TP63 Antibody
-
中文名稱:TP63兔多克隆抗體
-
貨號:CSB-PA158988
-
規格:¥1100
-
圖片:
-
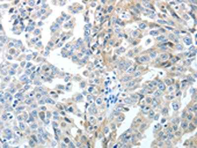
The image on the left is immunohistochemistry of paraffin-embedded Human thyroid cancer tissue using CSB-PA158988(TP63 Antibody) at dilution 1/20, on the right is treated with fusion protein. (Original magnification: ×200)
-
The image on the left is immunohistochemistry of paraffin-embedded Human ovarian cancer tissue using CSB-PA158988(TP63 Antibody) at dilution 1/20, on the right is treated with fusion protein. (Original magnification: ×200)
-
Gel: 10%SDS-PAGE, Lysate: 40 μg, Lane: Mouse bladder tissue, Primary antibody: CSB-PA158988(TP63 Antibody) at dilution 1/400, Secondary antibody: Goat anti rabbit IgG at 1/8000 dilution, Exposure time: 2 minutes
-
-
其他:
產品詳情
-
Uniprot No.:
-
基因名:
-
別名:AIS antibody; Amplified in squamous cell carcinoma antibody; B(p51A) antibody; B(p51B) antibody; Chronic ulcerative stomatitis protein antibody; CUSP antibody; DN p63 alpha 1 antibody; DNp63 antibody; EEC3 antibody; id:ibd3516 antibody; Keratinocyte transcription factor antibody; Keratinocyte transcription factor KET antibody; KET antibody; LMS antibody; MGC115972 antibody; MGC192897 antibody; NBP antibody; OFC8 antibody; OTTHUMP00000209732 antibody; OTTHUMP00000209733 antibody; OTTHUMP00000209734 antibody; OTTHUMP00000209735 antibody; OTTHUMP00000209737 antibody; OTTHUMP00000209738 antibody; OTTHUMP00000209739 antibody; OTTHUMP00000209740 antibody; OTTHUMP00000209741 antibody; OTTHUMP00000209742 antibody; OTTHUMP00000209743 antibody; OTTHUMP00000209744 antibody; p40 antibody; p51 antibody; P51/P63 antibody; p53-related protein p63 antibody; p53CP antibody; p63 antibody; P63_HUMAN antibody; p73H antibody; p73L antibody; RHS antibody; SHFM4 antibody; TAp63alpha antibody; TP53CP antibody; TP53L antibody; TP63 antibody; TP73L antibody; Transformation related protein 63 antibody; Transformation-related protein 63 antibody; Trp53rp1 antibody; Trp63 antibody; Tumor protein 63 antibody; Tumor protein p53-competing protein antibody; Tumor protein p53-like antibody; Tumor protein p63 antibody; Tumor protein p63 deltaN isoform delta antibody; Tumor protein p73 antibody; Tumor protein p73-like antibody
-
宿主:Rabbit
-
反應種屬:Human,Mouse,Rat
-
免疫原:Fusion protein of Human TP63
-
免疫原種屬:Homo sapiens (Human)
-
標記方式:Non-conjugated
-
抗體亞型:IgG
-
純化方式:Antigen affinity purification
-
濃度:It differs from different batches. Please contact us to confirm it.
-
保存緩沖液:-20°C, pH7.4 PBS, 0.05% NaN3, 40% Glycerol
-
產品提供形式:Liquid
-
應用范圍:ELISA,WB,IHC
-
推薦稀釋比:
Application Recommended Dilution ELISA 1:1000-1:2000 WB 1:200-1:1000 IHC 1:25-1:100 -
Protocols:
-
儲存條件:Upon receipt, store at -20°C or -80°C. Avoid repeated freeze.
-
貨期:Basically, we can dispatch the products out in 1-3 working days after receiving your orders. Delivery time maybe differs from different purchasing way or location, please kindly consult your local distributors for specific delivery time.
-
用途:For Research Use Only. Not for use in diagnostic or therapeutic procedures.
相關產品
靶點詳情
-
功能:Acts as a sequence specific DNA binding transcriptional activator or repressor. The isoforms contain a varying set of transactivation and auto-regulating transactivation inhibiting domains thus showing an isoform specific activity. Isoform 2 activates RIPK4 transcription. May be required in conjunction with TP73/p73 for initiation of p53/TP53 dependent apoptosis in response to genotoxic insults and the presence of activated oncogenes. Involved in Notch signaling by probably inducing JAG1 and JAG2. Plays a role in the regulation of epithelial morphogenesis. The ratio of DeltaN-type and TA*-type isoforms may govern the maintenance of epithelial stem cell compartments and regulate the initiation of epithelial stratification from the undifferentiated embryonal ectoderm. Required for limb formation from the apical ectodermal ridge. Activates transcription of the p21 promoter.
-
基因功能參考文獻:
- TP63 role in the squamous cancer progression.CCAT1 is a key target co-regulated by TP63 and SOX2 through a super-enhancer in squamous cancer cells. PMID: 30190462
- lncRNA RP185F18.6 and DeltaNp63 may be considered unfavorable biomarkers, whereas GSDMD may be a favorable biomarker in colorectal cancer (CRC) ; these markers may prove valuable in the future diagnosis and prognosis of CRC. PMID: 30226619
- Data identified an enhancer region within the TP63/LEPREL1 locus containing genetic variants associated with bladder cancer risk. PMID: 29956121
- The malignant lesions showed significantly lower values than the benign lesions in the percentage of p63+ clusters, the percentage of p63+ single cells in the clusters, and the number of p63+ single cells in the background. PMID: 30043485
- Expression of TAp63, IKKbeta and XBP1s is also increased in livers of obese patients with liver steatosis . PMID: 28480888
- p63 may act as either an oncogene or a tumor suppressor gene in different scenarios: TA isoforms of p63 gene are generally tumor-suppressive through repressing cell proliferation, survival and metastasis; DeltaN isoforms, however, may initiate tumorigenesis via promoting cell proliferation and survival. (Review) PMID: 28975366
- Low TP63 expression is associated with neoplasms. PMID: 29180475
- Studies suggest for dissecting tumor protein p63 (p63)-controlled mechanisms in normal and diseased epidermal development and for developing therapeutic options [Review]. PMID: 29103147
- In leukoplakia, increased expression of survivin reflects on the increased expression of ki-67 and p63. PMID: 28346726
- Gene-gene interaction between MSX1 and TP63 may influence the risk of nonsyndromic cleft lip with or without cleft palate in Asian populations. PMID: 29341488
- High N-terminally truncated isoform of p63 expression is associated with squamous cell carcinogenesis. PMID: 29735662
- The rs35592567 polymorphism in TP63 affected the expression of TP63 by interfering with its interaction with miR-140, and could serve as an explanation for the increased risk of Gastric Cancer. PMID: 29763931
- The data from this study showed that p63 was a tumor suppressor mainly through regulating PTEN in chondrosarcoma cells. PMID: 29441939
- we first demonstrated that upregulation of P63 in the cartilage tissues of osteoarthritis (OA) patients inhibited chondrocyte autophagy thereby contributing to the malignant progression of OA. PMID: 29442026
- high DeltaNp63beta expression up-regulates KLK6-PAR2 and down-regulates PAR1, inducing malignant transformation in oral epithelium with stimulating proliferation through ERK signal activation PMID: 29224812
- multiple ankyloblepharon-ectodermal defects-cleft lip/palate syndrome-associated p63 mutations, but not those causative of other diseases, lead to thermodynamic protein destabilization, misfolding, and aggregation PMID: 29339502
- LINC01503 is increased in squamous cell carcinoma (SCC) cells compared with non-tumor cells. TP63 bound to the super enhancer at the LINC01503 locus activates its transcription which promotes SCC cell proliferation, migration, invasion, and growth of xenograft tumors. PMID: 29454790
- we provide evidence that S100A7 also inhibits YAP expression and activity through p65/NFkappaB-mediated repression of DeltaNp63, and S100A7 represses drug-induced apoptosis via inhibition of YAP. PMID: 28923839
- DeltaNp63 promotes head and neck squamous cell carcinoma tumorigenesis via regulation of hyaluronic acid metabolism. p63 expression is a negative prognostic factor of HNSCC patient survival. PMID: 29162693
- cases illustrate that: there is significant familial variability, including discordant major but concordant minor anomalies in the first ever reported set of molecularly confirmed monozygotic twins with pathogenic variants in TP63. PMID: 29130604
- results reveal a critical role for KMT2D in the control of epithelial enhancers and p63 target gene expression. PMID: 29440247
- Loss of Nrf2 inhibits deltaNp63 stem cell mobilization, a key event for reconstitution of radiation-injured lung, while promoting a myofibroblast phenotype that is central for fibrosis. PMID: 28870520
- PKC-delta played as a protective role in squamous cell carcinomas partly by down-regulating p63, leading to the suppression of squamous cell carcinomas cell proliferation PMID: 28756980
- Immunocytochemical staining using cocktail antibody targeting p63/CK14 was useful for the differential diagnosis of FA and DCIS in FNAC of the breast. PMID: 28685877
- Authors conclude that TP63 mutations are frequent in cutaneous melanoma, support UV etiology, but their role in melanomagenesis is unclear. PMID: 28849221
- that both major p63 protein isoforms are expressed in triple-negative breast cancers with different tumour characteristics, indicating distinct functional activities of p63 variants in breast cancer PMID: 29484502
- p63-DBD is capable of binding to anti-apoptotic BclxL via its DNA binding interface, a feature that has only been shown for p53 so far. PMID: 27225672
- The data indicate that EPCR can regulate p63, is associated with highly proliferative keratinocytes, and is a potential human epidermal stem cell marker. PMID: 28480559
- miR-124 regulates p63 via iASPP, while p63 targets miR-155 via the modulation of STAT1 expression in colorectal cancer. PMID: 28418858
- The number of p63(+) cells is significantly higher in both hyperplastic (1.53-fold, P < 0.0001) and squamous metaplastic (2.02-fold, P < 0.0001) epithelium from nasal polyps than from healthy controls PMID: 27807867
- In p53-deficient breast cancers, compensatory mechanism of NFkB repression by p63 and p73 during genotoxic stress could lead to complex effects that would influence all aspects of tumor progression. PMID: 29107083
- findings illustrate that DeltaNp63alpha can inhibit the levels of LIF mRNA by direct transcription regulation and decrease LIF mRNA stability by suppressing the expression of Lnc-LIF-AS. An inverse interaction of LIF and DeltaNp63alpha expression was as well validated in clinical samples of cervical cancer, and high level of LIF in cervical cancers was related with poor patient survival. PMID: 28391028
- Negative staining for CK5/6 and p63 can be helpful to distinguish Well-differentiated neuroendocrine tumors (WDNETs) from cutaneous adnexal neoplasms. It is important to consider WDNETs in the differential diagnosis of cutaneous adnexal neoplasms as low-grade tumors may be the first sign of aggressive metastatic disease PMID: 28417484
- EGFR pathway gene expression analysis indicated that DeltaNp63 alters EGFR-regulated genes involved in cell adhesion, migration, and angiogenesis. Addition of EGF or neutralizing EGFR antibodies demonstrated that EGFR activation is responsible for DeltaNp63-mediated loss of cellular adhesion PMID: 28349272
- SNHG1 might play an oncogenic role in SCC through ZEB1 signaling pathway by inhibiting TAp63. PMID: 28415044
- This review discusses the evidence of DeltaNp63alpha as a master regulator of epithelial-mesenchymal transition (EMT) components and miRNA, highlighting the need for a deeper understanding of its role in EMT.[review] PMID: 27924063
- miR-223-5p overexpression is a putative pathological mechanism of tumor invasion and a promising therapeutic target; both miR-223-5p and p63 may be prognostic factors in vulvar cancer PMID: 27359057
- miR-133b plays an important role in the anti-tumor effects of TAp63 in colorectal cancer. PMID: 27894087
- Data show that a dominant-negative effect is widely spread within the p53/p63/p73 family as all p53 loss-of-function hotspot mutants and several of the isoforms of p53 and p73 tested exhibit a dominant-negative potential. PMID: 27589690
- As a transcriptionally regulated program, urothelial differentiation operates as a heterarchy, wherein GATA3 is able to co-operate with FOXA1 to drive expression of luminal marker genes, but that P63 has potential to transrepress expression of the same genes. PMID: 28282036
- the majority of cells within the tumor appears to express predominantly TAp63 isoform. While DeltaNp63 exerts its effects by regulating a PI3K/CD44v6 pathway. PMID: 27494839
- These data suggest that TP63 is a novel Lacrimo-auriculo-dento-digital syndrome gene and may also influence corneal thickness and risk for open-angle glaucoma. PMID: 28400699
- the strong repression of Np63 by H-RAS and PIK3CA and induction of EMT suggest that this process is critical for mammary tumorigenesis. PMID: 27681615
- Study reveals the existence of a functional cross-talk between two distinct post translational modification controlling DeltaNp63alpha protein turnover. The sumoylation and ubiquitylation of DeltaNp63alpha are strongly intertwined, and none of them can efficiently occur if the other is impaired. PMID: 29246538
- This study suggests that in patients with CD30+ lymphoproliferative disorders, an aggressive clinical course cannot be defined by the presence of TP63 rearrangements, as was recently shown in systemic ALK negative anaplastic large cell lymphoma. PMID: 27146432
- This study revealed the possible association between TP63 and Mullerian duct anomalies and suggested a potential contribution of microRNA-regulated expression of genes in the etiology of Mullerian duct anomalies. PMID: 27798044
- the roles of DeltaNp63alpha during corneal wound healing PMID: 29090620
- We identified a list of thirty genes repressed by DeltaNp63 in a SETDB1-dependent manner, whose expression is positively correlated to survival of breast cancer patients. These results suggest that p63 and SETDB1 expression, together with the repressed genes, may have diagnostic and prognostic potential PMID: 26840455
- Dysregulation of JAM-A via p63/GATA-3 signaling pathway occurs in squamous cell carcinomas of the head and neck. PMID: 27036044
- This study investigated the expression of p40 protein in meningiomas and explored its usefulness as prognostic marker in addition to PgR and Ki67. PMID: 27394131
顯示更多
收起更多
-
相關疾病:Acro-dermato-ungual-lacrimal-tooth syndrome (ADULT syndrome); Ankyloblepharon-ectodermal defects-cleft lip/palate (AEC); Ectrodactyly, ectodermal dysplasia, and cleft lip/palate syndrome 3 (EEC3); Split-hand/foot malformation 4 (SHFM4); Limb-mammary syndrome (LMS); Ectodermal dysplasia, Rapp-Hodgkin type (EDRH); Non-syndromic orofacial cleft 8 (OFC8)
-
亞細胞定位:Nucleus.
-
蛋白家族:P53 family
-
組織特異性:Widely expressed, notably in heart, kidney, placenta, prostate, skeletal muscle, testis and thymus, although the precise isoform varies according to tissue type. Progenitor cell layers of skin, breast, eye and prostate express high levels of DeltaN-type i
-
數據庫鏈接:
Most popular with customers
-
YWHAB Recombinant Monoclonal Antibody
Applications: ELISA, WB, IHC, IF, FC
Species Reactivity: Human, Mouse, Rat
-
-
-
-
-
-
-
VCP Recombinant Monoclonal Antibody
Applications: ELISA, WB, IHC, IF, IP
Species Reactivity: Human, Rat















