UBE2J2 Antibody
-
中文名稱:UBE2J2兔多克隆抗體
-
貨號:CSB-PA843143ESR2HU
-
規格:¥440
-
圖片:
-
Western blot
All lanes: Ubiquitin-conjugating enzyme E2 J2 antibody at 5μg/ml
Lane 1: HepG2 whole cell lysate
Lane 2: Rat small intestine tissue
Secondary
Goat polyclonal to rabbit IgG at 1/10000 dilution
Predicted band size: 29, 25, 31 kDa
Observed band size: 29 kDa -
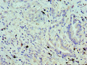
Immunohistochemistry of paraffin-embedded human breast cancer using CSB-PA843143ESR2HU at dilution of 1:100
-
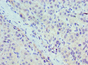
Immunohistochemistry of paraffin-embedded human liver cancer using CSB-PA843143ESR2HU at dilution of 1:100
-
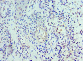
Immunohistochemistry of paraffin-embedded human lung cancer using CSB-PA843143ESR2HU at dilution of 1:100
-
-
其他:
產品詳情
-
產品名稱:Rabbit anti-Homo sapiens (Human) UBE2J2 Polyclonal antibody
-
Uniprot No.:
-
基因名:
-
別名:NCUBE-2 antibody; NCUBE2 antibody; Non-canonical ubiquitin-conjugating enzyme 2 antibody; PRO2121 antibody; UB2J2_HUMAN antibody; UBC6 antibody; UBC6 homolog antibody; ube2j2 antibody; Ubiquitin conjugating enzyme 6 antibody; Ubiquitin-conjugating enzyme E2 J2 antibody; Yeast UBC6 homolog antibody
-
宿主:Rabbit
-
反應種屬:Human, Rat
-
免疫原:Recombinant Human Ubiquitin-conjugating enzyme E2 J2 protein (1-230AA)
-
免疫原種屬:Homo sapiens (Human)
-
標記方式:Non-conjugated
-
克隆類型:Polyclonal
-
抗體亞型:IgG
-
純化方式:Antigen Affinity Purified
-
濃度:It differs from different batches. Please contact us to confirm it.
-
保存緩沖液:PBS with 0.02% sodium azide, 50% glycerol, pH7.3.
-
產品提供形式:Liquid
-
應用范圍:ELISA, WB, IHC
-
推薦稀釋比:
Application Recommended Dilution WB 1:500-1:5000 IHC 1:20-1:200 -
Protocols:
-
儲存條件:Upon receipt, store at -20°C or -80°C. Avoid repeated freeze.
-
貨期:Basically, we can dispatch the products out in 1-3 working days after receiving your orders. Delivery time maybe differs from different purchasing way or location, please kindly consult your local distributors for specific delivery time.
-
用途:For Research Use Only. Not for use in diagnostic or therapeutic procedures.
相關產品
靶點詳情
-
功能:Catalyzes the covalent attachment of ubiquitin to other proteins. Seems to function in the selective degradation of misfolded membrane proteins from the endoplasmic reticulum (ERAD).
-
基因功能參考文獻:
- UBE2G2 was crucial for the degradation of various immunoreceptors. UBE2J2, on the other hand, counteracted US2-induced endoplasmic reticulum-associated protein degradation by downregulating TRC8 expression. PMID: 28743740
- Endoplasmic reticulum localization and cis-enzymatic activity play a role in regulating the steady state expression of human Ube2J2, ER localization and cis-enzymatic activity play a role in regulating the steady state expression of human Ube2J2. PMID: 25083800
- analysis of involvement of E2 enzymes in specifying polyubiquitin chain assembly PMID: 20061386
-
亞細胞定位:Endoplasmic reticulum membrane; Single-pass type IV membrane protein.
-
蛋白家族:Ubiquitin-conjugating enzyme family
-
數據庫鏈接:
Most popular with customers
-
-
YWHAB Recombinant Monoclonal Antibody
Applications: ELISA, WB, IHC, IF, FC
Species Reactivity: Human, Mouse, Rat
-
Phospho-YAP1 (S127) Recombinant Monoclonal Antibody
Applications: ELISA, WB, IHC
Species Reactivity: Human
-
-
-
-
-















