TRAP1 Antibody
-
中文名稱:TRAP1兔多克隆抗體
-
貨號:CSB-PA917523
-
規格:¥1100
-
圖片:
-
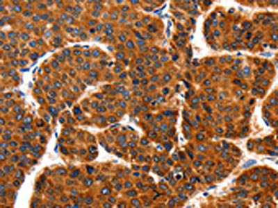
The image on the left is immunohistochemistry of paraffin-embedded Human liver cancer tissue using CSB-PA917523(TRAP1 Antibody) at dilution 1/100, on the right is treated with fusion protein. (Original magnification: ×200)
-
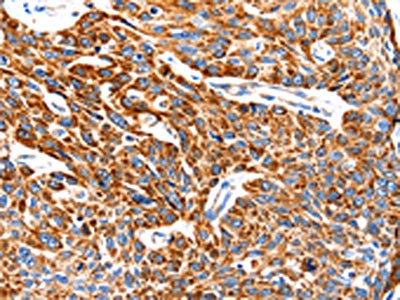
The image on the left is immunohistochemistry of paraffin-embedded Human esophagus cancer tissue using CSB-PA917523(TRAP1 Antibody) at dilution 1/100, on the right is treated with fusion protein. (Original magnification: ×200)
-
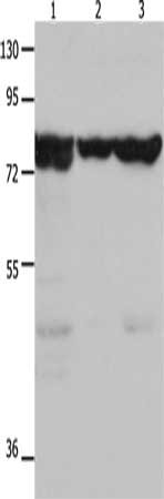
Gel: 10%SDS-PAGE, Lysate: 30 μg, Lane 1-3: Mouse kidney tissue, 293T cells, hela cells, Primary antibody: CSB-PA917523(TRAP1 Antibody) at dilution 1/1500, Secondary antibody: Goat anti rabbit IgG at 1/8000 dilution, Exposure time: 20 seconds
-
-
其他:
產品詳情
-
Uniprot No.:
-
基因名:TRAP1
-
別名:Heat shock protein 75 kDa antibody; Heat shock protein 75 kDa, mitochondrial antibody; HSP 75 antibody; HSP75 antibody; HSP90L antibody; mitochondrial antibody; TNF receptor associated protein 1 antibody; TNFR-associated protein 1 antibody; TRAP-1 antibody; Trap1 antibody; TRAP1_HUMAN antibody; Tumor necrosis factor type 1 receptor-associated protein antibody
-
宿主:Rabbit
-
反應種屬:Human,Mouse,Rat
-
免疫原:Fusion protein of Human TRAP1
-
免疫原種屬:Homo sapiens (Human)
-
標記方式:Non-conjugated
-
抗體亞型:IgG
-
純化方式:Antigen affinity purification
-
濃度:It differs from different batches. Please contact us to confirm it.
-
保存緩沖液:-20°C, pH7.4 PBS, 0.05% NaN3, 40% Glycerol
-
產品提供形式:Liquid
-
應用范圍:ELISA,WB,IHC
-
推薦稀釋比:
Application Recommended Dilution ELISA 1:2000-1:10000 WB 1:1000-1:5000 IHC 1:100-1:200 -
Protocols:
-
儲存條件:Upon receipt, store at -20°C or -80°C. Avoid repeated freeze.
-
貨期:Basically, we can dispatch the products out in 1-3 working days after receiving your orders. Delivery time maybe differs from different purchasing way or location, please kindly consult your local distributors for specific delivery time.
-
用途:For Research Use Only. Not for use in diagnostic or therapeutic procedures.
相關產品
靶點詳情
-
功能:Chaperone that expresses an ATPase activity. Involved in maintaining mitochondrial function and polarization, downstream of PINK1 and mitochondrial complex I. Is a negative regulator of mitochondrial respiration able to modulate the balance between oxidative phosphorylation and aerobic glycolysis. The impact of TRAP1 on mitochondrial respiration is probably mediated by modulation of mitochondrial SRC and inhibition of SDHA.
-
基因功能參考文獻:
- Both redox imbalance and IHG-1 stimulate TGF-beta signalling. IHG-1, HSPA5 and YBX1 all show increased expression in diabetic nephropathy, chronic kidney disease and in the Unilateral Ureteral Obstruction model of kidney fibrosis. Increased IHG-1 expression in UUO correlated with loss of TRAP1 expression. IHG-1 may target TRAP1 for degradation. PMID: 28115289
- results show that even though TRAP1 depletion affects both normal MRC-5 and tumour A549 cell proliferation, inhibition of autophagy per se led to a decrease in tumour cell mass, while having a reduced effect on the normal cell line. The strategy of targeting TRAP1 in NSCLC shows future potential therapeutic applications. PMID: 29383696
- Here, the authors show that rather than being cooperative or independent, ATP hydrolysis on the two protomers is sequential and deterministic. Moreover, dimer asymmetry sets up differential hydrolysis rates for each protomer, such that the buckled conformation favors ATP hydrolysis. PMID: 28742020
- TRAP1 inhibition may be regarded as potential strategy to target specific features of human thyroid cancers, i.e., cell proliferation and resistance to apoptosis. PMID: 27422900
- TRAP1 regulates stemness and Wnt/beta-catenin pathway in colorectal cancer. PMID: 27662365
- data show that TRAP1 acts downstream of PINK1 and HTRA2 for mitochondrial fine tuning, whereas TRAP1 loss of function leads to reduced control of energy metabolism, ultimately impacting mitochondrial membrane potential. PMID: 29050400
- This review summarizes how metabolism, chemoresistance, inflammation, and epithelial-to-mesenchymal transition are strictly interconnected, and how TRAP1 stays at the crossroads of these processes, thus shedding new lights on molecular networks at the basis of ovarian cancer. [review] PMID: 28427560
- The crystal structure of a human TRAP1NM dimer is presented, featuring an intact N-domain and M-domain structure, bound to adenosine 5'-beta,gamma-imidotriphosphate. PMID: 27487821
- These data suggest that TRAP1 protein network may provide a prognostic signature in human metastatic colorectal carcinomas PMID: 28177905
- TRAP1 is relevant in the control of key cell cycle regulators in tumor cells. TRAP1/TBP7 quality control of CDK1 and MAD2 contributes mechanistically to the regulation of mitotic entry and transit. PMID: 28678347
- TRAP1 is often deleted in high-grade serous ovarian cancer patients. PMID: 27977010
- TRAP1 increases cell proliferation, reduces apoptosis, and promotes cell invasion without changes in mitochondrial bioenergetics. Therefore, TRAP1 is a driver of prostate cancer in vivo and an "actionable" therapeutic target. PMID: 27754870
- overexpression of TRAP1 might contribute to tumor cell local invasion of colorectal cancer PMID: 28088229
- Increased TRAP1 expression was significantly associated with EOC stages. PMID: 26408177
- Overexpression of TRAP1 in breast cancer cells causes mitochondrial fusion, triggers mitochondria to form tubular networks, and suppresses cell migration and invasion in vitro and in vivo. These data link TRAP1-regulated mitochondrial dynamics and function with tumorigenesis in breast cancer. PMID: 26517089
- TRAP1 is highly expressed in kidney cancer and correlates with patients prognosis PMID: 26722505
- TRAP1 is a downstream effector of BRAF cytoprotective pathway in mitochondria and TRAP1 targeting may represent a novel strategy to improve the activity of proapoptotic agents in BRAF-driven CRC cells. PMID: 26084290
- Our results indicate that GRP94 and TRAP1 might contribute more to the carcinogenesis or biology of SCLC than HSP90alpha and HSP90beta PMID: 26464709
- A previously unobserved coiled-coil dimer conformation may precede dimer closure. TRAP1 exists in an autoinhibited state with the ATP lid bound to the ATP-binding pocket. ATP displaces this and signals the cis-bound ATP status to the next subunit. PMID: 26929380
- results of the present study show that TRAP1 provides cardioprotection against myocardial I/R by ameliorating mitochondrial dysfunction PMID: 26202366
- The combined presence of pain, fatigue and nausea is strongly associated with p.Ile253Val (OR 7.5, P = 0.0001) and with two other interacting variants (OR 18, P = 0.0005). PMID: 26022780
- a correlation between TRAP1 and AKT expression is found in vivo in human colorectal tumours. These results provide new insights into TRAP1 role in the regulation of cell migration in cancer cells, tumour progression and metastatic mechanisms. PMID: 26071104
- TRAP1 expression was associated with increased risk of lymph node metastasis, while high TRAP1 expression correlated with poor prognosis in esophageal squamous cell cancer. PMID: 25438697
- Our findings demonstrate that SDH inhibition by TRAP1 is oncogenic not only by inducing pseudohypoxia, but also by protecting tumor cells from oxidative stress PMID: 25564869
- crystal structure of the mitochondrial Hsp90, TRAP1, revealed an extension of the N-terminal beta-strand previously shown to cross between protomers in the closed state PMID: 25531069
- Oxidative stress in ulcerative colitis could lead to the increase of cytoprotective protein TRAP1, which in turn could promote cancer progression by preventing or protecting the oxidative damaged epithelial cells from undergoing apoptosis. PMID: 25493016
- TRAP1-dependent regulation of p70S6K is involved in the attenuation of protein synthesis and cell migration: relevance in human colorectal tumors PMID: 24962791
- dual HSP90/TRAP1 inhibitor HSP990 showed activity against the TRAP1 network and high cytostatic potential in BRAF-mutated colorectal carcinoma cells PMID: 25239454
- TRAP1 controls NSCLC proliferation, apoptosis, and mitochondrial function, and its status has prognostic potential in NSCLC. PMID: 24567527
- The article summarizes the central regulatory function of TRAP1 with homeostatic roles at the crossroad between different kinds of cell functions/metabolism during the transformation process or, possibly, during normal development. [review] PMID: 24990602
- Identify mutations in TRAP1 as highly likely causing CAKUT or VACTERL association with CAKUT. PMID: 24152966
- High TRAP1 expression is associated with resistance to anthracyclins in breast carcinoma. PMID: 24297638
- study shows that TRAP1 was overexpressed in most patients with ESCC, and caused an increase in antiapoptosis potency PMID: 24754231
- Overexpression of TRAP1 is able to mitigate Pink1 but not parkin loss-of-function phenotypes. PMID: 23525905
- This study demonstrates for the first time that TRAP1 is associated with ribosomes and with several translation factors in colon carcinoma cells. PMID: 24113185
- Mitochondrial Hsp90 and TRAP-1 are global regulators of tumor metabolic reprogramming, including oxidative phosphorylation, and are required for disease maintenance. PMID: 23842546
- TRAP1 binds to and inhibits succinate dehydrogenase (SDH), the complex II of the respiratory chain. PMID: 23747254
- Mitochondria TRAP-1 affects the lymph node metastasis in colorectal cancer, and may be a potential biomarker for LNM and a prognostic factor in CRC. PMID: 23139614
- Early mesangial nephritis initiates a cascade of inflammatory signals that lead to up-regulation of Trap1 and a consequent down-regulation of renal DNaseI by transcriptional interference. PMID: 23273922
- Immunohistochemical evaluation of TRAP1 together with ERalpha provides significant prognostic information. TRAP1 alone is significantly associated with chemotherapy response and overall survival. PMID: 22978347
- TRAP-1-directed compartmentalized protein folding is broadly exploited in cancer. PMID: 21878357
- The proposed TRAP1 network has an impact in vivo, as it is conserved in human colorectal cancers, is controlled by ER-localized TRAP1 interacting with TBP7 and provides a novel model of the ER-mitochondria crosstalk. PMID: 21979464
- alpha-Synuclein toxicity is intimately connected to mitochondrial dysfunction and that toxicity reduction in fly and rat primary neurons and human cell lines can be achieved using overexpression of the mitochondrial chaperone TRAP1 PMID: 22319455
- Mitochondria could be a potential regulator of the unfolded protein response in the endoplasmic reticulum via mitochondrial TRAP1. PMID: 21338643
- HSP75 likely reduces the hypertrophy and fibrosis induced by pressure overload through blocking TAK/P38, JNK, and AKT signaling pathways PMID: 21381076
- Depletion of TRAP1 by short hairpin RNA in colorectal carcinoma cells lowered Sorcin levels in mitochondria, whereas the depletion of Sorcin by small interfering RNA increased TRAP1 degradation. PMID: 20647321
- In many tumors TRAP1 may activate proliferation whilst inhibiting metastatic spread. PMID: 20471161
- up-regulated in prostate cancer tissue PMID: 20499060
- These data identify TRAP-1 as a novel mitochondrial survival factor differentially expressed in localized and metastatic prostate cancer compared with normal prostate. PMID: 19948822
- suppression of the expression of TRAP1 in mitochondria might play an important role in the induction of apoptosis caused via formation of ROS PMID: 15292218
顯示更多
收起更多
-
亞細胞定位:Mitochondrion. Mitochondrion inner membrane. Mitochondrion matrix.
-
蛋白家族:Heat shock protein 90 family
-
組織特異性:Found in skeletal muscle, liver, heart, brain, kidney, pancreas, lung, placenta and bladder. Expression is highly reduced in bladder cancer and renal cell carcinoma specimens compared to healthy tissues, but it is increased in other type of tumors.
-
數據庫鏈接:
Most popular with customers
-
-
YWHAB Recombinant Monoclonal Antibody
Applications: ELISA, WB, IHC, IF, FC
Species Reactivity: Human, Mouse, Rat
-
-
-
-
-
-















