TXNDC5 Antibody
-
中文名稱:TXNDC5兔多克隆抗體
-
貨號:CSB-PA847679ESR2HU
-
規格:¥440
-
圖片:
-
Western blot
All lanes: TXNDC5 antibody at 5.75µg/ml
Lane 1: HepG2 whole cell lysate
Lane 2: Colo320 whole cell lysate
Lane 3: Mouse brain tissue
Lane 4: Mouse stomach tissue
Secondary
Goat polyclonal to rabbit IgG at 1/10000 dilution
Predicted band size: 48, 37 kDa
Observed band size: 48 kDa -
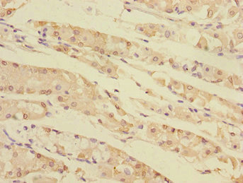
Immunohistochemistry of paraffin-embedded human colon cancer using CSB-PA847679ESR2HU at dilution of 1:100
-
Immunohistochemistry of paraffin-embedded human gastric cancer using CSB-PA847679ESR2HU at dilution of 1:100
-
-
其他:
產品詳情
-
產品名稱:Rabbit anti-Homo sapiens (Human) TXNDC5 Polyclonal antibody
-
Uniprot No.:
-
基因名:
-
別名:EndoPDI antibody; Endoplasmic reticulum protein ERp46 antibody; Endoplasmic reticulum resident protein 46 antibody; Endothelial protein disulphide isomerase antibody; ER protein 46 antibody; ERp46 antibody; Hcc 2 antibody; MGC3178 antibody; PDIA15 antibody; Protein disulfide isomerase family A member 15 antibody; STRF8 antibody; Thioredoxin domain containing 5 (endoplasmic reticulum) antibody; Thioredoxin domain containing 5 antibody; Thioredoxin domain containing protein 5 antibody; Thioredoxin domain-containing protein 5 antibody; Thioredoxin like protein p46 antibody; Thioredoxin related protein antibody; Thioredoxin-like protein p46 antibody; TLP46 antibody; TXND5_HUMAN antibody; TXNDC 5 antibody; Txndc5 antibody
-
宿主:Rabbit
-
反應種屬:Human, Mouse
-
免疫原:Recombinant Human Thioredoxin domain-containing protein 5 protein (1-324AA)
-
免疫原種屬:Homo sapiens (Human)
-
標記方式:Non-conjugated
-
克隆類型:Polyclonal
-
抗體亞型:IgG
-
純化方式:Antigen Affinity Purified
-
濃度:It differs from different batches. Please contact us to confirm it.
-
保存緩沖液:PBS with 0.02% sodium azide, 50% glycerol, pH7.3.
-
產品提供形式:Liquid
-
應用范圍:ELISA, WB, IHC
-
推薦稀釋比:
Application Recommended Dilution WB 1:1000-1:5000 IHC 1:20-1:200 -
Protocols:
-
儲存條件:Upon receipt, store at -20°C or -80°C. Avoid repeated freeze.
-
貨期:Basically, we can dispatch the products out in 1-3 working days after receiving your orders. Delivery time maybe differs from different purchasing way or location, please kindly consult your local distributors for specific delivery time.
-
用途:For Research Use Only. Not for use in diagnostic or therapeutic procedures.
相關產品
靶點詳情
-
功能:Possesses thioredoxin activity. Has been shown to reduce insulin disulfide bonds. Also complements protein disulfide-isomerase deficiency in yeast.
-
基因功能參考文獻:
- Hypoxia induces the expression of TXNDC5 via upregulating HIF-1alpha in colorectal cancer cells. PMID: 29749460
- TXNDC5 is also closely associated with rheumatoid arthritis, diabetes, hepatic steatosis and vitiligo. [review] PMID: 28604976
- High TXNDC5 expression is associated with renal cell carcinoma. PMID: 26810069
- we defined an important role of TXNDC5 in CRPC and further investigations are needed to screen TXNDC5 antagonists as a novel therapeutic approaches to treat PCa patients with Castration-resistant prostate cancer. PMID: 25500540
- Role of ERp46 in oxidative protein folding.Independent actions of ERp46 thioredoxin domains on folding substrates.Structure of thioredoxin ERp46 domains. PMID: 24462249
- suggest that the tumorigenic properties of ERp46 in RCC cells are not related to an inhibitory modulation of AdipoR1 PMID: 24594673
- Endo-PDI is a novel, important mediator of AP-1-driven gene expression and endothelial angiogenic function. PMID: 24103565
- TXNDC5 has increased expression in many tumors that is involved in the proliferation and migration of tumor cells, acting as a tumor-enhancing gene. PMID: 24100949
- results suggest that TXNDC5 polymorphisms could be related to the development of HCC in the Korean male population PMID: 24023338
- Hyperoxidized peroxiredoxin 2 interacts with the protein disulfide- isomerase ERp46. PMID: 23713588
- Hypoxia induced TXCNDC5 expression, which contributed to adiponectin expression, cytokine production and the cellular proliferation and migration of fibroblasts in rheumatoid arthritis. PMID: 23326410
- Authors show that ERp46 is able to bind to a large pool of peptides containing aromatic and basic residues via all three of its catalytic domains (a(0), a and a'), though the a(0) domain may contain the primary binding site. PMID: 23376096
- crystal structure of the third catalytic domain of protein disulfide isomerase ERp46 (also known as protein disulfide isomerase A5 and TXNDC5) was determined to 2.0 A resolution PMID: 22505402
- TXNDC5 has a genetic effect on the risk of rheumatoid arthritis and ankylosing spondylitis PMID: 21801346
- Overexpression of the TXNDC5 protein is associated with non-small cell lung carcinoma. PMID: 21617212
- results suggest that TXNDC5 gene polymorphisms are associated with the development of nonsegmental vitiligo in the Korean population. PMID: 19906073
- TXNDC5 can promote the growth and proliferation of gastric cells. Silencing of TXNDC5 can restrain the growth and proliferation of gastric cancer cells. PMID: 20157732
- these results establish ERp46 as the first AdipoR1-specific interacting protein and suggest a role for ERp46 in adiponectin receptor biology and adiponectin signalling. PMID: 20074551
- ERp46 has specificity towards peroxiredoxin-4, a thioredoxin peroxidase. PMID: 19887585
- upregulation of TXNDC5 are involved in the early development of colorectal cancer PMID: 17895523
- Member of the protein disulphide isomerase family and highly expressed in endothelial cells. Protects endothelial cells from apoptosis under hypoxia. PMID: 12963716
顯示更多
收起更多
-
亞細胞定位:Endoplasmic reticulum lumen.
-
蛋白家族:Protein disulfide isomerase family
-
數據庫鏈接:
Most popular with customers
-
-
YWHAB Recombinant Monoclonal Antibody
Applications: ELISA, WB, IHC, IF, FC
Species Reactivity: Human, Mouse, Rat
-
Phospho-YAP1 (S127) Recombinant Monoclonal Antibody
Applications: ELISA, WB, IHC
Species Reactivity: Human
-
-
-
-
-















