STC1 Antibody
-
中文名稱:STC1兔多克隆抗體
-
貨號:CSB-PA631492
-
規格:¥1100
-
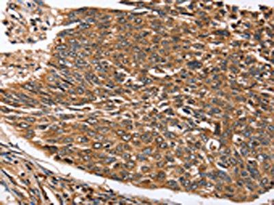
圖片:
-
The image on the left is immunohistochemistry of paraffin-embedded Human breast cancer tissue using CSB-PA631492(STC1 Antibody) at dilution 1/20, on the right is treated with fusion protein. (Original magnification: ×200)
-
The image on the left is immunohistochemistry of paraffin-embedded Human lung cancer tissue using CSB-PA631492(STC1 Antibody) at dilution 1/20, on the right is treated with fusion protein. (Original magnification: ×200)
-
-
其他:
產品詳情
-
Uniprot No.:
-
基因名:
-
別名:Stanniocalcin 1 antibody; Stanniocalcin antibody; Stanniocalcin-1 antibody; STC antibody; STC-1 antibody; Stc1 antibody; STC1_HUMAN antibody
-
宿主:Rabbit
-
反應種屬:Human,Mouse,Rat
-
免疫原:Fusion protein of Human STC1
-
免疫原種屬:Homo sapiens (Human)
-
標記方式:Non-conjugated
-
抗體亞型:IgG
-
純化方式:Antigen affinity purification
-
濃度:It differs from different batches. Please contact us to confirm it.
-
保存緩沖液:-20°C, pH7.4 PBS, 0.05% NaN3, 40% Glycerol
-
產品提供形式:Liquid
-
應用范圍:ELISA,IHC
-
推薦稀釋比:
Application Recommended Dilution ELISA 1:2000-1:5000 IHC 1:25-1:100 -
Protocols:
-
儲存條件:Upon receipt, store at -20°C or -80°C. Avoid repeated freeze.
-
貨期:Basically, we can dispatch the products out in 1-3 working days after receiving your orders. Delivery time maybe differs from different purchasing way or location, please kindly consult your local distributors for specific delivery time.
-
用途:For Research Use Only. Not for use in diagnostic or therapeutic procedures.
相關產品
靶點詳情
-
功能:Stimulates renal phosphate reabsorption, and could therefore prevent hypercalcemia.
-
基因功能參考文獻:
- these results suggest that mesenchymal stem cells protect vascular cells from inflammatory injury partially by secreting STC1 PMID: 29857240
- Data indicate that stanniocalcin 1 (STC1) is a non-canonical NOTCH1 ligand and acts as a crucial regulator of stemness in glioblastoma (GBM). PMID: 29196129
- these data demonstrated that STC1 can promote cell apoptosis via NF-kappaB phospho-P65 (Ser536) by PI3K/AKT, IkappaBalpha and IKK signaling in cervical cancer cells PMID: 28545028
- Ssecretory STC1 enhances metastatic potential of hepatocellular carcinomas via JNK signaling. PMID: 28688970
- Glycolysis from glucose is regulated by hSTC-1, decreasing the adequate supply of glycerol-3-phosphate (G3P) needed for fatty acid esterification and triacylglycerol (TG) storage in brown adipose tissue (BAT). The decrease of TG capacity synthesis from glucose by hSTC-1 compromises the BAT thermogenic capacity. PMID: 28435144
- Increased STC1 plasma level represents a hallmark of late-onset preeclampsia; STC1 gene variants modulate placental gene expression and maternal hormone levels. PMID: 27603899
- Latanoprost-induced reduction of intraocular pressure is mediated through the downstream signaling molecule STC-1. When used by itself, STC-1 exhibits ocular hypotensive properties. PMID: 28538979
- Study demonstrates that STC1 is overexpressed in the prostate carcinoma cell lines and suggests that it promotes prostate carcinoma cell proliferation via cyclin E1/CDK2. PMID: 28350121
- In the fed state, STC1 increases the incorporation of (14)C from glucose into lipids in the white retroperitoneal adipose tissue (WRAT). STC1 is one of the hormonal factors that control glucose metabolism in WRAT in the fed state. PMID: 27730346
- STC1 protein is significantly up-regulated in midsecretory endometrial fluid and is dysregulated in eutopic endometrial tissue from women with endometriosis. It is likely regulated by cAMP and may be involved in the pathogenesis of decidualization defects. PMID: 27322879
- STC1 expression is significantly upregulated in human masticatory mucosa during wound healing PMID: 28005267
- elevated STC-1 expression is associated with poor clinical outcome in triple-negative breast cancer (TNBC) patients, and STC-1 is directly involved in the invasiveness of TNBC cells PMID: 27461417
- we demonstrated that aberrant STC1 expression is associated with poor prognosis and stimulates the invasiveness of triplenegative breast cancer cells PMID: 27459971
- our findings strongly suggest that elevated expression of STC1 protein at the III-IV stage of lung adenocarcinoma promotes tumorigenesis of lung adenocarcinoma and positively associates with the cancer progression, which may be of potential value as tumor marker in clinical tracking lung adenocarcinoma progression. PMID: 26577859
- Data suggest that stanniocalcin 1 and 2 (STC1, STC2) participate in inhibition of proteolytic activity of pregnancy-associated plasma protein-A (PAPP-A) during folliculogenesis. PMID: 26874357
- STC1 gene expression at diagnosis might be a useful prognostic marker for clinical outcome and monitoring therapeutic response in patients with acute leukemia. PMID: 26547904
- STC1 blunts bleomycin-induced rise in thrombin protein and activity, diminishes thrombin-induced signaling through PAR1 to ERK, and inhibits bleomycin-induced pneumonitis. PMID: 26640170
- Data revealed the existence of a moderating effect between Klotho and STC1, where Klotho may inhibit thyroid tumor progression by inhibiting the tumor marker level of STC1. PMID: 26531219
- High expression levels of stanniocalcin-1 is associated with Hepatocellular Carcinoma. PMID: 26469082
- Results show that STC1 have an important role in the carbohydrate metabolism regulation, in particular gluconeogenesis from glutamine in the kidney, across the vertebrates. PMID: 26187698
- Stanniocalcin 1 is expressed in thyroid side population cells and thyroid cancer cells. PMID: 25647164
- Data show that co-transfection with cDNA encoding stanniocalcin-1 abrogates the proteolytic activity of pregnancy-associated plasma protein-A (PAPP-A) toward IGF-binding protein 4 (IGFBP-4). PMID: 26195635
- These findings demonstrate a role for STC1 in metastasis of early stage clear cell renal cell carcinoma. PMID: 25740019
- Mesenchymal stem cells correct inappropriate epithelial-mesenchyme relation in pulmonary fibrosis using Stc1. PMID: 25373521
- These results suggested that STC1 may be a valuable biomarker in diagnosing malignant degree of glioma and evaluating prognostic following surgery PMID: 25783529
- STC1 interferes with CALCRL signaling during osteoblastogenesis via adenylate cyclase inhibition. PMID: 25591908
- Stanniocalcin 1 downregulation is responsible for sorafenib-induced cardiotoxicity through activated ROS generation. PMID: 25370841
- Circulating STC1 and STC2 mRNA are potentially useful blood markers for LSCC PMID: 24743310
- This is the first study to show definitively that STC1 plays an oncogenic role in breast cancer, and indicates that STC1 could be a potential therapeutic target for treatment of breast cancer patients. PMID: 25391215
- High STC1 expression is associated with glioma. PMID: 24729417
- was indicated that secreted STC-1 promotes metastatic potential of breast cancer cells via activation of PI3K/AKT PMID: 25056605
- Stanniocalcin-1 and -2 promote angiogenic sprouting in HUVECs via VEGF/VEGFR2 and angiopoietin signaling pathways. PMID: 23664860
- An anti-apoptotic protein stanniocalcin-1 (STC-1) can prevent loss of retinal ganglion cells in the rat retina with optic nerve transection PMID: 23667669
- Data of this experiment showed that higher STC-1 expression during 96 h of preconditioning correlated with more effective MMP protection through the regulation of intracellular level of ROS and cytosolic free Ca2 + and preservation of cell viability. PMID: 23566487
- STC1 is differentially expressed in the culprit coronary plaques of patients with acute myocardial infarction versus those with stable angina. STC1 may play a role in plaque instability. PMID: 23757035
- Thus, these results provided evidence that STC1 inhibited cell proliferation and invasion through NF-kappaB p65 activation in cervical cancer. PMID: 23382863
- Data indicate that the secreted glycoprotein stanniocalcin-1 (STC1) as a mediator of metastasis by PDGF receptor function in the setting of colorectal cancer. PMID: 23243022
- STC-1 mRNA expression is a reliable marker for detection of DTCs in PB and BM of ESCC patients, and STC-1-positive DTCs may be a promising tool for diagnosis and prognosis assessment in ESCC. PMID: 22537917
- STC1 is a potentially useful blood marker for predicting biological tumor aggressiveness in patients with gastric cancer PMID: 22889960
- STC1 activates a novel anti-oxidant pathway in cardiac myocytes through induction of UCP3 PMID: 22693564
- Stanniocalcin (STC1) plays an important role in functional adaption in pediatric kidney transplantation. PMID: 22588538
- Overexpression of STC1 was an independent prognostic factor in patients with esophageal cancer who had undergone curative surgery. PMID: 22200953
- Level of circulating STC1 mRNA in NSCLC was significantly higher than in benign pulmonary disease or healthy volunteers. Higher levels of circulating STC1 mRNA were associated with more advanced tumor stages and histological subtypes. PMID: 21656524
- The results demonstrate that PKCalpha suppresses the expression of STC1 in breast cancer cells. PMID: 21720730
- STC-1 could promote angiogenesis in vitro and in vivo, and the angiogenesis was consistent with VEGF expression in vitro. Inhibition of VEGF expression in supernatants with neutralizing antibody markedly abolished angiogenesis induced by STC-1 in vitro. PMID: 21672207
- Vascular endothelial growth factor-D stimulates endothelial cell VEGF-A, stanniocalcin-1, and neuropilin-2 and has potent angiogenic effects. PMID: 21474827
- STC1 plays an important role in the early response to mechanical injury by epithelial cells by modulating signaling of extracellular ATP PMID: 20422040
- STC1 induction by thyroid hormone depends on both TRbeta and PI3K activation. PMID: 20827662
- High STC1 gene expression is associated with colorectal cancer. PMID: 21273618
- Human stanniocalcin-1 or -2 expressed in mice reduces bone size and severely inhibits cranial intramembranous bone growth. PMID: 20174869
顯示更多
收起更多
-
亞細胞定位:Secreted.
-
蛋白家族:Stanniocalcin family
-
組織特異性:Expressed in most tissues, with the highest levels in ovary, prostate, heart, kidney and thyroid. In the kidney, expression is confined to the nephron, specifically in the distal convoluted tubule and in the collecting tubule. Not detected in the brain, l
-
數據庫鏈接:
Most popular with customers
-
-
YWHAB Recombinant Monoclonal Antibody
Applications: ELISA, WB, IHC, IF, FC
Species Reactivity: Human, Mouse, Rat
-
Phospho-YAP1 (S127) Recombinant Monoclonal Antibody
Applications: ELISA, WB, IHC
Species Reactivity: Human
-
-
-
-
-















