SMN1 Antibody
-
中文名稱:SMN1兔多克隆抗體
-
貨號:CSB-PA614982LA01HU
-
規格:¥440
-
圖片:
-
Western Blot
Positive WB detected in: A549 whole cell lysate, Hela whole cell lysate
All lanes: SMN1 antibody at 2µg/ml
Secondary
Goat polyclonal to rabbit IgG at 1/50000 dilution
Predicted band size: 32, 29, 31, 28 kDa
Observed band size: 40, 60 kDa -
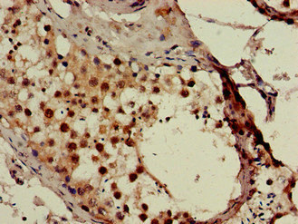
Immunohistochemistry of paraffin-embedded human testis tissue using CSB-PA614982LA01HU at dilution of 1:100
-
Immunofluorescent analysis of HepG2 cells using CSB-PA614982LA01HU at dilution of 1:100 and Alexa Fluor 488-congugated AffiniPure Goat Anti-Rabbit IgG(H+L)
-
-
其他:
產品詳情
-
產品名稱:Rabbit anti-Homo sapiens (Human) SMN1 Polyclonal antibody
-
Uniprot No.:
-
基因名:
-
別名:BCD541 antibody; Component of gems 1 antibody; Gemin 1 antibody; Gemin-1 antibody; OTTHUMP00000125198 antibody; OTTHUMP00000223567 antibody; OTTHUMP00000223568 antibody; OTTHUMP00000224066 antibody; OTTHUMP00000226924 antibody; SMA 1 antibody; SMA 2 antibody; SMA 3 antibody; SMA 4 antibody; SMA antibody; SMA@ antibody; SMA1 antibody; SMA2 antibody; SMA3 antibody; SMA4 antibody; SMN antibody; SMN_HUMAN antibody; SMN1 antibody; SMN2 antibody; SMNT antibody; Survival motor neuron protein antibody; Survival of motor neuron 1, telomeric antibody; T-BCD541 antibody
-
宿主:Rabbit
-
反應種屬:Human
-
免疫原:Recombinant Human Survival motor neuron protein (3-194AA)
-
免疫原種屬:Homo sapiens (Human)
-
標記方式:Non-conjugated
本頁面中的產品,SMN1 Antibody (CSB-PA614982LA01HU),的標記方式是Non-conjugated。對于SMN1 Antibody,我們還提供其他標記。見下表:
-
克隆類型:Polyclonal
-
抗體亞型:IgG
-
純化方式:>95%, Protein G purified
-
濃度:It differs from different batches. Please contact us to confirm it.
-
保存緩沖液:Preservative: 0.03% Proclin 300
Constituents: 50% Glycerol, 0.01M PBS, pH 7.4 -
產品提供形式:Liquid
-
應用范圍:ELISA, WB, IHC, IF
-
推薦稀釋比:
Application Recommended Dilution WB 1:500-1:5000 IHC 1:20-1:200 IF 1:50-1:200 -
Protocols:
-
儲存條件:Upon receipt, store at -20°C or -80°C. Avoid repeated freeze.
-
貨期:Basically, we can dispatch the products out in 1-3 working days after receiving your orders. Delivery time maybe differs from different purchasing way or location, please kindly consult your local distributors for specific delivery time.
-
用途:For Research Use Only. Not for use in diagnostic or therapeutic procedures.
相關產品
靶點詳情
-
功能:The SMN complex catalyzes the assembly of small nuclear ribonucleoproteins (snRNPs), the building blocks of the spliceosome, and thereby plays an important role in the splicing of cellular pre-mRNAs. Most spliceosomal snRNPs contain a common set of Sm proteins SNRPB, SNRPD1, SNRPD2, SNRPD3, SNRPE, SNRPF and SNRPG that assemble in a heptameric protein ring on the Sm site of the small nuclear RNA to form the core snRNP (Sm core). In the cytosol, the Sm proteins SNRPD1, SNRPD2, SNRPE, SNRPF and SNRPG are trapped in an inactive 6S pICln-Sm complex by the chaperone CLNS1A that controls the assembly of the core snRNP. To assemble core snRNPs, the SMN complex accepts the trapped 5Sm proteins from CLNS1A forming an intermediate. Within the SMN complex, SMN1 acts as a structural backbone and together with GEMIN2 it gathers the Sm complex subunits. Binding of snRNA inside 5Sm ultimately triggers eviction of the SMN complex, thereby allowing binding of SNRPD3 and SNRPB to complete assembly of the core snRNP. Ensures the correct splicing of U12 intron-containing genes that may be important for normal motor and proprioceptive neurons development. Also required for resolving RNA-DNA hybrids created by RNA polymerase II, that form R-loop in transcription terminal regions, an important step in proper transcription termination. May also play a role in the metabolism of small nucleolar ribonucleoprotein (snoRNPs).
-
基因功能參考文獻:
- A rare variant c.835-5T>G in intron 6 of SMN1 was identified in a patient affected with type I spinal muscular atrophy. PMID: 29799103
- Intron 2b-retained SMN transcript and intron3-retained SMN transcript were ubiquitously expressed in human cells and tissues. The intron-retained transcripts were mainly localized in the nucleus and decreased through non-nonsense-mediated decay pathway. PMID: 29580671
- overexpressed exogenous SMN1 at the ribosomal DNA (rDNA) locus of induced pluripotent stem cells (iPSCs) generated from a SMA patient using an rDNA-targeting vector PMID: 29209912
- Autosomal-recessive proximal spinal muscular atrophy (Werdnig-Hoffmann, Kugelberg-Welander) is caused by mutation of the SMN1 gene. PMID: 29478602
- While the above conclusions are firmly supported by the experimental data presented, we discuss and justify the need of deep proteomic techniques for the study of SMN complex components (orphan and bound) turn-over to understand the physiological relevant mechanisms of degradation of SMN and SMNDelta7 (SMN1 and SMN2)in the cell. PMID: 29292768
- Results report exon 6B, a novel exon, generated by exonization of an intronic Alu-like sequence from both SMN1 and SMN2, and validate the expression of exon 6B-containing transcripts SMN6B and SMN6BDelta7 in human tissues and cell lines. hnRNP C is shown to be a potential regulator of its expression and demonstrate that SMN6B is a substrate of nonsense-mediated decay. Also, an interaction of SMN6B with Gemin2 was found. PMID: 27481219
- Widespread intron retention and markers of the DNA damage response were observed with SMN1 depletion in human SH-SY5Y neuroblastoma cells and human induced pluripotent stem cell-derived motor neurons. PMID: 28270613
- Study examined the effect of 2 mutations on SMN protein expression: a G-to-C transversion, leading to a tryptophan-to-serine substitution (p.Trp92Ser) in the Tudor domain; and a single thymine insertion between nucleotides 819 and 820 in exon 6 that causes a frameshift, changing all the amino acids of the C-terminal domain from the point of the mutation onward (p.Thr274Tyrfs). Mutations may affect stability and levels. PMID: 28366534
- The authors show by NMR spectroscopy that both RNA recognition motifs of hnRNP A1 can bind simultaneously to a single bipartite motif of the human intronic splicing silencer ISS-N1, which controls survival of motor neuron exon 7 splicing. PMID: 28650318
- Homozygous deletion of the SMN1 gene have been detected in more than 95% of spinal muscular atrophy patients PMID: 28981927
- The increases of the SMN1 and SC35 1.7-kb mRNA levels reached about 4- and 6.5-fold in fibroblasts. PMID: 29080838
- Loganin is capable of increas-ing the SMN protein level under SMN-deficient conditions both inin vitro and in vivo models of spinal muscular atrophy via Akt/mTOR pathway. PMID: 27241020
- Activation of a cryptic 5' splice site in transcripts derived from SMN1 reversed a pathogenic G-to-C mutation at the first position of intron 7. PMID: 28981879
- Mutation in SMN1 is associated with Spinal Muscular Atrophy. PMID: 28950212
- Research has shown that SMN, both on the mRNA and protein level, is highly affected by cellular stress. In this review we will summarize the research that highlights the roles of SMN in the disease process and the response of SMN to various environmental stresses. PMID: 28852871
- Ongoing research may yield other treatments, especially for children who have not responded to Spinraza. A gene therapy delivered by adeno-associated virus type 9 (AAV9) is designed to replace or correct SMN1 . Cure SMA is supporting research in this area as well as studies of small molecules that correct SMN2 splicing or spur it to produce more protein. PMID: 28328128
- In lesional SSc dermal fibroblasts, GKT-137831 reduced alpha-SMA and CCN2 protein overexpression and collagen gel contraction PMID: 29049376
- Carrier risks for individuals having two copies of SMN1 in SMA families with 2-copy alleles were deduced. A meta-analysis including large sample sizes from the Chinese population was performed in order to generate a solid data basis for this calculation. PMID: 27422779
- From the computational analysis, it is also possible that SMN's Lys45 and Asp36 act as two electrostatic clips at the SMN-Gemin2 complex structure interface PMID: 28570645
- our studies show that this G-motif represents a novel and essential determinant for axonal localization of the Anxa2 mRNA mediated by the SMN complex. PMID: 28258160
- Loss of SMN1 is associated with Spinal muscular atrophy. PMID: 26908606
- A rare variant in exon 7 of SMN1 in three patients affected with type I or type II SMA. Most of the SMN1 transcripts exhibited complete loss of exon 7 in vivo. The variant disrupts Tra2beta1 binding. PMID: 26419278
- These results establish that SMN overexpression in motor neurons slows disease onset and outcome by ameliorating pathological signs in this model of mutant TDP-43-mediated amyotrophic lateral sclerosis (ALS). PMID: 27466204
- A long non-coding RNA (lncRNA) that arises from the antisense strand of SMN, SMN-AS1, is enriched in neurons and transcriptionally represses SMN expression by recruiting the epigenetic Polycomb repressive complex-2. PMID: 28017471
- We show that genes of the classical apoptosis pathway are involved in the smn-1-mediated neuronal death, and that this phenotype can be rescued by the expression of human SMN1, indicating a functional conservation between the two orthologs. Finally, we determined that Plastin3/plst-1 genetically interacts with smn-1 to prevent degeneration, and that treatment with valproic acid is able to rescue the degenerative phenotype PMID: 27260405
- SMN functions as a natural inhibitor for IL-1beta-induced NF-kappaB signaling by targeting TRAF6 and the IKK complex. PMID: 28214532
- U12-dependent intron retention is induced upon siRNA knock-down of SMN1 in HeLa cells. PMID: 27557711
- Deletion in SMN1 gene is associated with spinal muscular atrophy. PMID: 27754957
- Itch monoubiquitinates SMN and monoubiquitination of SMN plays an important role in regulating its cellular localization. PMID: 26908624
- Data indicate that survival motor neuron 1 protein (SMN1) gene copy number can be precisely determined for the diagnosis of spinal muscular atrophy (SMA). PMID: 27577201
- SMN may assemble translational platforms associated with and governed by the plasma membrane. PMID: 26743087
- A strong correlation was observed between the SMN2 copy number and spinal muscular atrophy phenotype PMID: 27510309
- The results of this study show that, the plasmid containing UTR elements causes to twice more SMN gene expression in transfected cells. PMID: 26607476
- Data show that the coding sequence of survival of motor neuron 2 (SMN2) differs from that of survival motor neuron 1 (SMN1) by a single nucleotide (c.840C>T) at codon 280 in exon 7. PMID: 26724723
- The Cajal bodies fail to recruit SMN and spliceosomal snRNPs, but contain the proteasome activator PA28, a molecular marker associated with the cellular stress response. PMID: 22302308
- PLS3 is a genuine spinal muscular atrophy protective modifier in SMN1-deleted individuals PMID: 26573968
- Measurements of SMN and PLS3 transcript and protein levels in induced pluripotent stem cell-derived motor neurons show limited value as Spinal muscular atrophy biomarkers. PMID: 26114395
- The diverse a-SMN vs FL-SMN C-terminus may dictate different protein interactions and complex formation explaining the different localization and role in the neuronal compartment, and the lower expression and stability of a-SMN. PMID: 26214005
- SMN and symmetric arginine dimethylation of RNA polymerase II C-terminal domain control transcriptional termination PMID: 26700805
- Among 43 identified patients with spinal muscular atrophy, 37 (86.0%) showed homozygous deletion of SMN1 exon 7. PMID: 26665550
- Study detected 3 small mutations in 4 patients without homozygous deletion of the SMN1 gene, suggested that about 4% of spinal muscular atrophy patients have subtle mutations and might be considered in laboratory examination PMID: 24563475
- SMN1 Gene Point Mutations in Type I-IV Proximal Spinal Muscular Atrophy Patients with a Single Copy of SMN1 PMID: 26606804
- investigate the oligomeric nature of the SMN.Gemin2 complexes from humans and fission yeast (hSMN.Gemin2 and ySMN.Gemin2) PMID: 26092730
- The copy numbers and gene structures of SMN1 genes were different in Chinese spinal muscular atrophy patients and healthy controls. PMID: 25888055
- This work both reveals a new autoregulatory pathway governing SMN expression, and identifies a new mechanism through which SMN can modulate specific mRNA expression via Gemin5. PMID: 25911097
- suggest that imaging flow cytometry technology has the potential for identifying SMN protein expression level and pattern as an evaluation tool of clinical studies PMID: 25264200
- successfully determined various gene dosages of SMN1 and SMN2 genes in homologous or heterologous subjects. By using the UFTPL-CE method, the SMN1 and SMN2 genes were fully resolved with the resolution of 2.16+/-0.37 (n=3 PMID: 24909772
- Findings are consistent with a role for SMN in myotube formation through effects on muscle differentiation and cell motility. PMID: 24760765
- cellular SMN proteins regulated miR-9 expression and that miR-9 expression was related to spinal muscular atrophy severity. PMID: 24751385
- Subtle mutation detection of SMN1 gene in Chinese spinal muscular atrophy patients: implication of molecular diagnostic procedure for SMN1 gene mutations. PMID: 25014214
顯示更多
收起更多
-
相關疾病:Spinal muscular atrophy 1 (SMA1); Spinal muscular atrophy 2 (SMA2); Spinal muscular atrophy 3 (SMA3); Spinal muscular atrophy 4 (SMA4)
-
亞細胞定位:Nucleus, gem. Nucleus, Cajal body. Cytoplasm. Cytoplasmic granule. Perikaryon. Cell projection, neuron projection. Cell projection, axon. Cytoplasm, myofibril, sarcomere, Z line.
-
蛋白家族:SMN family
-
組織特異性:Expressed in a wide variety of tissues. Expressed at high levels in brain, kidney and liver, moderate levels in skeletal and cardiac muscle, and low levels in fibroblasts and lymphocytes. Also seen at high levels in spinal cord. Present in osteoclasts and
-
數據庫鏈接:
Most popular with customers
-
-
YWHAB Recombinant Monoclonal Antibody
Applications: ELISA, WB, IHC, IF, FC
Species Reactivity: Human, Mouse, Rat
-
Phospho-YAP1 (S127) Recombinant Monoclonal Antibody
Applications: ELISA, WB, IHC
Species Reactivity: Human
-
-
-
-
-















