TRAF3 Antibody
-
中文名稱:TRAF3兔多克隆抗體
-
貨號:CSB-PA594760
-
規格:¥1100
-
圖片:
-
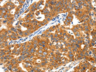
The image on the left is immunohistochemistry of paraffin-embedded Human ovarian cancer tissue using CSB-PA594760(TRAF3 Antibody) at dilution 1/40, on the right is treated with synthetic peptide. (Original magnification: ×200)
-
The image on the left is immunohistochemistry of paraffin-embedded Human lung cancer tissue using CSB-PA594760(TRAF3 Antibody) at dilution 1/40, on the right is treated with synthetic peptide. (Original magnification: ×200)
-
Gel: 8+10+12%SDS-PAGE, Lysate: 60 μg, Lane: Human fetal kidney tissue, Primary antibody: CSB-PA594760(TRAF3 Antibody) at dilution 1/500, Secondary antibody: Goat anti rabbit IgG at 1/8000 dilution, Exposure time: 40 seconds
-
-
其他:
產品詳情
-
Uniprot No.:
-
基因名:
-
別名:CAP 1 antibody; CAP-1 antibody; CAP1 antibody; CD40 associated protein 1 antibody; CD40 binding protein antibody; CD40 bp antibody; CD40 receptor associated factor 1 antibody; CD40 receptor-associated factor 1 antibody; CD40-binding protein antibody; CD40BP antibody; CRAF 1 antibody; CRAF1 antibody; IIAE5 antibody; LAP 1 antibody; LAP1 antibody; LMP1 associated protein antibody; LMP1-associated protein 1 antibody; MIPT3 antibody; TNF receptor associated factor 3 antibody; TNF receptor-associated factor 3 antibody; TRAF 3 antibody; Traf3 antibody; TRAF3_HUMAN antibody
-
宿主:Rabbit
-
反應種屬:Human
-
免疫原:Synthetic peptide of Human TRAF3
-
免疫原種屬:Homo sapiens (Human)
-
標記方式:Non-conjugated
-
抗體亞型:IgG
-
純化方式:Antigen affinity purification
-
濃度:It differs from different batches. Please contact us to confirm it.
-
保存緩沖液:-20°C, pH7.4 PBS, 0.05% NaN3, 40% Glycerol
-
產品提供形式:Liquid
-
應用范圍:ELISA,WB,IHC
-
推薦稀釋比:
Application Recommended Dilution ELISA 1:2000-1:5000 WB 1:200-1:1000 IHC 1:50-1:200 -
Protocols:
-
儲存條件:Upon receipt, store at -20°C or -80°C. Avoid repeated freeze.
-
貨期:Basically, we can dispatch the products out in 1-3 working days after receiving your orders. Delivery time maybe differs from different purchasing way or location, please kindly consult your local distributors for specific delivery time.
-
用途:For Research Use Only. Not for use in diagnostic or therapeutic procedures.
相關產品
靶點詳情
-
功能:Regulates pathways leading to the activation of NF-kappa-B and MAP kinases, and plays a central role in the regulation of B-cell survival. Part of signaling pathways leading to the production of cytokines and interferon. Required for normal antibody isotype switching from IgM to IgG. Plays a role T-cell dependent immune responses. Plays a role in the regulation of antiviral responses. Is an essential constituent of several E3 ubiquitin-protein ligase complexes. May have E3 ubiquitin-protein ligase activity and promote 'Lys-63'-linked ubiquitination of target proteins. Inhibits activation of NF-kappa-B in response to LTBR stimulation. Inhibits TRAF2-mediated activation of NF-kappa-B. Down-regulates proteolytic processing of NFKB2, and thereby inhibits non-canonical activation of NF-kappa-B. Promotes ubiquitination and proteasomal degradation of MAP3K14.
-
基因功能參考文獻:
- A TRAF3-NIK axis differentially regulates viral DNA vs RNA pathways in innate immune signaling. PMID: 30018345
- Association between the rs1883832 and rs3765459 CD40 gene polymorphism and susceptibility to cervical cancer in a subset of Malaysian population. PMID: 28181356
- Study demonstrated that TRAF3, as a novel RIP2 binding partner, was downregulated in glioma tissues and functionally was a negative regulator involved in RIP2induced glioma cell growth. PMID: 29693188
- Data show that TNF receptor-associated factor 3 (TRAF3) autophagy is driven by RAS and results in activation of transcription factor RelB (RELB). PMID: 29146913
- MicroRNA-214 regulates immunity-related genes in bovine mammary epithelial cells by targeting NFATc3 and TRA PMID: 28627449
- These results indicate that TRAF3 deficiency suffices to metabolically reprogram B cells, a finding that improves our understanding of the role of TRAF3 as a tumor suppressor, and suggests potential therapeutic strategies. PMID: 27752131
- Viral proteins aim to subvert TRAF3 antiviral action. PMID: 27208423
- Mechanistic studies showed that HACE1 exerts its inhibitory role on virus-induced signaling by disrupting the MAVS-TRAF3 complex. PMID: 27213432
- An important B cell-specific role for TNFR-associated factor 3 is the inhibition of homeostatic survival, directly relevant to the common occurrence of TNFR-associated factor 3 mutations in human B cell malignancies. Review. PMID: 27154354
- The current investigations identified a subset of HPV-positive HNSCCs with mutations in the genes TRAF3 (tumor necrosis factor receptor-associated factor 3) and CYLD (cylindromatosis lysine 63 deubiquitinase). Defects in TRAF3 and CYLD correlated with the activation of transcriptional factor nuclear factor kappaB, episomal HPV status of tumors, and improved patient survival. PMID: 28295222
- NDR1 interacts with TRAF3 and interferes with the association of TRAF3 and IL-17R, resulting in increased formation of the activation complex IL-17R-Act1, which is required for the downstream signaling and production of pro-inflammatory factors PMID: 28219902
- Data suggest that UBR5 down-regulates levels of TRAF3, a key component of Toll-like receptor signaling, via the miRNA pathway; p90RSK is an upstream regulator of UBR5; p90RSK phosphorylates UBR5 as required for translational repression of TRAF3 mRNA. (UBR5 = ubiquitin protein ligase E3 component n-recognin 5 protein; TRAF3 = TNF receptor-associated factor 3; p90RSK = 90 kDa ribosomal protein S6 kinase) PMID: 28559278
- The GA genotype and GA+AA genotype of TRAF3 rs12147254 were found to increase the risk of coronary heart disease among T2DM patients. the GACGAC haplotype in TRAF3 had a protective effect on T2DM micro-macrovascular complications. PMID: 28479387
- These data suggest an interplay between CELF2 and hnRNP C as the mechanistic basis for activation-dependent alternative splicing of TRAF3 exon 8. PMID: 28031331
- DDX3 directly regulates TRAF3 ubiquitination and acts as a scaffold to co-ordinate assembly of signaling complexes downstream from MAVS. PMID: 27980081
- The NleB effector limited host IFN-beta production by inhibiting Lys(63)-linked ubiquitination of TNF receptor-associated factor 3 (TRAF3). Inhibition was dependent on the glycosyltransferase activity of NleB. PMID: 27387501
- TRAF3 epigenetics may significantly contribute to the variability of clopidogrel response and recurrence of ischemic events in patients with stroke. PMID: 27026631
- Taken all together, Helicobacter pylori toxin Tip-alpha might activate NF-kappaB to promote inflammation and carcinogenesis by inhibiting miR-3178 expression, which directly targets TRAF3, during Helicobacter pylori infection in gastric mucosal epithelial cells. PMID: 27493095
- PLK1 overexpression in prostate epithelial cells triggers oncogenic transformation. The signaling mechanisms underlying the observed cellular effects of PLK1 involve direct PLK1-dependent phosphorylation of CRAF with subsequent stimulation of the MEK1/2-ERK1/2-Fra1-ZEB1/2 signaling pathway. PMID: 27003818
- These findings suggest that RNF166 positively regulates RNA virus-triggered IFN-beta production by enhancing the ubiquitination of TRAF3 and TRAF6. PMID: 26456228
- Findings establish CK1varepsilon as a regulator of antiviral innate immune responses and indicate a novel mechanism of immunoregulation that involves CK1varepsilon-mediated phosphorylation of TRAF3. PMID: 26928339
- findings identify TRAF3 and PTPN22 as inhibitors of IL-6R signaling in B cells and reveal a previously uncharacterized role for TRAF3 in the regulation of plasma cell differentiation PMID: 26329582
- TRAF3 regulates B-cell survival via inhibition of CREB stability PMID: 26755589
- ESR1 directly interacts with TRAF3 and promotes K48-linked proteasomal degradation of TRAF3. PMID: 26186972
- these findings demonstrate that WDR82 is a negative regulator of virus-triggered type I IFNs pathway through mediating TRAF3 polyubiquitination status and stability on mitochondria. PMID: 26519536
- RIG-I-like receptor mediated antiviral innate immune responses in the lower respiratory tract involves TRAF3 and TRAF5 signaling. PMID: 26454171
- TRAF3 regulates signaling to T cells not only through costimulatory members of the TNFR superfamily, but also through the T cell receptor complex, and cytokine receptors. PMID: 25723057
- Tumor necrosis factor receptor-associated factor 3 (TRAF3) is a positive regulator of pathological cardiac hypertrophy in mice and humans. PMID: 26034202
- Focal genetic loss of TRAF3 is recurrent in human diffuse large B-cell lymphoma. PMID: 25468570
- The role of TRAF3 and NIK in T cell malignancies is clarified. Results indicate that TRAF3 differentially governs the growth of B and T cell cancers. PMID: 24739416
- It has become increasingly evident that the roles and functions of TRAF3 are highly context-dependent. TRAF3 can serve distinct roles for different receptors in the same cell, and also has highly cell-type-dependent functions. PMID: 24433987
- After viral infection, HSCARG interacted with tumor necrosis receptor-associated factor 3 (TRAF3) and inhibited its ubiquitination by promoting the recruitment of OTUB1 to TRAF3. PMID: 24763515
- SUMOylation is required for optimal TRAF3 signaling capacity. PMID: 24260396
- a mechanistic basis for Traf3 alternative splicing and ncNFkappaB activation in contributing to T cell-dependent adaptive immunity. PMID: 24671418
- These findings demonstrate that herpes simplex virus 1 ubiquitin-specific protease UL36 removes polyubiquitin chains on TRAF3 and counteracts the IFN-beta pathway. PMID: 23986588
- noncanonical NF-kappaB activation by Tio depends on a distinct sequence motif that directly recruits tumor necrosis factor receptor-associated factor 3 (TRAF3). PMID: 23612708
- TRAF3 and TRAF5 are overexpressed in inflammatory bowel disease. Although the endoscopic appearance can be normal, TRAF3 and TRAF5 pre-activation can be detected in non-inflamed colonic segments PMID: 23329887
- In an attempt to explore TRAF3 binding partners that may be involved in TRAF3-regulated signaling, a yeast two-hybrid screen of a human spleen cDNA library was undertaken. RIP2 was identified as a TRAF3 binding partner. PMID: 23333941
- Levels of TRAF3 degradation correlate with number of cells infected with Chlamydia pneumoniae, because more TRAF3 is detected at a lower multiplicity of C. pneumoniae infection. PMID: 23303668
- model proposed where dsDNA and dsRNA sensing induces the formation of membrane-bound compartments originating from the Golgi, which mediate the dynamic association of TRAF3 with MAVS leading to an optimal induction of innate immune responses PMID: 22792062
- Ubiquitination of NEMO negatively regulates the interferon antiviral response through disruption of the MAVS-TRAF3 complex. PMID: 22901541
- A novel microRNA-32 mediated mechanism regulates TRAF3 in human microglial cells exposed to human immunodeficiency virus (HIV)-1 Tat protein. PMID: 22709905
- TRAF3 functioned as ubiquitin E3 ligase for calcineurin and promoted its degradation. PMID: 22715070
- Genetic lesions of the TRAF3 and MAP3K14 genes in classical Hodgkin lymphoma. PMID: 22469134
- MIP-T3 is unique among cellular inhibitors of innate immunity because it appears to affect TRAF3 ubiquitination only slightly, but is capable of preventing TRAF3 from engaging downstream transducers and effectors. PMID: 22079989
- TRAF3 participates in a number of the regulatory post-translational modifications involving ubiquitin that are important in various signaling pathways. PMID: 22017431
- Data show that IKBalpha, NFKB2, and TRAF3 gene polymorphisms play a role in the development of multiple myeloma and in the response to bortezomib therapy. PMID: 21228035
- Studies indicate that TRAF3 plays a highly versatile role of in immunity-related signal transduction. PMID: 21660053
- Lack of TRAF3 expression might be one of the reasons for the aberrant expression of the unclassical NF-kappaB activity in Hodgkin's lymphoma cells. PMID: 19954665
- In contrast to TRAF3 transgenic mice lacking TRAF3 in B cells, T cell TRAF3-deficient mice exhibit defective IgG1 responses to T-dependent antigen, as well as impaired T cell-mediated immunity to infection with Listeria monocytogenes. PMID: 21084666
顯示更多
收起更多
-
相關疾病:Herpes simplex encephalitis 3 (HSE3)
-
亞細胞定位:Cytoplasm. Endosome. Mitochondrion.
-
蛋白家族:TNF receptor-associated factor family, A subfamily
-
數據庫鏈接:
Most popular with customers
-
-
YWHAB Recombinant Monoclonal Antibody
Applications: ELISA, WB, IHC, IF, FC
Species Reactivity: Human, Mouse, Rat
-
-
-
-
-
-















