TRAF5 Antibody
-
中文名稱:TRAF5兔多克隆抗體
-
貨號:CSB-PA069375
-
規格:¥1100
-
圖片:
-
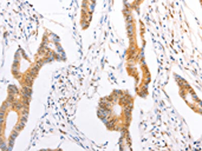
The image on the left is immunohistochemistry of paraffin-embedded Human colon cancer tissue using CSB-PA069375(TRAF5 Antibody) at dilution 1/20, on the right is treated with fusion protein. (Original magnification: ×200)
-
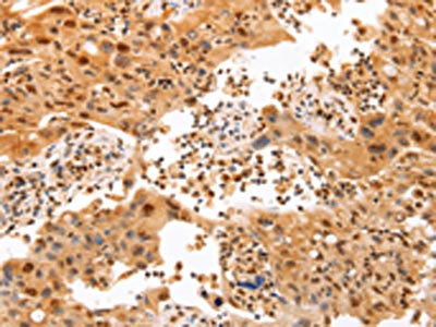
The image on the left is immunohistochemistry of paraffin-embedded Human lung cancer tissue using CSB-PA069375(TRAF5 Antibody) at dilution 1/20, on the right is treated with fusion protein. (Original magnification: ×200)
-
-
其他:
產品詳情
-
Uniprot No.:
-
基因名:
-
別名:MGC:39780 antibody; RING finger protein 84 antibody; RNF 84 antibody; RNF84 antibody; TNF receptor associated factor 5 antibody; TNF receptor-associated factor 5 antibody; TRAF 5 antibody; Traf5 antibody; TRAF5_HUMAN antibody
-
宿主:Rabbit
-
反應種屬:Human,Mouse
-
免疫原:Fusion protein of Human TRAF5
-
免疫原種屬:Homo sapiens (Human)
-
標記方式:Non-conjugated
-
抗體亞型:IgG
-
純化方式:Antigen affinity purification
-
濃度:It differs from different batches. Please contact us to confirm it.
-
保存緩沖液:-20°C, pH7.4 PBS, 0.05% NaN3, 40% Glycerol
-
產品提供形式:Liquid
-
應用范圍:ELISA,IHC
-
推薦稀釋比:
Application Recommended Dilution ELISA 1:2000-1:5000 IHC 1:25-1:100 -
Protocols:
-
儲存條件:Upon receipt, store at -20°C or -80°C. Avoid repeated freeze.
-
貨期:Basically, we can dispatch the products out in 1-3 working days after receiving your orders. Delivery time maybe differs from different purchasing way or location, please kindly consult your local distributors for specific delivery time.
-
用途:For Research Use Only. Not for use in diagnostic or therapeutic procedures.
相關產品
靶點詳情
-
功能:Adapter protein and signal transducer that links members of the tumor necrosis factor receptor family to different signaling pathways by association with the receptor cytoplasmic domain and kinases. Mediates activation of NF-kappa-B and probably JNK. Seems to be involved in apoptosis. Plays a role in mediating activation of NF-kappa-B by EIF2AK2/PKR.
-
基因功能參考文獻:
- High TRAF5 expression is associated with colorectal cancer. PMID: 29328486
- These findings indicate that miR-26b might influence TRAF5-MAPK signaling pathways to facilitate the malignant progression of melanoma cells. PMID: 26872428
- findings reveal a direct link between TRAF5-mediated ubiquitination and RORgammat protein regulation PMID: 26453305
- This study provides evidence that TRAF5 and TRAF3IP2 genes are involved in the development of Behcet's disease (BD) and Vogt-Koyanagi-Harada (VKH) syndrome. PMID: 24416204
- Data indicate that TNF receptor-associated factor 5 (TRAF5) gene is involved in the development of acute anterior uveitis (AAU) and pediatric uveitis. PMID: 24020968
- TRAF3 and TRAF5 are overexpressed in inflammatory bowel disease PMID: 23329887
- Numbl interacted with tumor necrosis factor receptor-associated factor 5, which signals upstream and is required for the activation of NF-kappaB, and committed it to proteasomal degradation by promoting K48-linked polyubiquitination of TRAF5 PMID: 22593207
- Resutls indicate that TRAF5 may be a key molecule in the innate response against viral infection. PMID: 20161788
- TRAF5 has a role in TNF-alpha induced IKK phosphorylation of NF-kappaB p65 PMID: 12842894
- These findings provide evidence for the association of an SNP upstream of a strong candidate RA susceptibility gene, TRAF5. PMID: 17277003
顯示更多
收起更多
-
亞細胞定位:Cytoplasm. Cytoplasm, cytosol.
-
蛋白家族:TNF receptor-associated factor family, A subfamily
-
組織特異性:Expressed in spleen, thymus, prostate, testis, ovary, small intestine, colon, and peripheral blood.
-
數據庫鏈接:
Most popular with customers
-
-
YWHAB Recombinant Monoclonal Antibody
Applications: ELISA, WB, IHC, IF, FC
Species Reactivity: Human, Mouse, Rat
-
Phospho-YAP1 (S127) Recombinant Monoclonal Antibody
Applications: ELISA, WB, IHC
Species Reactivity: Human
-
-
-
-
-















