SOS2 Antibody
-
中文名稱:SOS2兔多克隆抗體
-
貨號:CSB-PA22327A0Rb
-
規格:¥440
-
圖片:
-
Western Blot
Positive WB detected in: A549 whole cell lysate, SH-SY5Y whole cell lysate, HL60 whole cell lysate, K562 whole cell lysate, PC-3 whole cell lysate, Hela whole cell lysate
All lanes: SOS2 antibody at 1:1000
Secondary
Goat polyclonal to rabbit IgG at 1/50000 dilution
Predicted band size: 153, 150 kDa
Observed band size: 153 kDa -
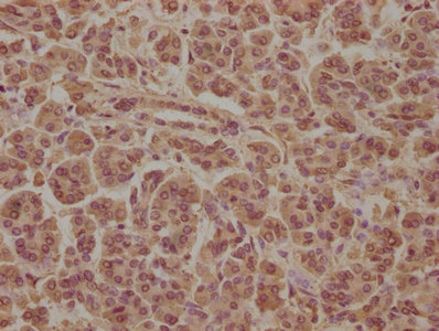
IHC image of CSB-PA22327A0Rb diluted at 1:100 and staining in paraffin-embedded human pancreatic tissue performed on a Leica BondTM system. After dewaxing and hydration, antigen retrieval was mediated by high pressure in a citrate buffer (pH 6.0). Section was blocked with 10% normal goat serum 30min at RT. Then primary antibody (1% BSA) was incubated at 4°C overnight. The primary is detected by a biotinylated secondary antibody and visualized using an HRP conjugated SP system.
-
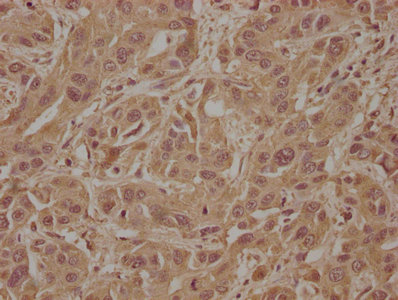
IHC image of CSB-PA22327A0Rb diluted at 1:100 and staining in paraffin-embedded human liver cancer performed on a Leica BondTM system. After dewaxing and hydration, antigen retrieval was mediated by high pressure in a citrate buffer (pH 6.0). Section was blocked with 10% normal goat serum 30min at RT. Then primary antibody (1% BSA) was incubated at 4°C overnight. The primary is detected by a biotinylated secondary antibody and visualized using an HRP conjugated SP system.
-
Immunofluorescence staining of A549 cells with CSB-PA22327A0Rb at 1:50, counter-stained with DAPI. The cells were fixed in 4% formaldehyde, permeabilized using 0.2% Triton X-100 and blocked in 10% normal Goat Serum. The cells were then incubated with the antibody overnight at 4°C. The secondary antibody was Alexa Fluor 488-congugated AffiniPure Goat Anti-Rabbit IgG(H+L).
-
-
其他:
產品詳情
-
產品名稱:Rabbit anti-Homo sapiens (Human) SOS2 Polyclonal antibody
-
Uniprot No.:
-
基因名:
-
別名:FLJ25596 antibody; Guanine nucleotide exchange factor antibody; Guanine nucleotide releasing factor antibody; Son of sevenless (Drosophilia) homolog 2 antibody; Son of sevenless homolog 2 (Drosophila) antibody; Son of sevenless homolog 2 antibody; SOS 2 antibody; SOS-2 antibody; Sos2 antibody; SOS2_HUMAN antibody
-
宿主:Rabbit
-
反應種屬:Human
-
免疫原:Recombinant Human Son of sevenless homolog 2 protein (187-404AA)
-
免疫原種屬:Homo sapiens (Human)
-
標記方式:Non-conjugated
本頁面中的產品,SOS2 Antibody (CSB-PA22327A0Rb),的標記方式是Non-conjugated。對于SOS2 Antibody,我們還提供其他標記。見下表:
-
克隆類型:Polyclonal
-
抗體亞型:IgG
-
純化方式:Antigen Affinity Purified
-
濃度:It differs from different batches. Please contact us to confirm it.
-
保存緩沖液:Preservative: 0.03% Proclin 300
Constituents: 50% Glycerol, 0.01M PBS, pH 7.4 -
產品提供形式:Liquid
-
應用范圍:ELISA, WB, IHC, IF
-
推薦稀釋比:
Application Recommended Dilution WB 1:500-1:2000 IHC 1:20-1:200 IF 1:50-1:200 -
Protocols:
-
儲存條件:Upon receipt, store at -20°C or -80°C. Avoid repeated freeze.
-
貨期:Basically, we can dispatch the products out in 1-3 working days after receiving your orders. Delivery time maybe differs from different purchasing way or location, please kindly consult your local distributors for specific delivery time.
-
用途:For Research Use Only. Not for use in diagnostic or therapeutic procedures.
相關產品
靶點詳情
-
功能:Promotes the exchange of Ras-bound GDP by GTP.
-
基因功能參考文獻:
- Activating Mutations Affecting the Dbl Homology Domain of SOS2 Cause Noonan Syndrome PMID: 26173643
- We identified two novel genes, SOS2 and LZTR1, associated with Noonan syndrome, thereby expanding the molecular spectrum of RASopathies. PMID: 25795793
- multicenter pharmacogenetic study in children (ages 6-11): Data suggest that SNP in SOS2 (rs13379306) in children with growth hormone deficiency is associated with drug resistance to hormone replacement therapy with recombinant human growth hormone. PMID: 23761422
- intracellular Francisella tularensis novicida triggers temporal and early activation of Ras through the SOS2/GrB2/PKCalpha/PKCbetaI quaternary complex; Ras signalling by intracellular F. tularensis is essential for intracellular proliferation in the cytosol PMID: 20618341
- Significant association of single nucleotide polymorphism within three genes--PPARgamma, SOS2, and PCK1--with Alzheimer's disease, was confirmed. PMID: 17440948
顯示更多
收起更多
-
相關疾病:Noonan syndrome 9 (NS9)
-
數據庫鏈接:
Most popular with customers
-
-
YWHAB Recombinant Monoclonal Antibody
Applications: ELISA, WB, IHC, IF, FC
Species Reactivity: Human, Mouse, Rat
-
Phospho-YAP1 (S127) Recombinant Monoclonal Antibody
Applications: ELISA, WB, IHC
Species Reactivity: Human
-
-
-
-
-















