-
中文名稱:STAR兔多克隆抗體
-
貨號:CSB-PA174690
-
規格:¥1100
-
圖片:
-
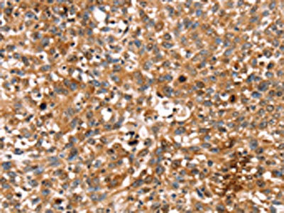
The image on the left is immunohistochemistry of paraffin-embedded Human lung cancer tissue using CSB-PA174690(STAR Antibody) at dilution 1/35, on the right is treated with fusion protein. (Original magnification: ×200)
-
Gel: 12%SDS-PAGE, Lysate: 40 μg, Lane: 231 cells, Primary antibody: CSB-PA174690(STAR Antibody) at dilution 1/500, Secondary antibody: Goat anti rabbit IgG at 1/8000 dilution, Exposure time: 5 seconds
-
-
其他:
產品詳情
-
Uniprot No.:
-
基因名:
-
別名:Cholesterol trafficker antibody; Luteinizing hormone induced protein antibody; mitochondrial antibody; Mitochondrial steroid acute regulatory protein antibody; StAR antibody; StAR related lipid transfer (START) domain containing 1 antibody; STAR_HUMAN antibody; StARD1 antibody; START domain containing 1 antibody; START domain containing protein 1 antibody; START domain-containing protein 1 antibody; Steroid acute regulatory protein antibody; Steroidogenic acute regulator antibody; Steroidogenic acute regulatory protein antibody; Steroidogenic acute regulatory protein mitochondrial antibody
-
宿主:Rabbit
-
反應種屬:Human,Mouse,Rat
-
免疫原:Fusion protein of Human STAR
-
免疫原種屬:Homo sapiens (Human)
-
標記方式:Non-conjugated
-
抗體亞型:IgG
-
純化方式:Antigen affinity purification
-
濃度:It differs from different batches. Please contact us to confirm it.
-
保存緩沖液:-20°C, pH7.4 PBS, 0.05% NaN3, 40% Glycerol
-
產品提供形式:Liquid
-
應用范圍:ELISA,WB,IHC
-
推薦稀釋比:
Application Recommended Dilution ELISA 1:1000-1:2000 WB 1:200-1:1000 IHC 1:25-1:100 -
Protocols:
-
儲存條件:Upon receipt, store at -20°C or -80°C. Avoid repeated freeze.
-
貨期:Basically, we can dispatch the products out in 1-3 working days after receiving your orders. Delivery time maybe differs from different purchasing way or location, please kindly consult your local distributors for specific delivery time.
-
用途:For Research Use Only. Not for use in diagnostic or therapeutic procedures.
引用文獻
- The downregulation of hormone-sensitive lipase and dysregulation of cholesterol receptors/transporter affect testicular lipid homeostasis and function in HFD-induced oligoasthenospermia mice M Pan, J Li, Y Wang, Z Liu, L Li, T Wang,Molecular Medicine,2025
- The downregulation of hormone-sensitive lipase and dysregulation of cholesterol receptors/transporter affect testicular lipid homeostasis and function in HFD-induced oligoasthenospermia mice M Pan, J Li, Y Wang, Z Liu, L Li, T Wang,Molecular Medicine,2025
相關產品
靶點詳情
-
功能:Plays a key role in steroid hormone synthesis by enhancing the metabolism of cholesterol into pregnenolone. Mediates the transfer of cholesterol from the outer mitochondrial membrane to the inner mitochondrial membrane where it is cleaved to pregnenolone.
-
基因功能參考文獻:
- The present study revealed that StAR overexpression can reduce hepatic lipid accumulation, regulate glucose metabolism and attenuate insulin resistance through a mechanism involving the activation of FXR. PMID: 28153708
- Reduced fractalkine levels were found in follicular fluid and granulosa cells, accompanied by decreased progesterone production and reduced steroidogenic acute regulatory protein (StAR) expression in the granulosa cells of patients with polycystic ovary syndrome. Administration of fractalkine reversed the inhibition of progesterone and StAR expression. PMID: 27386819
- Remarkably, in terms of fluorescence response, 20NP slightly outperforms commonly used 22NC and can thus be used for screening of various potential ligands by a competition mechanism in the future. PMID: 29408456
- solution structure of human steroidogenic acute regulatory protein STARD1 studied by small-angle X-ray scattering PMID: 28576490
- immunohistochemical staining for StAR is a reliable pathological approach for the diagnosis and classification of adrenocortical adenomas with cAMP/PKA signaling-activating mutations. PMID: 27606678
- Data suggest that expression of STAR (steroidogenic acute regulatory protein) and AKR1B10 (aldo-keto reductase family 1, member B10) is down-regulated in high-grade versus low-grade endometrial tumors; expression of AKR1B10 correlates with body mass index, with up-regulation of expression of AKR1B10 in obese patients with endometrial tumors. PMID: 28232277
- target of the microRNA let-7, which itself is regulated by the long noncoding RNA H19 PMID: 27813675
- Immunostaining of CLOCK and PER2 protein was detected in the granulosa cells of dominant antral follicles but was absent in the primordial, primary, or preantral follicles of human ovaries.Oscillating expression of the circadian gene PER2 can be induced by testosterone in human granulosa cells in vitro. Expression of STAR also displayed an oscillating pattern after testosterone stimulation PMID: 27614897
- Current level of understanding on tissue-specific and hormone-induced regulation of STAR expression and steroidogenesis, and insights into a number of cholesterol and/or steroid coupled physiological consequences.[review] PMID: 26271515
- activins A, B and AB down-regulate StAR expression and decrease progesterone production in human granulosa cells, likely via an ALK4-mediated SMAD2/SMAD4-dependent pathway. PMID: 26001835
- amino acid of mutant position of the novel p.E123K was highly conserved in ten different species and was predicted to have impacts on the structure and function of StAR protein by the PolyPhen-2 prediction software PMID: 26014698
- Mutagenesis confirmed that Arg(312) and Arg(313) are crucial for this mode of regulation, and novel interactions with the START domain PMID: 25002576
- StAR proteolysis is executed by at least 2 mitochondrial proteases, the matrix LON protease and the inner membrane complexes of the metalloproteases AFG3L2 and AFG3L2:SPG7/paraplegin. PMID: 24422629
- Hypoxia in pulmonary artery endothelial cells results in upregulation of STAR protein. PMID: 25001622
- BMP15 down-regulates StAR expression and decreases progesterone production in human granulosa cells, likely via ALK3-mediated SMAD1/5/8 signaling. PMID: 24140593
- The novel mutation p.Trp147Arg of the steroidogenic acute regulatory protein causes classic lipoid congenital adrenal hyperplasia with adrenal insufficiency and 46,XY disorder of sex development. PMID: 23920000
- Data suggest that mutation analysis of the STAR gene is essential for definitive diagnosis, genetic counseling, and prenatal diagnosis of Lipoid congenital adrenal hyperplasia (LCAH). PMID: 23748066
- Cholesterol-mediated conformational changes in StAR are essential for steroidogenesis. PMID: 24053410
- Expression of StAR and P45011beta (cytochrome P450 family 11 subfamily B polypeptide 1) is down-regulated in adrenocortical cells and neurons under oxidative stress by ALADIN (triple A syndrome protein, human) knockdown. PMID: 23825130
- deficiencies in the steroidogenic acute regulatory protein and the cholesterol side chain cleavage enzyme cause neonatal adrenal failure PMID: 23158025
- biochemical, genetic, and long-term clinical data in 5 Greek patients from 4 families with mutations in STAR gene (46, XX and 46, XY disorders of sex development): All patients presented in early infancy with adrenal insufficiency. [CASE STUDIES] PMID: 23211570
- Mutant FOXL2 in granulosa cell tumors is able to differentially regulate the expression of many genes, including two well known FOXL2 targets, StAR and CYP19A. PMID: 23029457
- Mutations in the CYP11A1 gene encoding cholesterol side-chain cleavage enzyme cause disordered pregnenolone synthesis, and STAR mutations do not necessarily results in typical congenital lipoid adrenal hyperplasia. PMID: 23330251
- The status of ARO and StAR contribute to estrogen synthesis in situ, especially for the regulation of elastic fiber formation, and to testosterone synthesis, which may be associated with hair growth, respectively. PMID: 22634420
- Allelic losses of the loci containing StAR have significant prognostic value for intermediate-risk prostate cancer. PMID: 22213075
- The STAR mutation spectrum has been investigated and a novel STAR mutation functionally analyzed in Korean patients with congenital lipoid adrenal hyperplasia; p.Q258X is the most common STAR mutation in Korea. PMID: 21846663
- analysis of angiotensin II-dependent transcriptional activation of human steroidogenic acute regulatory protein gene by a 25-kDa cAMP-responsive element modulator protein isoform and Yin Yang 1 PMID: 22253417
- report a novel transcriptional cooperation between GATA factors and cJUN on the mouse Star and human STAR promoters in MA-10 Leydig cells. This cooperation was observed with different GATA members, whereas only cJUN could cooperate with GATA factors PMID: 21350237
- StAR mutations located in the cholesterol binding pocket (V187M, R188C, R192C, G221D/S) seem to cause non-classic lipoid congenital adrenal hyperplasia PMID: 21647419
- a biological marker for Leydig cells and sex-cord stromal tumors PMID: 21217523
- The aim of this study was to investigate the effects of adiponectin on StAR protein expression, steroidogenic genes, and cortisol production and to dissect the signalling cascades involved in the activation of StAR expression. PMID: 21334384
- The role of protein tyrosine phosphatases in the regulation of steroid biosynthesis, relating them to steroidogenic acute regulatory protein, arachidonic acid metabolism and mitochondrial rearrangement, is described. PMID: 21145937
- The considerable extra energy expenditure that is required for synthesis of the long mRNA is used to provide a refined control of StAR expression. PMID: 21147196
- StAR, its expression pattern and the clinical consequences of the loss of its activity. PMID: 21164258
- GDF9 attenuates the suppressive effects of activin A on StAR expression and progesterone production by increasing the expression of inhibin B, which acts as an activin A competitor. PMID: 20660033
- novel SF-1 binding sites between 3,000 and 3,400 bp upstream of StAR PMID: 20601698
- study describes four patients with nonclassic or atypical congenital lipoid adrenal hyperplasia (lipoid CAH) identifes their StAR mutations and characterizes the activities of the mutants to explore genotype/phenotype correlations PMID: 20444910
- No associations between StAR SNPs and endometrial cancer risk were observed. PMID: 20199803
- Overexpression of StAR decreased number of apoptotic macrophages by decreasing expression of pro-apoptotic genes Caspase-3 & Bax mRNA, & through increasing expression of anti-apoptotic gene Bcl-2 mRNA levels in absence & presence of Ox-LDL. PMID: 19946756
- Increased steroidogenic acute regulatory protein expression is associated with endometriosis severity. PMID: 19930843
- FOXL2 is sumoylated by Ubc9, and this Ubc9-mediated sumoylation is essential to the transcriptional activity of FOXL2 on the StAR promoter. PMID: 19744555
- Leptin acts through the MAPK pathway to downregulate cAMP-induced StAR protein expression and progesterone production in immortalized human granulosa cells. PMID: 19849856
- No mutations in MC2R, MRAP or STAR were identified in any patient with Addison's disease PMID: 19903795
- StAR picks up cholesterol from a source in the outer mitochondrial membrane (OMM) and not from cytoplasmic cholesterol; StAR is stabilized at the OMM by cholesterol on its way to the mitochondrial matrix. PMID: 19899816
- StAR protein is an absolute requirement in the rate-limiting step in steroidogenesis, the transfer of cholesterol into the mitochondria [review] PMID: 12044915
- StAR can transfer cholesterol between synthetic membranes without other protein components found in mitochondria PMID: 12372832
- StAR requires structural alterations to allow cholesterol binding, most evidently by C-terminal alpha-helix above U-shaped beta-barrel. Unfolding of helix probable and leads to 2% subpopulation of partially unfolded StAR. PMID: 12530644
- modulation of DAX-1 and steroidogenic factor-1 intracellular levels in granulosa cells suggests that these transcription factors could be involved in mitogen-activated protein kinase suppression of steroidogenic acute regulatory protein expression PMID: 12727988
- Steroidogenic acute regulatory protein expression in the normal human brain and intracranial tumors. PMID: 12834921
- hCG-stimulated steroidogenic response in the mid- and late luteal phase is correlated with increased StAR mRNA and protein abundance PMID: 12843197
顯示更多
收起更多
-
相關疾?。?/div>Adrenal hyperplasia 1 (AH1)亞細胞定位:Mitochondrion.組織特異性:Expressed in gonads, adrenal cortex and kidney.數據庫鏈接:
Most popular with customers
-
-
YWHAB Recombinant Monoclonal Antibody
Applications: ELISA, WB, IHC, IF, FC
Species Reactivity: Human, Mouse, Rat
-
Phospho-YAP1 (S127) Recombinant Monoclonal Antibody
Applications: ELISA, WB, IHC
Species Reactivity: Human
-
-
-
-
-















