TP53I3 Antibody
-
中文名稱:TP53I3兔多克隆抗體
-
貨號:CSB-PA687492ESR1HU
-
規格:¥440
-
圖片:
-
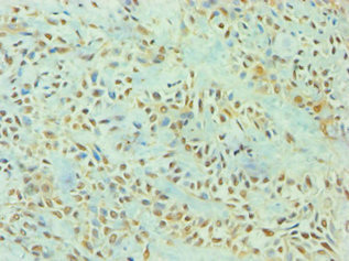
Immunohistochemistry of paraffin-embedded human breast cancer using CSB-PA687492ESR1HU at dilution of 1:100
-
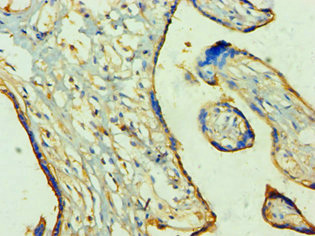
Immunohistochemistry of paraffin-embedded human placenta tissue using CSB-PA687492ESR1HU at dilution of 1:100
-
Immunohistochemistry of paraffin-embedded human epityphlon tissue using CSB-PA687492ESR1HU at dilution of 1:100
-
-
其他:
產品詳情
-
產品名稱:Rabbit anti-Homo sapiens (Human) TP53I3 Polyclonal antibody
-
Uniprot No.:
-
基因名:
-
別名:p53 induced gene 3 protein antibody; p53-induced gene 3 protein antibody; Putative quinone oxidoreductase antibody; QORX_HUMAN antibody; quinone oxidoreductase homolog antibody; Quinone oxidoreductase PIG3 antibody; TP53I3 antibody; Tumor protein p53 inducible protein 3 antibody; Tumor protein p53-inducible protein 3 antibody
-
宿主:Rabbit
-
反應種屬:Human
-
免疫原:Recombinant Human Quinone oxidoreductase PIG3 protein (163-332AA)
-
免疫原種屬:Homo sapiens (Human)
-
標記方式:Non-conjugated
-
克隆類型:Polyclonal
-
抗體亞型:IgG
-
純化方式:Antigen Affinity Purified
-
濃度:It differs from different batches. Please contact us to confirm it.
-
保存緩沖液:PBS with 0.02% sodium azide, 50% glycerol, pH7.3.
-
產品提供形式:Liquid
-
應用范圍:ELISA, IHC
-
推薦稀釋比:
Application Recommended Dilution IHC 1:20-1:200 -
Protocols:
-
儲存條件:Upon receipt, store at -20°C or -80°C. Avoid repeated freeze.
-
貨期:Basically, we can dispatch the products out in 1-3 working days after receiving your orders. Delivery time maybe differs from different purchasing way or location, please kindly consult your local distributors for specific delivery time.
-
用途:For Research Use Only. Not for use in diagnostic or therapeutic procedures.
相關產品
靶點詳情
-
功能:May be involved in the generation of reactive oxygen species (ROS). Has low NADPH-dependent beta-naphthoquinone reductase activity, with a preference for 1,2-beta-naphthoquinone over 1,4-beta-naphthoquinone. Has low NADPH-dependent diamine reductase activity (in vitro).
-
基因功能參考文獻:
- Results revealed that PIG3 expression levels positively correlated with poor prognosis of non-small cell lung cancer (NSCLC) patients and indicate that PIG3 promotes NSCLC progression. PMID: 28259183
- Data suggest that PIG3 was involved in HIF-1alpha regulation, and indicate a signaling pathway of PIG3/HIF-1alpha in the regulation of cell migration in renal cell carcinoma. PMID: 27029070
- our data suggest that high expression of p53-inducible gene 3 is significant for glioblastoma inhibition and p53-inducible gene 3 independently indicates good prognosis in patients, which might be a novel prognostic biomarker or potential therapeutic target in glioblastoma. PMID: 28351326
- Data indicate that knockdown of p53-induced gene 3 (PIG-3) expression by small interfering RNA (siRNA) treatment can inhibit the generation of reactive oxygen species (ROS). PMID: 26472723
- The results suggested that PIG3 plays an oncogenic role in PTC via the regulation of the PI3K/AKT/PTEN pathway and support the exploration of PIG3 as a novel biomarker for patients with papillary thyroid carcinoma PMID: 26133772
- PIG3, which functions in DNA damage repair, uses an unexpected catalytic mechanism to suppress Rho-ROCK activity and impair tumor invasion in vivo. This regulation was suppressed by antioxidants. PMID: 26464464
- prohibitin and prohibiton (PHB2) contribute to PIG3-mediated apoptosis by binding to the PIG3 promoter (TGYCC)15 motif PMID: 24388982
- study provides evidence that the variant genotypes of (TGYCC)n repeats in the PIG3 promoter are functional and associated with risk of squamous cell carcinoma of the head and neck in a non-Hispanic white population PMID: 23241165
- a novel signaling pathway of GPx3-PIG3 in the regulation of cell death in prostate cancer. PMID: 22461624
- certain p53 mutatants activate PIG3, whereas the result of our study show increased full-length transcript expression in tumor counterparts PMID: 20603616
- Results suggest that PIG3 is a critical component of the DNA damage response pathway and has a direct role in the transmission of the DNA damage signal from damaged DNA to the intra-S and G2/M checkpoint machinery. PMID: 20023697
- p53 activity and PIG3 gene function are uncoupled by UV-dependent alternative splicing through rapid proteolytic degradation PMID: 15067011
- suppression of p53-C277Y by RNAi reduced pig3 promoter activity, RNA, and protein expression PMID: 15192123
- numerous factors contribute to the normal alternative splicing of PIG3 exon 4 and UV-inducible increases in this process require that the splicing of this exon be maintained in a sufficiently weakened state under normal conditi PMID: 18801469
- PIG3 action is through oxidative stress produced by its enzymatic activity and provides essential knowledge for eventual control of apoptosis. PMID: 19349281
顯示更多
收起更多
-
蛋白家族:Zinc-containing alcohol dehydrogenase family, Quinone oxidoreductase subfamily
-
數據庫鏈接:
Most popular with customers
-
-
YWHAB Recombinant Monoclonal Antibody
Applications: ELISA, WB, IHC, IF, FC
Species Reactivity: Human, Mouse, Rat
-
Phospho-YAP1 (S127) Recombinant Monoclonal Antibody
Applications: ELISA, WB, IHC
Species Reactivity: Human
-
-
-
-
-















