TMEM8B Antibody
-
中文名稱:TMEM8B兔多克隆抗體
-
貨號:CSB-PA923569
-
規格:¥1100
-
圖片:
-
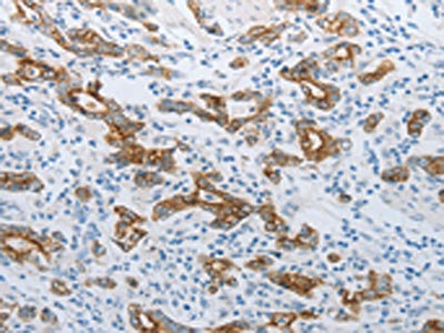
The image on the left is immunohistochemistry of paraffin-embedded Human colon cancer tissue using CSB-PA923569(TMEM8B Antibody) at dilution 1/15, on the right is treated with synthetic peptide. (Original magnification: ×200)
-
The image on the left is immunohistochemistry of paraffin-embedded Human gastric cancer tissue using CSB-PA923569(TMEM8B Antibody) at dilution 1/15, on the right is treated with synthetic peptide. (Original magnification: ×200)
-
-
其他:
產品詳情
-
Uniprot No.:
-
基因名:TMEM8B
-
別名:TMEM8B; C9orf127; NGX6; Transmembrane protein 8B; Nasopharyngeal carcinoma-associated gene 6 protein; Protein NAG-5; Protein NGX6
-
宿主:Rabbit
-
反應種屬:Human,Mouse
-
免疫原:Synthetic peptide of Human TMEM8B
-
免疫原種屬:Homo sapiens (Human)
-
標記方式:Non-conjugated
-
抗體亞型:IgG
-
純化方式:Antigen affinity purification
-
濃度:It differs from different batches. Please contact us to confirm it.
-
保存緩沖液:-20°C, pH7.4 PBS, 0.05% NaN3, 40% Glycerol
-
產品提供形式:Liquid
-
應用范圍:ELISA,IHC
-
推薦稀釋比:
Application Recommended Dilution ELISA 1:1000-1:5000 IHC 1:25-1:100 -
Protocols:
-
儲存條件:Upon receipt, store at -20°C or -80°C. Avoid repeated freeze.
-
貨期:Basically, we can dispatch the products out in 1-3 working days after receiving your orders. Delivery time maybe differs from different purchasing way or location, please kindly consult your local distributors for specific delivery time.
-
用途:For Research Use Only. Not for use in diagnostic or therapeutic procedures.
相關產品
靶點詳情
-
功能:May function as a regulator of the EGFR pathway. Probable tumor suppressor which may function in cell growth, proliferation and adhesion.
-
基因功能參考文獻:
- NGX6 is lowly expressed in nasopharyngeal carcinoma, and it can inhibit the proliferation and invasion of nasopharyngeal carcinoma cells. PMID: 29243779
- NGX6 possesses various biological functions, such as regulating protein expression of related genes, involving cell signal transduction pathways, negatively controlling cell cycle progression, inhibiting angiogenesis, and increasing the sensitivity of patients to anti-cancer drugs. Review. PMID: 26880583
- Ultrasonographic features are associated with NGX6 expression in invasive ductal breast carcinoma. NGX6 is involved in the invasion and metastasis activity of IDBC. PMID: 26261522
- From our analysis, variants in the genes ABCB4, TP53AIP1, ARHGAP32 and TMEM88B were identified linked to the alexithymia phenotype. PMID: 25882097
- The seven-transmembrane domain of NGX6a was found to be the critical region for the degradation of NGX6a, and the amino terminus of ezrin is required for the induction of NGX6a degradation. PMID: 25378401
- These results demonstrate that Egr-1 regulates NGX6 gene transcription through an overlapping Sp1/Egr-1 binding site as a positive regulator of NGX6 gene. PMID: 25029911
- downregulation of NGX6 expression contributes to the development and progression of gastric cancer PMID: 24338274
- the levels of the NGX6 protein and mRNA were lower in patients with tamoxifen-resistant tumors compared to patients with tamoxifen-sensitive tumors PMID: 23588848
- The present study was aimed to investigate the possible association between 19-base pair (bp) deletion polymorphism of the DHFR gene (rs70991108), null genotype of UGT2B17 as well as the expression level of NGX6 with the risk of breast cancer. PMID: 23053953
- Data suggest that nasopharyngeal carcinoma-associated gene 6 (NGX6) may inhibit colon cancer through the regulation of proteins involved in cell proliferation, metastasis, apoptosis, cytoskeletal structure, metabolism, and signal transduction. PMID: 22647848
- NGX6 could inhibit the expression of Wnt signaling downstream target genes in colon cancer. PMID: 21464545
- The short transcript of NGX6 play an important role in colorectal cancer, and reduced expression may contribute to metastasis. PMID: 20543461
- NGX6 plays an important role in regulation of apoptosis, mobility/migration, and hydrolase as well as activity of JNK and Notch pathways through NGX6-mediated miRNA expression PMID: 20859756
- Data show that NGX6 could suppress the translocation of beta-catenin from nucleus and cytoplasm to plasma membrane, inhibit the activity of TCF4 transcript factor, and down-regulate the expression of Wnt-direct-targeted genes. PMID: 20705583
- Down-regulation of NGX6 gene is related to the promoter methylation. DNA methylation of NGX6 promoter might be a potential molecular marker for diagnosis or prognosis, or serve as a therapeutic target in colorectal cancer. PMID: 20423473
- NGX6a was significantly downregulated in nasopharyngeal caaarcinoma and is associated with tumor metastasis. PMID: 19755717
- down-regulation may be closely associated with tumorigenesis and metastasis of colorectal carcinoma; may not contribute to development and progression of gastric carcinoma. PMID: 12918109
- NGX6 plays a role in cell adhesion modulation in NPC cells. PMID: 15498789
- We demonstrated the subcellular localization and the effect of NGX6 and its mutants on the growth, proliferation, migration, or adhesion of nasopharyngeal carcinoma 5-8F cells. PMID: 17641538
- propose that NGX6 expression is lost in the process of human colorectal carcinogenesis. Its overexpression can inhibit expression of transcription factors AP-1 and Ets-1, and down-regulate transcriptional activity of the cyclin D1 promoter in human CRC PMID: 19499154
顯示更多
收起更多
-
亞細胞定位:[Isoform 2]: Cell membrane; Multi-pass membrane protein. Cytoplasm. Nucleus. Mitochondrion. Endoplasmic reticulum. Note=Also detected in mitochondrion and endoplasmic reticulum (PubMed:17641538).
-
蛋白家族:TMEM8 family
-
數據庫鏈接:
Most popular with customers
-
YWHAB Recombinant Monoclonal Antibody
Applications: ELISA, WB, IHC, IF, FC
Species Reactivity: Human, Mouse, Rat
-
Phospho-YAP1 (S127) Recombinant Monoclonal Antibody
Applications: ELISA, WB, IHC
Species Reactivity: Human
-
-
-
-
-
-















