TFAM Antibody
-
中文名稱:TFAM兔多克隆抗體
-
貨號:CSB-PA023413LA01HU
-
規格:¥440
-
圖片:
-
Western blot
All lanes: TFAM antibody at 8µg/ml
Lane 1: Jurkat whole cell lysate
Lane 2: MCF-7 whole cell lysate
Lane 3: A431 whole cell lysate
Secondary
Goat polyclonal to rabbit IgG at 1/10000 dilution
Predicted band size: 30, 26 kDa
Observed band size: 26 kDa -
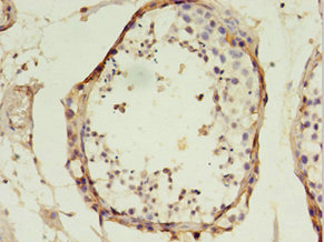
Immunohistochemistry of paraffin-embedded human testis tissue using CSB-PA023413LA01HU at dilution of 1:100
-
-
其他:
產品詳情
-
產品名稱:Rabbit anti-Homo sapiens (Human) TFAM Polyclonal antibody
-
Uniprot No.:
-
基因名:
-
別名:anscription factor 6-like 1 antibody; Mitochondrial transcription factor 1 antibody; mitochondrial transcription factor A antibody; MtTF1 antibody; mtTFA antibody; TCF 6 antibody; TCF-6 antibody; TCF6 antibody; TCF6L1 antibody; TCF6L2 antibody; TCF6L3 antibody; TFAM antibody; TFAM_HUMAN antibody; Transcription factor 6 antibody; Transcription factor 6 like 2 (mitochondrial transcription factor) antibody; Transcription factor 6 like 2 antibody; Transcription factor 6-like 2 antibody; transcription factor 6-like 3 antibody; Transcription factor A, mitochondrial antibody; Transcription factor A, mitochondrial antibody; Transcription factor A, mitochondrial precursor antibody
-
宿主:Rabbit
-
反應種屬:Human
-
免疫原:Recombinant Human Transcription factor A, mitochondrial protein (43-246AA)
-
免疫原種屬:Homo sapiens (Human)
-
標記方式:Non-conjugated
本頁面中的產品,TFAM Antibody (CSB-PA023413LA01HU),的標記方式是Non-conjugated。對于TFAM Antibody,我們還提供其他標記。見下表:
-
克隆類型:Polyclonal
-
抗體亞型:IgG
-
純化方式:>95%, Protein G purified
-
濃度:It differs from different batches. Please contact us to confirm it.
-
保存緩沖液:Preservative: 0.03% Proclin 300
Constituents: 50% Glycerol, 0.01M PBS, PH 7.4 -
產品提供形式:Liquid
-
應用范圍:ELISA, WB, IHC
-
推薦稀釋比:
Application Recommended Dilution WB 1:500-1:2000 IHC 1:20-1:200 -
Protocols:
-
儲存條件:Upon receipt, store at -20°C or -80°C. Avoid repeated freeze.
-
貨期:Basically, we can dispatch the products out in 1-3 working days after receiving your orders. Delivery time maybe differs from different purchasing way or location, please kindly consult your local distributors for specific delivery time.
-
用途:For Research Use Only. Not for use in diagnostic or therapeutic procedures.
相關產品
靶點詳情
-
功能:Binds to the mitochondrial light strand promoter and functions in mitochondrial transcription regulation. Component of the mitochondrial transcription initiation complex, composed at least of TFB2M, TFAM and POLRMT that is required for basal transcription of mitochondrial DNA. In this complex, TFAM recruits POLRMT to a specific promoter whereas TFB2M induces structural changes in POLRMT to enable promoter opening and trapping of the DNA non-template strand. Required for accurate and efficient promoter recognition by the mitochondrial RNA polymerase. Promotes transcription initiation from the HSP1 and the light strand promoter by binding immediately upstream of transcriptional start sites. Is able to unwind DNA. Bends the mitochondrial light strand promoter DNA into a U-turn shape via its HMG boxes. Required for maintenance of normal levels of mitochondrial DNA. May play a role in organizing and compacting mitochondrial DNA.
-
基因功能參考文獻:
- Study shows that the human mitochondrial transcription factor A (TFAM) is a versatile G-quadruplex (G4s) binding protein. These TFAM-G4 interactions suggest functional recognition of G4s in the mitochondria. PMID: 28276514
- CTGF can reduce glycolysis and mitochondrial OXPHOS pathways by increasing mtTFA protein degradation and in turn reduces cancer migration and invasion in oral squamous cell carcinoma (OSCC). PMID: 28438434
- radiation stimulated the levels of TFAM mRNA and protein. PMID: 29856906
- Two tag SNPs of TFAM and POLG were associated with multibacillary leprosy in Han Chinese from Southwest China. PMID: 28958595
- Data revealed that TFAM expression level was regulated by TP73-AS1/miR-200a axis in breast cancer cells. PMID: 28639399
- Study clearly shows that hTFAM efficiently breaks the mitochondria-mediated vicious cycle in both Alzheimer's disease (AD) model neurons and mouse brains, resulting in an effective improvement of the AD pathophysiology including Abeta accumulation and cognitive dysfunction. PMID: 27897204
- these findings establish a new link between HIF-2alpha and MAPK-signaling that mediates the adaptive regulation of mitochondrial gene expression under low oxygen tension. PMID: 28709643
- the results presented in this study obviously provided the evidence that TFAM was upregulated in glioma cell line and glioma tissue specimens. Therefore TFAM may be a novel diagnostic marker and therapeutic target for glioma and other cancer. PMID: 28440425
- Biotinylated TMP interacts with TFAM. PMID: 28465355
- TFAM polymorphisms (rs1937, rs1049432, and rs11006132) as well as their haplotypes did not show significant association with aggressiveness of prostate cancer in overweight or obese men. PMID: 27843028
- results suggest a nucleation-cooperativity-based mechanism for sensitive detection of mitochondrial DNA and pathogen genomes, and identify HMGB/TFAM proteins as DNA-structuring host factors; they provide an explanation for the peculiar cGAS dimer structure and suggest that cGAS preferentially binds incomplete nucleoid-like structures or bent DNA PMID: 28902841
- p53 might incrase mtDNA copy number through its regulation on TFAM expression via TFAMpromoter. PMID: 27732955
- TFAM is a gene regulator that acts to mitigate calcium mishandling and ROS production by wrapping around mitochondrial DNA complexes. TFAM's regulatory functions over serca2a, NFAT, and Lon protease contribute to cardiomyocyte stability. [review] PMID: 27166683
- The results suggest that a high mtTFA expression is a useful marker for tumor progression and a poor prognosis in left-sided colorectal cancer patients. PMID: 29277826
- Study reports crystal structures of human mitochondrial transcription initiation complexes assembled on both light and heavy strand promoters. The structures reveal how transcription factors TFAM and TFB2M assist mitochondrial RNA polymerase to achieve promoter-dependent initiation. PMID: 29149603
- TFAM is essential for transcription, replication and packaging of mtDNA into nucleoids. Tfam knockout mice display embryonic lethality secondary to severe mtDNA depletion. In this report, for the first time, we associate a homozygous variant in TFAM with a novel mtDNA depletion syndrome. PMID: 27448789
- Tissue microarray (TMA) data showed that elevated expression of TFAM was related to the histological grade and TNM stage of NSCLC patients. PMID: 26820294
- The authors did not find statistically significant differences in the genotype frequencies for the TFAM +35G/C polymorphism between women with polycystic ovary syndrome and controls and found that mtDNA copy number is not associated with TFAM+35G/C SNP in polycystic ovary syndrome patients. PMID: 29030253
- Alleles in mitochondrial transcription factor A (TFAM) and AP endonuclease 1 (APE1) are associated with reduced cognitive performance. PMID: 28242328
- In vivo, AICAR significantly reduced osteosarcoma growth without apparent body weight loss and AICAR increased both mitochondrial proliferation and apoptotic activity in treated tumor tissues. AICAR showed anticancer effects in osteosarcoma cells through an AMPK-dependent peroxisome proliferatoractivated receptor-gamma coactivator-1alpha (PGC-1alpha)/mitochondrial transcription factor A (TFAM)/mitochondrial pathway PMID: 27878239
- the present study identified the interaction of miR-590-3p and TFAM in colon cancer. TFAM was identified as a target of miR-590-3p, and miR-590-3p enhanced the proliferation of SW480 cells. PMID: 27878255
- The results of the present study provided evidence that resistance to cisplatin chemotherapy in ERpositive breast cancer may be through TFAM and indicated that TFAM may be a target for chemoresistance in patients with breast cancer. PMID: 27779689
- miR-199a-3p is able to attenuate cisplatin resistance in breast cancer cells through inhibiting TFAM expression. PMID: 28126676
- We conducted a meta-analysis of studies involving CHAT, TFAM, and VR22 polymorphisms and Alzheimer disease susceptibility. For TFAM and VR22, no significant association was detected in studied single-nucleotide polymorphisms (SNPs).Rs1937 and rs2306604 of TFAM, are not significantly associated with AD risk. PMID: 27272392
- Results showed that TFAM formed oligomers in mitochondria by in situ chemical cross-linking and suggested the importance of the dimerization of TFAM molecules in the distribution of mtDNA in cells. PMID: 26445116
- Report failed upregulation of TFAM protein and mitochondrial DNA in oxidatively deficient fibers in skeletal muscle of chronic obstructive pulmonary disease patients. PMID: 26893822
- our results revealed that stimulation of mitochondrial biogenesis by carvedilol resulted in functional gain of the mitochondria by showing increased oxygen consumption and mitochondrial respiratory rate. PMID: 26797282
- Data show that mtTFA proteins are highly expressed in cancer and drug-resistant cells compared to normal cells, and the mtTFA expression is upregulated by signals of oxidative and DNA damage stress in cancer cells. [review] PMID: 26307971
- TFAM overexpression suppressed mitoROS and their upregulation in rat cardiomyocytes. PMID: 25822152
- TFAM dimerization enhances mitochondrial DNA compaction by promoting looping of the DNA. PMID: 24435062
- The combination of strong mtTFA expression and a high survivin index may predict a poor prognosis in patients with pancreatic ductal adenocarcinoma PMID: 25108120
- expression of PGC1alpha and TFAM varies between ovarian carcinoma subtypes; clear-cell carcinoma consists of undetectability of PGC1alpha/TFAM, and low ERalpha/Ki-67. high-grade serous carcinomas had a converse state of PGC1alpha/TFAM, ERalpha positivity and high Ki-67 index PMID: 25243473
- Methylation of TFAM promoters changed 2 days after gastric bypass. PMID: 24837562
- These data disclose a novel mechanism by which ERK1/2 regulates mitochondrial function through direct phosphorylation of TFAM. PMID: 24768991
- indicating that miRNA-214 and MTFA may become important candidates for developing promising therapeutic strategies for the treatment of cervical cancer PMID: 25556274
- Data suggest that miitochondrial transcription factor A (mtTFA) may be a novel target for the treatment of pancreatic ductal adenocarcinoma (PDAC). PMID: 24622070
- The results suggest that the expression of mtTFA mRNA and protein is down-regulated in the lung tissue from the COPD patients with squamous cell lung cancer, and the level of mtTFA protein is related to apoptosis of pulmonary vascular endothelial cells. PMID: 24367550
- The mitochondria targeting sequence-deficient hTFAM also repressed Tfam promoter activity to the same degree as hTFAM. PMID: 24875355
- These data show that the TFAM SNP rs2306604 A allele may be a risk factor for Parkinson's disease dementia, particularly in males, but not for dementia with Lewy bodies PMID: 24184878
- The results reveal the organization of TFAM, POLRMT and TFB2M around the light-strand promoter and represent the first structural characterization of the entire mitochondrial transcriptional initiation complex. PMID: 24413562
- results demonstrate that TFAM uniformly coats the whole mitochondrial genome, with no evidence of robust TFAM binding to the nuclear genome PMID: 23991223
- Taken together, our data suggested that TFAM plays a crucial role in regulating mtDNA amplification and mitochondrial biogenesis under IR conditions. PMID: 23645454
- overexpression of miRNA-23b in U251 cells markedly inhibited the proliferation, cell cycle progression, migration and colony formation, while overexpression of TFAM significantly enhanced these biological processes PMID: 24002170
- In cells with normal mitochondrial DNA levels, phosphorylated TFAM is degraded by Lon. PMID: 23201127
- TFAM protein sliding and DNA denaturation are essential for mitochondrial DNA organization. PMID: 22910359
- Findings suggest that transcription factor A (TFAM) is absolutely required to recruit the transcription machinery during initiation of transcription. PMID: 23012404
- The expression of TFAM protein was not significantly reduced in ClpX-knockdown cells. PMID: 22841477
- Recombinant TFAM increased mitochondrial DNA and abolished the activation of nuclear factor of activated T cells (NFAT), which is well known to activate pathological hypertrophy. PMID: 22709542
- study demonstrates that mtDNA damage is involved in liver damage in extrahepatic cholestatic patients. The mtDNA damage is attributable to the loss of TFAM PMID: 22306509
- Plasmacytoid dendritic cells (pDC) contribute to sterile immune responses by recognizing the mitochondrial component of necrotic cells (TFAM), with TFAM and mitochondrial DNA as likely mediators of pDC activation. PMID: 22675199
顯示更多
收起更多
-
相關疾?。?/div>Mitochondrial DNA depletion syndrome 15, hepatocerebral type (MTDPS15)亞細胞定位:Mitochondrion. Mitochondrion matrix, mitochondrion nucleoid.數據庫鏈接:
Most popular with customers
-
-
YWHAB Recombinant Monoclonal Antibody
Applications: ELISA, WB, IHC, IF, FC
Species Reactivity: Human, Mouse, Rat
-
Phospho-YAP1 (S127) Recombinant Monoclonal Antibody
Applications: ELISA, WB, IHC
Species Reactivity: Human
-
-
-
-
-















