TNFSF13 Antibody
-
中文名稱:TNFSF13兔多克隆抗體
-
貨號:CSB-PA935662
-
規格:¥1100
-
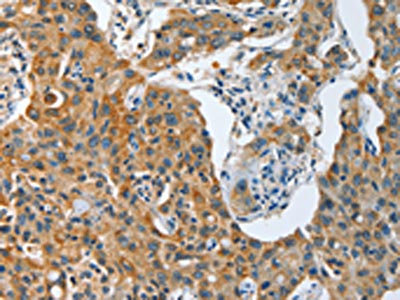
圖片:
-
The image on the left is immunohistochemistry of paraffin-embedded Human lung cancer tissue using CSB-PA935662(TNFSF13 Antibody) at dilution 1/30, on the right is treated with fusion protein. (Original magnification: ×200)
-
The image on the left is immunohistochemistry of paraffin-embedded Human gastric cancer tissue using CSB-PA935662(TNFSF13 Antibody) at dilution 1/30, on the right is treated with fusion protein. (Original magnification: ×200)
-
-
其他:
產品詳情
-
Uniprot No.:
-
基因名:
-
別名:A proliferation inducing ligand antibody; A proliferation-inducing ligand antibody; APRIL antibody; CD256 antibody; TALL-2 antibody; TALL2 antibody; TNF related death ligand antibody; TNF- and APOL-related leukocyte expressed ligand 2 antibody; TNF-related death ligand 1 antibody; TNF13_HUMAN antibody; TNFSF13 antibody; TRDL-1 antibody; TRDL1 antibody; Tumor necrosis factor (ligand) superfamily; member 13 antibody; Tumor necrosis factor ligand superfamily member 13 antibody; Tumor necrosis factor like protein ZTNF2 antibody; Tumor necrosis factor related death ligand 1 antibody; UNQ383/PRO715 antibody; ZTNF2 antibody
-
宿主:Rabbit
-
反應種屬:Human,Mouse
-
免疫原:Fusion protein of Human TNFSF13
-
免疫原種屬:Homo sapiens (Human)
-
標記方式:Non-conjugated
-
抗體亞型:IgG
-
純化方式:Antigen affinity purification
-
濃度:It differs from different batches. Please contact us to confirm it.
-
保存緩沖液:-20°C, pH7.4 PBS, 0.05% NaN3, 40% Glycerol
-
產品提供形式:Liquid
-
應用范圍:ELISA,IHC
-
推薦稀釋比:
Application Recommended Dilution ELISA 1:2000-1:5000 IHC 1:25-1:100 -
Protocols:
-
儲存條件:Upon receipt, store at -20°C or -80°C. Avoid repeated freeze.
-
貨期:Basically, we can dispatch the products out in 1-3 working days after receiving your orders. Delivery time maybe differs from different purchasing way or location, please kindly consult your local distributors for specific delivery time.
-
用途:For Research Use Only. Not for use in diagnostic or therapeutic procedures.
相關產品
靶點詳情
-
功能:Cytokine that binds to TNFRSF13B/TACI and to TNFRSF17/BCMA. Plays a role in the regulation of tumor cell growth. May be involved in monocyte/macrophage-mediated immunological processes.
-
基因功能參考文獻:
- TNFSF13, SPATC1L, SLC22A25 and SALL4 may thus be novel susceptibility loci for atrial fibrillation in the Japanese population PMID: 28849223
- The results suggest that increased levels of BAFF and APRIL produced in the central nervous system may influence the development of anti-neutrophil cytoplasmic antibody-hypertrophic pachymeningitis. PMID: 28847534
- The genetic variations and gene expression level of TNFSF13 are associated with the susceptibility and severity of IgA nephropathy in a Han Chinese population. PMID: 28636766
- APRIL levels are associated with disease activity in human chronic graft-versus-host disease. PMID: 26992945
- APRIL but not BLyS promotes IL-10 production by CpG-activated B cells and enhances the regulatory role of B cells on T cells. PMID: 27372914
- BCMA has other contributors for ligands binding except DxL motif. The affinity of BCMA for APRIL higher than for BAFF may be caused by the segment outside of the conservative DxL motif. Moreover, the exposition of new binding modes of BCMA2 interacting with APRIL may establish the foundation of designing novel drugs in the future PMID: 28260502
- APRIL transgenic mice infected by Helicobacter species may represent a novel animal model of gastric lymphomagenesis. PMID: 28460208
- ApoE-/-APRIL-Tg mice have increased oxLDL-specific serum IgM levels, potentially mediated via an increase in B1a lymphocytes PMID: 27820817
- Results showed that chemokine-mediated recruitment of neutrophils secreting the tumor-promoting factor APRIL mediates DLBCL progression. PMID: 27923834
- This study showed that both BAFF and APRIL levels were increased in CSF of patients with anti-NMDAR encephalitis. PMID: 28284352
- The results demonstrated that rs11552708 of the APRIL gene is not associated with Systemic lupus erythematosus (SLE) susceptibility in Iranian children. Likewise, these findings suggest that APRIL antagonist could be a potential therapeutic target to control SLE in children. PMID: 27878683
- New molecular mechanisms of in vivo Multiple Myeloma (MM) growth and immunosuppression critically dependent on BCMA and APRIL in the Bone marrow microenvironment, further supporting targeting this prominent pathway in MM. PMID: 27127303
- Urinary APRIL (uAPRIL) and BAFF (uBAFF) levels were raised significantly in AN. PMID: 27804111
- High expression of APRIL is associated with hepatocellular carcinoma. PMID: 28035399
- Data did not detect any significant association with SNPs of APRIL, SPATA8, PDGFRA, and POLB with Systemic Lupus Erythematosus in Chinese Han Population. PMID: 27569236
- Recombinant human APRIL (rhAPRIL) could rescue HCC cell proliferation inhibited by miR-383. PMID: 26385772
- high expression of APRIL in clear cell renal cell carcinoma was correlated with high Fuhrman nuclear grade, high pathologic stage, and poor overall and cancer-specific survival of the patients PMID: 26296917
- TNFSF13 and FDX1 have potential roles in IgAN in the Han Chinese population. This information may be useful in the development of early prognostics for IgAN. PMID: 26431901
- Did not find any positive association between TNFSF13 SNPs and the risk of IgA nephropathy after adjustment for age and sex, but did find a significant and strong correlation with relevant clinical pathological parameters. PMID: 26370181
- plasma level elevated in IgA nephropathy PMID: 26986150
- results indicate that analysis of serum concentrations of BAFF and APRIL potentially represents a useful tool for the assessment of AIHA disease activity and progression. PMID: 26243624
- Abnormal levels of BAFF/APRIL in pediatric acute lymphoblastic leukemia suggest that BAFF/APRIL are associated with the development and progression of this disease in children PMID: 26950089
- SNPs rs9514828 (BAFF), rs3803800 (APRIL) and rs4985726 (TACI) may be associated with the risk of development of B-cell chronic lymphocytic leukemia in a Polish population. PMID: 26268376
- Data show decrease of serum APRIL levels in diabetic patients with Type-1 Diabetes or Type-2 Diabetes suggesting suggest that APRIL can be considered as a potential modulating cytokine in the inflammatory process of diabetes. PMID: 26469782
- Surface APRIL is elevated in circulating myeloid cells in patients with rheumatoid arthritis, where it is highly correlated with disease activity. PMID: 25729037
- elevated serum levels in patients with Behcet's disease PMID: 25759827
- the elevated presence of APRIL and BLyS in B cell-rich areas of chronically inflamed gingiva suggests that these cytokines may contribute to bone loss by promoting the survival and persistence of RANKL-expressing B cells/plasma cells. PMID: 26150532
- Results show that APRIL was significantly up-regulated in gastric cancer and high levels of APRIL correlated with resistance to cisplatin through the activation of the canonical NF-kappaB pathway. PMID: 25612651
- APRIL could be a potential diagnosed marker to distinguish glottic malignant disease from glottic benign lesion, and it may play an important role in the development of glottic malignant disease. PMID: 24276470
- APRIL expression is correlated with malignant gastrointestinal stromal tumours phenotypes and it may serve as an unfavourable prognostic marker in patients with gastrointestinal stromal tumours PMID: 25393252
- High APRIL expression is associated with breast cancer. PMID: 25750171
- Data suggest that APRIL protein (a proliferation-inducing ligand) could be a potential biomarker for predicting difficult-to-treat cases of lupus nephritis. PMID: 23171638
- APRIL is increased in patients with active systemic lupus erythematosus. PMID: 24748505
- Enhanced APRIL levels are associated with acute lymphoblastic leukemia. PMID: 25582383
- A high APRIL serum level was significantly associated with decreased progression-free survival in follicular lymphoma patients. PMID: 25146008
- APRIL may participate in the formation of seropositive rheumatoid arthritis. PMID: 24898359
- Our results suggest that an elevated level of BAFF/APRIL drives the maturation of B cells, subsequently leading to IgA2 class switching, and possibly to the development of interstitial lung disease in patients with mixed connective tissue disease. PMID: 24252051
- BAFF and APRIL as well as their cognate receptors (BCMA, TACI) correlate with glioma grade. (Meta-analysis) PMID: 24376672
- Show a novel method to obtain soluble human APRIL in Escherichia coli using the elastin-like polypeptide and SUMO (ELP-SUMO) tags. PMID: 24412409
- The levels of APRIL correlate with the progression of childhood ALL, which may provide certain clues for monitoring ALL clinically. PMID: 23887020
- Levels of serum APRIL are useful biomarkers for disease progression and disease activity in multiple myeloma. PMID: 24141333
- APRIL depletion induces cell cycle arrest and apoptosis partly through blocking noncanonical TGF-beta1/ERK. PMID: 23867993
- Increased serum expression of APRIL correlates with the development of colorectal neoplasms. PMID: 23792260
- Although neither serum BAFF nor APRIL correlated with disease activity in the overall population, elevated serum BAFF and reduced APRIL may be markers of renal and CNS disease in systemic lupus erythematosus patients PMID: 23846230
- Our findings indicate TNFSF13 is a prognostic factor in non-small cell lung cancer PMID: 24436270
- Both APRIL and B-cell-activating factor (BAFF) regulate spinal cord injury-induced autoimmunity through B-cell maturation antigen (BMCA). PMID: 23088438
- increased serum levels of BLyS and APRIL in BD patients supports the notion of a critical role for B cell activation factors in BD, particularly in terms of uveitis and disease activity. PMID: 22752534
- Using a capture sequencing strategy, we discovered the B-cell relevant genes IRF8, EBF1, and TNFSF13 as novel targets for IGH deregulation. PMID: 23775715
- APRIL protein is upregulated in the serum of patients with opsoclonus-myoclonus syndrome. PMID: 23324534
- High serum APRIL is associated with multiple myeloma. PMID: 23768867
顯示更多
收起更多
-
亞細胞定位:Secreted.
-
蛋白家族:Tumor necrosis factor family
-
組織特異性:Expressed at high levels in transformed cell lines, cancers of colon, thyroid, lymphoid tissues and specifically expressed in monocytes and macrophages.
-
數據庫鏈接:
Most popular with customers
-
-
YWHAB Recombinant Monoclonal Antibody
Applications: ELISA, WB, IHC, IF, FC
Species Reactivity: Human, Mouse, Rat
-
Phospho-YAP1 (S127) Recombinant Monoclonal Antibody
Applications: ELISA, WB, IHC
Species Reactivity: Human
-
-
-
-
-















