TRAF4 Antibody
-
中文名稱:TRAF4兔多克隆抗體
-
貨號:CSB-PA024152ESR1HU
-
規格:¥440
-
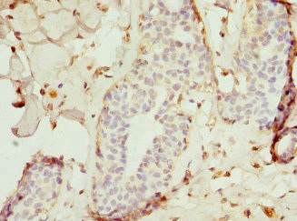
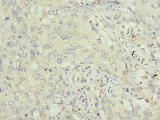
圖片:
-
其他:
產品詳情
-
產品名稱:Rabbit anti-Homo sapiens (Human) TRAF4 Polyclonal antibody
-
Uniprot No.:
-
基因名:
-
別名:CART 1 antibody; CART1 antibody; cysteine rich domain associated with ring and TRAF domain antibody; Cysteine rich domain associated with RING and Traf domains protein 1 antibody; Cysteine-rich domain associated with RING and Traf domains protein 1 antibody; Malignant 62 antibody; Metastatic lymph node gene 62 protein antibody; MLN 62 antibody; MLN62 antibody; RING finger protein 83 antibody; RNF 83 antibody; RNF83 antibody; TNF receptor associated factor 4 antibody; TNF receptor-associated factor 4 antibody; TRAF 4 antibody; Traf4 antibody; TRAF4_HUMAN antibody; tumor necrosis receptor-associated factor 4A antibody
-
宿主:Rabbit
-
反應種屬:Human
-
免疫原:Recombinant Human TNF receptor-associated factor 4 protein (251-470AA)
-
免疫原種屬:Homo sapiens (Human)
-
標記方式:Non-conjugated
-
克隆類型:Polyclonal
-
抗體亞型:IgG
-
純化方式:Antigen Affinity Purified
-
濃度:It differs from different batches. Please contact us to confirm it.
-
保存緩沖液:PBS with 0.02% sodium azide, 50% glycerol, pH7.3.
-
產品提供形式:Liquid
-
應用范圍:ELISA, IHC
-
推薦稀釋比:
Application Recommended Dilution IHC 1:20-1:200 -
Protocols:
-
儲存條件:Upon receipt, store at -20°C or -80°C. Avoid repeated freeze.
-
貨期:Basically, we can dispatch the products out in 1-3 working days after receiving your orders. Delivery time maybe differs from different purchasing way or location, please kindly consult your local distributors for specific delivery time.
-
用途:For Research Use Only. Not for use in diagnostic or therapeutic procedures.
相關產品
靶點詳情
-
功能:Adapter protein with E3 ligase activity that is involved in many diverse biological processes including cell proliferation, migration, differentiation, DNA repair, platelet activation or apoptosis. Promotes EGFR-mediated signaling by facilitating the dimerization of EGFR and downstream AKT activation thereby promoting cell proliferation. Ubiquitinates SMURF2 through 'Lys-48'-linked ubiquitin chain leading to SMURF2 degradation through the proteasome and subsequently osteogenic differentiation. Promotes 'Lys-63'-mediated ubiquitination of CHK1 which in turn activates cell cycle arrest and activation of DNA repair. In addition, promotes an atypical 'Lys-29'-linked ubiquitination at the C-terminal end of IRS1 which is crucial for insulin-like growth factor (IGF) signal transduction. Regulates activation of NF-kappa-B in response to signaling through Toll-like receptors. Required for normal skeleton development, and for normal development of the respiratory tract. Required for activation of RPS6KB1 in response to TNF signaling. Modulates TRAF6 functions. Inhibits adipogenic differentiation by activating pyruvate kinase PKM activity and subsequently the beta-catenin signaling pathway.
-
基因功能參考文獻:
- circRNA MTO1 (hsa-circRNA-007874) interacted with TRAF4, and sequester it from activating Eg5 translation, thereby inhibiting the Eg5 protein level inhibiting Eg5-mediated cell viability and promoting monastrol chemosensitivity in breast cancer cells. PMID: 30015883
- It was identified that a high level of TRAF4 facilitated the invasiveness of intrahepatic cholangiocarcinoma (ICC)cells via the activation of AKT signaling. The overexpression of TRAF4 may be a prognostic biomarker and candidate therapeutic target for patients with ICC. PMID: 29749456
- expression of miR-519d-3p is down-regulated in prostate cancer cells. Overexpression of miR-519d-3p can inhibit the proliferation of prostate cancer cells. The possible mechanism is that miR-519d-3p inhibits the expression of TRAF4. PMID: 29595452
- TRAF4 knockdown significantly inhibited proliferation, invasion and metastasis in the xenograft nude mouse model, possibly involving in the interaction with RSK4. PMID: 29684350
- Study demonstrated that TRAF4 was involved in promoting HCC cell migration and invasion. The process was induced by the EMT through activation of the PI3K/Akt signaling pathway. PMID: 28256185
- increased TRAF4 expression in ankylosing spondylitis mesenchymal stem cells impaired LPS-induced autophagy, potentially by inhibiting the phosphorylation of Beclin-1. PMID: 28604663
- TRAF4 expression is higher in mastocytosis patients with food hypersensitivity in their medical history, while B3GAT1 expression is lower in mastocytosis patients with insect venom allergy in history PMID: 27086366
- Determined the crystal structure of TRAF domain of TRAF4 (residues 292-466) at 2.60 A resolution by X-ray crystallography method. The trimericly assembled TRAF4 resembles a mushroom shape, containing a super helical "stalk" which is made of three right-handed intertwined alpha helixes and a C-terminal "cap", which is divided at residue L302 as a boundary. PMID: 23982741
- TRAF4 may promote oral squamous carcinoma cell growth, invasion and migration by Wnt/beta-catenin pathway. PMID: 26617938
- There was a significant positive correlation between TRAF2 and TRAF4 expression levels in malignant pleural effusion cells PMID: 26331901
- The TRAF4-ERK5 is a dominant pathway in human skin squamous cell carcinoma. PMID: 26347473
- Data showed that TRAF4 was highly expressed in non-small cell lung cancer (NSCLC) cells, and miR-370 overexpression significantly inhibited its expression. These results suggest that TRAF4 serves as an oncogene in NSCLC. PMID: 25976502
- these results suggest that TRAF4 promoted colon cancer cell growth and invasion PMID: 25973026
- Expression of tumor necrosis factor receptor-assicated factor 4 correlates with expression of Girdin and promotes nuclear translocation of Girdin in breast cancer PMID: 25591657
- p70s6k/S6 signaling pathway played an important role in the promoting function of TRAF4 on cell proliferation. This work suggests a new direction for understanding the oncogenic function of TRAF4 in breast cancer. PMID: 25738361
- Recent data implicates TRAF4 in carcinogenesis. The molecular mechanism addressing TRAF4 to tight junctions involves lipid binding by the TRAF domain. Review. PMID: 25840457
- TRAF4 upregulated PRMT5 expression, which occurred predominantly in the nucleus, on which TRAF4 promotion of cell proliferation in breast cancer is mainly dependent. PMID: 25704480
- Data indicate that TRAF4 is specifically overexpressed in human breast cancer cells and plays an important role in tumorigenesis of breast cancer through direct interaction and activation of Akt. PMID: 24993240
- Results identified beta-catenin as a TRAF4-binding protein, TRF4 enhanced expression of beta-catenin, and mediated its translocation from the cytoplasm to the nucleus, thereby facilitating activation of the Wnt signaling pathway in breast cancer. PMID: 24990246
- promotes tumorigenesis in osteosarcoma cell lines via Akt signaling PMID: 25700355
- review highlights TGF-beta-induced SMAD-dependent signaling and non-SMAD signaling as the major pathways regulated by TRAF4 involved in breast cancer metastasis PMID: 25249198
- Data indicate that tumor necrosis factor (TNF) receptor-associated factor 4 (TRAF4) regulated osteosarcoma cell growth in vitro and in vivo, suggesting a candidate molecular target for osteosarcoma prevention and therapy. PMID: 25270078
- As a first step towards elucidating the molecular mechanisms of the TRAF4-mediated signalling pathway, the first crystal structure of the human TRAF4 TRAF domain with a coiled-coil domain is reported at 2.3 A resolution. PMID: 24419373
- possesses a novel phosphoinositide (PIP)-binding domain crucial for its recruitment to tight junctions PMID: 24311986
- our results suggest that the tumor suppressor microRNA, miR-29a, is one of the regulators of expression in metastatic prostate cancer. PMID: 24100420
- TRAF4 attenuation impaired glucose metabolism by inhibiting expression of Glut1 and HK2 mediated by the Akt pathway. PMID: 24154876
- TRAF4 regulates the TGF-beta pathway and is a key determinant in breast cancer pathogenesis. PMID: 23973329
- The short form of the TRAF4 TRAF domain was purified to homogeneity and crystallized. PMID: 23908043
- Data indicate that Smad ubiquitin regulatory factor Smurf1 regulates cell migration through ubiquitination of tumor necrosis factor receptor-associated factor 4 (TRAF4). PMID: 23760265
- Data iindicate that TRAF2 affects the localization and function of TRAF4 in breast cancer cell lines. PMID: 23743189
- The results indicate that TRAF4 and TRAF6 are overexpressed in IBD. TRAF4 and TRAF6 play different roles in the pathogenesis of IBD PMID: 23431243
- Primary cells from TRAF4-deficient mice display markedly enhanced IL-17-activated signaling pathways and induction of chemokine mRNA/ PMID: 22649194
- Like IKKalpha, TRAF4 is atypical within its family because it is the only TRAF family member to negatively regulate innate immune signaling. IKKalpha's phosphorylation of serine-426 on TRAF4 was required for this negative regulation. PMID: 22547678
- Identify TRAF4 as a novel binding partner for GPIb-IX-V and GPVI in human platelets. PMID: 20946164
- A novel motif in the Crohn's disease susceptibility protein, NOD2, allows TRAF4 to down-regulate innate immune responses. PMID: 21097508
- Involvement in oxidative activation of c-Jun N-terminal kinase PMID: 12023963
- activation of the NF-kappaB pathway is involved in up-regulation of TRAF4 in T-cells PMID: 12354113
- TRAF4 may play a role in p53-mediated proapoptotic signaling in the response to cellular stress PMID: 12788948
- TNF-receptor activation leads to activation of the p70S6K; TRAF4 is a mediator in this TNF-induced signaling pathway; and TRAF4 inhibits Fas-induced apoptosis PMID: 12801526
- MEKK4 is the MAPK kinase kinase for TRAF4 regulation of the JNK pathway PMID: 16157600
- TRAF4 gene amplification is one of the mechanisms responsible for TRAF4 protein overexpression in human cancers PMID: 16799635
- The nuclear expression of TRAF4 in breast carcinoma is suppressed, and correlated to the invasive ability of breast cancer. PMID: 17927880
- Disrupting endogenous p63 expression downregulated TRAF4 mRNA & protein in SCCHN cells. Endogenous p63 bound the TRAF4 promoter in vivo. TAp63 is the most active transactivator of TRAF4. TRAF4 is associated with differentiation of SCCHN cells. PMID: 18087216
- Apart from being a well replicated risk factor for RA, TRAF1/C5 also appears to be a risk factor for the rheumatoid factor-negative polyarthritis subtype of JIA and seems to be associated with subtypes of JIA characterised by a polyarticular course. PMID: 18593758
- TRAF4 is one of the emerging TJ-dependent signaling pathways that responds to cell polarity by regulating the cell proliferation/differentiation balance, and subsequently epithelium homeostasis. PMID: 18953416
顯示更多
收起更多
-
亞細胞定位:Cytoplasm. Nucleus. Cytoplasm, perinuclear region. Cell junction, tight junction. Cell membrane; Peripheral membrane protein; Cytoplasmic side. Cytoplasm, cytoskeleton.
-
蛋白家族:TNF receptor-associated factor family, B subfamily
-
組織特異性:Expressed in epithelial cells of thymus, dendritic cells of lymph node, and in the basal cell layer of epithelia such as epidermis, nasopharynx, respiratory tract, salivary gland, and esophagus.
-
數據庫鏈接:
Most popular with customers
-
-
YWHAB Recombinant Monoclonal Antibody
Applications: ELISA, WB, IHC, IF, FC
Species Reactivity: Human, Mouse, Rat
-
Phospho-YAP1 (S127) Recombinant Monoclonal Antibody
Applications: ELISA, WB, IHC
Species Reactivity: Human
-
-
-
-
-















