TLN2 Antibody
-
中文名稱:TLN2兔多克隆抗體
-
貨號:CSB-PA897282HA01HU
-
規格:¥440
-
圖片:
-
Western blot
All lanes: TLN2 antibody at 12μg/ml
Lane 1: Hela whole cell lysate
Lane 2: Jurkat whole cell lysate
Secondary
Goat polyclonal to rabbit IgG at 1/10000 dilution
Predicted band size: 272 kDa
Observed band size: 230 kDa -
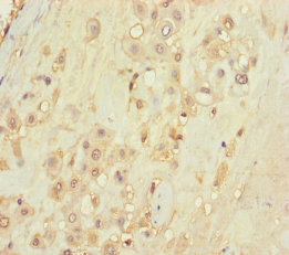
Immunohistochemistry of paraffin-embedded human placenta tissue using CSB-PA897282HA01HU at dilution of 1:100
-
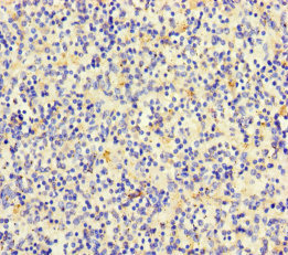
Immunohistochemistry of paraffin-embedded human spleen tissue using CSB-PA897282HA01HU at dilution of 1:100
-
-
其他:
產品詳情
-
產品名稱:Rabbit anti-Homo sapiens (Human) TLN2 Polyclonal antibody
-
Uniprot No.:
-
基因名:
-
別名:DKFZp451B1011 antibody; DKFZp686I0976 antibody; DKFZp686K0979 antibody; ILWEQ antibody; KIAA0320 antibody; Talin-2 antibody; talin2 antibody; TLN 2 antibody; TLN2 antibody; TLN2_HUMAN antibody
-
宿主:Rabbit
-
反應種屬:Human
-
免疫原:Recombinant Human Talin-2 protein (88-406AA)
-
免疫原種屬:Homo sapiens (Human)
-
標記方式:Non-conjugated
本頁面中的產品,TLN2 Antibody (CSB-PA897282HA01HU),的標記方式是Non-conjugated。對于TLN2 Antibody,我們還提供其他標記。見下表:
-
克隆類型:Polyclonal
-
抗體亞型:IgG
-
純化方式:>95%, Protein G purified
-
濃度:It differs from different batches. Please contact us to confirm it.
-
保存緩沖液:Preservative: 0.03% Proclin 300
Constituents: 50% Glycerol, 0.01M PBS, PH 7.4 -
產品提供形式:Liquid
-
應用范圍:ELISA, WB, IHC
-
推薦稀釋比:
Application Recommended Dilution WB 1:1000-1:5000 IHC 1:20-1:200 -
Protocols:
-
儲存條件:Upon receipt, store at -20°C or -80°C. Avoid repeated freeze.
-
貨期:Basically, we can dispatch the products out in 1-3 working days after receiving your orders. Delivery time maybe differs from different purchasing way or location, please kindly consult your local distributors for specific delivery time.
-
用途:For Research Use Only. Not for use in diagnostic or therapeutic procedures.
相關產品
靶點詳情
-
功能:As a major component of focal adhesion plaques that links integrin to the actin cytoskeleton, may play an important role in cell adhesion. Recruits PIP5K1C to focal adhesion plaques and strongly activates its kinase activity.
-
基因功能參考文獻:
- The central role of talin and vinculin in cell adhesions suggests that the disintegration of the tissue in atherosclerosis could be partially driven by downregulation of these genes, leading to loosening of cell-ECM interactions and remodeling of the tissue. PMID: 27816808
- These results suggest that a strong interaction of talin2 with integrins is required to generate traction, which in turn drives invadopodium-mediated matrix degradation, which is key to cancer cell invasion. PMID: 27694340
- data suggest a potential molecular link between TLN2 and camptodactyly pathogenesis. PMID: 27223613
- Both TLN-1 and TLN-2 levels correlate with tumorigenicity in human HCC, indicating that these molecules constitute important molecular targets for the diagnosis and/or treatment of hepatocellular carcinoma . PMID: 26822056
- Data indicate the role of vinculin in inducing the talin mediated integrin activation. PMID: 24446374
- Talin1 has unique expression versus talin 2 in the heart and modifies the hypertrophic response to pressure overload. PMID: 23266827
- Data show that SCGB3A1 was down-regulated in invasive compared with DCIS, whereas talin 2 (TLN2) and PTGS1 were up-regulated in invasive compared with DCIS. PMID: 21812955
- This review discusses the general function of talin 1 and talin 2, as well as vinculin/metavinulin, with emphasis on what is understood about their role in the cardiac myocyte and in whole heart. PMID: 19952892
- Structural diversity in integrin/talin interactions. PMID: 21134644
- the differential concentration of CSF and serum-talin 2 in the drug-refractory postencephalitic epilepsy group is an intractability-related phenomenon that might be involved in the development of RPEE PMID: 20620133
- we show that the predominant brain splice variant of PtdInsPKI gamma (PtdInsPKI gamma-90) binds, by means of a short carboxy-terminal peptide, to the FERM domain of talin, and is strongly activated by this interaction PMID: 12422219
- The F-actin binding capacity of Talin 2 is regulated by intrasteric occlusion of primary actin-binding determinants within the talin I/LWEQ module. PMID: 15581353
- Talin2 may serve as the link between integrins and the sarcomeric cytoskeletonin stable adhesion complexes in mature striated muscle. PMID: 17183545
- Data show that TLN2n presents only in the CSF of temporal lobe epilepsy patients. PMID: 19109932
顯示更多
收起更多
-
亞細胞定位:Cytoplasm. Cell junction, focal adhesion. Cell junction, synapse. Cell membrane; Peripheral membrane protein; Cytoplasmic side. Cytoplasm, cytoskeleton.
-
數據庫鏈接:
Most popular with customers
-
-
YWHAB Recombinant Monoclonal Antibody
Applications: ELISA, WB, IHC, IF, FC
Species Reactivity: Human, Mouse, Rat
-
Phospho-YAP1 (S127) Recombinant Monoclonal Antibody
Applications: ELISA, WB, IHC
Species Reactivity: Human
-
-
-
-
-















