TGFB2 Antibody
-
中文名稱:TGFB2兔多克隆抗體
-
貨號:CSB-PA056705
-
規格:¥1100
-
圖片:
-
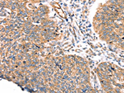
The image on the left is immunohistochemistry of paraffin-embedded Human liver cancer tissue using CSB-PA056705(TGFB2 Antibody) at dilution 1/30, on the right is treated with synthetic peptide. (Original magnification: ×200)
-
The image on the left is immunohistochemistry of paraffin-embedded Human lung cancer tissue using CSB-PA056705(TGFB2 Antibody) at dilution 1/30, on the right is treated with synthetic peptide. (Original magnification: ×200)
-
-
其他:
產品詳情
-
Uniprot No.:
-
基因名:
-
別名:BSC-1 cell growth inhibitor antibody; BSC1 cell growth inhibitor antibody; Cetermin antibody; G-TSF antibody; Glioblastoma-derived T-cell suppressor factor antibody; GTSF antibody; LAP antibody; Latency-associated peptide antibody; MGC116892 antibody; MGF antibody; Milk growth factor antibody; Polyergin antibody; TGF-beta-2 antibody; TGF-beta2 antibody; TGFB2 antibody; TGFB2_HUMAN antibody; Transforming growth factor beta 2 antibody
-
宿主:Rabbit
-
反應種屬:Human,Mouse,Rat
-
免疫原:Synthetic peptide of Human TGFB2
-
免疫原種屬:Homo sapiens (Human)
-
標記方式:Non-conjugated
-
抗體亞型:IgG
-
純化方式:Antigen affinity purification
-
濃度:It differs from different batches. Please contact us to confirm it.
-
保存緩沖液:-20°C, pH7.4 PBS, 0.05% NaN3, 40% Glycerol
-
產品提供形式:Liquid
-
應用范圍:ELISA,IHC
-
推薦稀釋比:
Application Recommended Dilution ELISA 1:2000-1:5000 IHC 1:25-1:100 -
Protocols:
-
儲存條件:Upon receipt, store at -20°C or -80°C. Avoid repeated freeze.
-
貨期:Basically, we can dispatch the products out in 1-3 working days after receiving your orders. Delivery time maybe differs from different purchasing way or location, please kindly consult your local distributors for specific delivery time.
-
用途:For Research Use Only. Not for use in diagnostic or therapeutic procedures.
相關產品
靶點詳情
-
功能:Transforming growth factor beta-2 proprotein: Precursor of the Latency-associated peptide (LAP) and Transforming growth factor beta-2 (TGF-beta-2) chains, which constitute the regulatory and active subunit of TGF-beta-2, respectively.; Required to maintain the Transforming growth factor beta-2 (TGF-beta-2) chain in a latent state during storage in extracellular matrix. Associates non-covalently with TGF-beta-2 and regulates its activation via interaction with 'milieu molecules', such as LTBP1 and LRRC32/GARP, that control activation of TGF-beta-2.; Transforming growth factor beta-2: Multifunctional protein that regulates various processes such as angiogenesis and heart development. Activation into mature form follows different steps: following cleavage of the proprotein in the Golgi apparatus, Latency-associated peptide (LAP) and Transforming growth factor beta-2 (TGF-beta-2) chains remain non-covalently linked rendering TGF-beta-2 inactive during storage in extracellular matrix. At the same time, LAP chain interacts with 'milieu molecules', such as LTBP1 and LRRC32/GARP, that control activation of TGF-beta-2 and maintain it in a latent state during storage in extracellular milieus. Once activated following release of LAP, TGF-beta-2 acts by binding to TGF-beta receptors (TGFBR1 and TGFBR2), which transduce signal.
-
基因功能參考文獻:
- Furthermore, upregulation of miR-328 could further repress the expression of TGF-beta2 and ECM proteins. In conclusion, this study demonstrated that miR-328 could prevent renal fibrogenesis by directly targeting TGF-beta2. Our findings suggested that elevated renal miR-328 levels might be a novel therapeutic strategy for treating renal fibrosis PMID: 30160133
- Importantly, high expression levels of HIF-1alpha/TGF-beta2/GLI2 correlated robustly with the patient relapse following chemotherapy, highlighting a potential biomarker and therapeutic target for chemoresistance in colorectal cancer. PMID: 29891662
- these data suggest that miR-592 may exert it suppressive role in breast cancer, at least in part, by targeting TGFbeta-2, and that miR-592 may be a novel target for breast cancer treatment PMID: 29039599
- MicroRNA-486-5p suppresses TGFB2-induced proliferation, invasion and epithelial-mesenchymal transition of lens epithelial cells by targeting Smad2. PMID: 29229876
- Results show that TGF-beta2 is highly expressed in glioma and correlated with poor prognosis in glioma patients. Further findings elucidate a potential mechanism of autophagy-associated glioma invasion that TGF-beta2 could initiate autophagy via Smad and non-Smad pathway to promote glioma cells' invasion. PMID: 29145888
- Up-regulation of TGF-beta2 showed a strong association with muscle invasion in bladder cancer. PMID: 28261684
- Report early adaptive drug-escape in EGFR-mutant lung tumor cells dependent on TGFbeta2-bioenergetics-mitochondrial priming. PMID: 27852038
- The expression of TGFB2 obtained by microarray analysis was consistent with that of RT-PCR. Ion transport could be affected promptly after ANP treatment, and subsequently, the cytolysis of vein endothelial cells may be promoted and endothelial permeability would be enhanced, followed by activated immune responses. PMID: 29279524
- 4.7 Mb deletion encompassing TGFB2 is associated with features of Loeys-Dietz syndrome and osteoporosis. PMID: 28544325
- results imply that the interaction of matrix AGEs with RAGE plays a role in the TGFbeta2-mediated EMT of lens epithelial cells and suggest that the blockade of RAGE could be a strategy to prevent PCO and other age-associated fibrosis. PMID: 27263094
- results support that the regulation of miR-30b by VEGF in HUVEC is important for capillary morphogenesis, as increased miR-30b expression inhibits capillary morphogenesis through enhanced expression of TGFbeta2 PMID: 28977001
- Data suggest that TGFB2 (the most abundant growth factor in human milk) binding to Tgfb2r elicits robust/rapid response in small intestinal mucosal cells leading to stimulation of Egr1 transport to nucleus and cell differentiation; more than 15 Wnt signaling pathway genes have Egr1 binding sites/response elements; Egr1 binds to Axin1 promoter and functionally activates gene expression. (Axin1 = axis inhibition protein 1) PMID: 27697743
- RUNX1T1 serves as a common angiogenic driver for vaculogenesis and functionality of endothelial lineage cells PMID: 28640846
- High TGFbeta2 expression is associated with oral cancer. PMID: 27803052
- TGF-beta2 is a new regulatory factor for KCC2 functional activation and membrane trafficking. PMID: 27505893
- Our data expand the phenotype of Loeys-Dietz syndrome type 4 : we confirm that TGFb2 mutations are responsible for true Loeys-Dietz (LDS) syndrome with non-specific features of connective tissue disorders and diffuse vascular lesions PMID: 27440102
- TGF-beta signaling regulated cell growth of cancer associated fibroblasts. PMID: 27880067
- Localized constitutive expression and release of TGF-beta2 by TM cells may promote or exacerbate elevation of IOP in POAG. PMID: 26743044
- Advanced glycation endproduct in the lens capsule promote the TGFbeta2-mediated fibrosis of lens epithelial cells. PMID: 26853893
- Our study suggests that lnc-ATB promotes tumor progression by interacting with miR-141-3p and that Lnc-ATB may be a valuable prognostic predictor for GC. In conclusion, the positive feedback loop of lnc-ATB/miR-141-3p/TGF-beta2 may be a potential therapeutic target for the treatment of GC. PMID: 28115163
- decorin can alter the bioactivity of TGF-beta2 on human myoblast migration PMID: 27644884
- findings indicate that lncRNA-ATB governs the autocrine secretion of TGF-beta2 in KFs, at least in part, by downregulating the expression level of ZNF217 via miR-200c, suggesting a signaling axis consisting of lncRNA-ATB/miR-200c/ZNF217/TGF-beta2 PMID: 27090737
- association between SNP rs6658835 in TGF-beta2 and conotruncal heart defects PMID: 27564654
- miR-422a directly targeted TGFbeta2 and regulated its expression and the activation of downstream molecules, smad2 and smad3 in osteosarcoma cells. PMID: 27779704
- miR-378a expression is associated with its methylation status in TGF-beta1-treated cells, and epigenetically-regulated miR-378a inhibits TGF-beta1-induced hepatic stellate cells activation, at least in part, via TGF-beta2. PMID: 27855367
- we detected and verified a list of differentially expressed microRNAs in PE placentas by HTS and qRT-PCR, and provided preliminary evidence for the role of miR-193b-3p in the pathogenesis of preeclampsia by targeting TGF-beta2. PMID: 26822621
- Likely pathogenic variants included a TGFB2 variant in one patient and a SMAD3 variant in another. These variants have been reported previously in individuals with similar phenotypes. Variants of uncertain significance of particular interest included novel variants in MYLK and MFAP5, which were identified in a third patient PMID: 26854089
- Results provide evidence that miR-148a decreases the expression of TGFbeta2 and SMAD2 in gastric cancer cells through binding to their 3'UTRs. PMID: 26983401
- TGF-beta2 induces epithelial-mesenchymal transition by activating the PI3K/Akt/mTOR signaling pathway in cultured human lens epithelial cells. PMID: 26647778
- Human retinal pigment epithelial cells were cultured in the presence or absence of TGF-beta2, and reverse-transcription quantitative PCR was performed to determine the mRNA expression of IDO and Nrf2. PMID: 26676103
- TGF-beta2 induces Grb2 to recruit PI3-K to TGF-RII that activates JNK/AP-1-signaling and augments invasiveness of Theileria-transformed macrophages. PMID: 26511382
- In conclusion, each of the DPP-4 inhibitors may have unique drug-specific effects. PMID: 26826382
- Active CREB1 promotes a malignant TGFbeta2 autocrine loop in glioblastoma. PMID: 25084773
- Comparison of the aqueous humor TGF-beta2 level between patients with open-angle glaucoma (OAG) and controls provides direct evidence for the role of TGF-beta2 in the etiology of OAG. (meta-analysis) PMID: 26019480
- there is a borderline significant association between higher mean TGF-beta2 levels in breast milk and more severe pathologic diagnoses PMID: 25604865
- These results suggest that miR-200a suppresses RCC development via directly targeting TGFB2, indicating that miR-200a may present a novel target for diagnostic and therapeutic strategies in renal cell carcinoma PMID: 25813153
- TGFbeta2 is a key growth promoter of CD44(hi) cells that survived chemotherapy and also is a growth inhibitor of cells that survived hypoxia. PMID: 26340918
- MicroRNA-153 inhibits osteosarcoma cells proliferation and invasion by targeting TGF-beta2 PMID: 25793604
- High expression of TGFB2 is associated with melanoma. PMID: 25743834
- Data suggest that the intrinsic transforming growth factor beta 2-triggered stromal cell-derived factor-1-C-X-C chemokine receptor-4 signaling is crucial for drug resistance in bone marrow (BM)-slow-cycling disseminated tumor cells (DTCs). PMID: 25504440
- Here, we show that increased TGF-beta2 signaling through ALK5 plays a role in hypoxia-induced redifferentiation of chondrocytes. PMID: 25621374
- TGF-beta2 secretion from retinal pigmented epithelium decreases with polarization and becomes apically oriented PMID: 25496702
- glycated collagen in the cardiac interstitium triggers an autocrine TGF-beta2 signaling pathway that stimulates alpha11 integrin expression through Smad2/3 binding elements in the alpha11 integrin promoter PMID: 24962729
- these results revealed no correlation between the normalized expression of TGF-beta2, TGF-betaRI, or TGF-betaRII and EDSS scores PMID: 26037400
- these data shed light on previously unrecognized roles of Mkx in tendinopathy, tenogenesis, and tendon repair as well as in regulating the TGFbeta pathway. PMID: 25332192
- High levels of furin, TNF-alpha and TGF-beta2 may be the reason of proceeding decidualization, placentation, and prevention from abortion, in spite of terminating the fetal life. PMID: 26065233
- TGF-beta2 therefore promotes the adhesion and invasiveness of virulent macrophages by modulating COX2, EP4, and PKIG transcription to initiate a prostaglandin E2 (PGE2)-driven autostimulatory loop that augments PKA and EPAC activities. PMID: 25690101
- TGF-beta2 induced MYOC expression and secretion in human primary cultured trabecular meshwork cells PMID: 25197353
- Data indicate that TGF-beta2 (TGFB2) and TGF beta type III receptor (TGFBR3) are target genes of miR-193b in chondrogenesis. PMID: 25728278
- ALDH1 and TGFbeta2 play important roles in the development of breast cancer. PMID: 25120797
顯示更多
收起更多
-
相關疾病:Loeys-Dietz syndrome 4 (LDS4)
-
亞細胞定位:[Latency-associated peptide]: Secreted, extracellular space, extracellular matrix.; [Transforming growth factor beta-2]: Secreted.
-
蛋白家族:TGF-beta family
-
數據庫鏈接:
Most popular with customers
-
-
YWHAB Recombinant Monoclonal Antibody
Applications: ELISA, WB, IHC, IF, FC
Species Reactivity: Human, Mouse, Rat
-
Phospho-YAP1 (S127) Recombinant Monoclonal Antibody
Applications: ELISA, WB, IHC
Species Reactivity: Human
-
-
-
-
-















