STX7 Antibody
-
中文名稱:STX7兔多克隆抗體
-
貨號:CSB-PA147046
-
規格:¥1100
-
圖片:
-
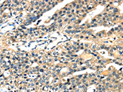
The image on the left is immunohistochemistry of paraffin-embedded Human liver cancer tissue using CSB-PA147046(STX7 Antibody) at dilution 1/25, on the right is treated with fusion protein. (Original magnification: ×200)
-
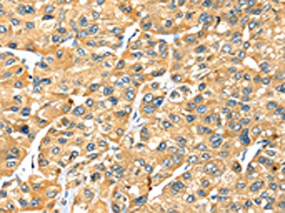
The image on the left is immunohistochemistry of paraffin-embedded Human breast cancer tissue using CSB-PA147046(STX7 Antibody) at dilution 1/25, on the right is treated with fusion protein. (Original magnification: ×200)
-
-
其他:
產品詳情
-
Uniprot No.:
-
基因名:STX7
-
別名:STX7; Syntaxin-7
-
宿主:Rabbit
-
反應種屬:Human,Mouse,Rat
-
免疫原:Fusion protein of Human STX7
-
免疫原種屬:Homo sapiens (Human)
-
標記方式:Non-conjugated
-
抗體亞型:IgG
-
純化方式:Antigen affinity purification
-
濃度:It differs from different batches. Please contact us to confirm it.
-
保存緩沖液:-20°C, pH7.4 PBS, 0.05% NaN3, 40% Glycerol
-
產品提供形式:Liquid
-
應用范圍:ELISA,IHC
-
推薦稀釋比:
Application Recommended Dilution ELISA 1:2000-1:5000 IHC 1:25-1:100 -
Protocols:
-
儲存條件:Upon receipt, store at -20°C or -80°C. Avoid repeated freeze.
-
貨期:Basically, we can dispatch the products out in 1-3 working days after receiving your orders. Delivery time maybe differs from different purchasing way or location, please kindly consult your local distributors for specific delivery time.
-
用途:For Research Use Only. Not for use in diagnostic or therapeutic procedures.
相關產品
靶點詳情
-
功能:May be involved in protein trafficking from the plasma membrane to the early endosome (EE) as well as in homotypic fusion of endocytic organelles. Mediates the endocytic trafficking from early endosomes to late endosomes and lysosomes.
-
基因功能參考文獻:
- Data suggest that accumulation of recycling T cell receptors at the immunological synapse is SNARE-dependent and that Stx7-mediated processing of recycling TCRs through endosomes is a prerequisite for the cytolytic function of cytotoxic T lymphocytes. PMID: 21438968
- data reveal the presence of syntaxin 7 in the membranes of exocytosis-prone granules and phagocytosis-related granules in human neutrophils, and therefore it might play a role in both exocytosis and phagocytosis in human neutrophils PMID: 20170677
- syntaxin 7 has a role in the intracellular vacuolation induced by VacA PMID: 12730232
- Results report that syntaxin 7, syntaxin 8, vti1b and VAMP8 physically and functionally interact with CFTR. PMID: 18570918
- Palmitoylation-defective syntaxin 7 is selectively retained on the plasma membrane, suggesting that palmitoylation is important for intercompartmental transport of syntaxin 7. PMID: 18980942
- The expression level of STX7 protein was inversely correlated to tumor stage, suggesting that decreased expression of STX7 is associated with more aggressive tumors. PMID: 19714869
顯示更多
收起更多
-
亞細胞定位:Early endosome membrane; Single-pass type IV membrane protein.
-
蛋白家族:Syntaxin family
-
組織特異性:Highest expression is found in placenta followed by heart, skeletal muscle, kidney and brain. Low expression is found in pancreas, lung and liver.
-
數據庫鏈接:
Most popular with customers
-
-
YWHAB Recombinant Monoclonal Antibody
Applications: ELISA, WB, IHC, IF, FC
Species Reactivity: Human, Mouse, Rat
-
Phospho-YAP1 (S127) Recombinant Monoclonal Antibody
Applications: ELISA, WB, IHC
Species Reactivity: Human
-
-
-
-
-















