-
中文名稱:SPTLC2兔多克隆抗體
-
貨號:CSB-PA022640LA01HU
-
規格:¥440
-
圖片:
-
Western blot
All lanes: SPTLC2 antibody at 12µg/ml
Lane 1: HepG2 whole cell lysate
Lane 2: A549 whole cell lysate
Lane 3: HT29 whole cell lysate
Secondary
Goat polyclonal to rabbit IgG at 1/10000 dilution
Predicted band size: 63 kDa
Observed band size: 63 kDa -
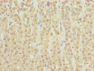
Immunohistochemistry of paraffin-embedded human adrenal gland tissue using CSB-PA022640LA01HU at dilution of 1:100
-
Immunofluorescent analysis of HepG2 cells using CSB-PA022640LA01HU at dilution of 1:100 and Alexa Fluor 488-congugated AffiniPure Goat Anti-Rabbit IgG(H+L)
-
-
其他:
產品詳情
-
產品描述:
The production of the SPTLC2 antibody starts by immunizing rabbits with the recombinant human SPTLC2 (88-562aa), follows by collecting the rabbit serum, and finishes by isolating and purifying the antibody from the rabbit serum through protein G affinity chromatography.
The resulting antibody got a high purity of up to 95%. It is only reactive with human SPTLC2 protein. This rabbit anti-human SPTLC2 polyclonal antibody has passed through quality verification in multiple applications, including ELISA, WB, IHC, and IF.
-
產品名稱:Rabbit anti-Homo sapiens (Human) SPTLC2 Polyclonal antibody
-
Uniprot No.:
-
基因名:SPTLC2
-
別名:KIAA0526 antibody; LCB 2 antibody; LCB2 antibody; LCB2a antibody; Long chain base biosynthesis protein 2 antibody; Long chain base biosynthesis protein 2a antibody; Serine palmitoyl CoA transferase 2 antibody; Serine palmitoyltransferase 2 antibody; Serine palmitoyltransferase long chain base subunit 2 antibody; Serine palmitoyltransferase subunit II antibody; Serine-palmitoyl-CoA transferase 2 antibody; SPT 2 antibody; SPT2 antibody; SPTC2_HUMAN antibody; SPTLC 2 antibody; Sptlc2 antibody
-
宿主:Rabbit
-
反應種屬:Human
-
免疫原:Recombinant Human Serine palmitoyltransferase 2 protein (88-562AA)
-
免疫原種屬:Homo sapiens (Human)
-
標記方式:Non-conjugated
本頁面中的產品,SPTLC2 Antibody (CSB-PA022640LA01HU),的標記方式是Non-conjugated。對于SPTLC2 Antibody,我們還提供其他標記。見下表:
-
克隆類型:Polyclonal
-
抗體亞型:IgG
-
純化方式:>95%, Protein G purified
-
濃度:It differs from different batches. Please contact us to confirm it.
-
保存緩沖液:Preservative: 0.03% Proclin 300
Constituents: 50% Glycerol, 0.01M PBS, PH 7.4 -
產品提供形式:Liquid
-
應用范圍:ELISA, WB, IHC, IF
-
推薦稀釋比:
Application Recommended Dilution WB 1:500-1:2000 IHC 1:20-1:200 IF 1:50-1:200 -
Protocols:
-
儲存條件:Upon receipt, store at -20°C or -80°C. Avoid repeated freeze.
-
貨期:Basically, we can dispatch the products out in 1-3 working days after receiving your orders. Delivery time maybe differs from different purchasing way or location, please kindly consult your local distributors for specific delivery time.
-
用途:For Research Use Only. Not for use in diagnostic or therapeutic procedures.
引用文獻
- Expression of Ceramide-Metabolizing Enzymes in the Heart Adipose Tissue of Cardiovascular Disease Patients O Gruzdeva,International journal of molecular sciences,2023
相關產品
靶點詳情
-
功能:Serine palmitoyltransferase (SPT). The heterodimer formed with LCB1/SPTLC1 constitutes the catalytic core. The composition of the serine palmitoyltransferase (SPT) complex determines the substrate preference. The SPTLC1-SPTLC2-SPTSSA complex shows a strong preference for C16-CoA substrate, while the SPTLC1-SPTLC2-SPTSSB complex displays a preference for C18-CoA substrate. Plays an important role in de novo sphyngolipid biosynthesis which is crucial for adipogenesis.
-
基因功能參考文獻:
- 2 families had late-onset autosomal dominant HSAN1C caused by a new variant in SPTLC2, c.547C>T, p.(Arg183Trp). The variant changed a conserved amino acid. PMID: 26573920
- The activities of the hLCB2a mutants were measured in the presence of ssSPTa and ssSPTb and was found that all decrease enzyme activity. PMID: 24175284
- Mutations in SPTLC2 are associated with increased deoxySL formation causing hereditary sensory and autonomic neuropathy type 1 (HSANI) in a familial study. PMID: 23658386
- Mutations in the SPTLC2 subunit of serine palmitoyltransferase cause hereditary sensory and autonomic neuropathy type I. PMID: 20920666
- results suggest that SPTLC2 mutations are not a common cause for genetic sensory neuropathies. PMID: 12207934
- an increase in transepidermal water loss is an obligatory trigger for the upregulation of serine palmitoyltransferase mRNA expression in human epidermis PMID: 12445191
- Results suggest that functional serine palmitoyltransferase is not a dimer, but a higher organized complex, composed of three distinct subunits (SPTLC1, SPTLC2 and SPTLC3) with a molecular mass of 480 kDa. PMID: 17331073
- discovery of 2 proteins, ssSPTa and ssSPTb, which each interacts with both hLCB1 and hLCB2, suggesting that there are 4 distinct human SPT isozymes. PMID: 19416851
顯示更多
收起更多
-
相關疾病:Neuropathy, hereditary sensory and autonomic, 1C (HSAN1C)
-
亞細胞定位:Endoplasmic reticulum membrane; Single-pass membrane protein.
-
蛋白家族:Class-II pyridoxal-phosphate-dependent aminotransferase family
-
組織特異性:Widely expressed.
-
數據庫鏈接:
Most popular with customers
-
-
YWHAB Recombinant Monoclonal Antibody
Applications: ELISA, WB, IHC, IF, FC
Species Reactivity: Human, Mouse, Rat
-
Phospho-YAP1 (S127) Recombinant Monoclonal Antibody
Applications: ELISA, WB, IHC
Species Reactivity: Human
-
-
-
-
-















