evidence that KITENIN functions in the maintenance of a higher expression level of ErbB4 in advanced colorectal cancer tissues, independent of ubiquitin-mediated degradation via Nrdp1. PMID: 27648936
- We first propose the use of a DNA biosensor to detect the missense single nucleotide polymorphism (rs4839469 c.346G>A p.Ala116Thr) of the vangl1 gene PMID: 26914375
- a novel and ultrasensitive sandwich-type immunosensor was fabricated to detect Vangl in human serum using C60-templated AuPt as labels and rGO-TEPA-PTC-NH2 as the platform. PMID: 26735870
- Results found that KITENIN is associated with tumor progression by enhancing angiogenesis in colorectal cancer. PMID: 26496979
- Authors silenced VANGL1 gene expression in the HepG2 HCC cell line by stable transfection with a vector containing siRNA template for VANGL1 and investigated the change in cell invasion and motility. PMID: 25874746
- High levels of KITENIN increased glioma invasiveness and progression, and are associated with the up-regulation of EMT and stemness markers. PMID: 25605251
- The rs4839469 allele of VANGL1 was obviously associated with neural tube defects (NTDs). And genotype GC increased the risk of NTDs, changes in the three-dimensional protein structure may have impacted its biological functions. PMID: 24407469
- VANGL1 mutations are associated with neural tube defects. PMID: 25208524
- Elevated KITENIN expression is associated with drug resistance in colorectal cancer. PMID: 24893630
- Findings identify that KITENIN-targeting miR-124, miR-27a, and miR-30b function as endogenous inhibitors of colorectal cancer cell motility and demonstrate that miR-124 plays a suppressor role in colorectal tumorigenesis. PMID: 24909917
- The results show that the Vangl1 amino terminus lacks PM targeting determinants, and these are restricted to the carboxy terminus, including the predicted PDZBM motif at the C-terminus PMID: 24452931
- KITENIN is associated with tumor invasiveness and metastasis in human oral cavity squamous cell carcinoma. PMID: 22840317
- NOS1AP colocalizes with both SCRIB and VANGL1 along cellular protrusions in metastatic breast cancer cells, but does not colocalize with either SCRIB or VANGL1 at cell junctions in normal breast cells PMID: 22179838
- KITENIN is associated with human colorectal cancer progression including invasion and metastasis. PMID: 21418393
- a compact membrane-associated portion with very short predicted extra- and intracellular loops, while the protein harbors a large intracellular domain PMID: 21291170
- This study demonstrates a high degree of functional conservation of VANGL genes across evolution and provides a model system for studying potential variants identified in human neural tube defects. PMID: 20043994
- KITENIN plays an important role in human gastric cancer progression by AP-1 activation. PMID: 20944126
- Molecular cloning and characterization of Strabismus 2 PMID: 11956595
- VANGL protein may serve as an effector mediating the intestinal trefoil factor (ITF) healing response of the intestinal mucosa. PMID: 16410243
- In a protein-protein interaction assay V239I abolished interaction of VANGL1 protein with its binding partners, disheveled-1, -2, and -3. These findings implicate VANGL1 as a risk factor in human neural-tube defects. PMID: 17409324
- VANGL1 increases invasion and migration of mouse squamous cancer cells and promotes pulmonary metastasis in a mouse squamous tumor model. PMID: 19166844
- role of VANGL1 as a risk factor in the development of spinal neural tube defects PMID: 19319979
顯示更多
收起更多
-
相關疾病:Neural tube defects (NTD); Sacral defect with anterior meningocele (SDAM)
-
亞細胞定位:Cell membrane; Multi-pass membrane protein.
-
蛋白家族:Vang family
-
組織特異性:According to PubMed:11956595, ubiquitously expressed. According to PubMed:12011995, expressed specifically in testis and ovary.
-
數據庫鏈接:
Most popular with customers
-
-
YWHAB Recombinant Monoclonal Antibody
Applications: ELISA, WB, IHC, IF, FC
Species Reactivity: Human, Mouse, Rat
-
Phospho-YAP1 (S127) Recombinant Monoclonal Antibody
Applications: ELISA, WB, IHC
Species Reactivity: Human
-
-
-
-
-















