-
中文名稱:SP1兔多克隆抗體
-
貨號:CSB-PA671453
-
規格:¥1100
-
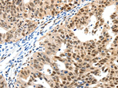
圖片:
-
The image on the left is immunohistochemistry of paraffin-embedded Human colon cancer tissue using CSB-PA671453(SP1 Antibody) at dilution 1/40, on the right is treated with synthetic peptide. (Original magnification: ×200)
-
The image on the left is immunohistochemistry of paraffin-embedded Human ovarian cancer tissue using CSB-PA671453(SP1 Antibody) at dilution 1/40, on the right is treated with synthetic peptide. (Original magnification: ×200)
-
-
其他:
產品詳情
-
Uniprot No.:
-
基因名:
-
別名:SP 1 antibody; SP1 antibody; Sp1 transcription factor antibody; SP1_HUMAN antibody; Specificity protein 1 antibody; Transcription factor Sp1 antibody; TSFP 1 antibody; TSFP1 antibody
-
宿主:Rabbit
-
反應種屬:Human,Mouse,Rat
-
免疫原:Synthetic peptide of Human SP1
-
免疫原種屬:Homo sapiens (Human)
-
標記方式:Non-conjugated
-
抗體亞型:IgG
-
純化方式:Antigen affinity purification
-
濃度:It differs from different batches. Please contact us to confirm it.
-
保存緩沖液:-20°C, pH7.4 PBS, 0.05% NaN3, 40% Glycerol
-
產品提供形式:Liquid
-
應用范圍:ELISA,IHC
-
推薦稀釋比:
Application Recommended Dilution ELISA 1:2000-1:5000 IHC 1:50-1:200 -
Protocols:
-
儲存條件:Upon receipt, store at -20°C or -80°C. Avoid repeated freeze.
-
貨期:Basically, we can dispatch the products out in 1-3 working days after receiving your orders. Delivery time maybe differs from different purchasing way or location, please kindly consult your local distributors for specific delivery time.
-
用途:For Research Use Only. Not for use in diagnostic or therapeutic procedures.
引用文獻
- TRIM59 expression is regulated by Sp1 and Nrf1 in LPS-activated macrophages through JNK signaling pathway YanyingAn,Cellular Signalling,2019
相關產品
靶點詳情
-
功能:Transcription factor that can activate or repress transcription in response to physiological and pathological stimuli. Binds with high affinity to GC-rich motifs and regulates the expression of a large number of genes involved in a variety of processes such as cell growth, apoptosis, differentiation and immune responses. Highly regulated by post-translational modifications (phosphorylations, sumoylation, proteolytic cleavage, glycosylation and acetylation). Binds also the PDGFR-alpha G-box promoter. May have a role in modulating the cellular response to DNA damage. Implicated in chromatin remodeling. Plays an essential role in the regulation of FE65 gene expression. In complex with ATF7IP, maintains telomerase activity in cancer cells by inducing TERT and TERC gene expression. Isoform 3 is a stronger activator of transcription than isoform 1. Positively regulates the transcription of the core clock component ARNTL/BMAL1. Plays a role in the recruitment of SMARCA4/BRG1 on the c-FOS promoter. Plays a role in protecting cells against oxidative stress following brain injury by regulating the expression of RNF112.
-
基因功能參考文獻:
- in this study we characterized TINCR overexpression regulated by SP1 transcription factor. High level of TINCR in turn competed with miR-7, and stabilized and promoted KLF4 expression, which consequently contributed to the oncogenic activity of TINCR. PMID: 29614984
- inhibition of Sp1, as well as induction of ER stress, leads to lysosomal membrane permeabilization (LMP), a sustained accumulation of cytosolic calcium, and eventually cell death in pancreatic cancer. PMID: 28484232
- Long non-coding RNA FTH1P3 regulates invasive/metastatic potential of esophageal squamous cell carcinoma via SP1/NF-kB pathway. PMID: 30119232
- These results suggested that KIAA0101 knockdown suppressed the cell proliferation and cell cycle progression by promoting the formation of p53/Sp1 complex in breast cancer. PMID: 29902451
- Our findings suggested that ZBP-89 and Sp1 overexpression induced Bak expression in a genetic manner. Increased Bak level was associated with poor patient survival, whereas high level of Sp1 is a beneficial factor for patient survival. PMID: 29653560
- Thus, these results demonstrate the presence of two new functional Sp1 binding sites in the HTLV-1 Long Terminal Repeat, which act as negative cis-regulatory elements of sense viral transcription. PMID: 28256531
- the results of the present study demonstrated that miR199a3p can inhibit LDHA expression by downregulating Sp1, and provided mechanistic evidence supporting the existence of a novel miR199a3p/Sp1/LDHA axis and its critical contribution to aerobic glycolysis in testicular cancer cells. PMID: 30015851
- The results demonstrate a direct relationship between SP1 binding and protein kinase CbetaII (PKCbetaII) transcription, and further suggest that this transcription factor is a contributor to the pathobiology of chronic lymphocytic leukaemia and potentially other malignant cells where PKCbetaII is overexpressed. PMID: 28233872
- Data indicate that improved Sp1 transcription factor (Sp1) and betaine homocysteine-S-methyltransferase (BHMT) expression are involved in the effects of zinc on oxidative stress. PMID: 29204947
- AGAP2-AS1 was upregulated and transcriptionally induced by SP1 in breast cancer..ChIP assays showed that AGAP2-AS1-bound CBP increased the enrichment of H3K27ac at the promoter region of MyD88, thus resulting in the upregulation of MyD88. Gain- and loss-of-function assays confirmed that the NF-kappaB pathway was activated by MyD88 and AGAP2-AS1 PMID: 30157918
- The interaction of AR and SP1 contributes to regulate EPHA3 expression. PMID: 29917167
- These results indicated that miR-296 may act as a tumor suppressor in cervical cancer by directly targeting SP1 PMID: 29241478
- The mechanism of prostaglandin E2-induced transcriptional up-regulation of Oncostatin-M by CREB and Sp1 has been described. PMID: 29269396
- Results indicated that SP1dependent promoter elements drive FoxO3a gene transcription in colorectal cancer (CRC), and indicated that SP1 upregulated FoxO3a is critical for CRC progression. PMID: 29565456
- Sp1 constitutively regulates the basal expression of the COMMD1 gene in human epithelial cell lines. PMID: 29336469
- In the present study, specificity protein 1 (SP1) was demonstrated to be a direct target of miR-376a. PMID: 29257212
- Results demonstrated that the upregulation of SP1 enhanced expression of VEGF promoting the angiogenesis and migration of trastuzumab-resistant ovarian cancer cell line SKOV3-T. PMID: 29048687
- Data suggest that MIR129 or MIR335 overexpression in keratinocytes inhibits MMP9 promoter activity and protein expression by targeting SP1; inhibition of these microRNAs has the opposite effect. These mechanisms may be involved in regulation of wound healing. (MIR = microRNA; MMP9 = matrix metalloproteinase-9; SP1 = transcription factor-SP1) PMID: 29748291
- The possible involvement of the GC box 1 at position - 54 in transcriptional regulation of Rbpms was corroborated by EMSA, which showed formation of a DNA-protein complex in the presence of the oligonucleotide corresponding to this Sp1-binding site. PMID: 29423656
- Our results suggested that BetA was able to enhance radiosensitization at least partially by downregulating Sp1 and upregulating PTEN through inducing Sp1 sumoylation. BetA is suggested to be a promising drug for increasing radiosensitization in oral squamous cell carcinoma radiotherapy. PMID: 28791404
- Mutation of two Sp1 motifs strongly reduced trans-activation of the late UF1 promoter by HPyV9 large T-antigen in HeLa cells. PMID: 29135936
- RhoGDIbeta overexpression led to downregulation of miR-200c, whereas miR-200c was able directly to target 3'-UTR of jnk2mRNA and attenuated JNK2 protein translation, which resulted in attenuation of Sp1mRNA and protein expression in turn, inhibiting Sp1-dependent MMP-2 transcription. PMID: 28846829
- Results show that C-terminal domain of SP1 interacts malat1 M5 domain which regulates its expression and stability. In turn, SP1 promotes malat1 transcription, thus forming a positive feedback loop in lung adenocarcinoma cells. PMID: 29575609
- Study demonstrated that Sp1 upregulation is common in castration-resistant prostate cancer (CRPC) tissues. Its knockdown significantly inhibited cell growth, aerobic glycolysis, and hypoxia-induced autophagy, which were accompanied by an increased G1 cell cycle arrest. These results provided evidence that Sp1 is an oncogene and positively regulates PKM2 in CRPC. PMID: 29094170
- The induced expression of RIP3 by UHRF1 RNAi depends on the presence of Sp1. Remarkably, the ectopic expression of RIP3 in RIP3-null cancer cells results in a decrease in tumor growth in mice. Therefore, our findings offer insights into RIP3 expression control in cancer cells and suggest an inhibitory effect of RIP3 on tumorigenesis. PMID: 28981102
- Licochalcone A showed the anti-proliferative and apoptotic effect in breast cancer cells through regulating Sp1 and apoptosis-related proteins in a dose- and a time-dependent manner. PMID: 28498645
- Results show that SP1 transactivation is prevented by KIBRA promoter methylation in clear cell renal cell carcinoma. PMID: 29046731
- Sp1 induces leptin expression in cooperation with estradiol action through estrogen receptor alpha PMID: 28864005
- Data suggest that among 11 NF-kappa B (NF-kappaB) pathway genes, SP1 transcription factor (SP1) expression could serve as a prognostic marker in patients. PMID: 27545642
- Results provide first findings for the SP1-related transcriptional regulation of ADAMTS3 and collagen genes in osteosarcoma cell lines. PMID: 29518549
- Taken together, these data clearly show that FKBP3/Sp1/HDAC2/p27 control cell proliferation during non-small cell lung cancer development. PMID: 28839465
- Results indicated that miR3633p is a tumor suppressor in HCC and functions through a mechanism involving SP1. PMID: 28627662
- NFATc2 and Sp1 are co-localized in cell nuclei and physically interact at the NFAT target sequence termed NFAT-responsive promotor construct. Sp1 increases the functional activity of its binding partner NFATc2. PMID: 28774282
- The protein level of transcription factor Sp1 was decreased. PMID: 28713892
- Study demonstrates that downregulation of Sp1 suppresses the malignant properties of A549 cells through the decreased beta4-galactosylation of highly branched N-glycans. PMID: 28529241
- The Sp1-mediaded allelic regulation of MMP13 expression by an esophageal squamous cell carcinoma susceptibility SNP rs2252070 has been demonstrated. PMID: 27245877
- Methylated +322-327 CpG site in the hOGG1 5'-UTR is associated with reduced expression of hOGG1 by decreasing the recruitment of Sp1 to the 5'-UTR of hOGG1 in A549 cells. PMID: 28586012
- that miR-22 and Sp1 form a double-negative feedback loop and consequently activation of PTEN, leading to a decline of p-AKT which influences the biological features of cells PMID: 28422727
- SP1 is an important component of the transcriptional complex and LGR5 activity, which is modulated by its ligands RSPO1 and RSPO2, whose expression is modulated by methylation in gastrric carcinogenesis. PMID: 28219935
- we proposed a model to link FXR to Sp1, which included triggered FXR, p38/MAPK and/or PI3K/AKT signaling and phosphorylated Sp1, to illustrate the potential crosstalk between the two factors. PMID: 28402278
- Results found that Sp1 could activate miR-205 expression by binding to its promoter region in response to ionizing radiation in esophageal squamous cell carcinoma. PMID: 27974696
- miR-29c suppressed MGMT expression indirectly via targeting specificity protein 1 PMID: 27384876
- miR-29c overexpression could abrogate the tumor progression and inhibit the Sp1/TGF-beta expressions in vivo, indicating that miR-29c could be a tumor suppressor and repress the Sp1/TGF-beta axis-induced EMT in lung cancer. PMID: 27829234
- Simultaneous high expression of PLD1 and Sp1 predicts a poor prognosis for pancreatic ductal adenocarcinoma patients. PMID: 27713167
- Specificity protein 1 (Sp1) orchestrates the transcription of both VEGF and VEGFR2; hence, Sp1 could act as a therapeutic target. Here, we demonstrate that CF3DODA-Me induced apoptosis, degraded Sp1, inhibited the expression of multiple drivers of the blebbishield emergency program such as VEGFR2, p70S6K, and N-Myc through activation of caspase-3, inhibited reactive oxygen species; and inhibited K-Ras activation to abolis PMID: 28283889
- MBD1 may be a tumor suppressor gene in advanced colorectal cancer (CRC)and affect the development and metastasis of CRC by regulating 8 tumor suppressor genes through binding with SP1. PMID: 28473981
- our results demonstrate that Sp1 positively regulates the basal transcription of FGF21 in the liver and adipose tissue and contributes to the obesity-induced FGF21 upregulation in mouse adipose tissue and hepatic FGF21 upregulation in hepatocarcinogenesis. PMID: 28466020
- The variant lies in a novel binding-site for the transcription factor Sp1, known to be involved in the regulation of ENG and ACVRL1 transcription. PMID: 29305977
- The results suggest that PLY inhibits osteoblast differentiation by downregulation of Sp1 accompanied by induction of autophagy through ROS-mediated regulation of the AMPK/mTOR pathway. PMID: 28713020
- these findings demonstrate that p53 can repress MCAK promoter activity indirectly via down-regulation of Sp1 expression level, and suggest that MCAK elevation in human tumor cells might be due to p53 mutation PMID: 29244835
顯示更多
收起更多
-
亞細胞定位:Nucleus. Cytoplasm. Note=Nuclear location is governed by glycosylated/phosphorylated states. Insulin promotes nuclear location, while glucagon favors cytoplasmic location.
-
蛋白家族:Sp1 C2H2-type zinc-finger protein family
-
組織特異性:Up-regulated in adenocarcinomas of the stomach (at protein level). Isoform 3 is ubiquitously expressed at low levels.
-
數據庫鏈接:
Most popular with customers
-
-
YWHAB Recombinant Monoclonal Antibody
Applications: ELISA, WB, IHC, IF, FC
Species Reactivity: Human, Mouse, Rat
-
Phospho-YAP1 (S127) Recombinant Monoclonal Antibody
Applications: ELISA, WB, IHC
Species Reactivity: Human
-
-
-
-
-















