TSHR Antibody
-
中文名稱:TSHR兔多克隆抗體
-
貨號:CSB-PA973863
-
規格:¥1100
-
圖片:
-
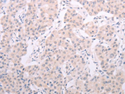
The image on the left is immunohistochemistry of paraffin-embedded Human thyroid cancer tissue using CSB-PA973863(TSHR Antibody) at dilution 1/50, on the right is treated with fusion protein. (Original magnification: ×200)
-
The image on the left is immunohistochemistry of paraffin-embedded Human lung cancer tissue using CSB-PA973863(TSHR Antibody) at dilution 1/50, on the right is treated with fusion protein. (Original magnification: ×200)
-
-
其他:
產品詳情
-
Uniprot No.:
-
基因名:
-
別名:TSHR; LGR3; Thyrotropin receptor; Thyroid-stimulating hormone receptor; TSH-R
-
宿主:Rabbit
-
反應種屬:Human
-
免疫原:Fusion protein of Human TSHR
-
免疫原種屬:Homo sapiens (Human)
-
標記方式:Non-conjugated
-
抗體亞型:IgG
-
純化方式:Antigen affinity purification
-
濃度:It differs from different batches. Please contact us to confirm it.
-
保存緩沖液:-20°C, pH7.4 PBS, 0.05% NaN3, 40% Glycerol
-
產品提供形式:Liquid
-
應用范圍:ELISA,IHC
-
推薦稀釋比:
Application Recommended Dilution ELISA 1:2000-1:5000 IHC 1:25-1:100 -
Protocols:
-
儲存條件:Upon receipt, store at -20°C or -80°C. Avoid repeated freeze.
-
貨期:Basically, we can dispatch the products out in 1-3 working days after receiving your orders. Delivery time maybe differs from different purchasing way or location, please kindly consult your local distributors for specific delivery time.
-
用途:For Research Use Only. Not for use in diagnostic or therapeutic procedures.
相關產品
靶點詳情
-
功能:Receptor for the thyroid-stimulating hormone (TSH) or thyrotropin. Also acts as a receptor for the heterodimeric glycoprotein hormone (GPHA2:GPHB5) or thyrostimulin. The activity of this receptor is mediated by G proteins which activate adenylate cyclase. Plays a central role in controlling thyroid cell metabolism.
-
基因功能參考文獻:
- MCT8 and TSHR form heteromers. PMID: 29290039
- TSHR mutations occur in approximately 5% thyroid nodules in a large consecutive series with indeterminate cytology. TSHR mutations may be associated with an increased cancer risk when present at high allelic frequency PMID: 29516685
- This work is devoted to the ascertainment of serological cross-reactivity between OmpF porin from Yersinia pseudotuberculosis (YpOmpF) and human thyroid-stimulating hormone receptor (hTSHR). PMID: 29079441
- Genetic polymorphisms of CTLA-4 gene on the nucleotide 49 at codon 17 of exon 1, TSHR gene SNP rs2268458 of intron 1, number of regulatory T cells and TRAb levels play a role as risk factors for relapse in patients with Graves' disease. PMID: 29093229
- Overexpression of TSHR was found in a great majority of hepatocellular carcinomatissues and associated with unfavorable prognosis PMID: 29715101
- Signaling dissection using diverse inhibitors indicated that EOC cell proliferation driven by thyrostimulin-TSHR signaling is PKA independent, but does require the involvement of the MEK-ERK and PI3K-AKT signal cascades, which are activated mainly via the trans-activation of EGFR PMID: 27273257
- SNPs rs179247 and rs12101255 were significantly associated with Graves disease. rs12101255 and rs2268458 polymorphisms had no association with Graves diseases and Graves ophthalmopathy. PMID: 27456991
- Among the evaluated TSHR gene SNPs, the rs4411444 GG genotype and the rs4903961 C allele in the enhancer regions of the TSHR gene were most strongly associated with the development of Graves disease, especially intractable disease, and that of Hashimoto disease, respectively. PMID: 27762730
- Low expression of TSHR is associated with dilated cardiomyopathy and impaired left ventricular function accompanied by increased risk of death. PMID: 29320567
- Monoallelic TSHR mutations are significantly associated with positive newborn screen for congenital hypothyroidism, and the association is further strengthened by the coexistence of monoallelic DUOX2 mutations. PMID: 29092890
- The role of TSH Receptor cleavage into subunits and shedding of the A-Subunit in Graves' disease pathogenesis is reviewed. PMID: 27454362
- a hot-spot mutation in EZH1 is the second most frequent genetic alteration in autonomous thyroid adenomas; the association between EZH1 and TSHR mutations suggests a 2-hit model for the pathogenesis of these tumors, whereby constitutive activation of the cAMP pathway and EZH1 mutations cooperate to induce the hyperproliferation of thyroid cells PMID: 27500488
- Germline mutation in the thyrotropin receptor gene is associated with non-autoimmune hyperthyroidism. PMID: 28195550
- Congenital Hypothyroidism With Gland-in-Situ 59% attributable to mutations in TSHR. PMID: 27525530
- data support the association that low intrathymic TSHR expression is associated with susceptibility to developing pathogenic TSHR antibodies, while high intrathymic TSHR expression is protective PMID: 28099999
- Graves' disease is associated with polymorphisms of TSHR intron 1 rs179247 and rs12101255. There is no association between rs179247 SNPs and Graves' ophthalmopathy PMID: 27465319
- TSHR gene mutations p.R528C and c.392+4del4 associated with congenital hypothyroidism. PMID: 26864598
- this study shows that the TSHR is not main factor contributing to determining common genetic basis among Graves disease and alopecia areata PMID: 27810496
- TSHR D727E polymorphism might be involved in the pathogenesis of toxic multinodular goiter PMID: 27525921
- lncRNA PVT1 may contribute to tumorigenesis of thyroid cancer through recruiting EZH2 and regulating TSHR expression. PMID: 26427660
- experimentally verified contact of Ser-281 (ECD) and Ile-486 (TMD) was subsequently utilized in docking homology models of the ECD and the TMD to create a full-length model of a glycoprotein hormone receptor PMID: 27129207
- TSHR gene polymorphisms are associated with typical symptoms in primary congenital hypothyroidism. PMID: 26356361
- The eminent ratio of TSHr methylation in well-differentiated thyroid carcinoma against benign thyroidal nodules adduced that TSHr methylation status can be utilized as a tumor marker for well-differentiated thyroid cancer. PMID: 26519197
- Thyroid-stimulating hormone receptor intronic polymorphisms are associated with the susceptibility to Graves' disease and Graves' ophthalmopathy in the Brazilian population, but do not appear to influence the disease course. PMID: 25543543
- data support a structural model of the TSHR transmembrane domain with a bulged transmembrane helix TM2 and a straight TM5 that is specific of glycoprotein hormone receptors PMID: 26545118
- TSHR gene variants are associated with congenital hypothyroidism. PMID: 25153578
- the hinge region and its adjacent domains have roles in binding and signaling patterns of the thyrotropin and follitropin receptor PMID: 25340405
- subclinical hypothyroidism in heterozygotes with TSHR mutations is a stable compensated condition with an appropriately adjusted set point for pituitary-thyroid feedback that does not require replacement therapy PMID: 25557138
- Patients with preoperative TSHR-mRNA >/=1.02 ng/mug may be at a greater risk for recurrence of thyroid cancer. PMID: 26212344
- The present study demonstrates that the SmartAmp2 method is useful to detect the R450H mutation in TSHR. PMID: 24895636
- The aim of this study was to investigate whether chimeric TSH receptor based bioassay can predict Graves' disease remission/relapse after antithyroid drug PMID: 24968734
- TSHR polymorphisms were not associated with the dose of T4 or central obesity among hypothyroid patients. PMID: 25079464
- TSHR mutations are common among Hungarian patients with Congenital hypothyroidism. The novel genetic alterations revealed an important structural role of the N432(1.50) and the P449(2.39) residues in receptor expression and signaling, respectively. PMID: 25978107
- c.317+1G>A splice site mutation in the TSHR gene leads to sever congenital hypothyroidism PMID: 24859513
- Our data suggest a role for PTCSC2, FOXE1, and TSHR in the predisposition to papillary thyroid carcinoma. PMID: 25303483
- germline polymorphisms of TSHR do not confer susceptibility for the development of autonomously functioning thyroid nodules. PMID: 24789540
- our study showed a high implication of TSHR gene methylation and its significant association with BRAF V600E mutation in thyroid tumors, depicting a positive connection between TSHR pathway and MAP Kinase pathway. PMID: 24927793
- Allele A of the rs179247 polymorphism in the TSHR gene is associated with lower risk of GO in young GD patients. PMID: 25061884
- study reports a large deletion of the TSHR gene in two siblings with congenital hypothyroidism coming from a consanguineous Turkish family PMID: 24690939
- A gain-of-function mutation (M435R) activates the Gs/adenylyl cyclase pathway, deactivates the Gq/11-phospholipase C pathway, and causes nonautoimmune hyperthyroidism in a Japanese family. PMID: 24608569
- This review covers several mutations in TSHR which are clearly associated with a hyperthyroidism-phenotype, but interestingly show a lack of constitutive activity determined by in vitro characterization. PMID: 24845969
- A nonsense thyrotropin receptor gene mutation is associated with congenital hypothyroidism and heart defects. PMID: 24945425
- A newly discovered TSHR mutation L665F in transmembrane helix 7 of the receptor was detected in six members of a family with hyperthyroidism. PMID: 24947036
- findings demonstrate TSH-R expression is thymus-specific within the immune system; data support the notion of a novel neuroendocrine-immune interaction in which TSH-R signaling in the thymus, most likely mediated by TSH, enhances thymic T-cell development PMID: 24635198
- Autonomous adenomas are caused by somatic mutations of the thyroid-stimulating hormone receptor in children. PMID: 24480816
- genetic association studies in population in Japan: Data suggest that patients with TSHR mutations exhibit persistent hyperthyroidism throughout follow-up; in such patients, hyperthyroidism progresses despite treatment with antithyroid drugs. PMID: 24279482
- Significant reduction in TSHR messenger RNA is associated with ovarian carcinomas. PMID: 24844218
- discovered a genetic-epigenetic interaction involving a noncoding SNP in the TSHR gene that regulates thymic TSHR gene expression and facilitates escape of TSHR-reactive T cells from central tolerance, triggering Graves disease PMID: 25122677
- The expression of TSHR and NIS genes is differently controlled by multiple mechanisms, including epigenetic events elicited by major signaling pathways involved in thyroid tumorigenesis. PMID: 24353283
- Only the IL1RN tandem repeats polymorphism may be associated with Hashimoto's thyroiditis susceptibility; TSHR and IL1RN polymorphisms may represent prognostic factors for predicting the severity of the disease. PMID: 24328419
顯示更多
收起更多
-
相關疾病:Hypothyroidism, congenital, non-goitrous, 1 (CHNG1); Familial gestational hyperthyroidism (HTFG); Hyperthyroidism, non-autoimmune (HTNA)
-
亞細胞定位:Cell membrane; Multi-pass membrane protein. Basolateral cell membrane; Multi-pass membrane protein.
-
蛋白家族:G-protein coupled receptor 1 family, FSH/LSH/TSH subfamily
-
組織特異性:Expressed in thyroide cells (at protein level). Expressed in the thyroid.
-
數據庫鏈接:
Most popular with customers
-
-
YWHAB Recombinant Monoclonal Antibody
Applications: ELISA, WB, IHC, IF, FC
Species Reactivity: Human, Mouse, Rat
-
Phospho-YAP1 (S127) Recombinant Monoclonal Antibody
Applications: ELISA, WB, IHC
Species Reactivity: Human
-
-
-
-
-















