UBB Antibody
-
中文名稱:UBB兔多克隆抗體
-
貨號:CSB-PA179850
-
規格:¥1100
-
圖片:
-
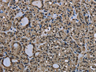
The image on the left is immunohistochemistry of paraffin-embedded Human thyroid cancer tissue using CSB-PA179850(UBB Antibody) at dilution 1/20, on the right is treated with fusion protein. (Original magnification: ×200)
-
The image on the left is immunohistochemistry of paraffin-embedded Human colon cancer tissue using CSB-PA179850(UBB Antibody) at dilution 1/20, on the right is treated with fusion protein. (Original magnification: ×200)
-
Gel: 10%SDS-PAGE, Lysate: 40 μg, Lane 1-5: Mouse pancreas tissue, Hela cells, mouse liver tissue, A549 cells, 293T cells, Primary antibody: CSB-PA179850(UBB Antibody) at dilution 1/500, Secondary antibody: Goat anti rabbit IgG at 1/8000 dilution, Exposure time: 20 seconds
-
-
其他:
產品詳情
-
Uniprot No.:
-
基因名:
-
別名:UBB antibody; UBB_HUMAN antibody; Ubiquitin antibody
-
宿主:Rabbit
-
反應種屬:Human,Mouse,Rat
-
免疫原:Fusion protein of Human UBB
-
免疫原種屬:Homo sapiens (Human)
-
標記方式:Non-conjugated
-
抗體亞型:IgG
-
純化方式:Antigen affinity purification
-
濃度:It differs from different batches. Please contact us to confirm it.
-
保存緩沖液:-20°C, pH7.4 PBS, 0.05% NaN3, 40% Glycerol
-
產品提供形式:Liquid
-
應用范圍:ELISA,WB,IHC
-
推薦稀釋比:
Application Recommended Dilution ELISA 1:2000-1:5000 WB 1:500-1:2000 IHC 1:10-1:25 -
Protocols:
-
儲存條件:Upon receipt, store at -20°C or -80°C. Avoid repeated freeze.
-
貨期:Basically, we can dispatch the products out in 1-3 working days after receiving your orders. Delivery time maybe differs from different purchasing way or location, please kindly consult your local distributors for specific delivery time.
-
用途:For Research Use Only. Not for use in diagnostic or therapeutic procedures.
相關產品
靶點詳情
-
功能:Exists either covalently attached to another protein, or free (unanchored). When covalently bound, it is conjugated to target proteins via an isopeptide bond either as a monomer (monoubiquitin), a polymer linked via different Lys residues of the ubiquitin (polyubiquitin chains) or a linear polymer linked via the initiator Met of the ubiquitin (linear polyubiquitin chains). Polyubiquitin chains, when attached to a target protein, have different functions depending on the Lys residue of the ubiquitin that is linked: Lys-6-linked may be involved in DNA repair; Lys-11-linked is involved in ERAD (endoplasmic reticulum-associated degradation) and in cell-cycle regulation; Lys-29-linked is involved in lysosomal degradation; Lys-33-linked is involved in kinase modification; Lys-48-linked is involved in protein degradation via the proteasome; Lys-63-linked is involved in endocytosis, DNA-damage responses as well as in signaling processes leading to activation of the transcription factor NF-kappa-B. Linear polymer chains formed via attachment by the initiator Met lead to cell signaling. Ubiquitin is usually conjugated to Lys residues of target proteins, however, in rare cases, conjugation to Cys or Ser residues has been observed. When polyubiquitin is free (unanchored-polyubiquitin), it also has distinct roles, such as in activation of protein kinases, and in signaling.
-
基因功能參考文獻:
- This study demonstrated that the Deposition of mutant ubiquitin in parkinsonism-dementia complex of Guam. PMID: 29122008
- The polyubiquitinated forms of the neurodegenerative ubiquitin mutant UBB have been characterized. PMID: 27861798
- The C-terminal five residues of Ub, RLRGG, are responsible for the interaction with the Middle-East respiratory syndrome coronavirus (MERS-CoV) papain-like protease. PMID: 27245450
- A new crystallographic structure of human ubiquitin solved from crystals grown in the presence of magnesium. PMID: 26750481
- Data suggest that both human ubiquitin and HFBII (hydrophobin-II from Trichoderma reesei) exhibit a critical surface hydration level (or effective hydrophobic interface at the surface) at which percolation transition of water network occurs. PMID: 25204743
- UbB was significantly increased in prolonged Trichostatin A-selected HeLa cells and it played a key role in the maintenance of cervical cancer stem-like cells PMID: 24367661
- downregulation of ubiquitin through Ubb-KD is a potential anti-cancer treatment by inhibiting ubiquitination at multiple sites related to oncogenic pathways and by weakening the ability of cancer cells to overcome increased stress. PMID: 24022007
- A significant decrease in amyloid beta deposition and plaque formation suggests a role for the ubiquitin-proteasome system in the amyloid pathology of Alzheimer's disease. PMID: 22797007
- age-dependent accumulation of Ubb(+1) , and how Ubb(+1) -mediated proteasome inhibition may contribute to Alzheimer's disease. [review] PMID: 22082077
- Studies indicate that biomedical research on ubiquitin moves into translational research and drug discovery. PMID: 21544573
- Studies indicate that DUBs recycle ubiquitin by processing polyubiquitin chains to generate free ubiquitin, and can be regulated by ubiquitination or phosphorylation. PMID: 21480003
- analysis of orexin receptor 1 and 2 -arrestin-ubiquitin complexes PMID: 21378163
- The results of this study demonstrated that the UBB mutation caused the subtle defect in spatial reference memory formation, caused by a decrease in forebrain proteasome activity. PMID: 21059367
- Studies indicate that indicating that the inhibition of the ubiquitin-proteasome system could be used as a novel approach for cancer therapy. PMID: 20491623
- Results suggest that the interaction between E2-25K and UBB(+1) is critical for the synthesis and accumulation of UBB(+1)-anchored polyubiquitin, which results in proteasomal inhibition and neuronal cell death. PMID: 20826778
- Molecular misreading of the ubiquitin B gene and hepatic mallory body formation. PMID: 12055595
- expression of UBB+1 causes proteasome inhibition and induces expression of heat-shock proteins; although UBB+1-expressing cells have a compromised ubiquitin-proteasome system, they are protected against oxidative stress PMID: 12871580
- The temporal localization of frame-shift ubiquitin-B and amyloid precursor protein, and complement proteins in the brain of non-demented control patients with increasing Alzheimer's disease pathology. PMID: 12893422
- In sporadic inclusion-body myositis, UBB+1 may be pathogenic by inhibiting proteasome, thereby promoting accumulation of cytotoxic misfolded amyloid-beta and phosphorylated-tau. PMID: 15452314
- UBB+1, a mutant form of ubiquitin was present in the majority of NFTs, whereas co-existence of alpha-synuclein and UBB+1 was found in only a few neurons in cases of combined multiple system atrophy and Alzheimer's disease. PMID: 17237936
- K63-polyubiquitination guards against chemical carcinogenesis by preventing mutagenesis and thus contributing to genomic stability PMID: 17395554
- UBB(+1), at low expression levels, is efficiently degraded by the proteasome, but at high levels, the proteasome failed to degrade UBB(+1), causing its accumulation. PMID: 17405812
- analyse the expression of mutant ubiquitin (UBB+1), in muscle biopsies from patients suffering from myotilinopathy and desminopathy PMID: 17931355
- The expression a mutant human UBB analogous (UB14) in yeast markedly enhanced cellular susceptibility to toxic protein aggregates. PMID: 19214209
顯示更多
收起更多
-
亞細胞定位:[Ubiquitin]: Cytoplasm. Nucleus.
-
蛋白家族:Ubiquitin family
-
數據庫鏈接:
Most popular with customers
-
-
YWHAB Recombinant Monoclonal Antibody
Applications: ELISA, WB, IHC, IF, FC
Species Reactivity: Human, Mouse, Rat
-
Phospho-YAP1 (S127) Recombinant Monoclonal Antibody
Applications: ELISA, WB, IHC
Species Reactivity: Human
-
-
-
-
-















