TFPI2 Antibody
-
中文名稱:TFPI2兔多克隆抗體
-
貨號:CSB-PA447714
-
規格:¥1100
-
圖片:
-
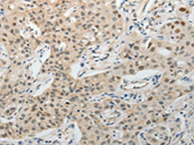
The image on the left is immunohistochemistry of paraffin-embedded Human liver cancer tissue using CSB-PA447714(TFPI2 Antibody) at dilution 1/25, on the right is treated with fusion protein. (Original magnification: ×200)
-
The image on the left is immunohistochemistry of paraffin-embedded Human lung cancer tissue using CSB-PA447714(TFPI2 Antibody) at dilution 1/25, on the right is treated with fusion protein. (Original magnification: ×200)
-
Gel: 12%SDS-PAGE, Lysate: 40 μg, Lane: Human placenta tissue, Primary antibody: CSB-PA447714(TFPI2 Antibody) at dilution 1/200 dilution, Secondary antibody: Goat anti rabbit IgG at 1/8000 dilution, Exposure time: 5 seconds
-
-
其他:
產品詳情
-
Uniprot No.:
-
基因名:TFPI2
-
別名:Placental protein 5 antibody; PP5 antibody; REF1 antibody; Retinal pigment epithelium cell factor 1 antibody; TFPI 2 antibody; TFPI-2 antibody; TFPI2 antibody; TFPI2 PEN antibody; TFPI2_HUMAN antibody; Tissue factor pathway inhibitor 2 antibody
-
宿主:Rabbit
-
反應種屬:Human
-
免疫原:Fusion protein of Human TFPI2
-
免疫原種屬:Homo sapiens (Human)
-
標記方式:Non-conjugated
-
抗體亞型:IgG
-
純化方式:Antigen affinity purification
-
濃度:It differs from different batches. Please contact us to confirm it.
-
保存緩沖液:-20°C, pH7.4 PBS, 0.05% NaN3, 40% Glycerol
-
產品提供形式:Liquid
-
應用范圍:ELISA,WB,IHC
-
推薦稀釋比:
Application Recommended Dilution ELISA 1:1000-1:2000 WB 1:200-1:1000 IHC 1:25-1:100 -
Protocols:
-
儲存條件:Upon receipt, store at -20°C or -80°C. Avoid repeated freeze.
-
貨期:Basically, we can dispatch the products out in 1-3 working days after receiving your orders. Delivery time maybe differs from different purchasing way or location, please kindly consult your local distributors for specific delivery time.
-
用途:For Research Use Only. Not for use in diagnostic or therapeutic procedures.
相關產品
靶點詳情
-
功能:May play a role in the regulation of plasmin-mediated matrix remodeling. Inhibits trypsin, plasmin, factor VIIa/tissue factor and weakly factor Xa. Has no effect on thrombin.
-
基因功能參考文獻:
- These results suggest that LSD2 achieves a promoting effect on small cell lung cancer by indirectly regulating TFPI2 expression through the mediation of DNMT3B expression or through the regulation of the demethylation of H3K4me1 in the promoter region of the TFPI2 gene. PMID: 29845195
- MiR-616-3p binds specifically to the 3'-UTR region of TFPI2 mRNA. PMID: 30028057
- Tissue factor pathway Inhibitor 2 potencies differ between antifibrinolytic agents against human and mouse enzymes plasmin, factor XIa, and kallikrein PMID: 27797450
- estrogen induced TFPI-2 expression in MCF7 cells is mediated by ERalpha and also by the action of LSD1. PMID: 28088469
- TFPI2 hypermethylation is associated with colorectal cancer. PMID: 28351398
- our research indicated that miR-130a functions as an oncogene by targeting TFPI2, miR-130a inhibition reduced the growth and angiogenesis of hemangioma by inactivating the FAK/PI3K/Rac1/mdm2 pathway PMID: 28393235
- TFPI-2 expression was decreased in bladder cancer. TFPI-2 expression was decreased with progression in tumor grade and stage and was correlated to decreased apoptosis. PMID: 28039717
- TFPI2 is a useful serum biomarker for preoperative clinical diagnosis of CCC. PMID: 27798689
- This TPR-dependent PP5 inhibition shown by Ro 90-7501 is a unique and novel inhibitory mechanism, which might be a useful tool for studies of PP5 on both regulatory mechanism and drug discovery. PMID: 27840051
- Over-expression of TFPI-2 and aberrant promoter methylation status presented in the preeclampsia placentas, suggesting that epigenetic mechanism might contribute to the pathogenesis of preeclampsia. PMID: 28208084
- Its methylation is a prognostic biomarker for hepatocellular carcinoma after hepatectomy. PMID: 26313014
- Data show that silencing tumor-endothelial cells (EC) for trypsinogen 4 accumulated tissue factor pathway inhibitor-2 (TFPI-2) in the matrix. PMID: 26318044
- Hypermethylation of TFPI2 promoter is increased in inflamed colon tissue. PMID: 25902909
- DNA methylation of TFPI2 may play an important role in the carcinogenesis of cervical cancer and that the differential methylation of TFPI2 may at least partially explain the disparity in cervical cancer incidence between Uygur and Han women. PMID: 25973077
- our findings suggested that the differential expression of MMP-2 and TFPI-2 have a negative correlation in pancreatic carcinoma PMID: 25755762
- Our finding suggests that the decreased expression of TFPI-2 may play an important role in the carcinogenesis and progression, and may become a new adjunct marker in the diagnosis and prognosis in cholangiocarcinoma PMID: 25755719
- TMPRSS4 is upregulated by silencing of TFPI-2 through aberrant DNA methylation and contributes to oncogenesis in non-small cell lung cancer. PMID: 25414083
- TFPI-2 is a down-regulated tumor suppressor gene in oral squamous cell carcinoma, probably involving epigenetic silencing mechanisms. The loss of TFPI-2 expression is a key event for oral tumorigenesis, especially in the process of tumor metastasis. PMID: 25179542
- regulation of tissue factor pathway inhibitor-2 (TFPI-2) expression by lysine-specific demethylase 1 and 2 PMID: 25036127
- TFPI-2 in platelets from normal or pregnant subjects and in plasma from pregnant women binds FV/Va and regulates intrinsic coagulation and fibrinolysis PMID: 25262870
- TFPI-2 downregulation can contribute to tumor invasion of hepatocellular carcinoma cells through alteration in the expression of metastasis-related genes. PMID: 24591127
- TFPI2 is a novel serum marker for ovarian clear cell adenocarcinoma and neoplastic transformation from endometriosis. PMID: 23805888
- The present work demonstrated that the epigenetic inactivation of TFPI-2 by promoter hypermethylation was a frequent and tumor-specific event in glioblastoma, and TFPI-2 promoter methylation might be considered as a prognostic marker in glioblastoma. PMID: 23032906
- Low or negative expression of TFPI-2 is associated with breast cancer progression, recurrence and poor survival outcome after breast cancer surgery. TFPI-2 expression in breast tumors is a potential prognostic tool for breast cancer patients. PMID: 23497249
- The C-terminus of TFPI-2 encodes for antimicrobial activity, and may be released during wounding. PMID: 23300768
- TFPI2 methylation in serum tended to be detected more easily in patients with advanced hepatocellular carcinoma (HCC) and might be used as a predictor of HCC progression. PMID: 23108564
- TFPI-2 expression caused invasion and proliferation impair and induced apoptosis in TFPI-2 regulated BeWo and JEG-3 cells. It provides a clue for potential role of TFPI-2 in trophoblast. PMID: 22203034
- TFPI-2 methylation is associated with non-small cell lung cancer. PMID: 21983100
- There was a close association between the expression of tissue factor pathway inhibitor-2 (TFPI-2) and tumor cell apoptosis and angiogenesis in patients with cervical cancer. PMID: 22208663
- Methylation was found in 28.2, 33.3 and 33.3% of grade 1, 2 and 3 esophageal dysplasia, and 67% of primary esophageal cancer, but no methylation was found in normal mucosa. PMID: 22449186
- Results demonstrate the feasibility of using TFPI2 methylation and quantify human long DNA with fluorescent quantitative Alu PCR in fecal samples as a new noninvasive test for CRC. PMID: 21621497
- recombined plasmid pEGFP-C1-TFPI-2 actually interacted with native RASSF1C PMID: 22232300
- results confirm that detection of methylated TFPI2 in serum DNA was derived from colorectal cancer and could serve as a marker of surgical outcome PMID: 22399594
- study provides evidence that inactivation of TFPI-2 synthesis might promote tumour invasion by a mechanism dependent on regulation of MMP-1, -2, -3, -7 and of ERK signalling pathway PMID: 20015200
- Promoter hypermethylation of TFPI-2 is frequent and specific event in pediatric acute myeloid leukemia. PMID: 22052167
- Serum TFPI2 methylation is associated with gastric cancer. PMID: 22110206
- inverse expression of CD24 and TFPI-2 was observed by immunohistochemical analysis of primary breast cancers (N = 1,174). TFPI-2 expression was highest in CD24 negative samples and lowered with increasing CD24 expression PMID: 21984372
- TFPI2 methylation was significant in the sera of patients with large, poorly differentiated carcinoma, deep invasion, lymph node metastasis, or distant metastasis. TFPI2 methylation was observed more frequently according to the progression of TNM stage. PMID: 21820798
- Our findings underscore the important role of TFPI-2 as a tumor suppressor gene PMID: 21530612
- Results showed that TFPI2 expression was not affected by with VLDL lipoproteins, but was induced by thrombin in THP-1 and monocyte-derived macrophages. PMID: 21515313
- TFPI-2 plays a significant role in the growth, invasion, and metastasis of pancreatic carcinoma cell in vitro and in vivo, and has potential in anticancer therapy. PMID: 20018303
- Epigenetic inactivation of TFPI-2 by promoter hypermethylation is a frequent and tumor specific event in nasopharyngeal carcinoma PMID: 21062455
- Findings define a functional involvement for miR-616 and TFPI-2 in the development and maintenance of androgen-independent prostate cancer. PMID: 21224345
- TFPI-2 plays a significant role in the invasion and metastasis of pancreatic carcinoma cell in vitro and in vivo. TFPI-2 is an independent prognostic factor for pancreatic carcinoma. PMID: 19763915
- Aberrant methylation of the TFPI2 gene was detected in 7 out of 38 (18%) primary gastric carcinomas, suggesting that the methylation of TFPI2 is frequently observed in gastric carcinomas. PMID: 21036731
- Placenta may be the main site of the high level of TFPI-2 production in maternal circulation PMID: 20347477
- TFPI-2 influences smooth muscle cell proliferation and apoptosis in vitro in response to fluid shear stress. PMID: 20537494
- these data indicate that TFPI-2 inhibits esophageal tumor invasion and angiogenesis both in vitro and in vivo. PMID: 20377370
- TFPI2 may act as a tumour suppressor in colorectal carcinomas and TFPI2 methylation may present a potential risk of malignancy in colorectal cancer. PMID: 20530429
- Expression, DNA methylation and histone modifications of TFPI2, a presumed tumor suppressor, and that of other genes in the 7q21 imprinted gene cluster in prostate cancer, were analysed. PMID: 20335518
顯示更多
收起更多
-
亞細胞定位:Secreted.
-
組織特異性:Umbilical vein endothelial cells, liver, placenta, heart, pancreas, and maternal serum at advanced pregnancy.
-
數據庫鏈接:
Most popular with customers
-
-
YWHAB Recombinant Monoclonal Antibody
Applications: ELISA, WB, IHC, IF, FC
Species Reactivity: Human, Mouse, Rat
-
Phospho-YAP1 (S127) Recombinant Monoclonal Antibody
Applications: ELISA, WB, IHC
Species Reactivity: Human
-
-
-
-
-















