TRPM8 Antibody
-
中文名稱:TRPM8兔多克隆抗體
-
貨號:CSB-PA768757LA01HU
-
規格:¥440
-
圖片:
-
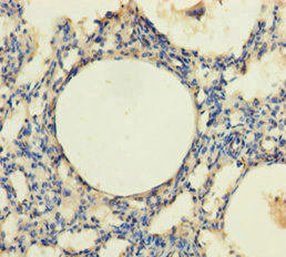
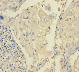
Immunohistochemistry of paraffin-embedded human lung cancer using CSB-PA768757LA01HU at dilution of 1:100
-
Immunohistochemistry of paraffin-embedded human lung tissue using CSB-PA768757LA01HU at dilution of 1:100
-
Immunofluorescent analysis of A549 cells using CSB-PA768757LA01HU at dilution of 1:100 and Alexa Fluor 488-congugated AffiniPure Goat Anti-Rabbit IgG(H+L)
-
-
其他:
產品詳情
-
產品描述:
Rabbits were immunized with recombinant human TRPM8 (1-192aa) to produce a polyclonal antibody against TRPM8. The antibody was purified using protein G affinity chromatography, achieving up to 95% purity. It can detect TRPM8 protein in human samples.
This TRPM8 antibody is useful for investigating the function and regulation of TRPM8 protein in several applications, including ELISA, IHC, and IF. In ELISA, the antibody can quantitatively detect TRPM8 protein in a sample. In IHC, it can identify the localization of TRPM8 protein in tissues, while in IF, it can detect the presence and localization of TRPM8 protein in cells.
-
產品名稱:Rabbit anti-Homo sapiens (Human) TRPM8 Polyclonal antibody
-
Uniprot No.:
-
基因名:
-
別名:Long transient receptor potential channel 6 antibody; LTrpC-6 antibody; LTrpC6 antibody; MGC2849 antibody; Short form of the TRPM8 cationic channel antibody; Transient receptor potential cation channel subfamily M member 8 antibody; Transient receptor potential p8 antibody; transient receptor potential-p8 antibody; Trp p8 antibody; Trp-p8 antibody; Trpm8 antibody; TRPM8_HUMAN antibody; TRPP8 antibody
-
宿主:Rabbit
-
反應種屬:Human
-
免疫原:Recombinant Human Transient receptor potential cation channel subfamily M member 8 protein (1-192AA)
-
免疫原種屬:Homo sapiens (Human)
-
標記方式:Non-conjugated
本頁面中的產品,TRPM8 Antibody (CSB-PA768757LA01HU),的標記方式是Non-conjugated。對于TRPM8 Antibody,我們還提供其他標記。見下表:
-
克隆類型:Polyclonal
-
抗體亞型:IgG
-
純化方式:>95%, Protein G purified
-
濃度:It differs from different batches. Please contact us to confirm it.
-
保存緩沖液:Preservative: 0.03% Proclin 300
Constituents: 50% Glycerol, 0.01M PBS, PH 7.4 -
產品提供形式:Liquid
-
應用范圍:ELISA, IHC, IF
-
推薦稀釋比:
Application Recommended Dilution IHC 1:20-1:200 IF 1:50-1:200 -
Protocols:
-
儲存條件:Upon receipt, store at -20°C or -80°C. Avoid repeated freeze.
-
貨期:Basically, we can dispatch the products out in 1-3 working days after receiving your orders. Delivery time maybe differs from different purchasing way or location, please kindly consult your local distributors for specific delivery time.
-
用途:For Research Use Only. Not for use in diagnostic or therapeutic procedures.
相關產品
靶點詳情
-
功能:Receptor-activated non-selective cation channel involved in detection of sensations such as coolness, by being activated by cold temperature below 25 degrees Celsius. Activated by icilin, eucalyptol, menthol, cold and modulation of intracellular pH. Involved in menthol sensation. Permeable for monovalent cations sodium, potassium, and cesium and divalent cation calcium. Temperature sensing is tightly linked to voltage-dependent gating. Activated upon depolarization, changes in temperature resulting in graded shifts of its voltage-dependent activation curves. The chemical agonist menthol functions as a gating modifier, shifting activation curves towards physiological membrane potentials. Temperature sensitivity arises from a tenfold difference in the activation energies associated with voltage-dependent opening and closing. In prostate cancer cells, shows strong inward rectification and high calcium selectivity in contrast to its behavior in normal cells which is characterized by outward rectification and poor cationic selectivity. Plays a role in prostate cancer cell migration. Isoform 2 and isoform 3 negatively regulate menthol- and cold-induced channel activity by stabilizing the closed state of the channel.
-
基因功能參考文獻:
- Study shows the cloning and characterization of N-terminal truncated TRPM8 isoforms in prostate epithelial cells and tumors. These isoforms exhibit likely 4TM domain structure which is distinct from the 6-TM of the TRP channel archetype. MTRPM8 isoforms act as the ER Ca2+-release channels not only in epidermis but also in prostate epithelial cells. PMID: 29678654
- The present data suggest a possible theoretical foundation for the anti-inflammatory role of TRPM8 activation, providing an experimental basis that could contribute to the advancement of cooling therapy for trauma patients. PMID: 28332601
- Study shows that TRPM8 expression is significantly up-regulated in pancreatic cancer. PMID: 29860264
- Data show evidence of recent local ambient temperature adaptation on the cation channel TRPM8. PMID: 29723195
- TRPM8 levels may be elevated in basal breast cancers, however, TRPM8 expression appears to be lost in many breast cancer cell lines PMID: 29496495
- In this study, we identify non-channel cytoplasmic small TRPM8 isoforms as putative regulator of PCa cell death PMID: 27074561
- Praziquantel is a relatively potent and selective partial agonist of the mammalian and avian cold and menthol receptor TRPM8. PMID: 29054683
- The TRPM8 transient receptor potential channel. PMID: 28693898
- our results indicate that enhanced TRPM8 hydrolysis in prostate cancer could present an adaptation mechanism, sustained via bypassing testosterone-induced rapid Ca2+ uptake through TRPM8, thus, diminishing the rates of apoptosis PMID: 28039451
- Suggest a novel, pore-independent molecular mechanism by which endogenous TRPM8 expression inhibits Rap1 GTPase and thus plays a critical role in the behavior of vascular endothelial cells by inhibiting migration. PMID: 28550110
- in this study, the glycosylation status of the TRPM8 channel was shown to affect cell proliferation, cell migration, and calcium uptake. TRPM8 expressed in the membrane of the Panc-1 pancreatic tumoral cell line is non-glycosylated, whereas human embryonic kidney cells transfected with human TRPM8 overexpress a glycosylated protein. PMID: 28857015
- This study demonstrates that TRPM8 (cold receptor) is present in nasal epithelium. When it is activated by moderate cooling at 24 degrees C or menthol, TRPM8 induces the secretion of mucin. This study determines that TRPM8 channels are important regulators of mucin production. Therefore, TRPM8 antagonists could be used for the treatment of refractory rhinitis. PMID: 28767579
- This study suggests that the TRPM8 sensor is a key determinant of germ cell fate under hypothermic stimulation. PMID: 27317670
- TRPM8 SNPs are significantly associated with the risk of COPD in the Chinese Han population. PMID: 27789940
- findings demonstrate that both the eTRPM8 expression level and the modalities of cold-stimulation serve as important determinants of the keratinocyte fate and act via fine tuning of [ATP] and [O2*] PMID: 27014839
- TRPM8 activation is likely to occur when cigarettes contain more than 50 micrograms of menthol. PMID: 28238800
- This review outlines our current understanding on the role of TRPM8 in occurrence and development of different kinds of tumor and also includes discussion about the regulation of TRPM8 during carcinogenesis as well as therapeutic potential of targeting TRPM8 in tumor, which may be utilized for a potential pharmacological use as a target for anti-cancer therapy.[review] PMID: 26803314
- The effects of specific agents on TRPV1 and TRPM8 channels are intricately interrelated. PMID: 26645885
- The data of this study provided evidence for decreased activity and expression level of TRPM8 in the presence of methylglyoxal. PMID: 26629685
- Study used a combination of molecular modeling and experimental techniques to examine the structure of the TRPM8 transmembrane and pore helix region including the conducting conformation of the selectivity filter PMID: 26536261
- Translational and clinical investigation to exploit TRPM8 as a molecular biomarker and therapeutic target is expected to make a positive impact on precision medicine in pancreatic cancer and other malignant diseases. PMID: 27038374
- Several TRPM8 variants appeared to be poorly expressed in transfected HEK293 cells compared with non-mutated TRPM8. PMID: 26330615
- The GC variant of the TRPM8: c.750G > C (rs11562975) polymorphism is associated with cold-induced airway hyperresponsiveness in patients with bronchial asthma. PMID: 26272603
- we found that the androgen-mediated TRPM8 channel activity is negatively regulated by the androgen receptor protein PMID: 25980497
- TRPM8 underlines the important physiologic role of the nose in temperature regulation, both in patients with allergy and those without allergy. Isometric contraction studies demonstrate the role of TRPM8 in regulating nasal patency and airway resistance. PMID: 26163239
- These results are the first to show that menthol directly binds to the TRPM8 sensing domain. PMID: 26653082
- Genetic polymorphisms in TRPM8 genes modify individual susceptibility to metabolic syndrome in a Turkish population. PMID: 25967713
- developed a new functional knockout mouse strain by deleting the pore domain of TRPM8 and demonstrated that eTRPM8 knockout impairs adaptation of the epidermis to low temperatures PMID: 26080404
- Antibodies against TRPM8 are not found in scleroderma patient sera, suggesting that the abnormal cold sensitivity and associated abnormal vascular reactivity in scleroderma patients is not the result of an immune process targeting TRPM8. PMID: 26242276
- TRPM8 and TRPA1 assays were inhibited by probenecid. PMID: 24975826
- Polymorphisms L250L and S419N correlate with anthropometric parameters (body mass index and waist and hip circumferences). PMID: 25348565
- Results suggests that the aberrantly expressed TRPM8 channel may contribute to pancreatic tumorigenesis by preventing oncogene-induced senescence. PMID: 22555807
- activation of TRPM8 inhibits UV-B-induced PGE2 production in keratinocytes PMID: 24580132
- Over-expression of TRPM8 is associated with urothelial carcinoma of bladder. PMID: 25128062
- The results indicate that the TRPM8 channel is physically associated with testosterone and suggest that, in addition to a genomic role, testosterone plays a role in direct regulation of the TRPM8 channel function. PMID: 25480783
- This review focus is on TRPV1, TRPA1, and TRPM8 channels in inflammation, energy redirection, and water retention and their role in chronic inflammatory diseases. [review] PMID: 24871046
- Report novel TRP channel-associated factors that modulate TRPM8 activity. PMID: 25559186
- Identified two regions within the initial N terminus of TRPM8 that contribute differently to channel activity and proper folding and assembly. Deletion or substitution of the first 40 residues yielded channels with augmented responses to cold and menthol. PMID: 24917670
- Data indicate that transient receptor potential melastatin 8 (TRPM8) modulates the migration of pancreatic ductal adenocarcinoma (PDA) cells. PMID: 24658318
- our study provides a mechanistic insight into how TRPM8 promotes the hypoxic growth adaptation of cancer cells via its promotion of RACK1-mediated stabilization of HIF-1alpha PMID: 25065497
- Data indicate that upregulation of TRPM cation channel TRPM8 promoted epithelial-mesenchymal transition of breast cancer cells via activating c-akt protein/glycogen synthase kinase 3 beta (GSK-3beta) pathway. PMID: 24903376
- A moderately potent (IC50 = 103 nM), selective TRPM8 antagonist. PMID: 25125580
- The subjects with homozygous genotype GG of TRPM8 had a lower cold sensation and adequate response to local skin cooling in respect to thermoregulation--decrease in respiratory heat loss and increase in the lipid metabolism PMID: 25272712
- Human white adipocytes express the cold receptor TRPM8 which activation induces UCP1 expression, mitochondrial activation and heat production. PMID: 24342393
- The cold receptor transient receptor potential melastatin 8 (TRPM8) undergoes a complex modulation by clinical concentrations of VAs in dorsal root ganglion neurons and HEK-293 cells heterologously expressing TRPM8. PMID: 23943870
- In uveal melanoma cells, TRPV1, TRPA1 and TRPM8 gene expression were identified. PMID: 24084605
- Knockout of TRPM8 protein leads to a decrease in morphine-induced cold analgesia. PMID: 23911290
- our data suggest that TRPM8 induces UCP2 to trigger metabolic transformation, whereas TRPA1 induces autophagy during adverse conditions, and the combination of both genes contributes directly to an invasive phenotype in lung cancer. PMID: 24037916
- TRPM8 is activated by camphor in a concentration- and temperature-dependent manner. PMID: 23828908
- Rhinovirus infection causes upregulation of neuronal TRPM8 expression mediated directly by replicating virus. PMID: 24002057
顯示更多
收起更多
-
亞細胞定位:Cell membrane; Multi-pass membrane protein. Membrane raft. Endoplasmic reticulum membrane.
-
蛋白家族:Transient receptor (TC 1.A.4) family, LTrpC subfamily, TRPM8 sub-subfamily
-
組織特異性:Expressed in prostate. Also expressed in prostate tumors and in non-prostatic primary tumors such as colon, lung, breast and skin tumors.
-
數據庫鏈接:
Most popular with customers
-
-
YWHAB Recombinant Monoclonal Antibody
Applications: ELISA, WB, IHC, IF, FC
Species Reactivity: Human, Mouse, Rat
-
Phospho-YAP1 (S127) Recombinant Monoclonal Antibody
Applications: ELISA, WB, IHC
Species Reactivity: Human
-
-
-
-
-















